Pediatric Ankle Fractures: An Intraoperative Masterclass on Surgical Management

Key Takeaway
This masterclass offers an immersive, step-by-step guide to surgically managing pediatric ankle fractures. We delve into intricate physeal anatomy, detailed preoperative planning, and precise intraoperative execution from incision to fixation. Emphasis is placed on meticulous reduction, preserving growth plates, and avoiding neurovascular complications. Fellows will gain critical insights into preventing premature physeal closure and optimizing long-term functional outcomes for our young patients.
Chapter
18
## Operative Management of Pediatric Ankle Fractures
Bryan T. Leek and Scott J. Mubarak
DEFINITION
1. Ankle fractures account for about 5% of all pediatric fractures and are second only to distal radius fractures as the most prevalent long-bone physeal fracture comprising approximately 15% of these injuries.1
2. As in most pediatric trauma, nonoperative management is the mainstay of treatment; however, surgical indications can be specific to the pediatric population.
1. Surgical treatment is mandated with any significant articular incongruity as in the adult population.
2. It is our experience that physeal fractures of the distal tibia require near-anatomic alignment to prevent the complication of premature physeal closure.1,7
3. Classification of pediatric ankle fractures can be a practical tool for both the treatment and prognosis of these fractures.
1. The most common classification scheme for pediatric ankle fractures is the anatomic Salter-Harris method for physeal fractures.
2. We have found the Lauge-Hansen mechanistic classification derived for adults is very useful, as this aids in conceptualizing the reduction technique by reversing the fracture pattern. Also, our data have shown that pronation-type injuries have a higher rate of premature physeal closure than the supination–external rotation type of injuries.7
3. We also find this useful as most orthopaedic surgeons are familiar with this classification.
4. Additional classification systems include the fibular-based Danis-Weber system, as well as a more comprehensive classification suggested by Dias and Tachdjian that uses the Lauge-Hansen guidelines correlated with the Salter-Harris classification.2,4
4. Transitional fractures of the ankle occur near skeletal maturity and are due to the asymmetric closure of the distal tibial physis.
1. Triplane fracture is described as a complex Salter-Harris type IV fracture that consists of sagittal, transverse, and coronal components with an epiphyseal and metaphyseal fragment.
2. Tillaux fractures occur most often in adolescents within 1 year of distal tibial physeal closure. They involve an external rotational force that avulses off the anterolateral aspect of the tibial epiphysis, which is attached to the anterior tibiofibular ligament, which is stronger than the residual open physis laterally.
ANATOMY
5. The ligaments of the ankle attach to the epiphyses, provide stability to the ankle mortise, can play a role in the pathome-chanics of transitional fractures as the growth plate closes (triplane and Tillaux fractures), and are often more stout than the growth plate about the ankle, leading children to sustain physeal fractures more readily than ankle sprains.
1. The anteroinferior tibiofibular ligament attaches strongly to the anterolateral border of the tibial epiphysis, and with an external rotation force on the foot it has the ability to avulse off the anterior lateral fragment of the tibial epiphysis; the strength imbalance between the ligament and weaker physis can create the transitional Tillaux and triplane fractures.
6. The anatomy of the distal tibial physis is relevant to understanding certain ankle fractures and their management and prognosis.
1. The secondary ossific nucleus of the distal epiphysis appears between 6 and 24 months, with the apophysis of the medial malleolus often extending from an elongation from this ossific nucleus or from a separate ossification center, the os subtibiale, which ossifies between 7 and 8 years of age.
2. The distal tibial physis is for the most part transverse; however, there is an anterior medial undulation that consistently appears within the first 2 years of life that has been described by Kump (termed Kump’s bump). This central-medial location is where physiologic physeal closure begins (
FIG 1
).
3. Physeal closure of the distal tibia occurs around 15 years of age in girls and 17 years of age in boys.
4. Closure progresses from the central-medial location of Kump’s bump medially, then laterally from this location, over about 18 months.
7. The anatomy about the physis also greatly influences ankle fractures in children.
1. The perichondral ring of La Croix is a transitional area between the articular cartilage and the periosteum of the di-aphysis, which is perichondrium and retains the potential for producing cartilage and bone.
2. Functionally, the perichondral ring provides stability to the physis and may play a role in certain fractures and growth plate injuries in children.
---
FIG 1•
Kump’s bump. The
arrow
demonstrates the central-medial–located Kump’s bump, which is where physeal closure begins. We believe that damage to this structure may induce premature physeal closure.
1134
1. Also, this periosteum, rigidly attached to the perichondral ring, can become interposed in the fracture site and obstruct anatomic reduction.
