Integrated Medical Library
Comprehensive Medical Guides
Welcome to the comprehensive medical library. Explore our complete guides and encyclopedias on orthopedic surgery, the spine, and joint conditions.
Latest Medical Guides
Showing 1 - 12 of 183 guides
12 Chapters
Teaching Cases
230
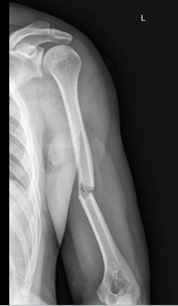
Mastering Humeral Shaft Fractures: Diagnosis & Treatment
42 Chapters
Orthopedic MCQs
218
100 High-Yield Orthopedic MCQs: Shoulder & Elbow | Mock Exam 251
14 Chapters
Online MCQs
182
Orthopedic Ob Trauma Review | Dr Hutaif Trauma & Fractu -...
- Humeral Shaft Throwing Fractures in Overhead Athletes: Advanced Epidemiology, Biomechanics, and Surgical Anatomy
- Advanced Insights into Distal Radius Fractures: Epidemiology, Classification, Anatomy & Biomechanics
- Proximal Humerus Fractures: Comprehensive Guide to Epidemiology, Classification, & Surgical Anatomy
22 Chapters
Teaching Cases
178
Mastering the Management of Scaphoid Fractures: Avoid Complications
8 Chapters
Orthopedic Trauma
172
Scapula Fractures: Epidemiology, Classification, Anatomy, and Management
29 Chapters
Orthopedic MCQs
164
Orthopedic Surgery Board Prep: Set 403 (100 MCQs on Fractures & Casting)
- Orthopedic MCQs (Set 1): Humeral Fractures, THA & Disc Degeneration | AAOS, ABOS, OITE 2026 Review
- AAOS Orthopedic MCQs (Set 1): Upper Extremity Trauma & Arthroplasty | 2026 Board Review
- Orthopedic 2026 MCQs (Set 1): Humeral Fractures, Compartment Syndrome & Stress Fractures | ABOS, AAOS Board Review
6 Chapters
Orthopedic Surgery
162