Labral Support (Shelf) Procedure for Perthes Disease: An Intraoperative Masterclass

Key Takeaway
Join us in the OR for an immersive masterclass on the labral support (shelf) procedure for Perthes disease. We'll meticulously cover patient selection, detailed surgical anatomy, the precise step-by-step intraoperative technique, including arthrography and shelf construction, critical pearls for avoiding pitfalls, and comprehensive postoperative management. This guide ensures a granular understanding of every surgical nuance for optimal patient outcomes.
Labral Support (Shelf) Procedure for Perthes Disease
## DEFINITION
The labral support (shelf) procedure has been used in patients with Legg-Calvé-Perthes disease (or Perthes disease) in Waldenström stages of necrosis or fragmentation in which the femoral head shows deformity or is at risk for deformity6, 12 (
FIG 1
).
The concept of the labral support (shelf) procedure in patients with Perthes disease includes the following steps6, 12:
Eliminating hinge subluxation and improving femoral head coverage by reducing the necrotic femoral epiphysis into the acetabulum (containment therapy)
Maintaining containment of the necrotic femoral epiphysis in the acetabulum during bony maturation of the labral support shelf—(usually, maturation is acceptable after 6 weeks of casting and an additional month of daytime crutch walking and nighttime abduction bracing)
Long-term containment is necessary until reossification of the lateral aspect of the femoral epiphysis. A mature labral support (shelf) will usually maintain long-term containment; however, any loss of containment necessitates its restoration.
FIG 1 • Anteroposterior (AP) radiograph of an arthrogram demonstrates a labral support (shelf) in a patient with Perthes disease. The shelf supports the labrum and enlarges the acetabulum to prevent subluxation of the femoral epiphysis.
*
Supporting the labrum and preventing deformity of the acetabulum (femoroacetabular impingement) Preparing for the (labral support) shelf to reabsorb after reossification of the femoral head Stimulating overgrowth of the acetabulum and remodeling of the femoral head
The labral support (shelf ) procedure has not been effective as a reconstructive procedure to restore sphericity of a deformed femoral head in the Waldenström stages of reossification and remodeling.12
ANATOMY
The posterior branch lateral femoral cutaneous nerve
The lateral femoral cutaneous nerve arises from divisions of the second and third lumbar nerves and courses the lateral border of the psoas muscle, crosses the iliacus muscle obliquely, passes under the inguinal ligament, and divides into an anterior and posterior branch.
The posterior branch traverses beneath the sartorius muscle and exits the fascia lata about 1 to 2 cm below
the anterior superior iliac spine.
The nerve supplies sensation to the skin anterolaterally from the level of the greater trochanter to the middle thigh.
The medial aspect of the bikini skin incision used in the labral support (shelf) procedure is very near the posterior branch of the lateral femoral cutaneous, which requires protection.
The labrum is located at the lateral rim of the acetabulum and has acetabular cartilage medially and fibrocartilage and fibrous tissue laterally.
The labrum growth plate contributes depth to the acetabulum and must not be damaged while performing the labral support (shelf).
In the adult, the average width of the acetabular labrum is 5.3 mm (standard deviation 2.6 mm). The labrum is wider superiorly and anteriorly than posteriorly.
The average surface area of the acetabulum without the labrum is 28.8 cm2 and with the labrum is 36.8 cm2.
PATHOGENESIS
Perthes disease is a condition of the immature hip caused by necrosis of the epiphysis and the growth plate of the proximal capital area of the femur.
The necrotic tissue is gradually resorbed and replaced by new bone.
During the process, the epiphysis may become deformed and the growth of the proximal femur retarded.
Typically, the age at onset of symptoms is between 4 and 8 years but may occur in children from 2 years to maturity.
