Mastering Distal Femur ORIF: An Intraoperative Guide to Complex Fractures

Key Takeaway
This masterclass provides an immersive, step-by-step guide to open reduction and internal fixation (ORIF) of distal femur fractures. Fellows will learn comprehensive surgical anatomy, meticulous preoperative planning, and granular intraoperative execution techniques. We cover neurovascular risks, muscle dynamics, precise hardware application, and strategies for managing potential complications, ensuring optimal patient outcomes for these challenging injuries.
Definition
Distal femur fractures are difficult, complex injuries that can result in devastating outcomes. The distal part of the femur is considered the most distal 9 to 15 cm of the femur and can involve the articular surface. The intra-articular injury can vary from a simple split to extensive comminution. Articular involvement can lead to posttraumatic arthritis. These fractures constitute 4% to 7% of all femur fractures. If the hip is excluded, they represent nearly one-third of all femur fractures. There is a bimodal distribution defined by the mechanism of injury (see the following discussion). ## ANATOMY The supracondylar area of the femur is the zone between the femoral condyles and the metaphyseal-diaphyseal junction. The metaphyseal bone has some important structural characteristics. The predominant bone is cancellous. The cortices are especially thin. There is a wide intramedullary canal. It is also important to understand the unique bony architecture of the distal femur ( FIG 1). It is trapezoidal in shape, and hence the posterior aspect is wider than the anterior aspect. There is a gradual decrease by 25% in the width from posterior to anterior. The medial femoral condyle has a larger anterior to posterior dimension than the lateral side and extends farther distally.
---
FIG 1 • A. View of the distal femur showing the wider posterior aspect and trapezoidal shape. B. Lateral view of the distal femur; the shaft is in line with the anterior half of the distal femoral condyles. The shaft is in line with the anterior half of the distal femoral condyles. The normal mechanical and anatomic axes of the lower limb must be understood so that the alignment of the limb can be reestablished ( FIG 2). The mechanical femoral axis, which is from the center of the femoral head to the center of the knee, is 3 degrees off the vertical. The mechanical axis of the entire limb continues to the center of the ankle. The anatomic femoral axis differs from the mechanical femoral axis in that there is 9 degrees of valgus at the knee. This results in an anatomic femoral axis of the lateral distal femur of 81 degrees or an anatomic femoral axis of the medial distal femur of 99 degrees. The mechanical and anatomic axes of the tibia are for practical purposes identical, going from the center of the knee to the center of the ankle. The treatment of distal femur fractures can be complicated by the various muscle attachments, which can impede or hamper proper fracture reduction. The quadriceps and hamstrings result in fracture shortening; thus, excellent muscle paralysis must be obtained for proper reduction. The medial and lateral gastrocnemius results in posterior angulation and displacement of the distal segment. The distal femur “extends,” resulting in an apex posterior deformity. If an intercondylar extension is present, rotational deformities of the individual condyles can occur ( FIG 3A,B). The adductors, specifically the adductor magnus, which inserts onto the adductor tubercle of the medial femoral condyle, can lead to a varus deformity of the distal segment ( FIG 3C). 466
---
