Open Reduction & Internal Fixation of the Talus: An Operative Masterclass

Key Takeaway
This masterclass guides fellows through open reduction and internal fixation of talus fractures. We'll meticulously cover comprehensive surgical anatomy, critical preoperative planning, and granular intraoperative execution, emphasizing precise technique and rationale. Learn to navigate complex talar injuries, manage potential pitfalls, and optimize postoperative outcomes for these challenging fractures with significant avascular necrosis risk.
DEFINITION
1.
Fractures of the talus are severe injuries affecting ankle and hindfoot joint function.
2.
Displaced fractures of the talus are a surgical challenge to orthopedic surgeons. The injuries are infrequent and the fracture anatomy is partially concealed by adjacent osseous structures.
1.
Open reduction and internal fixation is generally mandatory to restore talar anatomy precisely.
3.
Outcomes of talus fractures correlate with injury severity. These results include ankle and subtalar joint stiffness, posttraumatic arthrosis, and osteonecrosis of the talus. ANATOMY
4.
Two anatomic factors play significant roles in the outcome of talus fractures.
1.
Sixty percent of the bone is covered by articular cartilage, significantly limiting extraosseous perfusion to the bone.
2.
Disruption of circulation to the talus correlates with open or comminuted talus fractures, leading to an increased risk of avascular necrosis. The blood supply to the talar body enters through the inferior talar neck via the artery of the tarsal canal. This key vessel originates from the posterior tibial artery. Secondary blood supply to the body is derived from the deltoid branch of the posterior tibial artery, entering the talar body along its medial surface. Circulation to the neck, head, and lateral body is supplied via the dorsalis pedis, tarsal sinus, and lateral tarsal sinus arteries. This last artery is an anastomosis between the peroneal and dorsalis pedis arteries.
5.
The talus has seven articulations.
1.
Three main surfaces articulate with the plafond and lateral malleolus, while three surfaces articulate with the calcaneus.
2.
The final articulation of the talar head with the tarsal navicular represents an important articulation for midfoot motion.
6.
Predictable stiffness with range of motion and posttraumatic arthritic changes is experienced with severe fractures of the talus. PATHOGENESIS
7.
Fractures of the talus present in varying patterns depending on the mechanism of injury.
8.
Fractures of the talar head are intra-articular and the result of axial load to the talonavicular joint with the foot positioned in plantarflexion.
1.
These fractures constitute up to 10% of all fractures of the talus.
2.
They are uncommon but must be looked for in the event of an isolated subtalar dislocation.
9.
Talar neck fractures occur in the frontal plane and result from dorsiflexion of the foot against the anterior lip of the distal tibia. The fracture begins transversely along the medial talar neck due to an associated supination force to the hindfoot. The fracture line extends laterally. The fracture may be extra-articular, intra-articular, or a combination of both. With increased energy, the hindfoot supination force generates a fracture of the medial malleolus of the ankle.
10.
After completion of the neck fracture, continued hyper-dorsiflexion and axial load to the body of the talus may force dislocation of the talar body posteriorly, disrupting significant extraosseous circulation.
1.
Fractures of the body of the talus involve up to 23% of talus fractures. The mechanism of injury is the same for body fractures as for fractures of the talar neck.
1.
Fracture patterns of the body of the talus include coronal, sagittal, horizontal shear, and crush fractures of the weight-bearing surface.
2.
Process fractures of the talar body are described by anatomic location.
1.
Lateral and posterior process fractures are sustained by inversion and eversion mechanisms of the ankle, respectively. These fractures are often missed on plain film radiographs of the ankle and diagnosed as ankle sprains.
1.
Hawkins classified lateral process fractures into avulsion, isolated, and comminuted types.
2.
Posteromedial and posterolateral process fractures lie to each side of the flexor hallucis longus tendon. These are commonly intra-articular fractures of the inferior surface of the posterior talus. NATURAL HISTORY
3.
The postoperative prognosis for any displaced talus fracture should be guarded because of significant postinjury potential for complication.
1.
Fractures of the head of the talus are commonly nondisplaced because of powerful capsular and talonavicular liga-mentous attachments.
2.
Displaced fractures of the talar head have a 10% incidence of osteonecrosis and can lead to secondary posttraumatic arthrosis.
4.
Fractures of the neck of the talus are defined as fractures anterior to the lateral process of the talus. Hawkins’ work on vertical fractures of the neck of the talus helped clarify injury of vascular perfusion to the bone by delineating three types of fractures of the neck of the talus.
1.
The type I fracture is nondisplaced. Disruption of blood flow is limited to the anterolateral region of the bone. I recommend a computed tomography (CT) scan to confirm no displacement of the fracture before diagnosing a type I fracture. Historically, Hawkins reported a 13% incidence of osteonecrosis in type I injuries ( FIG 1A).
2.