There is a male predominance of 4:1, and the condition occurs bilaterally in up to 17% of cases. Factors with the greatest prognostic significance in Perthes disease are the following:
Age at onset of the disease (younger than 6 years of age at onset have much better outcomes than at older ages and onset after 11 years of age have the poorest outcomes)27
Degree of necrosis of the capital epiphysis (poorer outcomes occur with total or near-total necrosis of the femoral epiphysis)3, 4
Premature capital physeal growth plate closure1, 2
Persistent stiffness of the hip, with deformity of the femoral head (impingement)
At maturity, the hip may be normal or may have one of four patterns of deformity: coxa magna, coxa breva, coxa irregularis (impingement), and osteochondritis dissecans.
In adulthood, patients with irregular (incongruent) hips can develop impingement with progressive degenerative joint disease.
About 50% of all patients with Perthes disease have severe degenerative arthritis by the sixth and seventh decades of life.15, 16, 17, 23
NATURAL HISTORY
Waldenström25, 26 described four sequential stages of Perthes disease in childhood (later modified to the following): necrosis, fragmentation (resorption), reossification, and remodeling.
The stage of necrosis begins with an infarction of the capital femoral epiphysis and lasts about 6 months.
After the infarction, the child is usually asymptomatic, but a subchondral fracture subsequently develops in the necrotic bone and the hip becomes irritable22 (
FIG 2
).
A mild effusion develops and the femoral heal begins to lateralize in the acetabulum. The hip becomes painful and adduction-flexion-external rotation contractures develop.
The first radiographic sign of removal of necrotic bone begins the fragmentation stage (resorption).
Gradually, revascularization of the epiphysis begins, usually at the anterolateral area of the epiphysis.
Table 1 Lateral Pillar Classification
A
None
Favorable
B
≤50% of the original height
Intermediate
| ### FIG 2 • Computed tomography of the hip of a patient with Perthes disease showing necrotic bone in the epiphysis and a subchondral fracture. Group | Loss of Height of the Lateral Column of the Femoral Epiphysis | Prognosis |
| --- | --- | --- |
C
>50%
Poor
From Herring JA, Neustadt JB, Williams JJ, et al. The lateral pillar classification of Legg-Calve-
Perthes disease. J Pediatr Orthop 1992;12:143-150; Herring JA, Kim HT, Browne R. Legg-Calve-Perthes' disease. Part I: classification of radiographs with use of the modified lateral pillar and Stulberg classifications. J Bone Joint Surg Am 2004;86-A(10):2103-2120.
Over the ensuing months, the necrotic bone is removed, and the epiphysis may begin to deform, subluxate, and impinge on the margin of the acetabulum (hinged subluxation).
During the fragmentation stage, the height of the lateral pillar of the femoral epiphysis correlates with outcome and predicts the chance of developing arthritis in adulthood (Table 1).10
The first radiographic signs of new bone formation indicate the reossification stage.
About 12 to 14 months after the initial infarction, new bone begins forming in the epiphysis, usually at the anterolateral margin.
Once the anterolateral column of the epiphysis has reossified, further epiphyseal deformity does not typically occur.24
Reossification continues until the entire epiphysis is healed, which may take up to about 4 years.
The remodeling stage extends from the end of reossification until skeletal maturity.
The femoral epiphysis may improve in sphericity with continued growth.
Premature closure of the physis may cause limb shortening or deformity of the femoral neck.
Common deformities of the hip following Perthes disease include coxa magna, coxa breva (premature physeal closure), coxa irregularis (asphericity and incongruence of the hip with acetabular-femoral impingement), and osteochondral loose bodies.8, 27
Table 2 Stulberg Classification of Hips in Perthes Disease
I
Normal
Excellent
II
Loss of height in the femoral neck and the femoral epiphysis
remains spherical
Excellent
III
Elliptical femoral epiphysis
Arthritis in late
adulthood
IV
Femoral head flattening and a congruent acetabulum
Early arthritis
V
Flattened femoral head and an incongruent acetabulum
Early arthritis
| Stulberg et al23 classified hips into five groups that predict development of arthritis in adulthood (Table 2).
