Knee Osteochondral Lesions: An Intraoperative Masterclass in OCD & AVN Management

Key Takeaway
Welcome to the OR, fellows. Today, we're tackling knee osteochondral lesions, specifically Osteochondritis Dissecans (OCD) and Avascular Necrosis (AVN). This masterclass will guide you through precise surgical anatomy, meticulous preoperative planning, and granular intraoperative execution, from initial arthroscopy to advanced fixation and drilling techniques. We'll cover critical pearls, pitfalls, and comprehensive postoperative management to ensure optimal patient outcomes for these challenging conditions.
DEFINITION
Osteochondritis dissecans (OCD), avascular necrosis (AVN), spontaneous osteonecrosis of the knee, and chondral and osteochondral lesions all occur at or beneath the articular surface of a weight-bearing joint and are easily confused (
FIG 1
).
OCD lesions occur when a segment of subchondral bone becomes avascular. The wafer of bone plus the overlying articular cartilage may become separated from the underlying bone.
Chondral lesions on the articular surface do not penetrate subchondral bone; damage is to chondrocytes and extracellular matrix and there is no inflammatory healing response.
Osteochondral lesions not only damage articular cartilage but also penetrate subchondral bone and, therefore, cause an inflammatory healing response.
AVN occurs when a larger wedge segment of bone loses its blood supply. If the necrosis extends to the subchondral bone, this can lead to subchondral fracture and bone surface collapse.
In OCD, the avascular fragment separates from a normal, vascular bony bed beneath a sclerotic rim. In AVN, the avascular osteochondral surface breaks into multiple fragments and separates from an avascular bed.
FIG 1 • AVN involves a large avascular bony segment, possibly extending to subchondral bone. OCD is distinguished by an avascular bony wafer plus overlying cartilage. An osteochondral lesion involves the articular cartilage plus underlying bone, whereas a chondral lesion involves the articular surface only. Spontaneous osteonecrosis of the knee involves focal stress fracture of subchondral bone plate with collapse.
*
Spontaneous osteonecrosis of the knee involves a stress fracture of the subchondral bone with secondary collapse. It often is seen in patients postmeniscectomy or with meniscal subluxation.
ANATOMY
Osteochondritis Dissecans
OCD lesions most often are found in the knee. They also occur commonly in the capitellum and talus.
In the knee, OCD lesions involve the medial femoral condyle 80% to 85% of the time, the lateral femoral condyle 10% to 15% of the time, and the trochlea less than 1% of the time. Patellar lesions are uncommon, seen in only 5% to 10% of cases, and typically occur in the inferomedial area.10,16,20
Classic lesions occur in the lateral aspect of the medial femoral condyle. Lateral lesions most often are located
in the inferocentral region and involve a significant portion of the weight-bearing surface (
FIG 2
).
Avascular Necrosis
AVN most commonly is seen in the hip. The knee is the second most common location but accounts for only about 10% as many cases as the hip. AVN can affect the femur, tibia, or both; is bilateral in over 80% of cases; and usually involves multiple condyles (
FIG 3A
).
AVN involves a larger area of subchondral bone, with extension into the epiphysis and even the metaphysis or diaphysis.
Spontaneous Osteonecrosis of the Knee
Spontaneous osteonecrosis of the knee is different from AVN. Spontaneous osteonecrosis of the knee occurs in patients older than 55 years, involves only one condyle (most commonly medial), and is unilateral in 99% of cases (
FIG 3B,C
).
The pathologic lesion in spontaneous osteonecrosis of the knee is a stress fracture of subchondral bone with collapse of the articular surface and secondary joint incongruity and pain.
PATHOGENESIS
Osteochondritis Dissecans
The definitive cause of OCD lesions remains elusive. Several theories exist, including trauma, ischemia, abnormal ossification involving the physes, genetic predisposition, and combinations of these. Prominent theories are further discussed in the following paragraphs, with most authors suspecting that repetitive stress plays a central role.
Repetitive microtrauma may create a stress fracture within subchondral bone. If the microtrauma continues and overwhelms
the ability of the subchondral bone to heal, necrosis may occur, leading to separation and nonunion of the segment.10
FIG 2 • Locations of OCD in the knee. (Adapted from Williams JS Jr, Bush-Joseph CA, Bach BR Jr. Osteochondritis dissecans of the knee. Am J Knee Surg 1998;11:221-232.)
The epiphyseal artery supplies the epiphysis and secondary centers of ossification.
Repetitive microtrauma or a trauma in a growing child to one of these small end arteries with a tenuous blood supply can result in disruption of the vascular supply to the segment, with resultant development of an OCD
lesion20 (
FIG 4
).
The alteration of subchondral vascularity is precipitated by insult at a vulnerable point.
In juvenile cases, revascularization can occur.
In most situations, however, healing is inadequate, and persistent avascularity of the fragment, along with mechanical forces at the subchondral region, leads to articular surface fracture.
Synovial fluid pumped into the bone around the fragment via knee motion limits healing by preventing fibrin clot formation. The pressurized fluid can even erode bone and create a cystic defect. Loss of fragment stability results in loose body formation.
Shear stress may be created by the medial tibial spine abutting the medial femoral condyle, possibly coupled with traction from the posterior cruciate ligament origin. However, this theory does not account for the presence of lesions at other locations and the fact that tibial eminence impingement does not occur in connection with normal walking or running.
FIG 3 • A. MRI scan of AVN involving multiple condyles with extension into the metaphysis. B,C. MRI scans of spontaneous osteonecrosis of the knee involving the medial condyle only. Note the edema adjacent to the involved area.
Avascular Necrosis
AVN of the knee has been called
ischemic
,
idiopathic
, or
corticosteroid-associated necrosis
.