In the type II talar neck fracture there is displacement of the talar dome fragment, which is routinely posterior, often depicting clear subluxation of the talar body. Blood flow to the medial body and head is preserved. The type II talar neck fracture has a 20% to 50% risk of avascular necrosis ( FIG 1B). 697
---
---
---
A B C
---
FIG 1 • Hawkins classification of talar fractures. A. Type I: disruption of anterolateral perfusion. B. Type II: medial perfusion intact. C. Type III: all D sources of blood flow injured. D. Type IV: dislocation of all articulations. 1. In the type III injury, the transverse fracture of the talar neck is associated with dislocation of the talar body. The incidence of osteonecrosis of the talar body is 50% to 100%. All major perfusion to the body of the talus is damaged ( FIG 1C). 2. A type IV injury of the talar neck has been documented; it is a type III fracture-dislocation with associated talonavicular dislocation.2 All extraosseous blood flow to the talus is considered disrupted. The value of the Hawkins classification is that it allows the orthopedic surgeon to predict what to expect with a specific talar neck injury. Open reduction and rigid internal fixation is the recommended treatment ( FIG 1D). 1. Talar body fractures are defined as fractures extending into or posterior to the lateral process. PATIENT HISTORY AND PHYSICAL FINDINGS 2. Fractures of the talus are commonly associated with vehicular trauma and falls. 1. The relationship of severe lower extremity trauma and airbags is well known. After airbag deployment, the torso and lower extremities are directed toward the floor panel of the car. 2. I believe that the incidence of high-energy hindfoot trauma will increase over time. Globally, transport related injuries remain the leading cause of disability from injury. By 2020, traffic injuries will increase from a current 9th position to 3rd disability-adjusted life years lost. 3. The history and the clinical status of the talar injury must be carefully recorded because the injury severity is likely to correlate with the long-term patient outcome. 1. On the initial examination the physician should note pain, motion, crepitus, deformity, soft tissue swelling, open fractures, and associated fractures of adjacent bones to the foot and ankle and should perform a complete neurovascular evaluation of the extremity. 4. Detailed documentation of the talus fracture pattern and local soft tissue injury is paramount. 1. Soft tissue local pressure phenomenon, commonly found anterolaterally in closed type III fractures of the talar neck, may precipitate full-thickness pressure necrosis of the skin if not decompressed early. 2. Severe swelling of the ankle is common in the acute fracture of the talus and may progress to fracture blister formation, precluding safe execution of operative incisions. 5. The physician should examine the skin for swelling, ecchy-mosis, fracture blisters, and deformity; these are signs of a closed fracture. 1. A closed injury with mild or moderate swelling (bony landmarks palpable) indicates talar neck type I and II fractures and process fractures. 2. A closed injury with severe swelling indicates talar neck type III and IV fractures and body fractures. 6. Open fractures will be apparent by the transverse, medial, or supramalleolar traumatic laceration of the ankle. Lateral, posterior, and plantar wounds are uncommon. 7. The physician should perform vascular, neurosensory, and myotendinous examinations of the foot and ankle. IMAGING AND OTHER DIAGNOSTIC STUDIES 8. Three plain radiographic views are necessary to radiographi-cally evaluate talus fractures: anteroposterior (AP), mortise (15-degree internal rotation view), and lateral images of the ankle. 1. The AP and mortise views of the ankle demonstrate alignment of the talar body in the ankle mortise. The lateral view depicts the sagittal outline of the talus. 9. The Canale view is used to assess varus or valgus malalignment of the talar neck, particularly with Hawkins type I and II injuries. The knee must be flexed and the foot in equinus and everted, with the x-ray tube directed 15 degrees caudad ( FIG 2A).
---
---
--- A B C ### FIG 2 • Radiology of talar fractures. A. Canale view showing medial and lateral talar neck provisionally reduced. B. Lateral process fracture less obvious on plain film. C. Lateral process fracture as shown on CT scan. 1. Because of the high-energy nature of fractures of the talus, AP and oblique views of the foot should be a standard addition to the three-view plain film ankle protocol so as not to miss associated midfoot and forefoot injuries ( FIG 2B). 2. Computed tomography (CT) provides important additional information to the three-view plain film series of the ankle. Thirty-degree coronal and paraxial CT imaging is important to confirm Hawkins type I fractures of the talar neck and plan treatment of talar body fractures with extension posterior to the lateral process. Reconstructions of both sagittal and coronal CT studies provide valuable information about incremental pathoanatomy of the entire talus, medial to lateral and anterior to posterior, respectively. In addition, confirmation of a process fracture that is not clearly viewed by plain film is easily diagnosed by CT ( FIG 2C). DIFFERENTIAL DIAGNOSIS 3. Process fracture of the talus 1. Lateral process fracture 2. Medial process fracture 4. Head of talus fracture 5. Neck of talus fracture 6. Body of talus fracture 7. Neck and body of talus fracture 8. Fracture-dislocation of talus 1. Involving body 2. Involving neck and body 9. Extruded talus (Any of these injuries to the talus may be open fractures, affecting management.) NONOPERATIVE MANAGEMENT 10. Fractures of the talus include a spectrum of injury patterns ranging from isolated regions of the talus (eg, lateral process) to severely comminuted talus fractures involving all parts of bone, making nonoperative management inappropriate. 1. High-energy injury mechanisms that cause talus fractures precipitate fracture displacement and joint surface incongruity. 2. Medial and lateral process fractures, minimally displaced (less than 2 mm) and involving less than 1 cm of bone, are commonly managed nonoperatively. 1. These injuries are treated acutely in well-padded, compressive dressings with posterior splints and non-weight bearing. Swelling and immediate pain in the ankle improve significantly by 7 to 10 days. The patient is subsequently converted to a short-leg non-weight-bearing cast for 6 weeks, followed by progressive range of ankle and subtalar motion and return to weight bearing in a removable fracture-boot. 2. If the process fracture is severely comminuted, precluding surgical reconstruction, the same initial and definitive nonoperative management is employed. 3. Isolated fractures of the head of the talus without dislocation and without displacement are largely stable fractures. These injuries require plain radiographic evaluation of both the ipsilateral foot and ankle to confirm the isolated nature of the injury. I recommend CT scanning (axial and transverse views of foot and ankle) of this injury to rule out associated midfoot pathology. 1. Acutely, an isolated, nondisplaced talar head fracture is splinted for 7 to 10 days with subsequent short-leg casting in neutral plantarflexion with non-weight bearing for 4 weeks. Intermittent daily ankle and subtalar motion with Achilles tendon stretching should follow with application of a removable fracture boot. The patient remains non-weight bearing until 6 to 8 weeks after injury. Next, progressive weight bearing, range of motion, stretching, and strengthening of the entire lower extremity are recommended. 4. The Hawkins type I fracture of the neck of the talus is a nondisplaced talar neck fracture. The talus remains anatomi-cally positioned in the ankle and subtalar joint with minimal potential for disruption of perfusion to the bone. 1. A subgroup of these injuries may present with displacement of the talar neck on initial injury plain radiographs. After closed manipulation of the fracture in plantarflexion, the talar neck fracture may reduce. A true Hawkins type I talar neck fracture will not displace even with gentle dorsiflexion. The type I fracture strongly warrants a CT scan, with sagittal reconstruction, to confirm anatomic alignment of the talar neck. 5. If there is displacement of the neck fracture, the injury must be reclassified as a type II, which requires surgical treatment to obtain, and maintain, the reduction. 1. Truly nondisplaced fractures of neck of the talus can be treated nonoperatively in a short-leg non-weight-bearing cast for 6 to 8 weeks. Close follow-up is recommended to watch for any displacement of the neck fracture. At 6 to 8 weeks after the injury, progressive weight bearing, range of motion, stretching, and strengthening are initiated. 