أستاذ جراحة العظام والعمود الفقري

رعاية طبية متقدمة
لمفاصل وعظام أكثر صحة

يقدم الدكتور محمد هطيف خبرة واسعة في جراحات الركبة، العمود الفقري، وتشوهات العظام باستخدام أحدث التقنيات العالمية في اليمن. هدفنا مساعدتك للعودة لحياتك الطبيعية بدون ألم.

أمراض المفاصل والعمود الفقري

تعرف على أسباب، أعراض وطرق علاج الخشونة، آلام الظهر، والكسور بأحدث الطرق المعتمدة.

أمراض المفاصل حركة الكوع: دليل شامل لفهم ميكانيكا الكب والاستلقاء وأمراض المفصل الشائعة

حركة الكوع: دليل شامل لفهم ميكانيكا الكب والاستلقاء وأمراض المفصل الشائعة

مفصل الكوع هو مفصل معقد يسمح بحركات حيوية مثل الكب والاستلقاء. تشمل أمراضه الشائعة مرفق التنس، التهاب الجراب، والخشونة. يعتمد العلاج على التشخيص الدقيق، ويقدم الأستاذ الدكتور محمد هطيف في صنعاء رعاية متخصصة تبدأ بالعلاجات التحفظية وقد تصل إلى الجراحة لتحسين الوظيفة وتخفيف الألم.

أمراض المفاصل الانزلاق الغضروفي: دليلك الشامل لفهم العمود الفقري والعلاج الفعال

الانزلاق الغضروفي: دليلك الشامل لفهم العمود الفقري والعلاج الفعال

الانزلاق الغضروفي هو حالة ينزلق فيها القرص بين الفقرات، مسبباً ألماً في الظهر والساق. يبدأ العلاج بالراحة والأدوية والعلاج الطبيعي. في الحالات الشديدة، قد تكون الجراحة ضرورية لتخفيف الضغط على الأعصاب. التشخيص الدقيق ضروري لتحديد أفضل خطة علاج.

أمراض المفاصل الرباط الصليبي الأمامي ومفصل الركبة: دليلك الشامل لصحة ركبتك مع الأستاذ الدكتور محمد هطيف

الرباط الصليبي الأمامي ومفصل الركبة: دليلك الشامل لصحة ركبتك مع الأستاذ الدكتور محمد هطيف

الرباط الصليبي الأمامي هو أحد الأربطة الأساسية التي تمنح الركبة ثباتها. إصابته تؤدي إلى عدم استقرار وألم، وتُشخص بالفحص السريري والتصوير. العلاج يشمل الراحة، العلاج الطبيعي، وقد يتطلب جراحة إعادة بناء الرباط لضمان التعافي الكامل واستعادة الوظيفة.

أمراض المفاصل دليل شامل لأمراض ومشاكل اليد: التشخيص والعلاج مع الأستاذ الدكتور محمد هطيف

دليل شامل لأمراض ومشاكل اليد: التشخيص والعلاج مع الأستاذ الدكتور محمد هطيف

انكماش دوبويتران هو تليف تدريجي في اللفافة الراحية يسبب انثناء الأصابع. يبدأ العلاج بالمراقبة، وقد يتطلب التدخل الجراحي في المراحل المتقدمة لتحسين وظيفة اليد ومنع الضرر المفصلي، تحت إشراف متخصصين لضمان أفضل النتائج.

أمراض المفاصل اختبارات مرفق اليد: دليلك الشامل لتشخيص آلام المرفق مع الأستاذ الدكتور محمد هطيف في صنعاء

اختبارات مرفق اليد: دليلك الشامل لتشخيص آلام المرفق مع الأستاذ الدكتور محمد هطيف في صنعاء

اختبارات مرفق اليد هي فحوصات سريرية حيوية لتشخيص آلام المرفق وتحديد السبب بدقة. يعتمد العلاج الفعال على التشخيص الصحيح الذي يوفره الأستاذ الدكتور محمد هطيف في صنعاء، والذي يشمل العلاج التحفظي أو التدخل الجراحي عند الضرورة.

موسوعة الحياة الصحية

التهاب المفاصل: دليل شامل للأعشاب والمكملات وطرق استخدامها الفعالة
التهاب المفاصل: دليل شامل للأعشاب والمكملات وطرق استخد…

**علاج التهاب المفاصل بالأعشاب** يستخدم نباتات طبيعية كالكركم والزنجبيل لدعم تخفيف الألم والتورم وتحسين الحركة. تتوفر هذه الأعشاب بأشكال متعددة كالحبوب والشاي والمستخلصات الموضعية، ويمكن دمجها بالطهي. يُنصح بدمجها ضمن خطة علاجية متكاملة وتحت إشراف طبي متخصص لضمان سلامتها وفعاليتها، وليس كبديل للعلاجات التقليدية.