As with AVN of the hip, necrotic bone leads to subchondral fracture and subsequent joint collapse.11
Similar to OCD lesions, AVN occurs from interruption of blood supply to a segment of bone, but in AVN, the interruption is atraumatic and may involve the epiphysis and also extend into the metaphysis.
NATURAL HISTORY
Osteochondritis Dissecans
OCD lesions occur in between 15 and 21 per 100,000 people, with a peak between the ages of 10 and 15 years.
They are more common in males, by a 5:3 ratio.
FIG 4 • Osteochondritis lesions can occur from an interruption of the epiphyseal blood supply to a specific area. (Adapted from Williams JS Jr, Bush-Joseph CA, Bach BR. Osteochondritis dissecans of the knee. Am J Knee Surg 1998;11:221-232.)
*
A history of previous knee trauma is seen in 40% to 60% of patients.
Lesions are bilateral in 15% to 30% of patients, usually prompting evaluation of both knees after making the diagnosis.
If lesions are bilateral, they typically are in different phases of development.
Patient maturity aids in prediction of treatment outcome.
Juvenile cases with open physes have a high (65% to 75%) potential to heal.
Results in adolescent cases are less predictable. About 50% do go on to heal, but the remainder have a progressive, nonhealing course similar to that of adult (ie, patients with closed physes) patients.
In skeletally mature patients, healing potential is essentially nonexistent.
Factors affecting prognosis include size and site of the lesion, fragment stability, joint fluid behind the fragment, status of the articular surface, and duration of the disorder.
Avascular Necrosis
AVN of the knee occurs most often in patients younger than 55 years of age, involves multiple condyles, and is bilateral more than 80% of the time.
FIG 5 • A. Fragmentation of the distal femoral condyle with multiple loose bodies. B. After débridement of the femoral condyle and removal of loose bodies. C. Fragments after arthroscopic removal. (Reprinted with permission from Diduch DR, Hampton BJ. Avascular necrosis drilling in the knee. In: Miller MD, Cole BJ, eds. Textbook of Arthroscopy. Philadelphia: Elsevier, 2004:593-599.)
Patients have AVN in other large joints in 60% to 90% of cases; are predominantly women; and often have a history of systemic lupus erythematosus, sickle cell disease, alcoholism, or systemic corticosteroid use.
In general, only AVN involving the epiphysis is clinically important. Here, loss of structural support can lead to collapse and fragmentation of the overlying joint surface, resulting in a painful arthritic joint (
FIG 5
*).
PATIENT HISTORY AND PHYSICAL FINDINGS
Osteochondritis Dissecans
Vague, poorly localized complaints of knee pain often are the initial presentation for OCD lesions.
Swelling is important to note because an effusion strongly suggests that the fragment is loose to at least some degree.
Loose or detached lesions may have mechanical symptoms such as crepitus, catching, or locking. These symptoms can mimic meniscal pathology.
Symptoms tend to progress with time, as continued activity causes a stable lesion to become unstable.
Quadriceps atrophy may be present as a late finding with chronic lesions.
Loss of range of motion is uncommon. Pain with range of motion, crepitus, or mechanical symptoms may represent an unstable lesion.
Wilson sign is specific for medial femoral condyle lesions and is tested for by flexing the knee to 90 degrees, then internally rotating and slowly extending it.
Patients develop pain (positive Wilson sign) at approximately 30 degrees as the tibial spine abuts against the medial femoral condyle; pain is relieved with external rotation.
According to recent studies, this sign may lack sensitivity.20
Patients may walk with an antalgic gait, externally rotating the affected leg to avoid contact of the tibial spine against the medial femoral condyle in the classic lesion.
Tenderness to direct palpation of the lesion (Axhausen sign) is found in patients with subchondral instability and
is a helpful indicator of progressive healing as the sign abates.
Avascular Necrosis
Patients with AVN have insidious onset of knee pain. The pain may be medial, lateral, or diffuse.
Mild effusions and joint line tenderness may be present. The physical examination often is unremarkable.
IMAGING AND OTHER DIAGNOSTIC STUDIES
Osteochondritis Dissecans
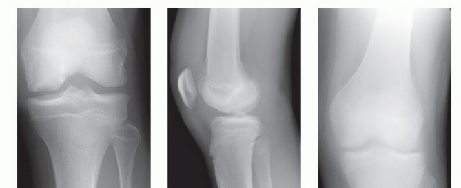
In OCD, plain films help to localize and characterize the lesion while also providing valuable information regarding skeletal maturity and age of the lesion and ruling out other bony injuries.
Radiographic evaluation should include anteroposterior (AP), lateral, tunnel, and sunrise views (
FIG 6A,B
).
Tunnel views provide visualization of the femoral condyles in greater profile than can be obtained with AP views (
FIG 6C,D
). The tunnel view often is the most revealing view because OCD lesions commonly are located on the lateral aspect of the medial femoral condyle.
Comparison views of the opposite knee should be considered because 15% to 30% of cases are bilateral.
Children younger than 7 years of age may have irregularities of the distal femoral ossification centers that simulate OCD lesions. These represent anatomic variants of normal ossification and are asymptomatic.
Magnetic resonance imaging (MRI) is an essential part of the diagnostic evaluation of OCD.
It provides critical information regarding the status of cartilage and subchondral bone, size of the lesion, presence of fluid beneath the lesion, extent of bony edema as well as loose bodies or other knee injuries (
FIG 6E,F
).
FIG 6 • A,B. AP and lateral views demonstrating a lesion in the medial femoral condyle. C,D. AP and tunnel views demonstrating an OCD lesion of the lateral femoral condyle. The femoral condyles are in greater profile in the tunnel view, making the lesion easier to appreciate. E,F. Coronal and sagittal MRI images of an OCD lesion. Note the joint fluid present beneath the lesion.
