Pilon Fracture ORIF: An Intraoperative Masterclass in Distal Tibial Reconstruction

Key Takeaway
Welcome, fellows, to an immersive intraoperative masterclass on open reduction and internal fixation of pilon fractures. We'll delve into comprehensive surgical anatomy, meticulous preoperative planning, and a granular, real-time breakdown of the surgical execution. Expect extensive pearls, pitfalls, and post-operative strategies to optimize outcomes for these complex distal tibial injuries. This guide ensures you grasp every critical detail for successful pilon fracture management.
DEFINITION
1.
In orthopedic surgery, the terms
pilon
and
plafond
have been loosely translated and interchangeably used to describe the weight-bearing portion of the distal tibial articular surface.
2.
These injuries account for about 1% of all lower extremity fractures and 5% to 10% of tibial fractures.
3.
Most orthopedic surgeons will encounter these injuries during the course of their practice; thus, a basic understanding of their characteristics and their management possibilities is important for any practicing orthopedist exposed to trauma.
4.
Open reduction with internal fixation (ORIF), even if through a limited approach, remains the basis by which most plafond fractures are operatively stabilized.
5.
As established by Ruëdi and Allgöwer,11 the goals of any surgery for plafond fractures should include precise articular reconstruction, restoration of extremity length and alignment, stable fracture fixation, and early joint motion.
6.
Despite its widespread application in this respect, open treatment presents some difficulties in the management of these fractures because it can compromise the thin soft tissue envelope surrounding the distal tibia.
7.
Modern techniques in fracture care are useful in minimizing complications associated with such open treatment in this unique location. ANATOMY
8.
Pilon fractures involve the weight-bearing articular surface of the distal tibia. In about 90% of cases, there is an associated distal fibula fracture.
9.
The talus is predominantly cartilage-covered and sits in the ankle mortise beneath the tibial pilon. It is restrained medially and laterally by the malleoli. PATHOGENESIS
10.
The mechanism of injury for articular fractures of the distal tibia usually involves some degree of axial compression as the dense talus impacts into the tibia’s distal articular surface.
11.
The distinction between fracture patterns is thus attributed to a number of other associated variables, such as the amount of rotational force involved, foot (talus) position during loading, bone quality, and energy of impact.
12.
Highly comminuted articular injuries usually occur because of high-energy axial loading forces, while spiral fractures with minimal articular injury are presumed to result from lower-energy rotational forces. True bending injuries are seen less commonly and may be caused by low- or high-energy causes.
13.
Despite the absence of a clear spectrum of injury severity, an estimation of the energy involved in a plafond fracture can be assumed from aspects other than the tibial fracture pattern itself (eg, history, soft tissue injury, associated injuries).
14.
About 20% to 40% of plafond fractures are open, reflecting the severity of the injury and the need for aggressive soft tissue management.
15.
Associated injuries should be carefully investigated because 5% to 10% of plafond fractures are bilateral, 30% of patients have ipsilateral lower extremity injuries, and 15% have injuries to the spine, pelvis, or upper extremities.
16.
Although a number of injury combinations are possible in the distal tibia, characteristic patterns can often be identified. Understanding the pattern of injury is critical to formulating an optimal treatment plan.
17.
Lower-energy metaphyseal or diaphyseal involvement of the tibia is spiral in nature with a cortical spike that can guide the reduction.
18.
Metaphyseal comminution just above the articular plafond is frequently produced under high-energy axial loading, as the talus impacts into the corresponding weight-bearing surface of the tibia. In such injuries, the anterior plafond is often comminuted and impacted into the adjacent metaphysis.
19.
The degree of anterior articular plafond involvement is related to foot (talus) dorsiflexion at the time of impact.
20.
The Orthopaedic Trauma Association’s Committee for Coding and Classification has developed its alphanumeric system from the AO/ASIF.8 This alphanumeric system is popular among fracture surgeons and is used in most current reports of fracture treatment.
21.
Distal tibial fractures are designated as types 43-A, B, and C, with further subgrouping based on specific fracture characteristics ( FIG 1).
1.
The three major types—A (extra-articular), B (partial articular), and C (intra-articular extension with complete separation between the articular fracture fragments and the tibial shaft)—are further divided into subgroups based on the amount of fracture comminution, articular depression, and overall displacement.
22.
Cole et al3 mapped 38 consecutive AO/OTA 43-C3 (complex articular) plafond fractures with CT scans and found that all plafond fractures in this category exited the tibiofibular joint laterally and at two separate locations medially to create a coronally oriented Y pattern with three major fragments ( FIG 2A). There were also varying amounts of articular comminution anterolaterally or anteromedially (FIG 2B).
23.
The three “major” plafond fragments seen in comminuted complete articular (AO/OTA 43-C) injuries can be described as follows:
1.
First, a posterior plafond fragment develops with a fracture line exiting 1 to 4 cm proximal to the articular surface (in partial articular injuries [AO/OTA 43-B], the posterior plafond often remains intact).
2.
An anterolateral plafond fracture fragment of varying size separates with its anteroinferior tibiofibular ligament attachment. This anterolateral tubercle of Chaput requires fixation to restore the anatomy and function of the syndesmosis complex.
3.
A medial malleolar fracture is identified as the third characteristic fragment.671 Tibia/Fibula Distal, extra-articular 43-A Tibia/Fibula Distal, partial articular 43-B Tibia/Fibula Distal, complex articular 43-C
---
Metaphyseal simple 43-A1 Metaphyseal wedge Pure split 43-B1
---
Split depression Articular simple, metaphyseal simple 43-C1
---
Articular simple, metaphyseal multifragmentary 43-A2 43-B2 43-C2
---
---
---
---
Metaphyseal complex 43-A3 Multifragmentary depression
---
43-A3 Articular multifragmentary 43-C3
---
FIG 1 • In the Orthopedic Trauma Association’s alphanumeric classification, distal tibia fractures (OTA 43) are grouped into types 43-A (extra-articular), 43-B (partial-articular), and 43-C (complete-articular). Each type is subgrouped based on specific fracture characteristics.