خشونة المفاصل: دليل شامل للعلاج والوقاية مع الأستاذ الدكتور محمد هطيف
خشونة المفاصل: دليل شامل للعلاج والوقاية مع الأستاذ ال…

**خشونة المفاصل** هي تآكل الغضاريف التي تُغطي نهايات العظام في المفاصل، مما يؤدي إلى فقدانها قدرتها على امتصاص الصدمات وتقليل الاحتكاك. ينتج عن ذلك احتكاك العظام ببعضها، مسببًا الألم، التورم، والتصلب، وفقدان وظيفة المفصل تدريجيًا. تُعالج بتغيير نمط الحياة، الأدوية، العلاج الطبيعي، وفي الحالات المتقدمة بالجراحة. **(54 كلمة)**

رحلة علاج خشونة المفاصل: خيارات متعددة نحو حياة أفضل مع الأستاذ الدكتور محمد هطيف
رحلة علاج خشونة المفاصل: خيارات متعددة نحو حياة أفضل م…

**مقتطف مميز:** علاج خشونة المفاصل، وهي حالة مزمنة، يتطلب نهجًا متعدد الأوجه يهدف لتخفيف الألم وتحسين الحركة. يبدأ العلاج عادة بالخيارات غير الجراحية مثل العلاج الطبيعي، الأدوية المضادة للالتهاب، والحقن الموضعية. وفي حال عدم الاستجابة، قد يتطور للتدخل الجراحي عند الضرورة للحفاظ على جودة حياة المريض.

خشونة المفاصل: دليلك الشامل لألم لا يستجيب للأدوية مع الأستاذ الدكتور محمد هطيف
خشونة المفاصل: دليلك الشامل لألم لا يستجيب للأدوية مع …

خشونة المفاصل، أو الفصال العظمي، هي حالة مزمنة وشائعة تتدهور فيها الغضاريف الواقية في المفاصل تدريجيًا. يؤدي هذا التآكل إلى احتكاك مباشر بين العظام، مما يسبب ألماً وتيبساً وصعوبة في الحركة. تُعد خشونة المفاصل من أكثر أمراض المفاصل تأثيرًا على جودة الحياة، وتتطلب تقييمًا دقيقًا لاستكشاف خيارات علاجية متقدمة عند عدم استجابتها للأدوية التقليدية.

التخصصات الدقيقة

القدم والكاحل
تخلص من ألم القدم المزمن: حلول العظام بخبرة د. هطيف تنتظرك

تعرف معنا على تفاصيل تخلص من ألم القدم المزمن: حلول العظام بخبرة د. هطيف تنتظرك، تخلص من ألم القدم: علاج العظام الأمثل هنا! يعتمد على التشخيص الدقيق بواسطة جراح عظام متخصص لمعرفة السبب، سواء كان التهاب اللفافة الأخمصية، كسور إجهادية، أو التهاب مفاصل. لا تتجاهل الإشارة! العلاج المبكر يمنع المشاكل المزمنة ويضمن استعادة وظيفة قدميك وكاحليك بشكل كامل، لتحظى بحياة خالية من الألم.

القدم والكاحل
التهاب اللفافة الأخمصية: دليلك الشامل للتخلص من ألم الكعب المزعج

موضوعنا اليوم يركز على التهاب اللفافة الأخمصية: دليلك الشامل للتخلص من ألم الكعب المزعج، هو تهيج في شريط الأنسجة السميك الذي يمتد أسفل القدم، مسببًا ألمًا حادًا في الكعب، خاصةً في الصباح. ينجم عن الإجهاد المتكرر، الأحذية غير المناسبة، أو زيادة الوزن. فهم أسبابه يمهد الطريق للعلاج الفعال الذي يخفف الألم ويحسن الحركة.

القدم والكاحل
أصبع القدم المطرقية: وداعاً للألم... العلاج والوقاية الشاملة

في هذا المقال نناقش بالتفصيل موضوع أصبع القدم المطرقية: وداعاً للألم... العلاج والوقاية الشاملة، ما هو أصبع القدم المطرقية وكيف يمكنك التعامل معه؟ هو تشوه ينحني فيه إصبع القدم للأسفل عند المفصل الأوسط، مسبباً ألماً وصعوبة بالحركة وظهور مسامير. ينتج عن عدم توازن العضلات أو ارتداء أحذية ضيقة. للتعامل معه، يُشخص بالفحص الطبي والأشعة، ويُعالج لتحسين وظيفة القدم وتخفيف الألم بخيارات محافظة أو جراحية فعالة.