* FIG 2 • Mechanical and anatomic axes of the lower extremity; the 9 degrees of valgus at the knee is noted. The neurovascular structures about the knee are at risk when an injury of the distal femur occurs. At the canal of Hunter, roughly 10 cm proximal to the knee on the medial side, the superficial femoral artery enters the popliteal fossa (see FIG 3C). Posterior to the knee, both the popliteal artery and the tibial nerve are at risk at the fracture site ( FIG 3D). ## PATHOGENESIS As mentioned, there is a bimodal distribution in terms of age in the epidemiology of distal femur fractures. This relates to the mechanism of injury. High-energy and low-energy injuries occur. High-energy injuries usually are from motor vehicle accidents and occur in the young patient. There is a direct impact onto the flexed knee, such as from the dashboard. These patients often have associated injuries such as a hip fracture or dislocation or vascular or nerve injury. These high-energy injuries generally result in comminuted fractures, mostly of the metaphyseal region. The comminution can be articular as well. Low-energy injuries usually occur in the elderly patient who falls from a standing height. The axial loading is accompanied by either varus or valgus with or without rotation. The osteoporotic bone in these individuals leads to fracture. The fracture pattern can vary from the most simple extra-articular type to the most complex intraarticular injury. Owing to the gastrocnemius complex, an apex posterior deformity of the condyles occurs as the fragments are flexed because of the muscle attachment. ## NATURAL HISTORY Fractures of the distal femur that have intra-articular displacement can lead to severe posttraumatic arthritis if left untreated. Operative treatment has led to a 32% decrease in poor outcomes. 19 ## PATIENT HISTORY AND PHYSICAL FINDINGS Direct physical examination of the knee with a distal femur fracture is limited primarily because of pain and the obvious nature of the injury. The patient presents with a swollen and tender knee after either a fall or some high-energy trauma (motor vehicle or motorcycle accident). A large hemarthrosis is present. Any attempts at range of motion result in severe pain, and significant crepitus is usually noted with palpation. If there is concern for an open knee joint, the joint can be injected after a sterile preparation to see whether the knee joint communicates with any wound. The physical examination is directed primarily at ascertaining the neurovascular status of the lower limb and determining whether any associated injuries exist, especially the hip (see Exam Table for Pelvis and Lower Extremity Trauma, pages 1 and 2). If there are any small wounds or tenting of the skin anteriorly, the fracture should be considered as being open. It is important to check for pulses. If diminished or absent, pulses should be assessed with Doppler. The ankle-brachial indices should be obtained if there is a concern for arterial injury. Any side-to-side difference or value less than 0.9 warrants an arteriogram. Computed tomography (CT) arteriogram has been used with increasing frequency as well in cases where there is concern ( FIG 4). Nerve function should be checked. Sensation and both active dorsiflexion and plantarflexion must be assessed. ## IMAGING AND OTHER DIAGNOSTIC STUDIES The initial imaging study is always plain radiographs. Anteroposterior (AP) and lateral radiographs of the knee should be obtained initially. Traction films should be obtained if there is severe comminution of either the metaphysis or articular surface. This aids in the preoperative planning. 467
---
### FIG 3 • A. Patient with a grade IIIA open distal femur with extruded fragment; the “extension” of the femoral condyles is outlined. B. Patient with a distal femur fracture with intercondylar extension showing the subtle rotational deformities of the individual condyles. C. The muscle forces are shown on the distal femur, as is the femoral artery and vein entering the canal of Hunter (arrow). The adductor magnus inserts on the adductor tubercle, leading to a varus deformity of the distal segment. D. A lateral image of the same patient with the popliteal artery and tibial nerve drawn in to show the relative proximity to the fracture ends. 468
---