10. Injury forces precipitating fractures of the dome of the talus are universally severe, causing articular displacement, and are an indication for surgery. Open fractures of the talus, even with no displacement, are best managed with rigid surgical stabilization to allow for wound care and early motion. SURGICAL MANAGEMENT 11. The timing of operative management of talus fractures has been an area of controversy, specifically whether the displaced talus fracture is an orthopedic emergency. 1. One recent study indicates that orthopedic trauma surgeons do not believe a displaced fracture of the neck of the talus is an orthopedic emergency. 2. However, it is important to differentiate the potential of vascular injury to the talar body from soft tissue and neurovascular compromise of the foot because of injury to the talus. In particular, fracture-dislocation of the body of the talus is associated with compromised blood flow to the bone, the threat of pressure phenomenon to the skin, and possible tibial nerve dysfunction. 3. The acute severity of soft tissue swelling or the impact of an open hindfoot wound may preclude safe, immediate reconstruction of the talus fracture after reduction of the dislocation. 12. Foot and ankle external fixation is a suitable treatment option, with staged definitive fixation applied accordingly. 1. Any open talus fracture must be treated as an orthopedic emergency. 2. Preoperative antibiotics may be selected on the basis of wound contamination. These include a cephalosporin and possibly gentamicin. Penicillin is added if gross or farm contamination is present. All patients should receive a tetanus toxoid booster. 3. The patient is taken to the operating room and after soft tissue débridement the wound receives at least 3 to 9 L of normal saline using pulsed lavage. 4. At this time, in addition to partial or complete fixation of the talus fracture, provisional foot and ankle external fixation may be used to provide soft tissue and osseous stabilization before delayed closure. 13. Regarding general guidelines for fractures of the body, neck, and head of talus fractures, surgical management is indicated with fracture displacement, malalignment, subluxation, dislocation, or instability. 1. Recent studies indicate that displacement or malalignment will have a negative impact on foot function. Two millimeters of fracture displacement has been shown to affect subtalar joint mechanics. 2. There is less agreement regarding surgical indications for process fractures of the talus. Acute, displaced fractures with large fragments showing extension into the subtalar joint by CT imaging are best treated with open reduction and internal fixation. 14. A displaced fracture of the neck of the talus is one of the most common indications for surgery on the talus. The fracture is known to start, in the coronal plane, along the medial neck and extend laterally until completion. 1. There are two common types of neck fractures: an extra-articular pattern and an intra-articular type that extends into the subtalar joint. 1. The displaced extra-articular vertical neck fracture is routinely amenable to closed reduction by applying dorsal-to-plantar pressure on the head of the talus associated with longitudinal traction and plantarflexion of the forefoot. Immediate reduction of this fracture diminishes concerns for soft tissue, neurovascular, and osseous compromise. 2. The intra-articular pattern is less likely to cooperate with closed manipulation owing to the obliquity of the fracture as it extends posterior into the subtalar joint. This fracture pattern is more deserving of immediate or early surgery. 15. For patients with severe open fractures of the talus, or closed injuries in which soft tissue compromise precludes immediate open management, temporizing external fixation may be effective. 1. The goals of temporary external fixation are to maintain the length of the talus for reconstruction, facilitate soft tissue management, and restore general alignment. External fixation is rarely definitive management for talus fractures. 2. Displaced, open or closed, fractures benefit most from rigid internal fixation for bone healing and early motion. However, a recent report evaluating results of the extruded talus identified definitive external fixation as an option to manage the purely dislocated talus. This is an excellent treatment option to stabilize the ankle and subtalar and talonavicular articulations of the talus. Preoperative Planning 16. Operative planning for talus fractures requires evaluation of imaging studies to clearly understand the relationships of all major fracture fragments. 1. A preoperative CT scan of the fracture is standard when confronted with a comminuted talar neck or body fracture. The surgeon must become familiar with the morphology of the bone and its many contours to facilitate reconstruction. 17. Intraoperative visibility and access to talar fragments are routinely challenging, but these variables can be largely facilitated by correct patient positioning, surgical approaches, adequate operating room lighting (headlamp), attention to reduction techniques, and implants selected. All play a key role in preoperative planning. 18. The principles of open treatment are restoring articular con-gruity, maximizing the revascularization potential of the bone, and allowing early motion of the ankle and subtalar joints. 19. The use of a radiolucent table and a headlamp promotes optimal visualization. 20. A tray of fine-tipped, sharp and strong bone elevators, dental probes, Freer elevators, small bone clamps, mini/small lamina spreaders, and small distractors or external fixation equipment is routinely needed not only for talus fracture fixation but also all fine articular fracture reconstructions. 1. Small interfragmentary (3.5 mm) cortical screw fixation and mini-fragment (2.7 or 2.0 mm) screw/plate instrumentation is commonly needed for talus fracture fixation. 1. An extra-long mini-screw (2.7 or 2.0 mm) inventory is recommended, with screws up to 60 mm long. 2. The use of mini-implants is particularly helpful when reconstructing comminuted fractures. 1. Contemporary mini-fragment systems are predominantly stainless steel. 2. Some authors have suggested using titanium implants to allow use of magnetic resonance imaging to assess osteonecrosis. 3. Osteochondral fragments too small for mini-fragment fixation can be fixed with bioabsorbable pegs or headless articular screws. Positioning 3. Displaced fractures of the head, neck, body, and lateral process of the talus are best reconstructed with the patient in the supine position. 1. Supine positioning allows medial, anterolateral, and direct lateral incisions to be performed with ease ( FIG 3A,B). 2. Intraoperative fluoroscopy is conveniently performed with the patient in this universal position. 3. The patient should have an adequate bump placed preop-eratively under the ipsilateral gluteal region to avoid external rotation of the ankle. 4. Fractures of the posterior body of the talus are performed through posteromedial or posterolateral surgical approaches. These approaches are achieved most efficiently with the patient in the prone position ( FIG 3C). 5. The prone or lateral recumbent position is effective for occasional posterior-to-anterior fixation associated with minimal or no displacement of the fracture. 6. A radiolucent table without attachments at the foot allows for all required radiographic views. Approach
Medial and Anterolateral Approach
1. Anatomic reduction of displaced head, neck, and body fractures requires visualization of both medial and lateral surfaces of the talus. A medial and anterolateral (two-incision) approach effectively prevents a malreduction of the articular surfaces and neck. 2. A surgeon’s initial impression of the dual-incision approach to talus fractures may be perceived to disregard the biology of the bone and its limited extraosseous blood supply. With attention to detail, neither the plantar nor the direct dorsal blood supply to the talus is violated. 3. Landmarks for the medial incision are the dorsomedial tip of the medial malleolus extended, in line with the axis of the foot to the tarsal navicular ( FIG 4A). 1. This incision is 5 mm dorsal to the axis of the posterior tibial tendon. 2. Its extension continues just distal to the navicular tuberosity, allowing exposure of the medial surface of the talar head, neck, and distal body. 3. The approach may be lengthened in both directions to improve visibility. 4. The anterolateral incision is parallel and 5 to 6 cm lateral to the medial approach ( FIG 4B).