PATHOGENESIS
1. The Lauge-Hansen classification system was developed in 1950 to understand the injury mechanism by reproducing the fracture patterns in cadavers.4
2. This classification is a two-part classification, with the initial portion describing the position of the foot at he time of injury (eg, supination, pronation) and the following portion describing the direction of the deforming force; the forces are either rotational (internal or external) or translational (abduction or adduction).
3. This system grades the severity of ankle injuries as I to IV in rotational patterns and I to II in translational patterns.
4. In our most recent series of 114 classifiable ankle fractures (Salter II) using the Lauge-Hansen system, supination–external rotation (SER) composed 66%, abduction 30%, pronation–external rotation 3%, and axial crush injuries 1%.7
5. The activity that resulted in ankle fractures varied in our series, with most occurring during falls and sports.1,7
6. SER fractures did not seem to have any specific activity that was more likely to produce premature physeal closure; however, abduction injuries occurring with playing soccer or skate-boarding were much more likely to develop premature physeal closure when compared to other activities.
7. Specific anatomy and growth plate closure patterns create certain fractures in adolescence.
1. For example, the same external rotation mechanism can produce a Tillaux or a triplane fracture depending on the age and degree of physeal closure of the child.
2. The last portion of the distal tibial physis to close is lateral. This is often an area of weakness in the skeletally maturing child, allowing an anterolateral fragment to be avulsed from the epiphysis, creating Tillaux fractures or the fragments in the triplane fracture.
NATURAL HISTORY
8. Premature physeal closure of the distal tibia has been historically described as a rare sequela in physeal fractures, with an incidence as low as 2% to 5%.1
9. Our recent data demonstrate an overall 38% incidence of physeal arrest in Salter-Harris I and II fractures; however mechanism and treatment modality has been shown to affect this incidence.7
1. SER injuries have a better prognosis for premature physeal closure, with a 38% overall incidence, as compared to abduction-type injuries, with a 52% overall incidence.
2. In SER-type injuries the rate of premature physeal closure in patients treated without surgery was 56%; the incidence rate was only 16% in those who were treated with open reduction.
3. Abduction injuries had a relatively poor prognosis for premature physeal closure whether the intervention was closed treatment (54.5% closure rate) or open treatment (50% closure rate).
4. This difference in prognosis between SER and abduction injuries may be explained by the shearing force of Kump’s bump that may occur in abduction injuries, as opposed to less traumatic rotational force to this anatomic structure that occurs with SER injuries.
1. These data have relevance in operative indications in pediatric ankle fractures, as an earlier series demonstrated a 3.5-fold increase in the premature physeal closure rate if a gap of 3 mm or more was present on the postreduction imaging of Salter-Harris type I and II fractures.
1. Our experience suggests that periosteum interposed in the physis leads to residual fracture gapping and ultimately premature physeal closure.
2. The orthopaedic surgeon should discuss the potential for premature physeal closure with the family at the initial visit, particularly with an abduction type of injury.
PATIENT HISTORY AND PHYSICAL FINDINGS
3. As in adult trauma, the initial evaluation of children’s ankle injury consists of eliciting the mechanism and timing of injury.
4. Basic examination should consist of evaluating the skin and soft tissues, finding areas of maximal tenderness to palpation, and obtaining an accurate sensory, motor, and vascular examination.
5. Particular issues that must be considered in the diagnosis of ankle fractures in children include osteomyelitis and child abuse.
1. Osteomyelitis prevalence is 1 per 5000 children. It generally occurs in the vascular loops of the metaphyseal regions of bone in children and can occur because of hematogenous spread or as a result of trauma, which can further complicate diagnosis.
2. A good history of the proximity of pain onset relative to the inciting trauma will help differentiate trauma from infection.
3. Metaphyseal fractures of the distal tibia in children can be concerning for child abuse, as the mechanism can be attributed to forceful pulling or twisting of the extremity, fracturing the cancellous bone through the metaphysis. Additional concerns are bilateral extremity fractures and fractures at different stages of healing.
6. Visualization of the skin is critical in evaluation for potential open injuries. The quality of skin can also affect the timing of surgical fixation and give insight into the energy and location of injury.
7. Palpation of the ankle can assist in locating the injury and may allow diagnosis of occult physeal fractures or ligamentous injuries not seen on radiographs.
8. Establishing preoperative deficits is critical in their postoperative management and aids in establishing the need to release the extensor retinacular compartment.
9. In ankle injuries preoperative deficits can be due to nerve contusion or laceration, in addition to tendon disruption or mechanical block. This can affect the surgical approach.