---
--- A B ### FIG 2 • A,B. CT images from 43-C3 plafond injuries demonstrating typical fracture patterns with anterolateral, medial malleolus, and posteromedial fragments. Variable amounts of central or anterocentral articular impaction and comminution are commonly seen.
1. Isolated osteochondral fragments of variable size are often encountered (typically central to anterolateral in location; Fig 2B) and constitute the remaining portion of the articular surface.
4.
High-energy injuries often result in fracture extension into the tibial diaphysis with fibula fractures proximal to the articular level.
5.
Finally, the syndesmosis will be functionally disrupted, secondary to the fibula fracture and anterolateral plafond separation. The syndesmosis anatomy and function can be restored by fixation of both the fibula and anterolateral plafond. Therefore, tibiofibular syndesmotic screw fixation is rarely required.
---
### FIG 3 • Low-energy spiral 43-A type fracture.
24. In contrast to high-energy patterns, rotational injuries ( FIG 3) cause spiral fractures of the distal tibia and fibula originating at the articular level. Intra-articular injury, if present, is typically simple and without comminution or impaction. NATURAL HISTORY
25.
On one end of the spectrum, high-energy vertical compression injuries result in comminuted articular fractures with compromised surrounding soft tissues. On the other end, low-energy rotational injuries with minimal axial compression produce more straightforward spiral fractures with less soft tissue damage and a more favorable prognosis.
26.
Where a particular fracture pattern falls within this spectrum can often predict the eventual outcome of the injury.
27.
Unfortunately, determining the outcomes from these fractures is not straightforward as existing classification systems fail to clearly distinguish the spectrum of injury, making a fair comparison of published outcomes difficult to achieve.
28.
What is clear is that the surgeon maintains an important role in affecting the final outcome of these injuries, principally by designing a treatment plan that accomplishes the surgical goals set out above while minimizing the risks of complications.
29.
Established variables that clearly affect outcome include avoiding complications while restoring a congruent articular surface and the axial alignment of that articular surface relative to the shaft. PATIENT HISTORY AND PHYSICAL FINDINGS
30.
The injury history is usually clear and often involves a fall from heights, a motor vehicle crash, a motorcycle crash, or a sports injury. Occasionally, a patient will simply miss a step on stairs or a curb; this atypical history should initiate an investigation for osteoporosis.
1.
These patients are usually injured by high-energy means and should be evaluated as trauma patients and according to ATLS protocols.
31.
All associated injuries must be identified and formulated into the global treatment plan.
32.
Low-energy mechanisms should alert the surgeon to suspect osteoporosis and initiate an osteoporosis evaluation. Grade Description
1.
Little or no soft tissue injury
2.
Superficial abrasion and mild to moderately severe fracture configuration
3.
Deep, contaminated abrasion with local contusional damage to skin or muscle and moderately severe fracture configuration
4.
Extensive skin contusion or crushing or muscle destruction and severe fracture Tscherne and Gotzen Grading System for Closed Fractures ### Table 1
1. Comorbidities such as diabetes mellitus, vascular disease, tobacco use, chronic immune or inflammatory diseases, and others may affect treatment and risk stratification. The medication profile should be assessed for blood thinners, anti-inflammatories, and others that may affect surgical risk or bone metabolism.
2.
A meticulous examination with special attention to soft tissue and neurovascular status is important in the evaluation and classification of these fractures (Tables 1 and 2).
1.
With wound complication rates having a historic potential of 50%,7,14 recognition and appropriate management of the soft tissue injury cannot be overemphasized.
2.
The physician should inspect for wounds, swelling, blisters, ischemic skin, and chronic skin and vascular changes.
3.
The physician should identify open fractures and establish the “personality” of the injury.
4.
Areas of swelling or ecchymosis, breaks in the integu-ment, and the presence or absence of fracture blisters should be identified and documented preoperatively.
3.
A careful vascular examination is important in evaluating patients with high-energy pilon injuries, as arterial compromise appears to be more common than previously appreciated (which may help explain the relatively high complication rates seen with early ORIF).
1.
Findings of vascular compromise may be subtle (such as a one-vessel injury [eg, anterior tibial artery]) owing to collateral or retrograde flow patterns. Arterial compression testing (Allen test) about the ankle or the addition of angiography to CT may be a useful tool to further evaluate the local vasculature.
4.
Rarely, compartment syndrome may also occur, creating the need for urgent operative intervention. Table 2
|
Gustilo and Anderson System for Grading Open Fractures
| ---|---|
Grade I II III
|
Type of Trauma Low energy Intermediate energy High energy
|
Wound Size < 1 cm > 1 cm > 10 cm
|
Soft Tissue Injury Minimal Moderate Severe, with crushing IMAGING AND OTHER DIAGNOSTIC STUDIES
5.
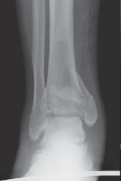
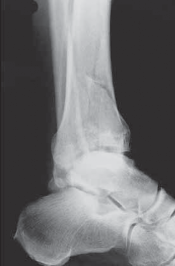
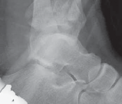
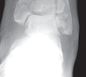
The diagnosis of tibial plafond fracture is initially evaluated with three radiographic views of the ankle (anteroposterior [AP], mortise, and lateral; FIG 4A,B).
1.
These views should be repeated after all “reductions,” including application of temporizing external fixation.