---
---
--- B ### FIG 3 • A. Supine position for medial and anterolateral approaches. B. Supine position for direct lateral A C approach. C. Prone position for posterior approach.
--- Anterior tibial tendon sheath Medial talar neck fracture
--- Lateral head of talus Extensor digitorum tendon Posterior tibial 1. tendon sheath Lateral talar 2. neck fracture Sinus tarsi ### FIG 4 • A. Medial approach. B. Anterolateral approach.
1. This incision should begin just medial or in line with the syndesmosis of the ankle.
1.
The lateral neck of the talus is difficult to access and reconstruct if the incision is made too lateral.
1.
If comminution of the lateral process is to be addressed, the incision can be shifted slightly lateral.
2.
After completing the skin incision, the surgeon must beware of the lateral branch of the superficial peroneal nerve when in-cising deep to the subcutaneous tissues.
3.
The lateral retinaculum must be sharply incised, and the extensor digitorum tendons are retracted medially, exposing the extensor digitorum brevis muscle.
4.
The muscle belly is reflected distally off its proximal origin, allowing easy access to the lateral capsule of the talus.
5.
The lateral capsulotomy is made in line with the axis of the neck of the talus.
1.
Anatomic reduction of complex talus fractures is achieved by working from side to side through both incisions.
Transmalleolar Approach
6.
An important modification of the medial approach to the talus is the medial malleolar osteotomy. In displaced body or complex talar neck fractures, the procedure may be greatly facilitated by this increased exposure.
7.
I prefer to continue the medial incision longitudinally, directly in line with the axis of the medial malleolus, extending just proximal to the supramalleolar region ( FIG 5A).
8.
After exposing the malleolus, without violating the perios-teum, the distal tip of the anterior and posterior colliculus of the medial malleolus must be predrilled ( FIG 5B) and tapped retrograde for two parallel, 3.5-mm interfragmentary cortical or 4.0-mm partially threaded cancellous screws.
9.
An oblique osteotomy directed toward the shoulder of the medial ankle mortise is performed using a very thin oscillating saw blade.
1.
This osteotomy is incomplete, advancing only to the level of the medial subchondral bone.
2.
The osteotomy is completed by gentle levering of a thin wide osteotome on the inner cortex ( FIG 5C).
10.
At this time, an anterior and partial posterior capsulotomy of the medial malleolus is needed to allow inferior mobilization of the malleolus. The deltoid vessels perfusing the medial body of the talus are protected with gentle retraction.
11.
Patients requiring this transmalleolar approach will routinely benefit from the associated anterolateral incision for optimal visualization of the proximal neck and body of the talus during reconstruction.
Posterior Approach
12.
An isolated posterior body fracture of the talus or displaced Hawkins type III fracture may require a posteromedial or posterolateral approach for fracture reduction and management.
13.
The incision is longitudinal, beginning at the midpoint of the calcaneus and extending a fingerbreadth medial or lateral to the Achilles tendon for approximately 6 to 8 cm ( FIG 6).
14.
When making the incision through the deep posterior compartment fascia, the surgeon must take care to identify and gently retract the medial neurovascular structures.
1.
The posterior tibial nerve and artery may be tethered over a posteriorly dislocated talar body fragment in a Hawkins type III fracture-dislocation, warranting extreme caution during the approach.
15.
After safely retracting the nerve and artery, the flexor hallucis longus (FHL) tendon represents a landmark directly posterior to the body of the talus.
1.
The FHL tendon is then retracted laterally to begin the reconstruction.
Lateral Approach
16.
Lateral process fractures of the talus are easily accessed using a direct lateral approach.
17.
A longitudinal 6- to 8-cm direct lateral incision is started 3 cm proximal to the distal tip of the lateral malleolus of the fibula, extending anteriorly in a curvilinear incision, in line with the axis of the foot.
18.
The lateral retinaculum and subtalar capsule are incised longitudinally, exposing the lateral process fracture ( FIG 7).
---
---
B
---
90° C Medial malleolus A reflected plantarly Comminuted dome of talus Plafond of distal talus ### FIG 5 • A. Transtectal medial malleolar osteotomy. B. Predrilling of medial malleolus. C. Malleolar osteotomy complete.
---
FIG 6 • A. Posteromedial incision. B. Flexor hallucis longus concealing posterior talus. C. Hemarthrosis of posterior capsule. A B
---
--- Posterior tibial nerve C Flexor hallus longus tendon Posterior capsule of ankle
--- Lateral subtalar joint ### FIG 7 • Freer elevator is used to reduce the lateral process of the talus fragment.