10. Vascular status is the key to the ultimate viability of the extremity. If deficits are found, the fracture should be immediately reduced. If a deficit is still present after reduction, a vascular study may be considered versus immediate operative exploration to evaluate for transient spasm or vascular injury.
IMAGING AND OTHER DIAGNOSTIC STUDIES
11. If there is any suspicion of an ankle injury, a complete plain radiographic ankle series should be performed. This consists of anteroposterior (AP), lateral, and mortise views (
FIG 2A–C
).
1. The mortise view is critical and is taken from anterior to posterior with the foot internally rotated 20 degrees to view
---
A B C D E
---
FIG 2•
Triplane fracture imaging. All ankle fractures require a plain radiographic series comprising AP (
A
), lateral (
B
), and mortise views (
C
).
D–G.
Three-dimensional CT reconstructions can aid in operative planning, especially for the difficult-to-
F G visualize intra-articular fractures.
the talus with a symmetric clear space seen medially and laterally.
1. The importance of the mortise view is seen in Tillaux fractures, where the anterior lateral fragment is often obscured by the overlap of the posterior fibula on the AP view and is not well visualized on the lateral view.
1. We do not advocate stress radiographs in children; however, we will use a external rotation stress view intraoperatively to evaluate for syndesmosis injury if suspected in children near skeletal maturity.
2. Accessory ossicles can be commonly visualized on plain radiographs and may be confused with ankle fractures.
1. These include the os subtibiale medially (up to 20% of population), the os trigonum posteriorly (about 10% of population), and the os fibulare laterally (about 1% of population).
3. Contralateral comparison films may be helpful to differentiate accessory ossicles from a fracture.
4. Computed tomography (CT) is required to fully understand many ankle fractures, and we often advocate three-dimensional postreduction CT scans (
FIG 2D–G
).
1. We advocate CT scans for intra-articular fractures that show any evidence of displacement on plain radiographs, and we routinely obtain three-dimensional CT scans for triplane and many Tillaux fractures after attempted closed reduction.
2. For any physeal fracture with apparent displacement in children with greater than 2 years of growth remaining, we advocate CT scanning of the ankle to evaluate for displacement, as we recommend operative treatment for trapped periosteum with greater than 2 mm of displacement.
5. At time of injury for Salter-Harris type I, II, and triplane fractures of the distal tibia, we also obtain plain radiographs, with an AP view of the left hand to establish bone age and AP and lateral views of the contralateral ankle for a baseline for physeal maturity and physeal comparison.
DIFFERENTIAL DIAGNOSIS
6. Ankle sprain
7. Accessory ossicle
8. Osteochondral lesion (osteochondritis dissecans)
9. Contusion
10. Osteomyelitis
NONOPERATIVE MANAGEMENT
11. Our clinical pathway for surgery advocates all closed ankle fractures have an attempt of closed reduction under conscious sedation in the emergency department.
12. Reductions generally take place in our emergency department with the use of ketamine for conscious sedation and the aid of a portable image intensifier.
13. Reduction maneuvers should reverse the established mechanism of injury derived from patient history and fracture pattern, such as the Quigley maneuver for the abduction–external rotation type of fractures.
14. All our children are placed in fiberglass casts that are initially univalved with plastic spacers inserted in the cast to accommodate for swelling (
FIG 3
).
15. In children with a high-energy mechanism or with any neurovascular change that has not improved after reduction, admission for serial neurovascular checks to monitor for compartment syndrome is recommended.
16. For Salter-Harris type I, II, and triplane fractures, if a near-anatomic reduction is obtained with 2 mm or less of residual displacement, we will proceed to a long-leg cast and non-weight bearing for 4 weeks with periodic radiographs, with the frequency depending on the stability of the fracture pattern.
17. To assess residual displacement in both the physis and articular surface, CT scan provides more accurate anatomic assessment, and we routinely perform plain radiographs and CT scans after reduction.
FIG 3 • Postreduction casting. Long-leg fiberglass cast after reduction of distal tibial physeal fracture is univalved, spacers are later placed, and the cast is overwrapped with waterproof tape.
1. For physeal fractures that do not attain this reduction tolerance, we advocate closed reduction under general anesthesia. If we do not meet our less-than-2-mm-displacement tolerance, we proceed to perform open reduction and internal fixation in children with more than 2 years of growth remaining.
2. In children close to skeletal maturity, we will accept a less anatomic reduction of the physis, but not the joint.
3. For children with any residual intra-articular irregularity, we will generally obtain a CT scan, and if we feel we can improve on the anatomic alignment, we will proceed with open reduction and internal fixation.