Group
| ** Description ** | ** Prognosis ** |
| --- | --- | --- |
From Stulberg SD, Cooperman DR, Wallensten R. The natural history of Legg-Calve-Perthes disease. J Bone Joint Surg Am 1981;63(7):1095-1108.
PATIENT HISTORY AND PHYSICAL FINDINGS
Perthes disease may present in children as an acute or chronic ache, which is commonly felt in the area of the hip, thigh, or knee. There is often an associated limp and hip stiffness.
The ache is mild and usually presents immediately after getting up in the morning and after extended exercise, but it does not prevent walking.
An antalgic limp is observed in the first few weeks of the disease, and then the gait may become a stiff pattern with flexion and adduction hip contractures.
The flexion-adduction hip contracture results in an apparent limb shortening, with dipping of the pelvis and a short stride length during ambulation.
Muscle atrophy is often observed at the buttock, thigh, and knee.
Additional clinical signs that may be seen include a positive Thomas test (hip flexion contracture) and a positive logroll test (loss of internal rotation of the hip).
Growth in height is decreased during the early stages but returns to normal after healing.
IMAGING AND OTHER DIAGNOSTIC STUDIES
The diagnosis is typically confirmed by anteroposterior and frog-leg lateral radiographs. Early in the disease (Waldenström stage of necrosis), radiographs show the following:
Increased inferomedial joint space
Lateral displacement of the femoral head19 Subchondral fracture22
Increased epiphyseal density
A small proximal epiphysis of the femur
During the Waldenström stage of resorption (fragmentation), there is a gradual removal of the sclerotic necrotic bone and the femoral epiphysis may deform.
As healing progresses with reossification, the epiphysis returns to a normal density and the femoral neck widens.
The proximal femoral physis may close prematurely.2
If the radiograph is not diagnostic, a bone scan or magnetic resonance imaging usually confirms the bone necrosis.
The bone scan shows a cold area in the femoral epiphysis in the early stage of necrosis.
With early revascularization (fragmentation stage of Waldenström), the scan will show the vascular ingrowth before radiographs.
Magnetic resonance imaging clearly demonstrates the necrotic epiphysis in the early stage of the disease; however, marrow edema should not be confused with the area of necrosis.
In the early stage, synovitis is observed, collapse and deformity of the cartilage of the epiphysis is usually clearly visible, and the degree of hinged subluxation (impingement) can be determined (
FIG 3
).18
In the fragmentation and reossification phases, vascular ingrowth is clearly visible.
Computed tomography shows bone well and is most helpful to evaluate hip incongruity during the late stages of remodeling and during young adulthood.
Skeletal hand bone age is decreased during the first year of the disease.
DIFFERENTIAL DIAGNOSIS
Toxic synovitis (irritable hip syndrome) Infection, such as Lyme disease or tuberculosis
FIG 3 • Magnetic resonance image of the hip of a patient with Perthes disease showing lateral subluxation, synovitis, and acetabular-femoral impingement (hinged subluxation).
*
Avascular necrosis of known etiology such as sickle cell disease, hemoglobinopathies, Gaucher disease, trauma, and steroid bone necrosis
Arthritis, such as rheumatic fever Multiple epiphyseal dysplasia
Tumors, such as chondroblastoma, leukemia, and lymphoma Slipped femoral epiphysis (preslip stage)
NONOPERATIVE MANAGEMENT
Children younger than 6 years of age without severe collapse of the femoral epiphysis have a good prognosis and do not require operative treatment.1
Their pain can be treated with nonnarcotic analgesic medications and protected weight bearing.
Hip stiffness can be managed with physical therapy that emphasizes hip abduction, internal rotation, and extension and bracing.
Children with necrosis involving less than 50% of the femoral epiphysis often have a good prognosis and operative treatment is often not necessary.
Children older than 11 years of age may be an exception in that a femoral epiphyseal deformity may develop (segmental collapse) even with less than 50% involvement.9, 21, 27
SURGICAL MANAGEMENT
Indications are controversial, but guidelines include the following:
Necrosis of over 50% of the proximal capital femoral epiphysis
Age 6 to 11 years: Younger children often heal well without operations, whereas adolescents poorly remodel the femoral deformity.