*
De Smet et al5 found four MRI criteria that are negatively correlated with the ability of OCD lesions to heal after nonoperative treatment: a line of high signal intensity beneath the lesion, indicating synovial fluid, that
(1) is at least 5 mm long, (2) is at least 5 mm thick, or (3) communicates with the joint surface, and (4) has a focal defect of 5 mm or more in the articular surface.
The high-signal line was found in 72% of unstable lesions and was the most common sign in patients who failed nonoperative treatment.5,13
A 2008 retrospective study evaluating the sensitivity and specificity of defining lesion instability on MRI looked at 36 juvenile and 34 adult OCD lesions. By defining radiographic instability as (1) high T2 signal intensity rim, (2) surrounding cysts, (3) high T2 signal intensity cartilage fracture line, (4) fluid-filled osteochondral defect, the criteria was 100% sensitive and 11% specific for juveniles and 100% sensitive and specific in
adults.8
Despite the widespread use of MRI in evaluating OCD lesions, Quatman et al14 felt that, after a review of the current literature, no high-quality studies have consistently
verified MRI results with arthroscopy findings. They cite lack of standardized grading criteria and variations in imaging sequences as part of the discrepancy.14
Historically, Cahill and Berg3 advocated the use of serial technetium 99m bone scans for evaluation of healing. This recommendation was based on the relation between blood flow and osteoblastic activity with scintigraphic activity.
Unfortunately, the isotropic tracer remains in the affected area well after healing, making interpretation difficult.
The use of serial bone scans for the management of OCD lesions has not been universally accepted, in large part because of the need for intravenous access, time required for the study, and, more importantly, the emergence of MRI.
Avascular Necrosis
For patients with AVN, plain radiographs and MRI scans should be obtained.
Once the diagnosis of AVN is established, screening MRI of both hips should be considered.
DIFFERENTIAL DIAGNOSIS
Normal accessory ossification centers Loose bodies
Meniscus pathology
Acute osteochondral fracture Avascular necrosis Epiphyseal dysplasia
NONOPERATIVE MANAGEMENT
Osteochondritis Dissecans
Initial nonoperative treatment is indicated in children with open physes because of the favorable natural history in this patient population.
Most authors agree that 6 weeks of protected weight bearing followed by 6 weeks of activity modification and reevaluation with radiographs plus MRI at 3 months constitutes an adequate trial of nonoperative treatment.
Cahill2 reported that 50% of juvenile OCD lesions will heal within 10 to 18 months if the physis remains open and patient compliance is maintained.
In a study of 47 knees, two-thirds of juvenile OCD lesions deemed stable on MRI healed within 6 months with activity modification and temporary immobilization alone. Significant risk factors for a nonhealing lesion were
increased size of the lesion and swelling and/or mechanical symptoms upon presentation.18 Children present unique challenges with regard to compliance.
Some authors advocate use of a knee immobilizer as part of the nonoperative regimen, believing that the combination of a stable lesion, non-weight bearing, knee immobilization, and daily range-of-motion exercises followed by activity modification will result in successful healing by 3 to 6 months in over 90% of cases.
Although no randomized prospective data have been released to support use of a knee immobilizer, a brace
may be useful to increase compliance with the nonoperative regimen in this difficult patient population.
Nonoperative management rarely is indicated in the symptomatic adult population because of the unremitting course of the disease.
After closure of the physis, healing capacity is greatly reduced and the possibility of instability, loosening, and subsequent detachment of the lesion is high.
Careful evaluation of adolescent patients nearing skeletal maturity is necessary because their healing ability also is decreased compared to that of younger patients.
Aggressive and early operative intervention usually is indicated to preserve the integrity of the joint.
Avascular Necrosis
In AVN, initial treatment with analgesics, nonsteroidal antiinflammatory medications, and protected weight bearing for 3 months represents an adequate trial of nonoperative management.
If symptoms persist, surgical intervention should be considered.
SURGICAL MANAGEMENT
Osteochondritis Dissecans
In OCD, operative treatment goals are to maintain joint congruity, rigidly fix unstable fragments, and repair osteochondral defects, thereby reducing symptoms and preventing additional cartilage deterioration (
FIG 7
).
Operative treatment should be performed in skeletally immature patients with unstable or detached lesions and also in patients who are approaching physeal closure whose lesions have failed nonoperative intervention.
Surgical intervention in OCD begins with arthroscopy. The stability of the lesion and the integrity of the overlying cartilage can be assessed directly.
Arthroscopic drilling of juvenile OCD lesions is appropriate in patients who have failed nonoperative management in lesions that remain stable with intact articular surfaces. Drilling aims to create channels for possible revascularization and healing.
Retrograde drilling across the epiphysis avoids penetration of the articular surface but is technically demanding in terms of drill depth and placement accuracy.
Antegrade transarticular drilling is straightforward and creates channels that heal with fibrocartilage on the joint surface.
Note: Antegrade arthroscopic drilling is essentially the same idea as microfracture with small variations in technique. The former terminology refers to the treatment of OCD lesions and the latter used for chondral defects. Both fall under the category of marrow stimulation techniques.
Arthroscopic drilling and fixation in situ can be performed for stable or minimally unstable lesions without evidence of articular cartilage disruption or fluid behind the fragment on MRI.
Fixation can be accomplished by a variety of open or arthroscopic methods, including Kirschner wires, cannulated screws, headless variable pitch compression screws, bone pegs, and bioabsorbable implants. Nonabsorbable fixation requires an additional surgery for hardware removal.