*
TECHNIQUES
*
OPEN REDUCTION AND INTERNAL FIXATION OF THE NECK OF THE TALUS Reduction 1. After completion of the medial approach, limited sharp dissection is performed only along the medial neck and head to remove extraosseous soft tissue attachments and expose the talar body, neck, and head and the talonavicular joint. 2. The medial fracture line is commonly found to have comminution that affects understanding of the true length and alignment of the medial column of the bone. 1. Inserting a mini-lamina spreader to gently disimpact the medial talar neck fracture allows restoration of length and alignment of the medial and dorsal surface of the neck. 2. Anatomic alignment is achieved using the dental probe and small elevators as reduction tools. 3. If the talar neck fracture is intra-articular with extension into the subtalar joint, the body fragment routinely assumes a flexed, malrotated position. 1. To derotate the talar body’s flexed position, the surgeon should firmly secure a percutaneous 4.0-mm external fixation half-pin into the body fragment through a posterolateral stab incision, acting as a joystick. Trial Fixation 4. Once the talar neck is reduced, the next step is to advance a single smooth Kirschner wire retrograde through the talar head, directed across the fracture into the posterior body, to hold the position of the medial talar neck fracture. 1. If no bony reduction keys are visible along the medial talar neck, due to comminution, the mini-lamina spreader is inserted in the fracture medially while the surgeon patiently reduces the medial talar neck alignment. 5. Talar neck fluoroscopy is necessary to evaluate translation and alignment of the fracture. This important step establishes the true length and alignment of the medial talar neck. 6. Again, a retrograde smooth or threaded wire is advanced across the fracture. 19. The surgeon then exposes the lateral neck of the talus. 1. The extra-articular fracture line reveals the lateral shoulder of the talar dome. 2. Comminution is rare; the fractures are simple, discrete patterns that reduce relatively easily by rotating around the medial Kirschner wire. 20. After reduction, a retrograde Kirschner wire is advanced through the lateral talar head and across the fracture, provisionally fixing the lateral side of the talus fracture. 21. Intraoperative fluoroscopy is performed to confirm the precise reduction of the fracture. 1. Close attention is paid to the Canale image of the talar neck to be sure there is no malalignment of the neck fragment. Screw Fixation 22. Definitive fixation of the medial talar neck fracture is achieved by gently subluxing the medial talonavicular joint to expose the articular surface of the talar head ( TECH FIG 1). 23. A countersunk interfragmentary 3.5-mm screw is advanced to the posterior body of the talus. 24. Laterally, very dense cortical bone along the proximal neck presents an excellent extra-articular location for advancing a second interfragmentary screw. 25. Fracture patterns of the talus make it difficult to insert parallel interfragmentary screws. 1. The medial screw is easily directed posterolaterally and the lateral screw posteromedially. 2. This pattern of fixation has never been found to affect healing. Plate Fixation 26. Talar neck fractures that are not amenable to interfragmentary screws because of comminution perform well with mini-plate fixation. 1. Four- or five-hole 2.0-mm mini-plates are easily contoured and applied along either the medial or lateral neck surfaces for fixation in these cases ( TECH FIG 2). 2. Plate fixation is especially helpful in cases with lateral comminution, or when the lateral shoulder is proximal to the fracture.
---
---
---
*
TECHNIQUES B C TECH FIG 1 • A. Bone model highlighting medial intra-articular, lateral extra-articular, and posterior screw fixation. B. Hawkins type II fracture. A C. Postoperative fixation.
--- TECH FIG 2 • Bone model depicting mini-plate and screw fixation of talar neck fracture. #### OPEN REDUCTION AND INTERNAL FIXATION OF THE NECK OF THE TALUS WITH A DISLOCATED TALAR BODY
3. Talar neck fractures with associated posterior dislocation of the body fragment (Hawkins type III) present an increased challenge to the surgeon.
1.
Fracture-dislocation of the body and talar head fragments (Hawkins type IV) is a severe pantalar injury, but reduction of the talonavicular joint is easily achieved through medial and anterolateral approaches. Reduction of the Body Fragment
4.
Reduction of the body fragment is an immediate goal with either injury type to diminish stretch on neurovascular structures and decompress local pressure phenomenon of the skin envelope.
1.
The body commonly dislocates posteromedially because of the retained tether from the deep deltoid ligament. However, the body may dislocate directly posteriorly or posterolaterally.
27.
A open Hawkins type III fracture-dislocation allows the surgeon access to the body fragment through the common transverse medial traumatic wound.
1.
A closed Hawkins III injury may warrant a posteromedial or posterolateral incision to access the body fragment if it cannot be retrieved through the medial approach.
28.
An associated medial or lateral malleolar fracture of the ankle helps reduction of the talar body dislocation immensely, particularly with disruption of the syndesmotic ligament.
29.
Reduction of the dislocated body fragment may be attempted in the emergency room using radiographic information and conscious sedation.
1.
A well-controlled, single attempt at closed reduction is reasonable.
2.
The hindfoot is positioned in equinus and the subtalar joint is distracted by gripping the heel and applying traction. ### TECHNIQUES
1. Next, the dislocated talar body fragment is pushed anteriorly.
2.
The main tether, if one exists, to the dislocated talar body fragment is the deep deltoid ligament medially. If intact, the deep deltoid ligament, which is short and nonelastic, allows for little motion, minimizing the yield of successful closed reduction.
3.
If the closed reduction is unsuccessful, manipulation and reduction under general anesthesia is recommended immediately in the operating room. Percutaneous Reduction
4.
A percutaneous reduction can be an effective and quick next step, particularly if the dislocated talar body is a single fragment.
5.
With the patient in the supine position, a large, firm sterile bump must be positioned under the calf of the patient.
6.
A 4-mm external fixation half-pin is advanced through the posterior tuberosity of the calcaneus, in line with the long axis of the bone, to the subchondral surface of the anterior process of the calcaneus.
7.
Next, a medial-to-lateral 4-mm half-pin is advanced across the dense subchondral distal tibia bicortically.
30.
A final 4-mm half-pin is manually, and carefully, advanced deep into the body of the talus through a 1.5-cm longitudinal incision.
31.
The rationale of the pin placement should be clear.
32.
The long calcaneal pin has terrific mechanical advantage with traction to the torn posterior capsule of the ankle.
33.
The surgeon distracts the distal tibial and calcaneal pin while a surgical assistant attempts to reduce the talar body anteriorly using the half-pin as a joystick. Reduction of the Talar Dome Fragment
34.
Reduction of the talar dome fragment, recalcitrant to a percutaneous reduction, must be done using a medial approach.
1.
The percutaneous 4-mm half-pins should be maintained for use in the open reduction.
2.
After completion of the medial approach, a lamina spreader or medium femoral distractor is applied medially, distracting the joint.
3.