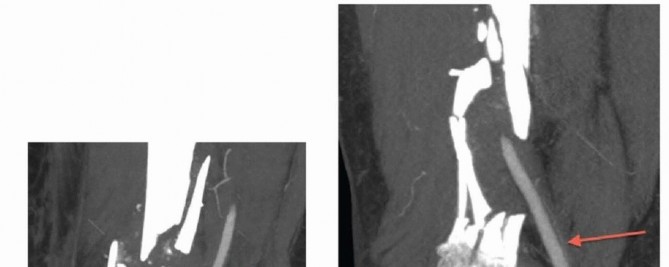
### FIG 4 • A,B. Coronal and sagittal CT angiography images showing intact femoral artery in a severely comminuted distal femur fracture (red arrows). Dedicated knee films should always be obtained in the assessment of distal femur fractures. Additionally, the entire femur, to include the hip and knee, should be imaged to look for possible extension and associated injuries and to allow for preoperative planning ( FIG 5). In cases of severe comminution, radiographs of the contralateral knee can aid in preoperative planning as well. A dedicated CT scan is an important adjunct to the preoperative planning when there is articular involvement ( FIG 6). Generally, extra-articular distal femur fractures do not require a CT scan. However, it has been shown that coronal fractures may be missed on plain films, and thus there is a low threshold for obtaining a CT scan for fractures of the distal femur. 11 If the fracture pattern warrants a temporary bridging external fixator, it is best to obtain the CT scan after placement of such a fixator for better definition. Coronal and sagittal reconstructions should be requested. Three-dimensional images can be created from most CT scans. This can also aid in the preoperative planning ( FIG 7A,B). Subtle sagittal plane rotational malalignment between condyles can be assessed ( FIG 7C). If associated soft tissue injury is suspected, such as ligamentous tears or tendon ruptures, then magnetic resonance imaging (MRI) may be indicated. Routine use of MRI, however, is not needed. ## DIFFERENTIAL DIAGNOSIS Proximal tibia fracture Femoral shaft fracture Septic knee Patella fracture Anterior cruciate ligament rupture Knee dislocation ## NONOPERATIVE MANAGEMENT There are few relative indications for nonoperative management of distal femur fractures: Poor overall medical condition Patient has severe comorbidities and is too sick for surgery. Patient has extremely poor bone stock. Spinal cord injury (paraplegia or quadriplegia) Some special situations may warrant nonoperative care on case-by-case basis. Nondisplaced or minimally displaced fracture Select gunshot wounds with incomplete fractures Extra-articular and stable Unreconstructable Lack of experience by the available surgeon or lack of equipment or appropriate facility to adequately treat the injury. Transfer is indicated in these situations; otherwise, nonoperative treatment may be the only option. There are several methods for nonoperative treatment. Skeletal traction Cast bracing Knee immobilizer Long-leg cast There are acceptable limits for nonoperative management: Seven degrees of varus or valgus Ten degrees of anterior or posterior angulation. A flexion deformity is less well tolerated than an extension deformity. Up to 1 to 1.5 cm of shortening Two to 3 mm of step-off at the joint surface 469
---
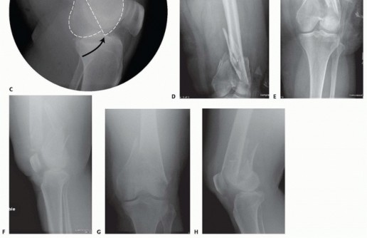
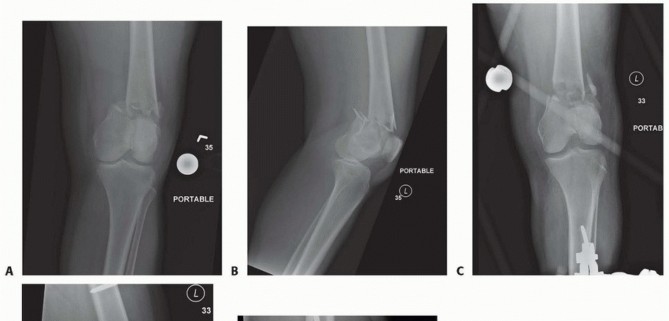
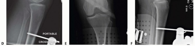
### FIG 5 • A-C. Patient with a spiral distal-third femur fracture that appears to be extra-articular. A. In the AP radiograph, the knee is not fully visualized. B. A dedicated knee AP radiograph shows the spiral distal-third femur fracture. Note the intra-articular injury and the gap at the fracture (arrows). C. Lateral view of the knee. Again note the coronal fracture of the medial femoral condyle (type B3). D-F. Plain radiographs of a patient with a grade II open distal femur fracture. G,H. Patient with a dosed femur fracture that was initially thought to be extra-articular. 470
---
### FIG 6 • A. Axial CT image of patient in FIG 5A-C confirming the type B3 fracture of the medial femoral condyle. B. Axial CT image of the patient in FIG 5D-F. C-E. CT images of the patient in FIG 5G,H show the nondisplaced intercondylar split as well as the low lateral fracture line and extensive posterior metaphyseal comminution (type C2).