Unstable lesions have fibrous tissue and a sclerotic bony rim behind them that is best removed to allow healing to occur (
FIG 8
). Furthermore, any joint fluid beneath a
fragment will prevent formation of a fibrin clot, thereby preventing the first step necessary for bony healing.
FIG 7 • Treatment algorithm for OCD lesions.
Unstable lesions with subchondral bone loss should be grafted with autogenous bone graft packed into the defect before fragment reduction and subsequent fixation.
Bone grafting fills any voids that would prevent the fragment from sitting flush with the surrounding articular cartilage. Local autogenous bone graft sources include the distal femur and proximal tibia.
Patients with completely unstable lesions (loose bodies) that have subchondral bone attached can be trimmed to match the defect, bone grafted, and fixed primarily.
Several salvage options are available for lesions that cannot be repaired primarily.
Débridement and lavage are used for incidentally discovered lesions or those not involving a major weight-bearing area in patients with mostly mechanical symptoms. No attempt is made to repair or replace the damaged articular surface.
Marrow-stimulating techniques (eg, drilling, abrasion arthroplasty, or microfracture) promote a healing response in the form of fibrocartilage in the area of the lesion.
Restorative techniques replace damaged areas with new articular cartilage. These include osteochondral autografting, osteochondral allografting, and autologous chondrocyte implantation (ACI).
FIG 8 • Arthroscopic image of medial femoral condyle OCD lesion. The probe is used to hinge the lesion open, demonstrating fibrous tissue beneath lesion.
Avascular Necrosis
Surgical treatment of AVN can include arthroscopic débridement, arthroscopic drilling, core decompression, or high tibial osteotomy.
Core decompression has been shown to be relatively successful for symptomatic subchondral lesions prior to collapse.
Resurfacing with osteoarticular allografts or autografts is not generally favored because the bony bed is dead.
For patients with collapse and secondary arthrosis, unicompartmental arthroplasty and total knee arthroplasty are additional options.
Preoperative Planning
Osteochondritis Dissecans
Plain radiographs should be reviewed for growth plate status, localization of lesion in both AP and lateral planes, presence or absence of sclerosis, and possible loose bodies.
MRI scans should be reviewed for accurate estimate of lesion size, status of cartilage and subchondral bone, high-signal zone beneath the fragment, bony edema, presence of loose bodies, or concomitant intra-articular pathology. In particular, the presence of joint fluid or cystic erosions behind the fragment determines the need for bone grafting.
Avascular Necrosis
In AVN, plain films evaluate for evidence of collapse and secondary arthrosis (
FIG 9
). Once present, core decompression is not indicated.
MRI aids in determining the location and extent of subchondral bone involvement. Only lesions extending to subchondral bone are at risk for collapse and, therefore, appropriate for core decompression.
Positioning
Patients are positioned supine.
Retrograde drilling of femoral lesions is aided by placing an image intensifier on the opposite side of a radiolucent table to facilitate intraoperative imaging.
A tourniquet is placed on the operative thigh, and a lateral post is used to stabilize the extremity for valgus
stress. The post also facilitates hip rotation in the figure-4 position, allowing lateral knee access and ease in obtaining lateral imaging.
The extremity is then prepared and draped, the tourniquet is inflated, and diagnostic arthroscopy is performed.
FIG 9 • A,B. AP and lateral radiographs demonstrating collapse of the tibial surface in AVN. (Reprinted with permission from Diduch DR, Hampton BJ. Avascular necrosis drilling in the knee. In: Miller MD, Cole BJ, eds. Textbook of Arthroscopy. Philadelphia: Elsevier, 2004:593-599.)
*
Approach
Lesions may be approached using standard arthroscopic techniques.
The surgeon should have a low threshold for making a limited medial or lateral arthrotomy for direct access to
the lesion. It is crucial to be perpendicular to the lesion for placement of hardware or osteochondral grafting.
TECHNIQUES
-
Transchondral Drilling of Intact Osteochondritis Dissecans with or without Fixation
Drilling can be accomplished using either an antegrade or retrograde technique ( TECH FIG 1A ).
Antegrade techniques are technically easier but violate the articular cartilage.
Retrograde techniques avoid violation of the articular surface but involve the technical challenges of maintaining drill depth and placement accuracy and also require the use of fluoroscopy. A cannulated anterior cruciate ligament (ACL) guide is useful for guiding Kirschner wire placement.
TECH FIG 1 • A. Retrograde and antegrade drilling of OCD lesions. B. Probe seen indenting the edge of an OCD lesion.
(continued)
First, a thorough diagnostic arthroscopy is completed.
Careful inspection of the affected condyle is accomplished by varying the degree of knee flexion. Subtle irregularity at the borders of the lesion is looked for; the remaining articular cartilage will appear smooth.
The lesion is probed along its borders to ensure that there are no discontinuities in the articular cartilage overlying the subchondral bone ( TECH FIG 1B ).
Once the presence of an intact lesion has been verified, several drill holes are made in the lesion using a 0.062-inch Kirschner wire ( TECH FIG 1C,D ).
The wire must be positioned perpendicular to the surface. A soft tissue protector or drill sleeve is used over the wire.
--- TECH FIG 1 •
(continued)
C. Multiple drill holes are made in the lesion. D. Wire positioned perpendicular to surface prior to antegrade drilling of lesion. E. Absorbable fixation placed perpendicular to the surface of the lesion. F. Absorbable fixation countersunk beneath surface of the lesion. (B-F: Reprinted with permission from Diduch DR, Hampton BJ. Avascular necrosis drilling in the knee. In: Miller MD, Cole BJ, eds. Textbook of Arthroscopy. Philadelphia: Elsevier, 2004:593-599.) Surgeons should use whichever portal provides perpendicular access to the lesion, whether anteromedial or anterolateral. Large lesions may require use of both portals to access the entire lesion.
