اكتشف: أسرار علاج "ثلاثية الرعب" في مفصل المرفق!
# الدليل الشامل لإصابات "الثالوث الرهيب" في مفصل المرفق: تشخيص وعلاج إصابة "الثالوث الرهيب" في مفصل المرفق هي إصابة مع…
شارع الستين، صنعاء
برج الستين، الدور الثالث
جاري البحث...
لا توجد اقتراحات للبحث
القسم الصيني
# الدليل الشامل لإصابات "الثالوث الرهيب" في مفصل المرفق: تشخيص وعلاج إصابة "الثالوث الرهيب" في مفصل المرفق هي إصابة مع…
# منظار المفصل: نافذة إلى عالم الجراحة طفيفة التوغل في طب العظام تعتبر جراحة منظار المفصل من أبرز التطورات في مجال جرا…
# علاج كسور الطرف القريب لعظمة الترقوة: نظرة شاملة وحديثة تعتبر كسور الطرف القريب لعظمة الترقوة، أي الجزء الأقرب إلى ع…
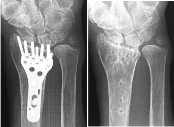
# تقنيات مبتكرة لتثبيت كسور نهاية عظم الكعبرة باستخدام الصفائح الراحية: دليل جراحي متكامل تُعتبر كسور نهاية عظم الكعبرة…
# علاج كسور عظمة الترقوة بتقنية التدخل الجراحي المحدود (MIPO): دليل شامل تُعد كسور عظمة الترقوة من الإصابات الشائعة في …
# لماذا يحدث خلع مفصل الورك بعد استبداله؟ وكيف يمكن الوقاية منه وعلاجه؟ يعتبر استبدال مفصل الورك الكلي (THA) إجراءً فعا…
# الدليل الإرشادي للأكاديمية الأمريكية لجراحي العظام (AAOS) حول إصابات الرباط الصليبي الأمامي (ACL): نظرة متعمقة وتحليل…
# الدليل الشامل لإعادة تأهيل كسور العظام في مختلف مناطق الجسم: تقنيات التجبير اليدوي المثالية تعتبر الكسور من الإصابات…
# متى يجب إزالة المثبتات الداخلية للعظام؟ وما هي الطريقة المثلى؟ بعد جراحة العظام، يثار دائمًا سؤال مهم: هل يجب إزالة ا…
# تقنية التثبيت الكامل بالخيوط الجراحية لعلاج الكسور غير المستقرة في الطرف البعيد لعظمة الترقوة تُمثل كسور الطرف البعيد…
# كسور عظم الفخذ البعيدة: تقنيات جراحية لتحقيق النجاح تعتبر كسور عظم الفخذ البعيدة من الإصابات المعقدة التي تتطلب مهار…
# كسور بين المدورين: تقنيات جديدة للمساعدة في إعادة الوضع وتقليل انزلاق مسمار رأس الفخذ تعتبر الجراحة العلاج الأساسي ل…
احجز موعدك الآن للحصول على أفضل رعاية طبية متخصصة في جراحة العظام والمفاصل