6.
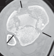
CT scans have been clearly shown to improve a surgeon’s understanding of the injury ( FIG 4C) and are critical to preoperative planning for complex injuries.15
7.
For displaced, comminuted pilon fractures, the best time to obtain a CT scan is after temporizing external fixation is performed ( FIG 4D), when the fracture is brought out to length with traction. This tends to grossly reduce many parts of the fracture, making the pathoanatomy of the injury more understandable (FIG 4E,F).
8.
The addition of angiography to CT is sometimes useful for assessing the arterial tree of the distal leg before plafond reconstruction, if vascular injury is suspected ( FIG 4G). Occult vascular injuries, especially of the anterior tibial artery, are not uncommon in patients with high-energy plafond fractures. DIFFERENTIAL DIAGNOSIS
9.
Tibial shaft fracture
10.
Ankle fracture or dislocation
11.
Talus fracture NONOPERATIVE MANAGEMENT
12.
Nonoperative treatment should be reserved for nondis-placed or minimally displaced fractures that are determined to be stable and have little comminution and soft tissue injury.
1.
This scenario is uncommon, however, as the amount of energy necessary to fracture the tibial plafond typically results in significant fracture displacement and resultant instability.
2.
Some consideration may be given to nonoperative treatment in the infirm or neuropathic patient, although the risks of splinting or casting are often greater than for operative treatment.
13.
Attempts at casting or splinting unstable plafond fractures in patients considered to be poor candidates for operative treatment (eg, elderly, diabetes, vasculopathy) are fraught with risks for progressive deformity, skin breakdown, and amputation.
14.
The presence of other musculoskeletal injuries becomes a strong indication for surgical treatment to the tibia as surgical stabilization may allow for easier mobilization and rehabilitation.
15.
Reasonable nonoperative treatment options include non-weight bearing with casting or bracing until radiographic signs of healing are visualized.
16.
Regular follow-up radiographic vigilance is recommended to ensure that articular congruity and axial alignment of the lower leg remain satisfactory.
17.
Protected weight bearing must be individualized in each case, but usually at least 10 to 12 weeks is necessary to safely expect alignment to be maintained. SURGICAL MANAGEMENT
18.
Displaced tibial plafond fractures generally require surgery. ORIF is the preferred method of treatment for such displaced fractures to achieve the goals previously outlined by Ruëdi and Allgöwer.11
---
---
---
---
---
---
A B C D
---
E F ### FIG 4 • 43-C3 tibial plafond injury. A,B. AP and lateral injury radiographs. C. CT scan. D. “Travelling traction”—early ankle-spanning external fixator. E,F. Radiographs of ankle after closed reduction and application of external fixator. G. Three-dimensional reconstruction of CT angiogram demonstrat- G ing deficient flow through anterior tibial artery.
19.
ORIF is reserved for fractures where the soft tissues allow such a surgery within a reasonable time frame (ie, 5 to 21 days from the injury) as determined by the surrounding soft tissue appearance.
20.
Low-energy fractures with little comminution or soft tissue compromise may be acceptable for immediate, open surgical stabilization. In most cases, however, the degree of soft tissue injury is not fully appreciated at the time of presentation, and waiting for soft tissues to declare the extent of their injury may be prudent in these situations.
21.
Early application of ankle-spanning external fixation or “travelling traction” and staged ORIF of the plafond has been successful at reducing major complication rates from 50% to 0% to 10%.9,13
22.
A simple external fixation construct linking the tibial diaphysis (proximal to area of proposed plate placement) to the calcaneus suffices for the temporary fixator in most cases ( FIG 4D).
1.
This method brings the limb out to length and allows the tissues to “recover” under more physiologic conditions.
2.
If profound plantarflexion of the foot exists after reduction of the talus beneath the plafond and restoration of length, a pin can be placed in the first or fifth metatarsal (or both) to optimize positioning of the foot in neutral.
23.
An associated fibular fracture is often stabilized in the initial setting along with temporizing external fixation until definitive ORIF is appropriate.
1.
If the fibula is to be repaired in this manner, its reduction must be anatomic or there may be difficulty with reducing the tibia at the time of staged pilon reconstruction.
24.
The patient should return at regular intervals between 5 days and 3 weeks after injury to schedule and undergo definitive tibial fixation.
25.
The return of skin wrinkles, blister epithelialization, and improvement in ecchymosis are several parameters to observe when staging the open tibial procedure.
26.
In most cases, the external fixation is removed at the time of internal stabilization. Preoperative Planning
27.
Understanding the personality of the injury, including soft tissue problems, patient problems, and the fracture configuration, is critical to formulating an optimal treatment plan.
---
FIG 5 • Preoperative plan for tibial plafond fracture reconstruction.
28. Preoperative planning allows the surgeon to work through the case “on paper” while minimizing risk and often preventing unnecessary delays during the surgery.
29.
A preoperative tracing ( FIG 5) can help with instrumenta- tion needs, surgical approaches, anticipated reduction methods, and implant strategies (selection and placement).
30.
CT data often allow the surgeon to choose the optimal approach to address the articular pathology and apply implants (eg, anteromedial versus anterolateral approaches for most AO/OTA 43-C fractures). Positioning
31.
Most pilon fractures are approached anteriorly; thus, the patient is typically positioned supine on a radiolucent table.
32.
A roll behind the hip may help control external rotation of the leg during surgery.
33.
Tourniquet control is often helpful to allow for visualization, particularly of the ankle joint.
34.
The preparation and draping is carried above the knee to make the Gerdy tubercle region available if any autogenous bone graft is needed.
35.
The temporary external fixation pins are incorporated into the preparation and draping. These pins are used intraopera-tively for distraction through the external fixator itself or, alternatively, through a universal (femoral) distractor. The pin sites are isolated with Ioban.