Drilling to a depth of 1.5 to 2 cm is done to encourage vascular access to the lesion. In skeletally immature patients, careful limitation of depth is essential to avoid penetration of the physis.
If any motion can be created by pressing against the fragment, or if the patient is approaching skeletal maturity, fixation of the fragment also should be performed.
Absorbable fixation options include “headed” nails with barbs at the tip to provide compression, our preferred technique (
TECH FIG 1E,F
); screws, which have more potential to cause joint surface damage; or smooth pins, which require varied angles of insertion to hold the fragment.
Metal fixation options include lag screws, variable pitch fully threaded screws, or Kirschner wires (less compression).
Using MRI imaging in adults with a mean follow-up time of 5.4 years, Weckström et al19 found that good or excellent functional results were seen in 35% of the pin group and 73% of the nail group. Additionally,
radiographic evidence of incomplete bony consolidation was more common in the pin group.19
2. ## Primary Fixation and Bone Grafting of Osteochondritis Dissecans Lesions
Primary fixation of OCD lesions of the knee should be attempted whenever possible.
The presence of subchondral bone which appears yellow on the undersurface of the lesion is a prerequisite for success of primary fixation. A lesion made of cartilage alone will not heal.
First, a diagnostic arthroscopy is performed. Once the lesion is identified, it is probed and examined for any fibrous tissue in the bed of the lesion.
The surgeon should have a low threshold for making a miniarthrotomy for direct access and visualization of the lesion. This facilitates fixation perpendicular to the fragment, thereby maximizing stability and the
compression obtained.
Miniarthrotomies can be made by extension of the anteromedial or anterolateral portal, depending on the location of the lesion. Care must be taken to avoid injury to the anterior horn of the meniscus during distal extension of the arthrotomy.
A limited fat pad excision is helpful to improve visualization.
Anterior and posterior lesions can be visualized by varying extension or flexion of the knee.
A curette is used to remove fibrous tissue from both the bed and the undersurface of the lesion until exposed bleeding bone is seen. The arthroscopic burr can help penetrate the dense sclerotic rim.
Reduction of the fragment is then performed either manually or with Kirschner wires.
It is imperative that the reduction sit flush with the articular surface.
Any step-off will result in increased contact stress and shear forces secondary to surface irregularity, with resultant edge loading.
Bone grafting is essential, therefore, to avoid malreduction of the fragment.
Cancellous autograft can be harvested from local sources such as Gerdy tubercle on the tibia or the outer aspect of the distal femur below the physis.
In both cases, the periosteum is incised, and then a small cortical window is made with an osteotome. A curette is used to harvest the cancellous bone.
The cortical window is then replaced, and the periosteum is repaired over the defect.
The bone graft is impacted into the bed, followed by repeat reduction and assessment of the chondral surface.
Fixation is achieved by placing the device perpendicular to the surface.
If there is no fluid tracking under the lesion on MRI, then in situ fixation is possible without any bone graft or additional reduction or curettage (
TECH FIG 2A-H
).
However, when more unstable lesions with either fluid tracking behind the fragment or free-floating fragments are encountered, these often do need bone grafting and curettage as previously described (
TECH FIG 2I-K
).
TECH FIG 2 • A-C. Preoperative x-ray (XR) and MRI show an OCD lesion with no fluid tracking behind the lesion. D-G. Intraoperative and postoperative images demonstrating in situ fixation with countersunk cannulated screws. H. After screw removal, postoperative imaging shows a healed OCD lesion.
(continued)
*
Screw heads should be countersunk beneath the chondral surface to avoid hardware problems. Multiple fixation points may be necessary, depending on the size of the lesion
Combining types or techniques of fixation is acceptable. For instance, a compression screw may be placed centrally in a lesion surrounded by absorbable pins at the periphery of the lesion to enhance fixation. Also, if only a portion of the lesion has subchondral bone attached, it is acceptable to fix that portion of the lesion and use osteochondral plug autografts to fill the remainder of the defect.
Overtightening of screws used for fixation must be avoided. Overly aggressive compression can fracture the fragment.
Final inspection should demonstrate a congruent reduction with secure fixation of the lesion.
TECH FIG 2 •
(continued)
I. A grossly unstable lesion with fluid tracking beneath and a sclerotic base requires aggressive removal of this sclerotic base, as it is a barrier to healing and is avascular. Local bone graft is then needed to fill the cavity created by burring and/or drilling this away. J,K. Intraoperative and postoperative images showing anatomic fixation. Screws are countersunk beneath the radiolucent cartilage surface but are slightly proud relative to the bone, giving the false appearance of not being placed deeply enough. Explaining this to families preoperatively can help avoid confusion later.
1.
Chondrocyte Transplantation
If the OCD lesion is not appropriate for fixation and a large articular void remains after the débridement, then relocating healthy cartilage should be considered.
Based off of the size and location of the lesion, autograft or allograft should be chosen to fill this void.
Osteochondral autologous plug transplantation is a popular technique to transfer cartilage from a minimal weight bearing to a weight-bearing location.
Many companies have specific instrumentation but the overall technique is mostly the same.
A curette is used to remove any remaining fibrocartilage or subchondral bone, and a socket or bone tunnel is drilled in the condyle to receive the plug (
TECH FIG 3A
). The depth and diameter of the tunnel are determined by the company-specific instrumentation and defect size, respectively.
The plug is harvested through a small open incision, most commonly from either the margin of the medial or lateral femoral trochlea.
Carefully insert and press-fit the plug into the defect. It is imperative at this stage and throughout this procedure that the instrumentation remains perpendicular to the articular surface. The plug can break if inserted incorrectly and accessory incisions may be needed to ensure this does not happen.
