دليلك الشامل: علاج كسور عظمة الترقوة بمنتصفها بفعالية
# تدبير كسور منتصف عظم الترقوة: دليل شامل تُعتبر كسور منتصف عظم الترقوة من الإصابات الشائعة نسبيًا، وتمثل تحديًا علاجيًا ي…
شارع الستين، صنعاء
برج الستين، الدور الثالث
جاري البحث...
لا توجد اقتراحات للبحث
حالات تعليمية في جراحة العظام
# تدبير كسور منتصف عظم الترقوة: دليل شامل تُعتبر كسور منتصف عظم الترقوة من الإصابات الشائعة نسبيًا، وتمثل تحديًا علاجيًا ي…
# تشخيص وعلاج كسور عظم العضد كسور عظم العضد هي كسور تصيب الجزء الأوسط (الجسم أو الديافيز) من عظم العضد، وهو العظم الطو…
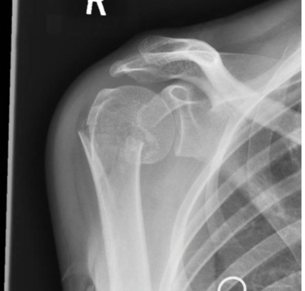
# خلع الكتف وكسر الحديبة الكبيرة: التشخيص والعلاج ## مقدمة حول إصابات الكتف إصابات الكتف شائعة، خاصة بين الرياضيين وا…
# التئام الكسور: رحلة معقدة نحو استعادة العظام يعتبر التئام الكسور عملية بيولوجية معقدة ومنظمة تهدف إلى استعادة العظم …
# تدبير كسور العظم الزورقي: دليل شامل ## مقدمة حول كسور العظم الزورقي تعتبر كسور العظم الزورقي من الإصابات الشائعة ال…
# أسئلة تفاعلية في علم الأشعة: دليل شامل للفهم والتشخيص علم الأشعة هو حجر الزاوية في التشخيص الطبي الحديث، حيث يوفر نا…
# تدبير كسور العضد القريبة: دليل شامل تعتبر كسور العضد القريبة من الإصابات الشائعة، خاصة بين كبار السن، وتمثل تحديًا عل…
# أسئلة تفاعلية في علم الأشعة التشخيصية ## تحليل الصور الشعاعية: خطوات أساسية وقراءة متعمقة تعتبر قراءة الصور الشعاعي…
# مفهوم مسمار النخاع العظمي: دليل شامل في جراحة العظام تعتبر مسامير النخاع العظمي (Intramedullary nails - IM nails) من…
# الميكانيكا الحيوية لمسامير النخاع العظمي: دليل شامل تعتبر مسامير النخاع العظمي (IM nails) من الدعائم الأساسية في تثب…
# الصفائح الجراحية: مفاهيم أساسية لامتحان الزمالة في جراحة العظام ## مقدمة حول الصفائح الجراحية وأنواعها الصفائح الجر…
# مفاهيم أساسية في جراحة العظام ## مقدمة إلى ميكانيكا العظام تعتبر جراحة العظام فرعًا طبيًا معقدًا يعتمد بشكل كبير على ف…
احجز موعدك الآن للحصول على أفضل رعاية طبية متخصصة في جراحة العظام والمفاصل