SURGICAL MANAGEMENTPreoperative Planning
4. A repeat attempt at closed reduction may be made in the operating room under general anesthesia in many ankle fractures to see if the fracture would be amenable to closed reduction and casting, or closed reduction and percutaneous pinning.
5. CT scanning with three-dimensional reconstructions now allows the surgeon to truly understand ankle fracture pathoanatomy beyond our previous abilities. We feel these studies are essential in preoperative planning in many complex ankle fractures, especially triplane fractures.
1. Evaluation of the CT scan allows understanding of the complex configuration of these fractures and ultimately allows the planning for lag screw placement in relation to the fracture planes.
2. As mentioned previously, CT scans are also important in assessment of the need for open reduction of the fracture due to gapping of the growth plate.
3. For the most part, in children with open growth plates, transphyseal fixation should involve only smooth Kirschner wires; screws may be used, positioned parallel to the physis.
Positioning
4. Almost all ankle fractures can be addressed in the supine position.
1. If lateral ankle exposure is necessary, a bump can be placed underneath the operative hip to improve lateral visualization.
5. The image intensifier is positioned with the screen at the foot of the table angled toward the surgeon on the operative side, while the C-arm should come in directly from the opposite side of the operative ankle.
6. The operative leg can be elevated with blankets or a foam pad to allow a pull-through lateral view unobstructed by the contralateral extremity.
7. Nonsterile tourniquets are applied as proximal as possible before sterile draping.
Approach
8. The anterior approach involves an incision of about 8 to 10 cm over the distal tibia.
1. The superficial peroneal nerve lies over the ankle retinaculum at this level and should be avoided.
2. The superior extensor retinaculum is incised at the interval between the extensor digitorum longus and the extensor hallucis longus.
3. Care is taken not to injure the neurovascular bundle consisting of the deep peroneal nerve and anterior tibial artery, which lies in this interval.
9. The posteromedial approach to the ankle consists of an incision about 8 to 10 cm roughly midway between the medial malleolus on the medial border of the Achilles tendon.
1. The deep fascial layers are incised longitudinally to expose the flexor tendons posterior to the ankle. At this level the flexor hallucis longus is the only muscle that still has muscle fibers.
2. Dissection is carried out along the lateral border of the flexor hallucis longus, which will still have identifiable muscle fibers at the level of the ankle, and the ankle is exposed as the flexor hallucis longus is retracted medially.
3. Care must be taken because the neurovascular bundle is just medial to the flexor hallucis longus; the tibial nerve is relatively large in young children compared to the tendon of the flexor digitorum longus.
10. The lateral approach involves an incision over the posterior margin of the fibula toward the distal end centered about the fracture site.
1. The short saphenous vein and the sural nerve run just posterior and inferior to the distal portion of the lateral malleolus.
11. The medial approach can be centered more anterior or posterior depending on the location of the medial malleolar fracture and the need to visualize the posterior tibia.
1. The incisions for these approaches should be centered over the malleolus longitudinally but should not be over the most prominent portion of the malleolus to prevent irritation.
2. Anterior to the medial malleolus run the long saphenous vein and the saphenous nerve, which should be preserved.
TECHNIQUES SALTER-HARRIS TYPE I AND II DISTAL TIBIA FRACTURES 1. A standard anterior approach for the SER fractures is used as described above.
2. For a medially gapped Salter Harris type II abduction injury, a medial approach is used (
TECH FIG 1
).
1. The approach can be made slightly more medial or lateral depending on the location of the fracture.
3. The fracture and growth plate should be identified and defined.
1. The fracture will most always be associated with a fracture hematoma.
2. The growth plate and perichondral ring should be identified and protected.
1. The physis has an identifiable white cartilaginous appearance.
3. Two Hohmann-type retractors can be placed around the distal tibia to allow for exposure.
4. Once exposure is obtained the interposed periosteum can be removed by using a Freer elevator to carefully sweep this periosteum out of the physis.
1. Care should be taken to preserve the periosteum, as it provides blood flow to aid in fracture healing and can be intimately associated with the perichondral ring.
5. The periosteum, however, may be carefully incised and radially cut to obtain adequate reduction.
6. It is our experience in children that if necessary the periosteum can be sacrificed for anatomic reduction, as nonunion and infection are much less of a problem in this population than premature physeal closure.
3. The perichondral ring should be protected as much as possible.
18. At this point, under direct visualization, the reduction is achieved and manually held in place.
1. Once the periosteum is atraumatically removed from the fracture site and physis, the reduction should be obtained without much difficulty and should be relatively stable.