The posterior talar body half-pin is used to lever the body fragment into a reduced position within the joint.
35.
Once the head, neck, and body fragments are reducible, reconstruction is performed by lag screw or mini-plate and screw fixation. #### OPEN REDUCTION AND INTERNAL FIXATION OF THE BODY OF THE TALUS
1. Reconstruction of talar body fractures is best performed using dual medial and anterolateral approaches with the addition of the medial malleolar osteotomy.
1.
Unless the fracture line is transverse and very anterior, allowing reasonable access by a standard dual approach, a transmalleolar approach is planned.
2.
Fracture patterns to the body of the talus occur in both sagittal and coronal planes. Regardless of the fracture plane, the principle is to work through the fenestration provided by the medial malleolar osteotomy, using fine-tipped dental probes, reducing the posterior portion of the body to the anterior body fragments.
36.
Small, smooth Kirschner wires are inserted from medial and lateral portals, provisionally fixing the body.
37.
Associated fractures of the neck of the talus are provisionally fixed after reduction of the body fracture.
1.
Interfragmentary, countersunk, mini-screws (2.7 or 2.0 mm) are sequentially inserted, fixing the body fragment.
1.
Headless screws can also be used for this fracture.
2.
Finally, countersunk, interfragmentary small fragment (3.5 mm) screws or mini-plate and screw constructs are used to fix the talar neck fracture ( TECH FIG 3).
---
---
---
A B C TECH FIG 3 • A. Bone model depicting talar neck and dome fracture (AP view). B. Bone model depicting talar neck and dome fracture (lateral view). C. CT image of coronal talar body fracture.
(continued)
---
---
---
TECHNIQUES D E F TECH FIG 3 •
(continued)
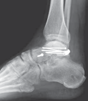
D. Postoperative fixation of talar body fracture requiring medial malleolar osteotomy. E. Postoperative lateral view of talar body fracture. F. Postoperative Canale view of talus. OPEN REDUCTION AND INTERNAL FIXATION OF THE POSTERIOR BODY OF THE TALUS
3.
Displaced, intra-articular posterior talar body fractures present largely in the coronal plane ( TECH FIG 4).
4.
I prefer to position the patient prone, on a sterile bump, and access the fracture through the posteromedial approach.
5.
Before inflation of a tourniquet, I recommend inserting medial, distal-third tibial and calcaneal external fixation half-pins. This will allow for application of a small femoral distractor, which aids in ankle and subtalar joint distraction.
6.
A headlamp worn by the operating surgeon aids visualization in this approach.
38.
Narrow Hohmann retractors are gently applied medially and laterally within the ankle joint, retracting the posterior tibial nerve and artery and FHL tendon, respectively. This allows exposure of the posterior talar fragment.
1.
The fracture is reduced using dental probes.
2.
Smooth Kirschner wires are inserted, posterior to anterior, provisionally fixing the fracture.
39.
The fracture is fixed either by interfragmentary, parallel screw fixation or a well-contoured mini-plate and interfragmentary screws.
1.
The posterior mini-plate is contoured in a curvilinear fashion to securely buttress the posterior talus.
---
---
---
---
C A E
---
TECH FIG 4 • A. Preoperative CT image of posterior talus fracture. B. Posteromedial longitudinal incision. C. Intraoperative location of half-pins to assist in ankle and subtalar joint distraction. D. Intraoperative mini-plate fixation. E. Postoperative B D lateral view. ### TECHNIQUES
OPEN REDUCTION AND INTERNAL FIXATION OF THE LATERAL PROCESS OF THE TALUS
1. Open reduction and internal fixation of fractures of the lateral process of the talus may be performed with the patient positioned either supine or direct lateral.
1.
Intuitively, the patient should be supine if other surgery is to be performed on the foot and ankle.
2.
After completing the lateral approach, the surgeon carefully evaluates the lateral process fracture ( TECH FIG 5A,B).
1.
I gently displace the fracture and assess the condition of the subtalar joint.
2.
Small fragments are commonly devoid of soft tissue attachments. Only very small fragments should be removed.
3.
Larger fragments, even those without soft tissue attachments, are needed to restore the structure of the lateral process in any closed fracture of the lateral process of the talus.
40.
Any anterior or posterior osteochondral fragments are reduced and provisionally fixed with small, smooth Kirschner wires.
1.
A Freer elevator is helpful to determine the anatomic subtalar joint line.
2.
Final reduction of the direct lateral fragments of the lateral process is provisionally fixed by Kirschner wires.
41.
Isolated lateral process fractures are best fixed by interfragmentary mini-screw fixation.
42.
Comminuted fractures should be buttressed by mini-screw and plate fixation to resist displacement against axial loads to the process ( TECH FIG 5C,D).
---
---
---
A B C
---
TECH FIG 5 • Lateral process fracture of talus. A. Preoperative CT image. B. Intraoperative view of fracture. C. Intraoperative view of fixation. D D. Postoperative image. #### EXTERNAL FIXATION
1. A talus devoid of soft tissue attachments should be immediately placed in a Bacitracin solution and transported to the operating room.
2.
After preparation and draping, the talus is placed in two or three Bacitracin and saline baths and gently scrubbed before reimplantation.
3.
A foot and ankle external fixator must be constructed ( TECH FIG 6).
1.
Initially, two 4-mm external fixation half-pins are inserted bicortically into the anterior distal third of the tibia.
1.
A 4-mm half-pin is inserted bicortically into the base of the first and fifth metatarsals.
2.
Finally, a 4-mm half-pin, or transfixion pin, is advanced from medial to lateral, bicortically, through the tuberosity of the calcaneus.
43.
An external fixation rod connects the two metatarsal base pins, forming a midfoot unit. It is important to leave excess rod on each end of the midfoot unit for further tibial-rod attachment.
44.
Next, an isolated, long external fixation rod is attached to the medial end of the midfoot unit and to the distal tibial half-pin, restoring neutral plantarflexion of the ankle.
1.
A second, long external fixation rod is attached to the lateral end of the midfoot rod and connected to the proximal tibial pin, controlling ankle varus and assisting dorsiflexion.
45.
Finally, external fixation rods are added, connecting the calcaneal pin to both the medial, midfoot rod and either tibial half-pin for increased frame rigidity and possibly to distract the subtalar joint.