Waldenström stages of necrosis or fragmentation. Ideally, the operation should be performed before substantial deformity occurs to the capital femoral epiphysis.
Mild subluxation of the hip with femoroacetabular impingement Other possible indications
Children older than 11 years of age with mild femoral epiphyseal collapse: These older children do not have adequate remaining growth to remodel the femoral epiphysis.
Children younger than 6 years of age with marked collapse of the femoral epiphysis: Typically, children younger than 6 years of age heal well without treatment, but in severe cases, treatment may be indicated.
Patients with collapse of the epiphysis and hinged impingement: This operation may allow remodeling, but the outcome is less predictable.
Contraindications
Subluxation that cannot be reduced into the acetabulum
Most children younger than 6 years of age (these patients heal well without treatment)
Necrosis less than 50% of the proximal capital femoral epiphysis (these cases typically heal well without treatment)
Children who are too old to achieve acetabular overgrowth: Children older than 11 years of age may get less benefit.
Positioning
The patient is placed in the supine position with the involved hip elevated by a longitudinal roll under the shoulder and back.
The roll should not extend down to the hip area.
The entire leg and hip is prepared and draped sterile to the anterior midline, to the posterior midline, and to the inferior rib line superiorly.
Approach
The approach for the labral support procedure is between the tensor fascia lata muscle and the sartorius and rectus femoris muscles.
The dissection continues at the level of the anterior inferior iliac spine, beneath the origin of the gluteus minimus muscle (inferior gluteal line of ilium).
The triangular interval is developed: the iliac wing medially, the hip capsule inferiorly, and the gluteus minimus laterally.
With this approach, the origins of the abductor muscles are not elevated from the iliac wing, which we believe preserves the strength of hip abduction.
The reflected tendon of the rectus muscle is retracted laterally and then used to secure the bone graft of the labral support shelf.20
TECHNIQUES
-
Arthrography
Arthrography is performed to verify reduction of the subluxation and femoroacetabular impingement.
With the arthrographic dye in the hip joint, the degree of femoral epiphyseal deformity and subluxation is observed with the image intensifier.
The leg is then abducted and the area of hinge abduction is observed.
In many cases, the deformed femoral head will press against the lateral margin of the labrum and block the reduction of the femoral head into the acetabulum ( TECH FIG 1A-C ).
--- TECH FIG 1 • A-C. Arthrograms of the hip of a patient with Perthes disease in which the leg is progressively abducted. The abnormal femoral head deforms the labrum with progressive abduction of the leg. D. AP radiograph of the hip of a patient with Perthes disease in which the femoral epiphysis is contained within the acetabulum as the leg is placed in abduction.
The arthrographic dye will pool in the medial-inferior joint, and with additional attempted abduction of the leg, the lateral margin of the labrum will deform upward.
In these cases, an adductor muscle tenotomy is then performed through a medial adductor incision.
Afterward, the leg is again abducted to determine if the hinged abduction has been corrected (ie, reduction of the weight-bearing surface of the femoral epiphysis within the acetabulum).
The hip is considered to be reduced if the deformed part of the femoral head (weight-bearing area) is under the lateral margin of the acetabulum (contained within the acetabulum), the medial dye pool is reduced, and the lateral margin of the labrum is not deformed.
If the hip reduces (
TECH FIG 1D
), proceed with the shelf procedure as described in the following section.
If the reduction is incomplete, a capsulotomy of the inferior aspect of the hip capsule can be performed through the same incision as used for the adductor muscle tenotomy. Then, the hip can again be tested to determine reduction.
If hip reduction cannot be obtained, it is recommended that the procedure be terminated and, postoperatively, the leg be placed in skin traction or a bilateral broomstick cast until a gradual hip reduction can be obtained.