36.
Such distraction is helpful in obtaining reduction and provisional stabilization of the articular surface and can also be used during initial plate placement and screw fixation.
37.
For posteromedial approaches the patient may still be positioned supine, but in this case the surgeon may desire the leg to be externally rotated, and a bump under the contralateral hip may be helpful.
38.
When the posterolateral approach is used, the patient is best positioned prone (or lateral) to allow the surgeon comfortable access to the posterior leg. Approach
39.
Although historically a single “utilitarian” approach was popular in the reconstruction of the tibial plafond, a variety of surgical approaches are currently used to treat these fractures ( FIG 6).
1.
In principle, less dissection and soft tissue retraction, as well as optimal implant placement, should be possible using more direct approaches.
40.
As with other complex injuries, the selection of an approach that addresses the personality of each injury is recommended for plafond fractures.
41.
These more customized approaches should adhere to the following principles:
1.
Effective soft tissue handling
2.
Maintenance of a reasonable skin bridge between incisions (especially if these incisions are long or extensile)
42.
Placing skin incisions directly over bone should be avoided if possible. Thus, if skin problems occur, resultant tissue defects can be reconstructed with a simple skin graft or fasciocu-taneous flap as opposed to a free soft tissue transfer.
43.
Howard et al6 recently reported a series of 46 plafond fractures in 42 patients in which 106 skin incisions were used, creating 60 skin bridges. The mean skin bridge size was 5.9 cm; only 16% were greater than 7 cm. All incisions other than two healed uneventfully, and no deep infections or skin bridge compromises were recorded.
---
Anterior tibial artery and vein Extensor hallucis longus Extensor digitorum communis Anterolateral approach Deep peroneal n. Tibialis anterior tendon Anteromedial approach Tibia Fibula Peroneus longus m. Peroneus brevis m. Posterolateral approach Sural n. Sural v. Saphenous v. Posteromedial approach Posterior tibial artery and vein Tibial n. Flexor hallucis longus m. Achilles tendon ### FIG 6 • Approaches to the tibial plafond are probably best tailored to match the injury pattern. More than 90% of plafond fractures are well approached anteriorly (anteromedially or anterolaterally), but other approaches are sometimes useful.
---
ANTEROMEDIAL APPROACH
1. The traditional “AO,” or anteromedial, approach to the tibial pilon uses an anteromedial incision directed longi-tudinally a centimeter or so lateral to the anterior tibial crest and crossing in a gentle oblique fashion over the tibialis anterior tendon to allow for careful medial column exposure ( TECH FIG 1).
1.
We use this anteromedial approach for injuries in which the bulk of the articular injury is medial and the anterior cortex fracture propagates medially along the distal tibia. ### TECHNIQUES
44. Accessing the far lateral joint surface using this approach requires a fairly vigorous retraction of the anterior ankle soft tissues (a small anterolateral incision can sometimes be used concomitantly with the anteromedial approach to reduce or stabilize the anterolateral fragment).
---
---
C TECH FIG 1 • A–C. Imaging of 43-C3 plafond injury with anteromedial cortical split allowing best access to injury through anteromedial A B approach.
(continued)
### TECHNIQUES
1. Dissection is full thickness and carried medial to the tibialis anterior tendon so as not to create multiple tissue dissection planes.
2.
Careful handling of the subcutaneous tissue is mandatory.
3.
The paratenon of the tibialis anterior tendon should not be disrupted.
4.
Extensive periosteal stripping of fracture fragments is avoided and fragments are carefully hinged on their soft tissue attachments to preserve their vascularity.
5.
Hinging open the anterior fragments like a book using a small lamina spreader reveals the involvement and displacement of the central and posterior articular plafond and metaphysis.
6.
Once the extent of the fracture is appreciated, reduction and fixation can be performed. TECH FIG 1
(continued)
• D. The anteromedial approach. The incision is located over the anterior compartment, lateral of the palpable crest of D the tibia and curving gently medially at the ankle joint. #### ANTEROLATERAL APPROACH
1. Many surgeons have recently begun using an anterolateral approach for plafond injuries in which the essential features of the injury are more laterally located ( TECH FIG 2).
1.
This approach to the ankle has been nicely described by Herscovici et al.5
2.
The dissection proceeds just lateral to the extensor digitorum longus and peroneus tertius. The anterior tibial neurovascular bundle remains medial.
3.
Superficial peroneal nerve branches will be encountered and should be protected.
4.
If a narrow skin bridge occurs between this approach and the fibular incision, this approach should be kept short (eg, 4 to 5 cm) and used for the articular reduction.
45.
In some cases, the articular injury can be addressed through a small anterolateral approach and attachment of the reconstructed articular segment to the intact diaphysis is accomplished by inserting an anterolateral sub-muscular or anteromedial subcutaneous plate.
1.
Proximal fixation can then be applied in a more “open” manner outside the zone of injury.
46.
Alternatively, if the fibula and plafond are being repaired at the same operative visit, a single gently curved skin incision placed over the syndesmosis can be used to access both bones.
1.
Here, too, the superficial peroneal nerve will be encountered and should be protected.
---
---
---
---
TECHNIQUES A B D
---
---
C
---
TECH FIG 2 • A–C. Imaging of 43-C3 pilon fracture with mostly anterolateral injury pathology. D. Anterolateral approach. This is a modification of Bohler’s incision, in line with the fourth metatarsal and extending proximally between the tibia and fibula. ### TECHNIQUES
POSTEROMEDIAL AND POSTEROLATERAL APPROACHES
1. Additional approaches include the posteromedial and posterolateral approaches.
1.
These methods are not commonly employed but may be most useful in combination with other approaches.