The articular surface should be smooth without any stepoff. Do not place the graft proud, as it is very unlikely to settle further (
TECH FIG 3B
*). When sized correctly, plugs are very stable and do not need further fixation. Under arthroscopic visualization, take the knee through a range of motion to verify
stability of the graft.
Osteochondral allograft transplantation
Allograft is less commonly used because lesions are rarely too large for autograft transplantation and secondary to concerns about disease transmission and graft incorporation.
The technique is the same as for the autograft transfer but without the graft harvest. Larger diameter plugs are possible with allograft.
After having been cut on the back table to the appropriate size using company-specific instrumentation, the graft is inserted perpendicularly into the recipient site.
A variation of osteochondral autologous transplantation has been developed to minimize donor site morbidity. This relatively new technology combines ACI with bone plug transplantation.
A small cartilage biopsy is taken from the non-weight-bearing trochlea and these cells are cultured for 3 to 4 weeks.
During the second procedure, an appropriately sized bone plug from the proximal tibial metaphysis is harvested, the cortical bone is removed, and the remaining cancellous bone is inserted into the cartilage defect. The matrix-supported chondrocyte transplant is then placed on top of this bone plug and held in place with fibrin glue.
Initial results are promising,17 but this technique is not yet in mainstream use.
TECH FIG 3 • A. After removing the entire lesion, a tunnel is created in the condyle. B. After final plug impaction, the articular surface is congruent. Due to the irregular borders of this defect, microfracture was performed around the superior and lateral margins to fill in the remaining cartilage void.
2.
Drilling of Avascular Necrosis in the Knee
Either an antegrade or a retrograde technique can be used in the femur.
Retrograde Drilling of the Femur
Retrograde techniques are preferred because they permit creation of a larger channel for a more effective core decompression.
Retrograde drilling of femoral lesions requires fluoroscopy plus arthroscopy.
A 2.4-mm guidewire is used to pierce from skin down to bone.
The starting point is verified with fluoroscopy in both the AP and lateral planes.
The guidewire is advanced to within 1 to 2 mm of the articular surface (
TECH FIG 4A
).
TECH FIG 4 • A. Guidewire is advanced to articular surface under fluoroscopic guidance using retrograde technique. B. Arthroscopic probe placed on the articular surface helps identify target condyle.
(continued)
Position of the wire is confirmed on the lateral projection by placing a probe against the target condyle's distal articular surface. This technique helps avoid confusion created by overlapping shadows when identifying the target condyle (
TECH FIG 4B
).
Arthroscopic visualization is then used to advance the guidewire to barely pierce the articular surface.
Drilling decompression is performed with a 4.5-mm cannulated drill bit (EndoButton drill bit, Smith & Nephew, Andover, MA) placed over the guidewire.
As it approaches the articular surface, the drill bit should be advanced by hand for better control.
The drill bit is stopped 2 mm short of the articular surface (
TECH FIG 4C,D
*).
Two or three passes with the guidewire and cannulated drill bit are required for each lesion.
TECH FIG 4 •
(continued)
C. Schematic depicting probe placement to assist with guidewire depth. D. The cannulated drill is significantly wider in diameter than the guidewire, facilitating core decompression of the AVN lesion. (A,B,D: Reprinted with permission from Diduch DR, Hampton BJ. Avascular necrosis drilling in the knee. In: Miller MD, Cole BJ, eds. Textbook of Arthroscopy. Philadelphia: Elsevier, 2004:593-599.)
*
Antegrade Drilling of the Femur
Antegrade drilling of femoral lesions involves drilling from the articular surface into the lesion. It does not require fluoroscopy.
Lesions are localized by correlation of arthroscopic findings with MRI images.
Multiple drill holes are made directly into the lesion using a smooth, 1- to 2-mm guidewire to a depth that penetrates through the lesion and into healthy bone.
The drilled tract is then aspirated for bleeding using the shaver with suction.
This bleeding indicates decompression and is evidence that the guidewire passed completely through the necrotic subchondral bone (
TECH FIG 5
).
TECH FIG 5 • Motorized shaver with suction can be used to aspirate the drill tract for bleeding using the antegrade technique. (Reprinted with permission from Diduch DR, Hampton BJ. Avascular necrosis drilling in the knee. In: Miller MD, Cole BJ, eds. Textbook of Arthroscopy. Philadelphia: Elsevier, 2004:593-599.)
*
Retrograde Drilling of the Tibia
Tibial lesions are drilled using a retrograde technique. Fluoroscopy is optional.
An ACL guide is used to target the lesion (
TECH FIG 6A
).
Lesions are localized by correlation of arthroscopic findings with MRI images.
A 2.4-mm guidewire is placed through the ACL guide and allowed to just pierce the articular surface (
TECH FIG 6B
).
A 4.5-mm drill bit is then used for drilling decompression, stopping the drill bit just beneath the articular surface.
-
TECH FIG 6 • A. Tibial lesions can be targeted using an ACL guide using the retrograde technique. B. Guidewire is seen piercing the tibial articular surface using the retrograde technique. (Reprinted with permission from Diduch DR, Hampton BJ. Avascular necrosis drilling in the knee. In: Miller MD, Cole BJ, eds. Textbook of Arthroscopy. Philadelphia: Elsevier, 2004:593-599.)
PEARLS AND PITFALLS
Mistakes to avoid when treating OCD
- Underestimating instability of the lesion and drilling in situ when fixation of the fragment is necessary for healing to occur.
- Underestimating fluid behind the fragment and pinning in situ when fixation and bone grafting are necessary for healing.
- Excision alone of a fragment with subchondral bone on its undersurface when reduction and fixation are necessary.