This is achieved by the patient's legs being progressively abducted in the ensuing postoperative days until complete reduction is accomplished.
The patient then returns to the operating room for continuation of the labral support shelf procedure.
2. ## Incision and Superficial Dissection
The incision starts at a point 1 cm inferior to the anterior superior iliac crest and extends laterally along the skin lines of Langer for about 3 cm (
TECH FIG 2
).
The dissection continues with a Cobb periosteal elevator between the tensor fascia lata muscle and the sartorius and rectus femoris muscles.
The superior origins of the abductor muscles are not elevated from the outer wall of the iliac crest. Maintaining the abductor muscles attached to the outer wall of the iliac wing improves postoperative hip abduction power.
With the periosteal elevator, a subperiosteal plane along the outer iliac wing about 3 cm wide is then developed beneath the gluteus medius and minimus muscles just above the hip. The image intensifier is useful to direct the periosteal elevator at a level of about 1 cm above the lateral margin of the acetabulum.
---
TECH FIG 2 • The bikini skin incision.
3. ## Deep Dissection
An arthroscope is helpful for visualization during the remainder of the procedure.
The subperiosteal plane is developed further along the outer iliac wing over the hip capsule from the anterior inferior iliac spine toward the sciatic notch.
Caution is taken not to injure the labral growth cartilage of the acetabular margin.
The tendon of the reflected head of the rectus femoris, which is adherent to the hip capsule, is retracted laterally and preserved to be used later to support the bony shelf.
The capsule is exposed with a periosteal elevator: anteriorly to the level of the anterior iliac spine, posteriorly to the sciatic notch, and laterally about 2 cm.
While exposing the capsule, do not injure the lateral growth plate of the acetabulum. (The capsule may be thickened, but it is never thinned.)
4. ## Trough Creation and Graft Collection
The level for the buttress shelf along the ilium is identified as about 3 mm above the labral growth plate of the acetabular rim. This corresponds to the superomedial margin of the hip capsule insertion into the ilium, a position that is verified with fluoroscopy by a metal marker (
TECH FIG 3A
).
A trough is then developed at this level, as described by Staheli,20 by making a series of 1-cm deep holes at the edge of the acetabulum using a 5/32-inch drill (
TECH FIG 3B
).
The holes should be directed upwardly about 20 degrees and extended posteriorly and anteriorly sufficiently to provide the needed coverage.
Care must be taken not to damage the cartilaginous margin of the acetabular growth plate.
An osteotome, narrow rongeur, or power burr (or a combination) is used to connect the holes to make a trough that is about 1 cm deep and angled cephalad about 15 degrees. The floor of the trough is the subchondral bone of the acetabulum and should be level with the capsule (
TECH FIG 3C
).
Autogenous bone graft is obtained from the previously exposed outer wall of the iliac wing, which is just superior to the trough and beneath the gluteus medius muscle.
The graft is typically about 1 × 1 × 1.5 cm and is cut into three longitudinal strips.
TECH FIG 3 • A. Intraoperative anteroposterior (AP) fluoroscopy image with the level of the labral support (shelf) identified with a medal marker. The proper level is just above the cartilaginous labral growth area. B. To begin creation of the trough, a line of upwardly inclined, 1-cm deep holes is made where the rectus femoris tendon (now reflected) attaches to the acetabular margin. C. The holes are connected using a burr, osteotome, or narrow rongeur to create a slightly angled 1-cm deep trough. An osteotome is then used to collect strips of cancellous and corticocancellous bone for the outer wall of the iliac wing. 5. ## Creation of the Shelf
Several absorbable sutures (usually three) are placed through the outer fibers of the hip capsule to be used later to secure the pieces of bone graft to the capsule.
The leg is then placed in about 45 degrees of abduction and the deformed femoral head is again reduced into the acetabulum (contained), and this position is verified by the image intensifier. Caution: The femoral head must be contained within the acetabulum with no hinged subluxation, no deformity of the lateral labrum, and no impingement.