2.
Both allow for minimal access to the articular surface such that complex intra-articular injuries are not well addressed through these approaches alone.
3.
They are effective, however, for aiding in reduction of hard-to-reduce posterior fragments and applying small buttress plates that may improve the fixation stability of individual posterior articular segments.
2.
The posteromedial approach uses a skin incision posterior to the medial face of the tibia and requires mobilization of (and inherent risk to) the posterior tibial tendon and posterior tibial neurovascular bundle (see Fig 6).
1.
There are essentially three intervals to access the posteromedial tibia via this approach, depending on the fracture configuration and how far posterior the surgeon must reach:
1.
Anterior to the posterior tibial tendon
3.
Between the posterior tibial and the flexor digitorum communis tendons
4.
Between the flexor digitorum communis tendon and the posterior tibial neurovascular bundle
2.
The retinaculum is incised and repaired at the time of wound closure.
47.
The posterolateral approach to the distal tibia creates some logistical problems as the patient is best positioned prone (or lateral).
1.
The skin incision is placed 1 to 2 cm posterior to a standard fibular incision and can easily be combined with fibular repair.
2.
This approach uses the interval between the peroneal tendons and flexor hallucis longus ( TECH FIG 3). Fairly extensile and safe exposure to the posterior aspect of the distal tibia is possible using this approach.
3.
The posterior cortex fracture is usually fairly simple and can be used to gauge reduction. Small or mini-fragment buttress plates are often useful here. TECH FIG 3 • The posterolateral approach uses the interval between the peroneal and extensor hallucis longus muscles and allows for wide exposure of the posterior distal tibia. Access to the fibula can also be easily gained through this incision. #### REDUCTION AND FIXATION OF THE FIBULA
1. Consideration about placing and timing of the fibular repair must be thoughtful to prevent limiting approaches to the tibia.
2.
The fibula is often reduced and fixed first to indirectly reduce the tibia fracture. It is sometimes repaired at the time of the external fixator application during staged treatment.
3.
In this context, the fibula
must
be well reduced or the tibial reduction will be impaired.
4.
If staged treatment is employed with external fixation applied at a referring hospital, most tertiary centers prefer the fibula to remain unfixed, thus allowing for maximal flexibility for the surgeon providing definitive treatment.
48.
If separate approaches are to be used for tibial and fibular repair, the fibular incision is often made more posteri-orly than for most fibular repairs to maintain an optimal distance from anticipated anteromedial or anterolateral incisions.
49.
The posterolateral approach to the distal fibula is also a good option because it falls between the major distributions of the sural and superficial peroneal nerves. The patient can be discharged and remain mobile for daily activities while awaiting soft tissue improvement.
---
TECHNIQUES ARTICULAR REDUCTION AND FIXATION OF THE PILON
1.
The first priority in ORIF of complex articular injuries, such as with pilon fractures, is accurate realignment of the joint surface and rigid internal fixation.
2.
Once stabilized, the articular segment can then be attached to the tibial diaphysis through open or minimally invasive plating (or external fixation).
3.
Many times, reduction of the articular segment and reduction of the metadiaphysis are performed simultaneously.
4.
Nonreconstructable loose bodies are débrided.
5.
Regardless of the approach chosen as the most appropriate by the surgeon, careful and precise articular reconstruction must be achieved.
6.
Less than 2 mm of articular incongruity is typically considered acceptable.
50.
With joint distraction (femoral distractor or external fixator), the anterior two thirds of the joint should be readily accessible through an anterior approach.
51.
A lamina spreader is often helpful for “booking open” vertical cortical fractures to access impacted articular fragments ( TECH FIG 4A–D).
52.
One articular fragment is reconstructed to another until all important fragments are addressed.
53.
Sometimes the talar dome can be used as a template for articular plafond reduction.
---
---
---
A B C
---
D
---
E F
---
TECH FIG 4 • A–C. Imaging of a typical 43-A3 plafond injury. (The
a
and
b
in C correspond to the fragment labeling in E.) D. The anterior cortical split is opened like a book and held with a lamina spreader. Dissection is limited to that necessary for reduction and plating. Direct visualization of the anterior two thirds of the joint is typically available and may be enhanced with use of a distractor (or external fixator). E. In some extreme cases such as this, major articular fragments are reconstructed with Kirschner wires, mini-fragment screws, or absorbable pins on the back table. F. Clamps and provisional fixation with Kirschner wires can be placed through the wounds or percuta-neously (carefully). ### TECHNIQUES
1. This reconstruction should be provisionally stabilized with multiple Kirschner wire fixation ( TECH FIG 4E).
1.
Direct visualization of the joint and radiographic guidance should be critically evaluated.
2.
The posterior plafond can be difficult to reduce from an anterior-based exposure. Ankle positioning often affects the position of this fragment.
1.
Sometimes, wire joystick manipulation or the use of a sharp pick or careful pointed clamp application is necessary to obtain an adequate reduction of posterior fragments.
2.
Posterior approaches may also be necessary, especially if displaced posterior fracture lines exit “low” (ie, they do not extend proximally).
54.
Provisional wires can be used as guidewires for cannu-lated screws if needed.
55.
Small and mini-fragment screws are useful and should be placed before removal of the provisional wires.
56.
Once articular reconstruction is complete, the disimpacted metaphyseal area is evaluated for bone grafting needs.
57.
For autograft, the Gerdy tubercle region is easily accessible and less painful than the iliac crest and can provide an adequate amount of graft in most cases.
58.
If additional graft is required or the patient does not want to risk autograft morbidity, a synthetic graft or allograft chips are usually a suitable alternative (operative consent should reflect the potential for graft use). #### EXTRA-ARTICULAR (METAPHYSEAL) REDUCTION AND FIXATION OF THE PILON
1. Once the articular reduction is completed, reattaching the distal articular segment to the diaphysis is accomplished (in many cases, this is done simultaneously).