19. Many Salter type II fractures can be successfully stabilized with two 0.062-inch smooth Kirschner wires.
1. The wires are placed from distal to proximal, from the anteromedial malleolus and from the anterolateral corner of the tibial epiphysis (
TECH FIG 2
).
---
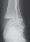
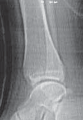
A B CTECH FIG 1•
Surgical approach to a medially gapped fracture.
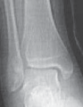
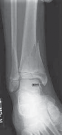
A.
This AP radiograph demonstrates a medially gapped Salter-Harris type II abduction-type fracture.
B.
A medial approach is used to obtain open reduction of this fracture.
C.
This operative photograph highlights the periosteum interposed in the physeal fracture, which was extracted to obtain anatomic reduction and prevent medial gapping.
---
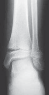
A B C DTECH FIG 2•
Treatment of Salter-Harris type II supination–external rotation (SER) type of fracture with interposed periosteum.
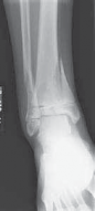
A,B.
Radiographs demonstrate a Salter-Harris type II SER type of fracture gapped anteriorly.
C.
Periosteum (shown in red) is often interposed anteriorly in SER-type Salter-Harris II fractures, which prevents closed reduction.
D.
This periosteum must be carefully extracted from the physeal fracture to obtain anatomic reduction and decrease the chance of premature physeal closure.
(continued)
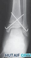
TECHNIQUES E F G HTECH FIG 2•
(continued)_E,F. Open reduction was obtained after failed closed reduction due to interposed periosteum in the physeal fracture. Then the fracture was stabilized with two crossed Kirschner wires placed percutaneously. G,H. At 1 year postoperatively the distal tibial physis appears open. The _red arrows
mark the Harris growth line, which is parallel with the physis, demonstrating symmetric growth after injury. This further supports that the tibial physis is open.
1. The entry point of the percutaneous pins must be placed distally enough through the skin to enter the bone at the appropriate starting point.
2. On insertion, the Kirschner wires can be directly visualized through the open incision at their appropriate entry point into bone.
20. Occasionally there may be large metaphyseal fragments that may be more appropriately stabilized with one or two lagged cancellous bone screws.
1. These screws should be placed proximal to the physis and perpendicular to the fracture site.
21. Cannulated screws can be used, based on the surgeon’s preference.
TILLAUX FRACTURES: SALTER-HARRIS TYPE III FRACTURES
1. An anterolateral approach to the ankle is used.
2. This fracture can be fixed by a distal-to-proximal, and anterior-to-posterior, compressive interfragmentary cancellous screw (
TECH FIG 3
).
3. Again, cannulated screw fixation may be used if the surgeon prefers it to the use of noncannulated screws.
22. Crossing the physis is not contraindicated in this fracture pattern because by definition the medial physis is closed and complete physeal closure is imminent.
---
A B C D
---
TECH FIG 3•
Tillaux fracture treatment.
A,B.
Tillaux fractures are often not seen clearly on plain radiographic views, and it is important to obtain a mortise view to see the fracture fragment that is obstructed by the fibula in standard AP views.
C,D.
CT scans often aid in fracture characterization and operative planning.
E,F.
These fractures are fixed with compressive interfragmentary cancellous screws across the fracture site, without concern for transphyseal fixation as these patients are always
E F close to skeletal maturity.
### TECHNIQUES
MEDIAL MALLEOLAR FRACTURES: SALTER-HARRIS TYPE III AND IV FRACTURES
1. If there is only a small metaphyseal fragment, these fractures may be fixed with 4.0-mm cancellous bone screws or Kirschner wires completely within the epiphysis and parallel to the physis and joint (
TECH FIG 4
).
1. These fractures can be treated percutaneously if anatomic reduction can be attained by closed treatment; however, a small incision can easily allow direct visualization of the reduction. A BTECH FIG 4 • Medial malleolar fracture fixation with an epiphyseal screw. If there is only a small metaphyseal fragment, medial malleolar fractures can be fixed with compressive screws placed within the epiphysis, parallel to the physis. Cannulated screws can be used to help ensure the physis is not compromised. 23. If a larger metaphyseal fragment is present, another metaphyseal screw can be placed parallel to the physis in addition to the epiphyseal screw.
24. If the patient is skeletally immature and the fracture is not amenable to intraepiphyseal fixation, Kirschner wires may be placed across the fracture site and physis for stability of the fracture and later removed.
1. This method can also be used if there is a small avul-sion fragment off the medial malleolus.
25. If the patient is near skeletal maturity, these fractures can be treated as in adults with two partially threaded cannulated screws placed perpendicular to the fracture site.