The leg is held in abduction of 45 degrees, flexion of 15 degrees, and neutral rotation through the remainder of the procedure (and as the spica cast is applied).
Autogenous bone graft is placed over the capsule, with the strips of bone inserted medially in the trough and laterally under the reflected head of the rectus femoris tendon, and the sutures are tied around the strips of graft to hold them snugly to the capsule (
TECH FIG 4A
).
The reflected head of the rectus femoris tendon is placed over the lateral aspect of the graft to add additional support.
About 30 to 60 mL of donor allograft bone may be added above the labral support (shelf) to create a buttress for additional support (
TECH FIG 4B
).
The graft will appear extensive when visualized by the image intensifier.
The purpose of the shelf is to support the labrum and prevent the hip from anterolateral subluxation during reossification of the lateral column of the femoral epiphysis.
Remember: The shelf is expected to resorb in about 3 years because it is not expected to be weight bearing but only to act as a buttress with support of the acetabular labrum.
The leg is held in abduction (as described earlier) with the femoral head in the reduced position as the
incision is closed in layers.
The patient is placed in a one-and-one-half hip spica cast with the involved leg in abduction of 45 degrees, flexion of 15 degrees, and neutral rotation.
TECH FIG 4 • A. Two layers of autogenous bone graft strips are placed over the capsule, one with the strips inserted lengthwise and the other with the pieces laid side by side widthwise. The strips of bone are inserted medially in the trough and laterally under the reflected head of the rectus femoris tendon. Strong, nonabsorbable sutures are used to anchor the graft into the capsule, and additional morselized bone graft is placed on top of the created shelf. B. Anteroposterior (AP) arthrogram of the hip of a patient with Perthes disease in whom the femoral epiphysis and labrum is supported by a labral support (shelf) procedure.PEARLS AND PITFALLS
| Small ▪ An arthroscope is helpful to visualize the dissection and placement of the labral
| |
procedure support (shelf).
without internal fixation
Walking in ▪ Children can walk in the cast as soon as the postoperative pain resolves. the cast
No ▪ The procedure does not cause a permanent deformity of the femur or permanent acetabulum, and there is no impingement from the graft because the labral shelf deformity resorbs in about 3 years postoperatively.
Containment ▪ The femoral head must be contained within the acetabulum with no hinged of the hip subluxation, no deformity of the lateral labrum, and no impingement.
Do not ▪ The buttress shelf is placed on the outer iliac wing above the labral growth plate damage the of the acetabulum. The graft functions only as a buttress to prevent resubluxation labral of the femoral epiphysis until the lateral column reossifies. The graft is not
growth plate expected to be weight bearing and is expected to resorb after about 3 years. of the
acetabulum.
Hip motion ▪ Maintain good hip abduction after cast removal.
| ---|---|---
POSTOPERATIVE CARE
The cast, subsequent abduction contracture, and an abduction hip pillow at night offer initial containment. Later, the labral support (shelf) acts as a buttress for the labrum to prevent resubluxation and hinging of the hip until the lateral column of femoral epiphysis reossifies.
The cast is maintained for 6 weeks, and the child is allowed to walk in the cast as soon as postoperative pain resolves.
When the cast is removed, the patient is allowed daytime walking with “toe-touch” crutch weight bearing and nighttime abduction bracing for an additional 4 weeks and then allowed full ambulation without support.
An abduction contracture of the hip is expected to persist additionally for about 6 weeks after cast removal. During the month after cast removal, an abduction bracing is used at night.
Exercises of the hip are encouraged to maintain flexion, extension, and abduction; adduction is not encouraged for at least 6 to 8 weeks after the cast is removed.
Abduction exercises of the hip to maintain at least 45 degrees abduction are continued until reossification of the lateral column of the femoral head.
Long-term containment is necessary until reossification of the lateral aspect of the femoral epiphysis. A mature labral support (shelf) procedure will usually maintain long-term containment; however, any loss of containment necessitates its restoration.