2.
We prefer plate fixation, although some surgeons use external fixation after a limited ORIF of the articular surface.
3.
Currently, “anatomically” contoured low-profile, small-fragment plates (with locking capability) designed for the distal tibia are available from most implant vendors.
1.
The anatomic design of these implants affords a satisfactory match to the anteromedial or anterolateral ( TECH FIG 5) surface of the distal tibia.
59.
Traditionally, we have used the small fragment plates, which allow easy and precise contouring for an appropriate bony fit.
60.
Nonlocking screws are used first to bring the plate in close apposition to bone to minimize the plate’s prominence against the soft tissues.
61.
Subsequent insertion of locking screws, creating a “hy-brid” internal fixation construct, is determined based on factors such as bone quality, comminution, and expected time to healing.
62.
An anterior plate location is often best for neutralization or buttressing of complex intra-articular fractures. TECH FIG 5 • A,B. Lag screws are used and anterior plating is performed to optimize fixation of the articular segment with a raft of anterior–posterior screws. Autograft from the tubercle of Gerdy was used above the disimpacted articular surface, but allograft or substi- A B tutes may be used.
(continued)
---
---
---
---
### TECHNIQUES
TECH FIG 5
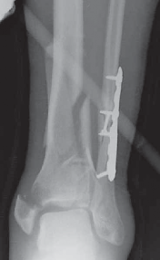
(continued)
• C,D. Radiographs show appearance immediately postopera- C D tively. #### WOUND CLOSURE AND CARE
1. Once intraoperative radiographs reveal a satisfactory reduction and position of implants, the incision is closed.
2.
Retinacular layers are reapproximated to cover the underlying bone and implants.
3.
A drain may be considered to minimize pressure on the incision line from fluid accumulation under the wound.
4.
The subcutaneous layer is closed with an absorbable suture before skin closure.
5.
We use fine (4-0) nylon interrupted sutures and atraumatic soft tissue handling during wound closure ( TECH FIG 6).
63.
Closing the anteromedial incision without tension is critically important. Any substantial tension on the anterior skin edges after closure will likely result in some degree of soft tissue necrosis. Rarely, accomplishing this step may require relaxation of the lateral incision or a return trip to the operating room for delayed closure.
64.
A lightly compressive bulky dressing and splint are applied with the ankle in neutral position.
65.
Finally, elevation is resumed before leaving the operating room to minimize swelling.
---
TECH FIG 6 • Wound closure is achieved using atraumatic technique, with the superficial layers closed using fine nylon suture. PEARLS AND PITFALLS Minimizing risk for major complications
1.
Before modern methods of soft tissue handling, open treatment of high-energy tibial plafond fractures was directly associated with high complication rates (about 50%).
2.
Many of these complications are preventable; thus, tibial pilon fractures present the orthopedic surgeon with a real opportunity to influence a patient’s ultimate outcome.
3.
Contemporary fracture treatment principles (eg, staged treatment protocols, tailored surgical approaches, careful soft tissue handling, indirect reduction, and biologic fixation) have reduced the rate of complications to an acceptable level (about 0% to 10%) for these fractures. Surgical goals ■ As established by Rüedi and Allgöwer, the goals of surgery for pilon fractures include precise articular reconstruction, restoration of extremity length and alignment, stable fracture fixation, and early joint motion.
1.
The avoidance of complications is critical to consistently achieving optimal clinical results. Soft tissue management ■ The soft tissues must be quiescent at the time of plafond open reduction and internal fixation.
2.
Staged treatment protocols, tailored surgical approaches, careful soft tissue handling, and indirect reduction should be used routinely for these injuries. Articular reduction tricks ■ The articular reduction is of paramount importance and is usually performed first, followed by the metaphyseal–diaphyseal reduction.
3.
Longitudinal traction with an external fixator or femoral distractor allows for indirect fracture reduction and joint visualization.
4.
Articular fragments may be disimpacted with small osteotomes or elevators. These fragments should be kept as thick as possible, and voids created by disimpaction should usually be grafted.
5.
Small, irreparable free fragments should be removed.
6.
A well-positioned talar dome may be useful as a template to reduce articular fragments.
7.
Multiple Kirschner wires and carefully placed pointed clamps may helpful in gaining and maintaining reduction.
8.
Fracture reduction should be carefully scrutinized using direct visualization and radiography before and after fixation so that changes can be made before definitive fixation or leaving the operating room. Metaphyseal reduction tricks ■ Often reducing the joint fragments will simultaneously realign the metaphysis.
9.
Pointed clamps, small push plates, and lag screws are very useful for the metaphyseal reduction.
10.
Axial alignment must be carefully scrutinized clinically and radiographically.
11.
A well-repaired fibula is an excellent guide for restoring tibial length. Fixation problems ■ 2.4-, 2.7-, and 3.5-mm lag screws and occasionally absorbable pins are useful for fixation of the articular fragments. These are often placed in subchondral bone to gain optimal stability of osteochondral fragments.
12.
Anatomically contoured pilon plates with locking capability are nice tools for use in complete articular injuries or osteoporotic bone but are not always necessary (or desirable). POSTOPERATIVE CARE
66.
Elevation of the extremity should continue for the next few weeks to protect the incisions.
67.
Patient education is important to maximize understanding of wound risks and compliance with elevation and other postoperative treatments.
68.
Aggressive respiratory care and supplemental oxygen are continued until the patient is fully awake and off intravenous narcotics (respiratory depressants).
69.
Immobilization is maintained for about 10 to 14 days or until the incisions have healed adequately.