---
---
---
---
TECHNIQUES A C TECH FIG 6 • A. Foot–ankle external fixation frame model using 4-mm half-pins. Attachments: distal third of the tibia, calcaneus, base of first and fifth metatarsals. B. Open peritalar dislocation. C. Application B D of foot–ankle frame. D. Delayed closure. PEARLS AND PITFALLS Avoid a medial approach to the neck ■ The tuberosity of the tarsal navicular is an important landmark identifying the plantar of the talus plantar to the insertion limit to the medial approach. Immediate swelling obscures palpation of this landmark. of the posterior tibial tendon. The neck of the talus is aligned eccentrically medial in the hindfoot. A medial malleolar osteotomy performed distal to the shoulder of the medial ankle mortise gives poor visualization of the talar dome. Beware of fixing the neck of the talus in varus malalignment. Medial screw fixation of talar neck fractures, not countersunk in the talar head, commonly achieves poor fixation in the metaphyseal bone. Do not use posterior-to-anterior screw fixation, with the patient in the prone position, for a displaced talar neck fracture.
1.
The anterolateral surgical approach should not be lateral to the syndesmosis unless to address fixation of the lateral process of the talus or débridement of subtalar comminution.
2.
The osteotomy should be made at the level of the joint using a thin saw blade. The surgeon should protect the soft tissues posterior to the malleolus during the osteotomy.
1.
The surgeon should view the Canale image intraoperatively with C-arm fluoroscopy (flexed knee, everted foot in equinus and C-arm tube directed 15 degrees caudad).
2.
The surgeon should avoid medial percutaneous fixation of talar neck fractures.
3.
Posterior-to-anterior fixation does not allow reduction of a displaced fracture. POSTOPERATIVE CARE
1.
The goal of operative and nonoperative treatment of talus fractures is to achieve bone union and restore hindfoot function.
1.
Return to preinjury status is commonly not achieved secondary to posttraumatic arthrosis and joint stiffness, but good functional outcomes are attained even in the most severe cases of talar neck and body fractures.
2.
Immediate postoperative treatment requires application of sterile ankle dressings and a well-padded, short-leg dressing with a posterior plaster splint.
1.
The ankle is positioned in neutral plantarflexion. Rigid internal fixation safely allows early postoperative ankle and subtalar motion.
3.
Before hospital discharge, the patient is taught to perform daily dressing changes and application of a foot and ankle compression Ace wrap to control swelling.
4.
The patient is to wear a removable short-leg fracture boot and remain absolutely non-weight bearing for 8 weeks.
1.
The fracture boot should be worn during the night for the initial 3 to 4 weeks after surgery to prevent an early Achilles tendon contracture.
2.
Active ankle and subtalar motion exercises are recommended.
5.
Immediate outpatient physical therapy after a talus injury routinely leads to excessive pain and ankle swelling.
1.
However, upper and contralateral lower extremity strengthening may be valuable during the initial, subacute, 6-week postinjury period.
6.
Partial avascular necrosis of the lateral dome of the talus is common. This may be seen because only the medial deep deltoid blood supply to the talar body remains intact after the injury.
1.
The Hawkins sign is an early subchondral radiolucent line indicating blood supply to the body of the talus. Its presence, seen on an AP radiograph at 6 to 8 weeks, indicates bone re-sorption, which is an active process requiring vascularity.
2.
Fortunately, patients with isolated regional osteonecrosis of the talar dome rarely experience late collapse.
3.
The lack of a Hawkins sign does not confirm osteonecrosis and may not be confirmed by plain radiographs until up to 3 months after the injury.
4.
There are no data to support extended periods of non-weight bearing in patients with partial avascular necrosis. Currently, the impact of weight bearing on the progression of osteonecrosis is unknown. Procedures designed to revas-cularize the talus, such as core decompression, are not recommended.
5.
Protected weight bearing with a patellar tendon-bearing brace to alleviate axial load to the hindfoot and refraining from repetitive-loading sports are reasonable early concerns to discuss with the patient.
7.
I recommend formal outpatient physical therapy starting at 6 weeks after surgery. The patient is non-weight bearing for 2 weeks, performing passive range of motion of the ankle and subtalar joints, isometrics of the leg, and possibly pool therapy.
8.
At 8 weeks, progressive weight bearing, strengthening, pro-prioception, and range-of-motion exercises ensue.
1.
Patients routinely display increased swelling of the injured extremity with weight bearing.
2.
Application of a 20- to 30-mm Hg compression stocking helps reduce swelling.
9.
By 3 months the patient should be weaned from the fracture boot and the transition made to an ankle brace applied within a shoe.
1.
Physical therapy can easily continue for up to 3 months with these injuries.
2.
The patient must be counseled on the importance of longterm exercise after the end of formal physical therapy.
10.
Nonoperative management of talus fractures requires cast immobilization for 6 weeks.
1.
After cast immobilization, the injury should be treated with a removable fracture boot and an outpatient physical therapy protocol.
2.
Progression to weight bearing is determined accordingly.
11.
Follow-up postoperative management requires a three-view plain radiographic ankle series. OUTCOMES
12.
If the patient does not develop a complication of a talus fracture or its management, requiring secondary reconstructive surgery, the functional outcome should be considered a success.
1.
Recent data evaluating the surgical timing of talus fractures maintain that the time to surgery does not correlate with outcome. There is no association between delay of operative management and avascular necrosis. This makes a strong case for provisional external fixation of reduced talus fractures as immediate treatment, particularly if the condition of soft tissues does not allow early open management.
2.
Risk factors that lead to lower functional outcomes include comminution, a higher Hawkins classification, open fracture, and associated ipsilateral lower extremity injuries.
13.
Osteonecrosis of the talus, posttraumatic arthrosis, joint stiffness, and varus malalignment can have a negative impact on the outcome.
1.
The incidence of avascular necrosis of the talar body has been shown to increase with the severity of injury. The Hawkins sign has an accuracy of 75%. This sign is considered a good predictor of a vascularized talar dome; however, the absence of a Hawkins sign does not necessarily indicate progression of avascular necrosis.
1.
Recent studies evaluating talar neck fractures identify an overall 50% incidence of avascular necrosis, with evidence of collapse of the talar dome in 31% of the cases.