1. Alternatively, in this population near maturity, compression across the fracture and apophysis can be obtained with two Kirschner wires compressed by means of a tension band wire loop.
26. In certain cases it has been advocated to excise and discard the metaphyseal fragment to allow improved visualization of the physis and prevent bony bridging in this area. However, we do not advocate this form of treatment.
1. We do not advocate this approach as our goal is to ultimately restore anatomic alignment.
2. If it is necessary to remove this bony fragment, we will subsequently replace it after anatomic alignment is restored and the physis is atraumatically cleared of any mechanical blockages.
TRIPLANE FRACTURES: SALTER-HARRIS TYPE IV FRACTURES
1. Triplane fractures are typically geometrically complicated fractures that, as mentioned above, are transitional fractures that involve the distal tibial physis at the time of its asymmetric closure during the early teenage years.
2. Because these fractures are typically quite complex, we advocate CT scans with three-dimensional reconstruction for visualization and surgical planning (see Fig 2).
27. The surgical approach depends on the complexity of the fracture: these fractures can be two-, three-, or four-part fractures (
TECH FIG 5A–C
).
28. Growth plate disturbance is not typically a problem owing to the proximity to skeletal maturity in these patients.
29. Anatomic alignment of the articular fracture at the joint surface is important in the outcomes of these patients.
A B CTECH FIG 5•
Triplane fractures can be two-part (
A
), three-part (
B
), or four-part (
C
) fractures, but all involve an intra-articular epiphyseal component in addition to a metaphyseal component, making them Salter-Harris type IV fractures.
(continued)
--- DTECH FIG 5 •
(continued)
D,E. In complex triplane fractures, screws often need to be placed both at the level of the epiphysis and the metaphysis, as dictated by the specificE fracture pattern. 1. Two-part and sometimes three-part fractures can be ■ The medial incision allows application of the epiphy-anatomically reduced and fixed through an isolated an- seal screw.
terolateral approach. ■ Both incisions will allow direct visualization of the
2. Generally lag screws need to be placed at the level of both fracture reduction.
the epiphysis and metaphysis, and it is often most practi- ■ If the fibula is significantly fractured and shortened it is cal to employ a two-incision approach to obtain reduction important to either anatomically reduce or reduce and and better access to fracture fixation (
TECH FIG 5D
). internally fix the fibula to obtain an appropriate tem-
1. The anterior incision is used to obtain lag fixation of plate for the anatomic length of the ankle mortise. the metaphyseal fragment, often in the coronal
plane, and to visualize the joint surface.
|
TECHNIQUES
| ---|---|
FIBULAR FRACTURE FIXATION
1. Distal fibula fractures in patients who are skeletally im-
Metaphyseal Distal Tibial Fractures
mature may be treated with a large-diameter smooth
1. Mercer Rang has given metaphyseal distal tibial fractures
Kirschner wire as intramedullary fixation from a distal
entry point at the tip of the lateral malleolus in a retro- in children the eponym of Gillespie fractures.
2. Often these fractures need to be reduced in some equinus
grade fashion.
1. The starting point should be at the distal tip of the to allow for anatomic alignment and prevent recurvatum.
1. Generally, metaphyseal distal tibial fractures that have
lateral malleolus.
1. Distal fibula fractures in skeletally immature patients failed closed management can be treated with cross-pin-may also be cross-pinned if the fracture pattern allows. ning using smooth Kirschner wires.
1. Some metaphyseal fractures may be amenable to flexible
2. For patients close to skeletal maturity, interfragmentary
fixation can be used with or without a one-third tubular intramedullary nailing in an anterograde fashion if they
plate just as in a skeletally mature patient. are not too distally located.
ALTERNATIVE TECHNIQUES
1. External fixation may be a useful tool in grossly contam- ■ There are no pediatric-specific rules for external fixa-inated fractures or fractures with significant soft tissue tor application other than to avoid physeal damage compromise, such as a lawnmower injury. by crossing the growth plate.
1. The goals of the external fixator are to maintain ■ Large, medium, or even small external fixator sets length and to ensure there is no pressure on the soft may need to be available depending on the size of tissues from bone fragments, while the soft tissues the child.
recover. ■ Syndesmosis injuries generally occur in the pediatric pop-
2. External fixators can be used as temporizing devices ulation only at or near the time of skeletal maturity; thus, or definitive treatment. these injuries can generally be treated like adult injuries.
PEARLS AND PITFALLS
Use of CT scans ■ We advocate regularly obtaining postreduction CT scans to evaluate physeal gap as well as joint space con-gruity; many plain radiographs may be misleading in assessing how anatomic a reduction may be.