70.
At the time of suture removal, ankle range-of-motion exercises are taught, and the limb is placed in a removable fracture brace.
71.
Strict non-weight bearing is continued, with advancement in weight bearing made when radiographic evidence of fracture consolidation is adequate, typically at 10 to 12 weeks after surgery. OUTCOMES
72.
The philosophy for open reduction and rigid internal fixation of plafond fractures is a direct extension of Ruëdi and Allgöwer’s original recommendations.11
73.
Historically, early poor results with ORIF were primarily related to the disruption of the soft tissue envelope and not the fixation of the bony fracture itself.7,14
1.
These failures were the result of the inherent fragility of the thin soft tissue envelope in this area, misunderstandings of the soft tissue injury severity, overly aggressive soft tissue stripping during surgery, and the use of prominent, large fragment implants for stabilization.
74.
More modern techniques of plafond fracture management have led to much more satisfactory complication rates for pilon fractures.
1.
Sirkin et al13 retrospectively analyzed a staged protocol for management of 56 C-type plafond fractures treated using a protocol of immediate (within 24 hours) stabilization of the fibula fracture with temporary spanning external fixation of the tibia across the ankle joint. Formal open reconstruction of the tibial fracture with plating was performed when soft tissues normalized (average 13 days). Three patients developed deep infections (6%) and five patients had superficial necrosis that was well treated with local wound care and oral antibiotics.
2.
Patterson and Cole9 published results of a similar two-staged technique for the treatment of C3 plafond fractures. Twenty-one patients underwent early fibular fixation and placement of a spanning external fixator. After an average of 24 days, patients underwent ORIF of the plafond fractures. There were no infections or soft tissue complications.
75.
There are a few limited studies that have compared staged ORIF to other methods for treating tibial plafond fractures.
1.
Blauth et al2 retrospectively compared results of three different management protocols for severe plafond fractures (92% 43-C fractures):
1.
Primary ORIF (n = 15, reserved for patients with closed fractures without severe soft tissue trauma)
2.
Primary minimally invasive osteosynthesis of the articular surface with long-term (minimum of 4 weeks) transarticular external fixation of the ankle (n = 28)
3.
Two-stage procedure with primary minimally invasive osteosynthesis of the articular surface and ankle-spanning external fixation, followed by staged subcutaneous plating (n = 8)
1.
While the incidence of wound infection did not differ significantly among the three groups, this study found that patients who had undergone two-stage surgery did better in terms of pain, ankle motion, activities of daily living, and the need for secondary arthrodesis compared to the other groups.
4.
Babis et al1 retrospectively compared 50 tibial plafond fractures treated by ORIF to 17 patients treated with minimally invasive osteosynthesis or external fixation. They found that three parameters significantly influenced results: the severity of fracture, the quality of surgical reduction, and the procedure by which the fracture was managed (ORIF did better).
5.
Harris et al4 compared functional outcomes after operative treatment of 43-B or C plafond fractures with ORIF (n = 63) versus limited open articular reduction and wire ring external fixation (n = 16). The greatest impairment in outcome was noted after type C3 fractures regardless of the method of treatment employed. ORIF was associated with fewer complications and less posttraumatic arthritis than external fixation, but this finding possibly reflected a selection bias, as open injuries and the more severely comminuted fractures were all managed with external fixation.
2.
Two studies have reported intermediate or long-term patient outcomes after ORIF of tibial plafond fractures.
1.
Sands et al12 reported on 30 patients who completed the SF-36 more than 18 months after ORIF of a tibial plafond fracture. There were deficits in every SF-36 subcategory, with the largest differences in outcomes seen in the areas of physical function and physical role function.
2.
Pollak et al10 similarly evaluated 80 patients with the SF-36 more than 2 years after ORIF of a pilon injury. They also found diminished scores in all eight functional domains of the SF-36, including markedly abnormal scores for physical function, physical role function, and bodily pain. They also reported that 35% of patients reported substantial ankle stiffness, 29% had persistent swelling, and 33% described ongoing pain. Of the participants who had been employed before the injury, 43% were not working at final follow-up. COMPLICATIONS
3.
Tibial pilon fractures are often complex injuries that have a high potential for complications if not managed thoughtfully.
1.
As many of these complications are somewhat preventable, tibial plafond fractures present the orthopedic surgeon with an opportunity to improve a patient’s ultimate outcome.
2.
While we cannot alter the severity of a particular injury, appropriate surgical timing and soft tissue handling, along with exact articular reduction and stable fixation to allow for early motion, offer the best chance of obtaining good results with few complications for patients with these fractures.
4.
Wound problems resulting from these procedures should be treated aggressively to prevent deep infection.
1.
Superficial marginal wound necrosis can be successfully managed with local wound care with or without oral antibiotics.
2.
Full-thickness necrosis (eschar) can be followed as well in reliable patients who can be followed closely and educated to return immediately for any wound problems. Once the eschar begins to detach or drain (becomes “unstable” eschar), it will need to be removed immediately and débrided and antibiotics given. If healing beneath the eschar is inadequate at the time of its unroofing, the patient may require formal débridement and soft tissue coverage with a simple skin graft, fasciocuta-neous flap, or free soft tissue transfer, depending on the area and size of the wound and how much “biology” will be necessary to aid healing and prevent infection.
5.
Anteromedial wounds of this sort are more problematic than anterolateral wounds or others, because the underlying tibia and fracture will be exposed in the anteromedial case.
76.
Established deep infection is a limb-threatening problem and usually requires intravenous antibiotics, staged surgeries including external fixation support, soft tissue coverage (often through free-tissue transfer), and possibly late bone grafting.
77.
Importantly, not all patients are good candidates for such complex reconstructive procedures. In these cases, early below-the-knee amputation is a useful means for restoring predictable function in an expeditious manner.