- Attempting fixation of a fragment that consists of cartilage only. Without subchondral bone, healing will not occur.
-
If in doubt, a miniarthrotomy should be made for direct access and visualization of the lesion. This facilitates perpendicular fixation, which maximizes healing potential.
Mistakes to avoid when treating AVN - Overtreatment of MRI findings. AVN is not always the source of the patient's pain. Look for other pathology in the knee that may account for the patient's symptoms. Only lesions with involvement of subchondral bone with potential for subsequent collapse are clinically relevant.
-
Drilling of AVN lesions should not be abandoned if initial attempts fail. Repeat drilling is effective in 60% of cases.11
POSTOPERATIVE CARE Osteochondritis Dissecans
After transchondral drilling, with or without fixation of intact OCD lesions, full range-of-motion and closed-chain resistance exercises are encouraged.
Daily range-of-motion exercises are encouraged because motion is important to provide articular cartilage nutrition via synovial fluid diffusion.
Touchdown weight bearing with crutches is done for 6 weeks.
Advanced weight-bearing and resistance exercises are done from 6 to 12 weeks. Sports or running is avoided until 3 months or radiographic union.
Patient compliance is an issue owing to the minimally invasive nature of the surgery.
After primary fixation and bone grafting of OCD lesions, patients may be placed in a hinged knee brace that is unlocked for self-guided exercises.
A continuous passive motion machine may be used for 2 to 3 weeks to help achieve motion.
Physical therapy is focused on range of motion for the first 2 weeks, after which gentle, progressive strengthening is initiated.
Touchdown weight bearing is permitted during the first 6 weeks, followed by progressive weight bearing.
For plug transfer procedures, the patient is made 50% weight bearing for 2 weeks if one plug is transferred and 4 weeks if more than one plug is used. Activity can then be advanced as tolerated.
Radiographs are taken 1 to 2 weeks after surgery and on successive visits every 4 weeks thereafter.
Once healing is verified radiographically, the patient may be taken back to surgery for hardware removal if necessary. The chondral surface can be inspected and the stability of the lesion can be evaluated at that time.
Most authors recommend removal of any metal hardware on the joint surface to minimize secondary wear or possible corrosion from synovial fluid.
Return to sports or running usually is not permitted until 6 months after surgery, unless radiographic union is demonstrated before that point. Avascular Necrosis After drilling of AVN, patients are limited to 50% weight bearing for 2 weeks until repeat radiographs are taken to rule out collapse.
Once collapse is ruled out, weight bearing can be advanced as tolerated.
Patients may benefit from physical therapy three times a week for 4 weeks. Therapy should focus on quadriceps strengthening and both active and passive range of motion. OUTCOMES Osteochondritis Dissecans Many authors have found transchondral drilling to be effective in treating OCD lesions in skeletally immature patients. Results are less effective in patients with closed physes.
Anderson et al1 used transchondral drilling to treat 17 patients (20 knees) with open physes and 4 patients with closed physes. The open physes group had a 90% healing rate, whereas the skeletally
mature group had a healing rate of 50%.
At Children's Hospital of Philadelphia, 51 patients up to 18 years of age were treated with transchondral drilling. Skeletally immature patients had an 83% success rate as opposed to 75% success in patients with closed physes. Failure to heal was associated with lesions in nonclassic locations, multiple lesions, and other underlying medical conditions.
Hayan et al7 treated 39 pediatric femoral OCD lesions with transchondral drilling consisting of 5 to 10 perforations with 1.2- to 1.5-mm diameter Kirschner wires. At 14.8-month follow-up, this technique showed good clinical (97.5%) and radiographic (95%) results. Their results were consistent with prior studies in that there was a significant correlation (<0.001) between closed physes and poorer outcomes.
Primary fixation of OCD lesions has had positive results.
Rey Zuniga et al15 treated 11 patients with symptomatic OCD lesions of the medial femoral condyle with a combination of Herbert screws and absorbable pins. Radiographic signs of healing correlated with the clinical outcome, which was good or excellent in 81.8% of patients.
Cugat et al4 used cannulated screws for fixation of OCD lesions in 14 patients. All patients returned to their previous sporting activity 3 to 11 months after surgery.
Using a combination of variable pitch screws, bioabsorbable tacks, partially threaded cannulated
screws, and bioabsorbable pins, Kocher et al9 demonstrated healing in 22 of 26 knees (84.6%). In their series, all 6 completely detached lesions healed, and the fixation method did not have a significant impact on healing rate.
Osteochondral transplantation
A 2009 prospective, randomized trial compared osteochondral autologous transplantation with microfracture for grade 3 or 4 OCD lesions of the medial or lateral femoral condyles in children younger
than 18 years old with defects6 between 2 and 4 cm2. Although both groups showed clinical improvement at 4 years, 19 of 23 (83%) transplant patients compared to 12 of 19 (63%) microfracture patients maintained good or excellent International Cartilage Repair Society scores. The average age was 14 years with a range from 12 to 18 years, and they did not stratify the patients based on physeal closure. -
Table 1 Ficat Classification of Avascular Necrosis Modified for the Knee
Stage Description
I
Normal appearance
II
Cystic or sclerotic lesions or both
Normal contour of bone without subchondral collapse or flattening of the articular surface
III
Crescent sign or subchondral collapse
IV
Joint space narrowing with secondary changes on the opposing joint surface
Although there are no high-quality studies comparing the two, one study showed primary fixation
provided patients a greater improvement when compared to osteochondral allografts in adult OCD
patients when the mean defect size12 was 4.5 ± 2.7 cm2. Avascular Necrosis Treatment of symptomatic AVN with nonoperative methods such as restricted weight bearing, analgesics, and observation has a clinical failure rate higher than 80%.
