اكتشف: كسور الكتف.. دليلك الشامل للعلاج والتعافي!
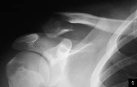
# كسور عظم الكتف: دليل شامل تحدث كسور عظم الكتف عندما يتعرض هذا العظم، وهو الجزء الخلفي من حزام الكتف، لقوة كبيرة تفوق…
شارع الستين، صنعاء
برج الستين، الدور الثالث
جاري البحث...
لا توجد اقتراحات للبحث
الإصابات والكسور
# كسور عظم الكتف: دليل شامل تحدث كسور عظم الكتف عندما يتعرض هذا العظم، وهو الجزء الخلفي من حزام الكتف، لقوة كبيرة تفوق…
# كسور لوح الكتف: الأسباب، التشخيص، والعلاج كسور لوح الكتف هي إصابات غير شائعة نسبياً تحدث في منطقة حزام الكتف، وعادةً م…
# كسور الطرف العلوي لعظم العضد: نظرة شاملة ## مقدمة تعتبر كسور الطرف العلوي لعظم العضد من الإصابات الشائعة، خاصة بين …
# كسور عظم العضد القريب: الانتشار، الأسباب، التشخيص، والعلاج تُعد كسور عظم العضد القريب من الإصابات الشائعة، خاصةً بين ك…
# كسور الترقوة البعيدة: التشخيص، العلاج، والمضاعفات تُعد كسور الترقوة البعيدة إصابات رضحية ناتجة عن صدمة مباشرة للكتف، …
# كسور عظم العضد: دليل شامل كسر عظم العضد هو إصابة شائعة تحدث نتيجة السقوط أو التعرض لصدمة مباشرة. يمتد عظم العضد من ا…
# كسر هضبة الظنبوب: تشريح أساسي، علاج، ومضاعفات كسر هضبة الظنبوب هو إصابة خطيرة تؤثر على الجزء العلوي من عظم الساق (ال…
# كسور عظم الفخذ: فهم شامل للتشريح، التشخيص، والعلاج تعتبر كسور عظم الفخذ من الإصابات الخطيرة التي تتطلب تشخيصًا وعلاجًا…
# كسور هضبة الظنبوب: التشريح، التصنيف، العلاج، والمضاعفات كسور هضبة الظنبوب هي إصابات حول مفصل الركبة تصيب الجزء العلو…
# كسور هضبة الظنبوب: التشريح، التشخيص، والعلاج كسور هضبة الظنبوب هي إصابات حول مفصل الركبة تصيب الجزء العلوي من عظم ال…
# الميكانيكا الحيوية وعلاج كسور عظم الفخذ تُعد كسور عظم الفخذ من الإصابات الخطيرة التي تحدث نتيجة التعرض لقوة كبيرة، وق…
# كسور هضبة الظنبوب: التشريح الأساسي، الآلية، العلاج، والمضاعفات ## التشريح الأساسي لهضبة الظنبوب هضبة الظنبوب هي الج…
احجز موعدك الآن للحصول على أفضل رعاية طبية متخصصة في جراحة العظام والمفاصل