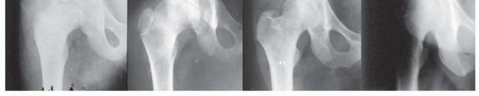
FIG 4 • Anteroposterior (AP) radiographs of the hip of a patient with Perthes disease in whom the deformed femoral head was treated by a labral support (shelf) procedure. There is remodeling of the femoral epiphysis, widening of the acetabulum, and resolution of the shelf.
*
OUTCOMES
Domzalski et al6 reported the results of 49 consecutive patients treated by the labral support (shelf) procedure for Perthes disease.
The procedure has a combined effect to prevent subluxation, to stimulate additional growth of the lateral rim of the acetabulum in a vertical dimension, and to provide temporary osseous containment until the shelf resorbs with time in a manner that is beneficial for preventing impingement of the femoral neck and greater trochanter on the shelf (
FIG 4
).
Willett et al28 reported the results of 20 children treated by a lateral shelf acetabuloplasty and recommended its use in children older than 8 years of age with Perthes disease of Catterall groups II, III, and IV.
Van der Heyden and van Tongerloo29 reported on 25 patients with Perthes disease who were treated by a shelf procedure and had good or excellent results.
Kadhim et al12 performed a meta-analysis of observational studies and concluded the shelf arthroplasty to be a satisfactory containment method during the early stages of necrosis and fragmentation but to be unsatisfactory for reconstruction during the stages of reossification and remodeling.
Other authors have also reported encouraging results with similar labral support (shelf) procedures,5, 7, 9, 11, 13, 14, 21, 27 but to my knowledge, there has been no controlled, prospective, and randomized study comparing this procedure to other methods of treatment.
COMPLICATIONS
Loss of containment for the necrotic femoral epiphysis before bony maturation of the labral shelf support (usually maturation is acceptable after 6 weeks of casting and an additional month of daytime crutch
walking and nighttime abduction bracing)
Infection
Injury of the labral growth cartilage, which prevents growth stimulation of the acetabulum Displacement of the labral support (shelf) bone graft
Improper placement of the labral support (shelf) Neurovascular injury
Cast problems
Scientific References
- 1. Bowen JR, Foster BK, Wein BK, et al. Legg-Calve-Perthes disease in patients under six years of age. Orthop Trans 1981;5:446. [View Source / PubMed]
- 2. Bowen JR, Schreiber FC, Foster BK, et al. Premature femoral neck physeal closure in Perthes' disease. Clin Orthop Relat Res 1982;(171):24-29. [View Source / PubMed]
- 3. Catterall A. Adolescent hip pain after Perthes' disease. Clin Orthop Relat Res 1986;(209):65-69. [View Source / PubMed]
- 4. Catterall A. Legg-Calve-Perthes syndrome. Clin Orthop Relat Res 1981;(158):41-52. [View Source / PubMed]
- 5. Daly K, Bruce C, Catterall A. Lateral shelf acetabuloplasty in Perthes' disease. A review of the end growth. J Bone Joint Surg Br 1999; 81(3):380-384. [View Source / PubMed]
- 6. Domzalski ME, Glutting J, Bowen JR, et al. Lateral acetabular growth stimulation following a labral support procedure in Legg-Calve-Perthes disease. J Bone Joint Surg Am 2006;88(7):1458-1466. [View Source / PubMed]
- 7. Gill AB. Plastic construction of an acetabulum in congenital dislocation of the hip: the shelf operation. J Bone Joint Surg 1935;17:48-59. [View Source / PubMed]
- 8. Grzegorzewski A, Synder M, Koztowski P, et al. The role of the acetabulum in Perthes disease. J Pediatr Orthop Am 2006;26:316-321. [View Source / PubMed]