Core decompression of stage I, II, or III knees (Table 1) provides symptomatic relief, with 79% of patients having good or excellent Knee Society scores at 7 years.
For patients who fail initial core decompression, repeat decompression, and arthroscopic débridement provides some benefit, with results comparable to those of the initial decompression.
Core decompression will not improve symptoms once collapse has occurred because the joint surface then is irregular and essentially arthritic. COMPLICATIONS Nonunion with loose body formation Persistent symptomatic lesions Inability to localize the lesion
Drill bit penetration of the articular surface
Synovitis or foreign body reactions with absorbable implants Postoperative knee stiffness
Hardware migration or failure Damage to adjacent articular surfaces
Soft tissue irritation or burn from inadequate portal size Infection
Deep venous thrombosis **
Scientific References
-
**
- 1. Anderson AF, Richards DN, Pagnani MJ, et al. Antegrade drilling for osteochondritis dissecans of the knee. Arthroscopy 1997;13(3):319-324. [View Source / PubMed]
- 2. Cahill BR. Osteochondritis dissecans of the knee: treatment of juvenile and adult forms. J Am Acad Orthop Surg 1995;3(4):237-247. [View Source / PubMed]
- 3. Cahill BR, Berg BC. 99m-Technetium phosphate compound joint scintigraphy in the management of juvenile osteochondritis dissecans of the femoral condyles. Am J Sports Med 1983;11(5):329-335. [View Source / PubMed]
- 4. Cugat R, Garcia M, Cusco X, et al. Osteochondritis dissecans: a historical review and its treatment with cannulated screws. Arthroscopy 1993;9(6):675-684. [View Source / PubMed]
- 5. De Smet AA, Ilahi OA, Graf BK. Untreated osteochondritis dissecans of the femoral condyles: prediction of patient outcome using radiographic and MR findings. Skeletal Radiol 1997;26(8):463-467. [View Source / PubMed]
- 6. Gudas R, Simonaityte R, Cekanauskas E, et al. A prospective, randomized clinical study of osteochondral autologous transplantation versus microfracture for the treatment of osteochondritis dissecans in the knee joint in children. J Pediatr Orthop 2009;29(7):741-748. [View Source / PubMed]
- 7. Hayan R, Phillipe G, Ludovic S, et al. Juvenile osteochondritis of femoral condyles: treatment with transchondral drilling. Analysis of 40 cases. J Child Orthop 2010;4(1):39-44. [View Source / PubMed]
- 8. Kijowski R, Blankenbaker DG, Shinki K, et al. Juvenile versus adult osteochondritis dissecans of the knee: appropriate MR imaging criteria for instability. Radiology 2008;248:571-578. [View Source / PubMed]
- 9. Kocher MS, Czarnecki JJ, Andersen JS, et al. Internal fixation of juvenile osteochondritis dissecans lesions of the knee. Am J Sports Med 2007;35:712-718. [View Source / PubMed]
- 10. Kocher MS, Tucker R, Ganley TJ, et al. Management of osteochondritis dissecans of the knee: current concepts review. Am J Sports Med 2006;34:1181-1191. [View Source / PubMed]
- 11. Mont MA, Baumgarten KM, Rifai A, et al. Atraumatic osteonecrosis of the knee. J Bone Joint Surg Am 2000;82:1279-1290. [View Source / PubMed]
- 12. Pascual-Garrido C, Friel NA, Kirk SS, et al. Midterm results of surgical treatment for adult osteochondritis dissecans of the knee. Am J Sports Med 2009;37(suppl 1):125S-130S. [View Source / PubMed]
- 13. Pill SG, Ganley TJ, Milam RA, et al. Role of magnetic resonance imaging and clinical criteria in predicting successful nonoperative treatment of osteochondritis dissecans in children. J Pediatr Orthop 2003;23: 102-118. [View Source / PubMed]
- 14. Quatman CE, Quatman-Yates CC, Schmitt LC, et al. The clinical utility and diagnostic performance of MRI for identification and classification of knee osteochondritis dissecans. J Bone Joint Surg Am 2012;34:1036-1044. [View Source / PubMed]
- 15. Rey Zuniga JJ, Sagastibelza J, Lopez Blasco JJ, et al. Arthroscopic use of the Herbert screw in osteochondritis dissecans of the knee. Arthroscopy 1993;9:668-670. [View Source / PubMed]
- 16. Stanitski CL. Articular cartilage lesions and osteochondritis dissecans of the knee in the skeletally immature patient. In: DeLee JC, Drez D Jr, Miller MD, eds. Orthopaedic Sports Medicine: Principle and Practice, vol 2. Philadelphia: Elsevier, 2003:1887-1900. [View Source / PubMed]
- 17. Steinhagen J, Bruns J, Deuretzbacher G, et al. Treatment of osteochondritis dissecans of the femoral condyle with autologous bone grafts and matrix-supported autologous chondrocytes. Int Orthop 201;34:819-825. [View Source / PubMed]
- 18. Wall EJ, Vourazeris J, Myer GD, et al. The healing potential of stable juvenile osteochondritis dissecans knee lesions. J Bone Joint Surg Am 2008;90:2655-2664. [View Source / PubMed]
- 19. Weckström M, Parvianen M, Kiuru MJ, et al. Comparison of bioabsorbable pins and nails in the fixation of adult osteochondritis dissecans fragments of the knee: an outcome of 30 knees. Am J Sports Med 2007;35:1467-1476. [View Source / PubMed]
- 20. Williams JS Jr, Bush-Joseph CA, Bach BR Jr. Osteochondritis dissecans of the knee. Am J Knee Surg. 1998;11:221-232. [View Source / PubMed]
You Might Also Like