2.
Posttraumatic arthrosis secondary to these injuries is more common than avascular necrosis and most often presents in the subtalar joint.
1.
Ankle arthrosis does not occur as an isolated outcome; it is seen in association with subtalar arthritis.
3.
Recent reports of talar body fractures show a 20% rate of early superficial wound complications. All patients were treated effectively with oral antibiotics and local wound care. Thirty-eight percent of cases developed avascular necrosis. Evidence of talar dome collapse presented in half of these cases by 14 months after the injury. Patients with talar dome fractures with osteonecrosis and posttraumatic arthrosis had the lowest functional scores.
4.
No consensus exists regarding the most appropriate treatment of the extruded talus. This is a rare injury with an intuitively poor prognosis.
5.
A recent study evaluating reimplantation of the talus promoted the consideration of retaining the talus if possible. In the study, 8 patients had pure dislocations and 11 presented with various major and minor fracture patterns associated with talar extrusion. All fractures and dislocations were stabilized and no wound was allowed to granu-late to closure. Talar collapse occurred within 1 year in all eight patients with major fractures. At an average of 42 months follow-up, there were two infections. Seven patients required secondary surgical procedures, including hardware removal, ankle arthroplasty with subtalar fusion, ankle fusion, bone grafting, débridement, and flap revisions. The authors clearly did not experience a high infection rate, supporting their conclusion that reimplantation is an effective solution to the challenging problem of traumatic talectomy. COMPLICATIONS
1.
Fractures of the talus have known complications associated with soft tissue and fracture healing, malunion, arthrosis, and avascular necrosis.
1.
Open fractures must be managed by a standard protocol including débridement, prophylactic antibiotics, fracture stabilization, and delayed closure.
2.
Soft tissue complications associated with talus fractures are predominantly superficial.
1.
If full-thickness slough occurs, however, a formal wound débridement is mandatory, followed by rotational or free flap coverage.
3.
The incidence of delayed union or nonunion of fractures of the talar neck varies in the literature between 0% and 10%. The presence of avascular necrosis is a primary cause of nonunion. Nonunion of the talar neck fracture may also result from poor fixation.
1.
If the cause of nonunion is unclear, the nonunion should be studied by magnetic resonance imaging or CT scan. Every effort should be made to revise fixation with autoge-nous bone graft when possible.
2.
Nonunion due to total osteonecrosis of the body of the talus requires removal of the body fragment and a tibiocal-caneal fusion.
4.
Nonoperative management of comminuted lateral or posteromedial process fractures can be unpredictable.
1.
If pain persists long after the patient has returned to full weight bearing and radiographic or CT imaging suggests nonunion, surgical resection of these fragments is routinely helpful. Pain is commonly linked to fibrous nonunion of these avulsion fragments.
5.
Malunion of the talus is predominantly due to varus malalignment. Malalignment of the talar neck is best prevented using dual medial and anterolateral approaches in combination with the Canale image intraoperatively when performing the pa-tient’s initial surgery.
1.
Subtalar and ankle arthrosis is the most common complication associated with fractures of the talus. The incidence of subtalar arthrosis is greatest.
1.
Arthritic symptoms can be managed effectively with non-steroidal anti-inflammatories. The hindfoot is also benefited by custom ankle bracing. The patellar tendon-bearing brace can effectively unload weight to the injured ankle, giving the patient increased relief.
2.
*If symptoms of arthrosis are not improved nonoperatively, the patient should be evaluated by selective hindfoot and ankle lidocaine injection. Relief of joint pain, whether unifocal or bifocal, will allow the surgeon to counsel the patient on further reconstructive treatment.
Scientific References
-
** 1.** Burgess AR, Dischinter PC, O’Quinn TD, et al. Lower extremity injuries in drivers of airbag-equipped automobiles: clinical and crash reconstruction correlations. J Trauma 1995;38:509–516.** 2. **Canale ST, Kelly FB. Fractures of the neck of the talus: long-term evaluation of 71 cases. J Bone Joint Surg Am 1978;60A:143–156.** 3. **Cedell CA. Rupture of the posterior talotibial ligament with avulsion of a bone fragment from the talus. Acta Orthop Scand 1974;45:454–461.** 4. **Comfort TH, Behrens F, Gaither DW, et al. Long-term results of displaced talar neck fractures. Clin Orthop Relat Res 1985;81–87.** 5. **Elgafy H, Ebrahelm NA, Tile M, et al. Fractures of the talus: experience of two level one trauma centers. Foot Ankle Int 2000;21:1023–1029.** 6. **Haliburton RA, Sullivan CR, Kelly PJ, et al. The extra-osseous and intra-osseous blood supply to the talus. J Bone Joint Surg Am 1958; 40A:115.** 7. **Hawkins LG. Fractures of the neck of the talus. J Bone Joint Surg Am 1970;52A:991–1002.** 8. **Lindvall E, Haidukewych G, DiPasquale T, et al. Open reduction and internal fixation of isolated, displaced talar neck and body fractures. J Bone Joint Surg Am 2004;86A:2229–2234.** 9. **McCrory P, Blading C. Fractures of the lateral process of the talus. Clin J Sport Med 1996;6:124–128.** 10. **Mulfinger GL, Trueta J. Blood supply to the talus. J Bone Joint Surg Br 1970;52B:160–167.** 11. **Patel R, VanBergyk A, Pinney S. Are displaced talar neck fractures surgical emergencies? A survey of orthopaedic trauma experts. Foot Ankle Int 2005;26:378–381.** 12. **Pleuriau PB, Browkaw DS, Jelen BA, et al. Plate fixation of talar neck fracture: preliminary review of a new technique in 23 patients. J Orthop Trauma 2002;16:213–219.** 13. **Sanders DW, Busam M, Hattwick E, et al. Functional outcomes following displaced talar neck fractures. J Orthop Trauma 2004;18: 265–270.** 14. **Smith C, Nork S, Sangeorzan B. The extruded talus: results of reimplantation. J Bone Joint Surg Am 2006;88A:2418–2424.** 15.** Vallier H, Nork S, Benirschke S, et al. Surgical treatment of talar body fractures. J Bone Joint Surg 2003;85A:1716–1724.
You Might Also Like