Superior extensor ■ Patients presenting with severe ankle pain and swelling, hypoesthesia or anesthesia in the first dorsal web retinaculum space, weakness of the extensor hallucis longus and extensor digitorum communis, and pain on passive syndrome flexion of the great toe (
FIG 4
) should be evaluated for superior extensor retinaculum syndrome with pressure
measurement and should likely have a release of their superior extensor retinaculum to prevent ischemic changes. Untreated, the natural history of this syndrome involves a residual sensory deficit in the first dorsal web space and contracture of the extensor hallucis longus and extensor digitorum brevis.3
Premature physeal ■ To attempt to mitigate this complication we have developed an algorithm: closure ■ Nondisplaced fractures (less than 2 mm) are casted.
1. Displaced fractures undergo closed reduction under general anesthesia or conscious sedation, then casting for 3 to 6 weeks if displacement is successfully reduced to less than 2 mm.
1. If still displaced more than 4 mm, open reduction and internal fixation is undertaken.
2. If displacement is 2 to 4 mm with less than 2 years of growth remaining, casting is undertaken.
3. If the displacement is 2 to 4 mm and the patient has at least 2 years of growth left (girls under 12 years old and boys under 14), the surgeon’s preference of open reduction and internal fixation or casting is done.
4. In addition to prereduction and postreduction ankle radiographs, to direct this algorithm we routinely obtain contralateral ankle radiographs and left-hand bone age films and, if there are any questions about fracture displacement, a postreduction CT scan.
5. Additionally, we follow up with patients with growth plate fractures at regular intervals until skeletal maturity.
Abduction injuries ■ Abduction-type injuries carry a worse prognosis, leading to premature physeal arrest in spite of treatment versus SER-type (open reduction versus closed treatment), whereas the prognosis for SER injuries involving the growth plate
injuries can be greatly improved by anatomic reduction. These issues should be discussed with the family preoperatively.
Postoperative ■ For follow-up after physeal injuries we routinely obtain baseline radiographs of the contralateral
follow-up ankle, and an AP view of the left hand for establishing bone age. After initial fracture management followup is maintained at 6-month intervals and should include bilateral ankle radiographs.
6. Alignment of both the child’s ankles should be assessed while weight bearing, as malalignment can be a sequela of premature physeal closure. If closure is noted, early physeal assessment with CT scans is necessary to prevent ankle deformity and leg-length discrepancy.
Cross-section illustrated below
Anterior tibial artery
Deep peroneal nerve
Pain and tenderness
Hypesthesia toe web space
Extensor hallucis weakness
Superior extensor retinaculum
Anterior tibial artery
Anterior tibial tendon
Extensor hallucis longus muscle and tendon
Extensor digitorum longus tendon
Peroneus tertius
B
muscle and
Pain with passive stretch
and veins
Greater saphenous vein
Deep peroneal nerve
Tibia
A
tendon
Fibula
FIG 4•
Superior retinaculum syndrome.
A.
Cross-sectional view of the superior retinaculum tunnel, which may require release with displaced physeal fractures.
B.
Patients presenting with severe ankle pain and tenderness, hypoesthesia or anesthesia in the first dorsal web space, weakness of the extensor hallucis longus and extensor digitorum communis, and pain on passive stretch of the great toe may require release of the superior extensor retinaculum. (
A
: Adapted from Mubarak SJ.
Extensor retinaculum syndrome of the ankle after injury to the distal tibial physis. J Bone Joint Surg Br 2002;84B:11–14.)
POSTOPERATIVE CARE
1. Treatment after surgical fixation generally consists of immobilization with a short-leg cast applied in the operating room, and the patient is kept non-weight bearing for 4 weeks.
1. We univalve our fiberglass casts and place plastic spacers taped in with waterproof tape to accommodate for swelling, with the patient returning in 1 week for removal of spacers and cast overwrap and tightening with fiberglass (see Fig 3).
2. Four weeks postoperatively the cast is changed to a weight-bearing cast and the child is allowed to be weight bearing as tolerated for 2 or 3 more weeks with a cast shoe.
3. With percutaneous pin fixation we use 0.062-inch Kirschner wires left through the skin, which are removed at the 4-week cast change.
4. Physical therapy is rarely needed for range of motion in the preadolescent population as daily activity with walking often suffices to restore function. Occasionally adolescents may benefit from physical therapy for range of motion and propriocep-tive conditioning.
5. We advocate follow-up for at least 1 year, at 3, 6, and 12 months, then every 6 months until skeletal maturity for children with physeal injuries to monitor for premature physeal closure.