القدم والكاحل
اكتشف سر القدم المريحة: دليلك الشامل لتوديع آلام البونيون

إليك أهم المعلومات الطبية التي يجب أن تعرفها حول اكتشف سر القدم المريحة: دليلك الشامل لتوديع آلام البونيون، اكتشف سرّ القدم المريحة: دليلك الشامل للورم ومنعه! الورم الملتهب (البونيون) هو نتوء عظمي مؤلم يظهر على مفصل قاعدة إصبع القدم الكبير، نتيجة انحراف عظامه. يسبب هذا التشوه تورماً، احمراراً، وألماً شديداً، مما يؤثر على المشي وارتداء الأحذية. تتضمن أسبابه الوراثة والأحذية غير المناسبة، والوقاية تبدأ بالفهم السليم والعناية الجيدة بالقدم.

للأطباء والمختصين

الحالات التعليمية والمداخل الجراحية

المداخل الجراحية
كسور الحدبة الكبرى في الكتف: الدليل الشامل للمرضى مع الأستاذ الدكتور محمد هطيف

كسر الحدبة الكبرى هو إصابة شائعة تصيب الجزء العلوي من عظم العضد، حيث تتصل عضلات الكتف الرئيسية. يتضمن علاجه خيارات غير جراحية للحالات البسيطة مثل الراحة والعلاج الطبيعي، أو التدخل الجراحي لتثبيت الكسر في الحالات الأكثر تعقيدًا وإزاحة، بهدف استعادة وظيفة الكتف وتجنب المضاعفات.

المداخل الجراحية
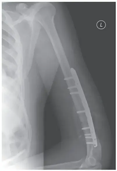
كسور عظم العضد القريب: دليل شامل للمرضى في اليمن والخليج العربي مع الأستاذ الدكتور محمد هطيف

كسور عظم العضد القريب هي إصابات شائعة بالكتف، غالبًا ما تنتج عن السقوط، وتصيب كبار السن بشكل خاص. معظمها يشفى بدون جراحة باستخدام الجبيرة والعلاج الطبيعي، بينما تتطلب الكسور المعقدة التدخل الجراحي لاستعادة وظيفة الذراع وتجنب المضاعفات، مع التركيز على التأهيل لاستعادة الحركة الكاملة.

المداخل الجراحية
التهاب مفصل الكتف التنكسي (خشونة الكتف): دليل شامل للمرضى نحو حياة بلا ألم مع الأستاذ الدكتور محمد هطيف

خشونة مفصل الكتف هو تآكل الغضروف الواقي في مفصل الكتف، مما يسبب الألم والتيبس وصعوبة الحركة. يشمل العلاج خيارات غير جراحية مثل الأدوية والعلاج الطبيعي، أو تدخلات جراحية كاستبدال المفصل. يحدد الأستاذ الدكتور محمد هطيف الخطة الأنسب لاستعادة الوظيفة وتخفيف الألم.

المداخل الجراحية
خشونة مفصل الكتف: دليلك الشامل لاستعادة الحركة وتخفيف الألم مع الأستاذ الدكتور محمد هطيف

خشونة مفصل الكتف هي تآكل الغضروف الذي يغطي عظام الكتف، مسبباً ألماً وتصلباً وصعوبة في الحركة. يبدأ العلاج عادة بالراحة والعلاج الطبيعي والأدوية، وقد يتطلب التدخل الجراحي كاستبدال المفصل في الحالات المتقدمة لاستعادة الوظيفة وتخفيف الألم بشكل دائم.

المداخل الجراحية
كسر الترقوة: دليل شامل للمرضى حول أسباب وعلاج وإعادة تأهيل كسور عظم الترقوة بتقنيات حديثة

كسر الترقوة هو إصابة شائعة في العظم الذي يربط الصدر بالكتف، غالبًا ما يحدث بسبب السقوط أو الصدمات. يعالج بالراحة والتثبيت أو بالجراحة، مثل التثبيت داخل النخاع، لاستعادة الوظيفة الكاملة للكتف وتسريع الشفاء، مع خطة تأهيل دقيقة.

هل تبحث عن تشخيص دقيق؟

احجز موعدك الآن مع د. محمد هطيف في برج الستين، صنعاء، للحصول على خطة علاجية فعالة وموثوقة.

احجز موعدك الآن