- 9. Herring JA, Kim HT, Browne R. Legg-Calve-Perthes' disease. Part I: classification of radiographs with use of the modified lateral pillar and Stulberg classifications. J Bone Joint Surg Am 2004;86-A(10): 2103-2120. [View Source / PubMed]
- 10. Herring JA, Neustadt JB, Williams JJ, et al. The lateral pillar classification of Legg-Calve-Perthes disease. J Pediatr Orthop 1992;12:143-150. [View Source / PubMed]
- 11. Heyman CH. Long-term results following a bone-shelf operation for congenital and some other dislocations of the hip in children. J Bone Joint Surg Am 1963;45:1113-1146. [View Source / PubMed]
- 12. Kadhim M, Holmes L, Bowen JR. The role of shelf arthroplasty in early and late stages of Perthes disease: a meta-analysis of observational studies. J Child Orthop 2012;6:379-390. [View Source / PubMed]
- 13. Kruse MRW, Guille JT, Bowen JR. Shelf arthroplasty in patients who have Legg-Calve-Perthes disease. J Bone Joint Surg Am 1991; 73(9):1338-1347. [View Source / PubMed]
- 14. Love BR, Stevens PM, Williams PF. A long-term review of shelf arthroplasty. J Bone Joint Surg Br 1980;62-B(3):321-325. [View Source / PubMed]
- 15. McAndrew MP, Weinstein SL. A long-term follow-up of Legg-Calve-Perthes disease. J Bone Joint Surg Am 1984;66(6):860-869. [View Source / PubMed]
- 16. Mose K. Methods of measuring in Legg-Calve-Perthes with special regard to the prognosis. Clin Orthop Relat Res 1980;(150):103-109. [View Source / PubMed]
- 17. Mose K, Hjorth J, Ulfeldt M, et al. Legg-Calve-Perthes disease. The late occurrence of coxarthrosis. Acta Orthop Scand Suppl 1977;169:1-39. [View Source / PubMed]
- 18. Quain S, Catterall A. Hinge abduction of the hip: diagnosis and treatment. J Bone Joint Surg Br 1986;68(1):61-64. [View Source / PubMed]
- 19. Richards BS, Coleman SS. Subluxation of the femoral head in coxa plana. J Bone Joint Surg Am 1987;69(9):1312-1318. [View Source / PubMed]
- 20. Staheli LT. Slotted acetabular augmentation. J Pediatr Orthop 1981;1: 321-327. [View Source / PubMed]
- 21. Salter RB. The present status of surgical treatment of Legg-Perthes Disease. J Bone Joint Surg Am 1984;66(6):961-966. [View Source / PubMed]
- 22. Salter RB, Thompson GH. Legg-Calve-Perthes disease. The prognostic significance of the subchondral fracture and a two-group classification of the femoral head involvement. J Bone Joint Surg Am 1984; 66(4):479-489. [View Source / PubMed]
- 23. Stulberg SD, Cooperman DR, Wallensten R. The natural history of Legg-Calve-Perthes disease. J Bone Joint Surg Am 1981;63(7): 1095-1108. [View Source / PubMed]
- 24. Thompson G, Westin GW. Legg-Calve-Perthes disease: results of discontinuing treatment in the early reossification stage. Clin Orthop Relat Res 1979;139:70-80. [View Source / PubMed]
- 25. Waldenström H. The first stage of coxa plana. Acta Orthop Scand 1934;5:1-34. [View Source / PubMed]
- 26. Waldenström H. The first stage of coxa plana. J Bone Joint Surg 1938;20: 559-566. [View Source / PubMed]
- 27. Wang L, Bowen JR, Puniak MA, et al. An evaluation of various methods of treatment for Legg-Calve-Perthes disease. Clin Orthop Relat Res 1995;(314):225-233. [View Source / PubMed]
- 28. Willett K, Hudson I, Cattarall A. Lateral shelf acetabuloplasty: an operation for older children with Perthes' disease. J Pediatr Orthop 1991;12:563-568. [View Source / PubMed]
- 29. van der Heyden AM, van Tongerloo RB. Shelf operation in Perthes disease. J Bone Joint Surg Br 1981;63B:282. [View Source / PubMed]
You Might Also Like