1. At these follow-up visits plain radiographs should include images of the affected ankle as well as AP and lateral views of the contralateral ankle.
OUTCOMES
6. As in most children’s fractures, children with ankle fractures generally fare well.
7. Data on long-term follow-up are sparse. However, data for intra-articular triplane fractures have shown the importance of anatomic alignment of less than 2 mm of displacement after treatment.
1. Ertl and coworkers3 demonstrated with a follow-up of 18 to 36 months that “residual displacement of two millimeters or more after reduction was associated with a less than optimum result unless the epiphyseal fracture was outside the primary weight-bearing area of the ankle.”
2. Rapariz and colleagues,6 with a mean follow-up of 5 years, found that “prognosis is surprisingly good” and that “only when adequate reduction (<2 mm displacement) has not been achieved can degenerative changes be seen at long-term follow-up (>5 years).”
3. Rapariz and colleagues found good functional results ubiquitously, but as in the study by Ertl and associates, the follow-up was shorter than the time that likely could predict the long-term sequela of posttraumatic arthritis.
4. Both these studies stressed the need to obtain CT scans to define and characterize the fracture and the degree of displacement, as well as advocating a trial of closed reduction to obtain adequate reduction.
COMPLICATIONS
8. Premature physeal closure, as mentioned above, can lead to limb-length discrepancies and malalignment, which in younger children with continued growth potential can be symptomatic and may need to be addressed surgically.1,7
1. Reflex sympathetic dystrophy or complex regional pain syndrome is a chronic pain syndrome that can develop after these ankle injuries.
1. It is characterized by pain out of proportion that persists beyond a typical recovery timeframe and may also entail swelling, skin color changes, and limited range of motion.
2. Treatment can include medications, therapy, psychological counseling, and sympathetic nerve blocks; in extreme cases sympathectomy or implantation of a dorsal column stimulator has been proposed.
2. Arthrofibrosis is a normal sequela from joint injury or prolonged immobilization. Generally, in the pediatric population, interventions such as physical therapy or manipulation under anesthesia are not necessary.
3. Superior extensor retinaculum syndrome, as described above, can lead to residual numbness in the great toe web space and persistent pain and weakness in the toe extensors.5
4. Acute compartment syndrome that is untreated can lead to permanent neuromuscular damage, including weakness or altered sensibilities.
5. Malunion of fractures can occur with operative or nonoperative treatment or can be a secondary consequence of premature physeal closure.
6. Osteochondral injury in ankle fractures can ultimately lead to symptomatic posttraumatic osteoarthritis, and studies have demonstrated that anatomic reduction is important to prevent this complication.
1. If significant chondral injury does occur in the young patient population, drilling for focal posttraumatic osteochon-dritis dissecans lesions can be successful. In extreme cases with osteochondral damage, osteochondral allografting can be attempted.
7. Complications with casts are inherent when they are used to treat fractures.
1. These complications include cast ulceration from poorly fitted or padded casts. Casts applied too tightly or not appropriately split can lead to acute compartment syndrome. Removal of casts can lead to cast saw burns, which can permanently scar children’s skin. **
Scientific References
-
**
- 1. Barmada A, Gaynor T, Mubarak SJ. Premature physeal closure following distal tibia physeal fractures. J Pediatr 2003;23:733–739. [View Source / PubMed]
- 2. Dias LS, Tachdjian MO. Physeal injuries of the ankle in children: classification. Clin Orthop Relat Res 1978;136:230–233. [View Source / PubMed]
- 3. Ertl JP, Barrack RL, Alexander AH, et al. Triplane fracture of the distal tibial epiphysis long-term follow-up. J Bone Joint Surg Am 1988;70A:967–976. [View Source / PubMed]
- 4. Lauge-Hansen N. Fractures of the ankle. II. Combined experimental-surgical and experimental-roentgenologic investigations. Arch Surg 1950;60:957–985. [View Source / PubMed]
- 5. Mubarak SJ. Extensor retinaculum syndrome of the ankle after injury to the distal tibial physis. J Bone Joint Surg Br 2002;84B:11–14. [View Source / PubMed]
- 6. Rapariz JM, Ocete G, González-Herranz P, et al. Distal tibial triplane fractures: long-term follow-up. J Pediatr Orthop 1996;16: 113–118. [View Source / PubMed]
- 7. Rohmiller MT, Gaynor TP, Pawelek J, et al. Salter-Harris I and II fractures of the distal tibia: does mechanism of injury relate to premature physeal closure? J Pediatr Orthop 2006;26:322–328. [View Source / PubMed]
You Might Also Like