78.
Malunion typically occurs in varus and usually occurs if malalignment is accepted or unrecognized or union is not achieved or fixation fails.
1.
Prevention is important and should focus on providing adequate initial and ongoing medial column support against an intact, plated, or healed fibula.
79.
Some surgeons avoid fixation of the fibula entirely. This method is typically coupled with external fixation for the tibia fracture after limited open articular reconstruction.
1.
Avoiding fibular stabilization, however, does not convincingly decrease and perhaps even increases the chance of angular deformity. Also, maintaining appropriate length is more difficult with the use of external fixation alone.
80.
Malalignment of the tibia or fibula may adversely affect ankle function and result in painful ankle arthrosis.
1.
Most authors use less than 5 degrees of varus–valgus and less than 5 or 10 degrees of recurvatum–procurvatum as a limit for acceptable alignment.
2.
Malunion surgery is typically associated with adjustment of the fixation and requires careful preoperative planning and perhaps referral to a surgeon with experience in posttraumatic reconstruction.
81.
Nonunion or delayed union occurs in about 5% or more of patients and may occur in combination with malalignment.
1.
Injury and host factors are implicated in problems with union of the tibial pilon.
2.
Significant metaphyseal comminution, open fractures, and bone loss are factors prone to causing healing problems; ad-junctive measures should be considered in these cases.
3.
Smoking cessation and avoidance of nonsteroidal anti-inflammatory medications should be routinely discussed with patients to decrease the likelihood of these complications.
4.
Immediate or early staged (4 to 8 weeks) bone grafting may advance tibial metaphyseal healing in high-risk fractures. External bone stimulation can also be considered early (for acceleration of fresh fracture healing) or late (as an adjunct to nonunion surgery) in the treatment course.
5.
Treatment of an established distal tibial nonunion requires a comprehensive plan including consideration of the soft tissues, local biology and mechanics, presence of infection, condition of the ankle joint, and others.
1.
Repair frequently requires realignment of the limb axis, followed by rigid fixation with or without bone grafting.
1.
Posttraumatic arthritis should be addressed by an initial course of conservative care. Ankle arthrodesis (method by surgeon preference) is often chosen once nonoperative treatment measures have been exhausted. Recent advances in total ankle arthroplasty may hold promise in carefully selected patients, but this is not currently recommended.
2.
Rarely, a primary arthrodesis is considered for limb salvage in severe fractures in which the articular surface cannot be salvaged.
3.
The combination of metaphyseal nonunion and ankle arthritis is particularly difficult because the intercalary segment of tibia (between the nonunion site and the ankle joint) is often small and of poor bone quality.
1.
Treatment options for this condition include amputation (especially if infection is present), resection with distraction osteogenesis, or internal fixation spanning both the nonunion and arthritic ankle along with bone grafting.
Scientific References
-
** 1.** Babis GC, Vayanos ED, Papaioannou N, et al. Results of surgical treatment of tibial plafond fractures. Clin Orthop Relat Res 1997; 341:99–105.** 2. **Blauth M, Bastian L, Krettek C, et al. Surgical options for the treatment of severe tibial pilon fractures: a study of three techniques. J Orthop Trauma 2001;5:153–160.** 3. **Cole PA, Mehrle RK, Bhandari M. The pilon map: assessment of fracture lines and comminution zones in AO C3 type pilon fractures. Orthopedic Trauma Association annual meeting, Hollywood, FL, October 8–10, 2004.** 4. **Harris AM, Patterson BM, Sontich JK, et al. Results and outcomes after operative treatment of tibial plafond fractures. Foot Ankle Int 2006;27:256–265.** 5. **Herscovici D Jr, Sanders RW, Infante A, et al. Bohler incision: an extensile anterolateral approach to the foot and ankle. J Orthop Trauma 2000;14:429–432.** 6. **Howard JL, Agel J, Barei D, et al. Challenging the dogma of the 7-cm rule: a prospective study evaluating incision placement and wound healing for tibial plafond fractures. Orthopaedic Trauma Association annual meeting, Phoenix, AZ, October 5–7, 2006.** 7. **McFerran MA, Smith SW, Boulas HG, et al. Complications encountered in the treatment of pilon fractures. J Orthop Trauma 1992;6:195–200.** 8. **Orthopedic Trauma Association Committee for Coding and Classifications. Fracture and dislocation compendium. J Orthop Trauma 1996;10(supp 1):56–60.** 9. **Patterson MJ, Cole JD. Two-staged delayed open reduction and internal fixation of severe pilon fractures. J Orthop Trauma 1999;13: 85–91.** 10. **Pollak AN, McCarthy ML, Bess RS, et al. Outcomes after treatment of tibial plafond fractures. J Bone Joint Surg Am 2003;85A:1893–1900.** 11. **Ruëdi T, Allgöwer M. Fractures of the lower end of the distal tibia: surgical management by limited internal fixation and articulated distraction. Injury 1969;1:92–99.** 12.** Sands A, Grujic L, Byck DC, et al. Clinical and functional outcomes of internal fixation of displaced pilon fractures. Clin Orthop Relat Res 1998;347:131–137.** 13. **Sirkin M. Sanders R, DiPasquale T, et al. A staged protocol for soft tissue management on the treatment of complex pilon fractures. J Orthop Trauma 1999;13:78–84.** 14. **Teeny SM, Wiss DA. Open reduction and internal fixation of tibial plafond fractures: variables contributing to poor results and complications. Clin Orthop Relat Res 1993;292:108–117.** 15.** Tornetta P III, Group J. Axial computed tomography of pilon fractures. Clin Orthop Relat Res 1996;323:273–276.
You Might Also Like