---
### FIG 7 • AP (A) and lateral (B) views of a three-dimensional (3-D) CT reconstruction of the patient in FIG 3B with a distal femur fracture. The fracture is well defined. C. An oblique 3-D CT reconstruction view showing the same patient and the rotational malalignment between condyles. ## SURGICAL MANAGEMENT 471 The goal of any treatment, nonoperative or operative, is to maintain or restore the congruity of the articular surface and restore the length and alignment of the femur and, subsequently, the limb. Once surgery is deemed appropriate for the patient and the particular injury, the surgical technique options available are determined by the particular fracture pattern. Distal femur fractures have been classified several ways. The OTA/AO classification is probably the most widely accepted classification system and allows some guidance on which techniques are best ( FIG 8; Table 1). Treatment also must be determined based on factors other than the classification alone. The degree of comminution and injury to both the articular surface and bone The amount of fracture displacement The soft tissue injury Associated injuries, other fractures, and injury to neurovascular structures
---
### FIG 8 • OTA/AO classification for distal femur fractures (types 33A, B, and C).*
OTA/AO Classification of Femoral Fractures
- Classification Description Type A Extra-articular A1 Simple or two-part fracture A2 Metaphyseal butterfly or wedge fracture A3 Metaphysis is comminuted Type B Partial articular B1 Sagittal plane fracture of the lateral femoral condyle B2 Sagittal plane fracture of the medial femoral condyle B3 Any frontal or coronal plane fracture of the condyle (Hoffa type) Type C Intra-articular C1 Simple articular split and metaphyseal injury (T or Y fracture configuration) C2 Simple articular split with comminuted metaphyseal injury C3 Comminuted articular with varying metaphyseal injury Patient's overall condition and injury to other organ systems. This may affect the timing of surgery or the positioning of the patient. There are several principles for the surgical management of distal femur fractures. The articular surface must be reduced anatomically, which usually requires direct visualization through an open exposure (arthrotomy). Simple intra-articular splits may be treated with closed reduction and percutaneous fixation. The extra-articular injury should be dealt with using indirect reduction techniques as much as possible to maintain a biologic soft tissue envelope. Avoidance of stripping of the tissues, especially on the medial side, is ideal. The surgeon must reestablish the length, rotation, and alignment of the femur and the limb. The soft tissue injury and bone quality may dictate treatment decisions. ## Fixation Choices External fixation A temporary bridging external fixator across the knee joint can be used if temporary stabilization is required before definitive fixation. This is usually the case where definitive open reduction and internal fixation (ORIF) is planned. This could be in cases where the soft tissues prevent immediate fixation. Definitive management with bridging or nonbridging external fixation can be used for nonreconstructible joints, very severe soft tissue injuries, or severe osteopenia. Bridging external fixation can be used when definitive ORIF is problematic in certain patient populations, such as Jehovah's witnesses, where additional blood loss can lead to increased morbidity or mortality. This can be done temporarily until the patient's condition improves or until healing ( FIG 9). Intramedullary nailing This can be performed fairly acutely; temporary bridging external fixation is not necessary. 472
---
### FIG 9 • Critically ill elderly polytrauma Jehovah's witness patient with left C1 distal femur fracture. A,B. Initial injury AP and lateral views. C,D. Due to extremely low hematocrit, external fixation was the only surgical option allowed to minimize blood loss. Radiographs in bridging external fixation. The AP shows excellent alignment but the lateral shows the expected extension deformity secondary to pull of gastrocsoleus complex. E,F. After 5 weeks in an external fixator, AP and lateral radiographs show callus formation (red arrows). Patient is now cleared for definitive surgical intervention. Antegrade intramedullary nailing has been described and can be used for distal fractures with a large enough distal segment to allow for two locking screws. Malalignment has been a problem, as has adequate fixation. 4, 8 Retrograde intramedullary nailing can be used in the following cases ( FIG 10): All extra-articular type A fractures greater than 4 cm from the joint. This minimal length of the distal femur allows for multiplanar interlocking in the distal fragment. Type C1 or C2 fractures where the articular fracture can be anatomically reduced closed or with limited exposure. Percutaneous screws are used for the articular injury. Periprosthetic fractures around a total knee arthroplasty with an “open box” femoral component Most surgeons prefer to use a long nail, but short supracondylar nails are available as well. Multiple-hole short supracondylar nails have fallen out of favor. Plate fixation ORIF with plates can be used for all types A and C fractures but is ideal for the following injuries: Very distal type A fractures within 4 cm of the knee joint All articular type C fractures, but always for C3 types Periprosthetic fractures about a “closed box” femoral component of a total knee arthroplasty The partial articular type B1 or B2 if an antiglide plate is needed Plate options (preferred to least preferred; fixed-angle devices preferred) Fixed-angle locking plates (percutaneous jigs are advantageous and allow for minimally invasive techniques) Variable-angle (polyaxial) locking plates—allow for “fixed variable locking” within a defined range. It is useful for distal fractures and allows for increased screw 473 trajectories to gain additional locked fixation in short segments, which may not be feasible with fixed-angle trajectory plates ( FIG 11).
---
### FIG 10 • A,B. AP and lateral radiographs of an elderly patient with multiple comorbidities with an extra-articular distal femur fracture (AO type A; an incomplete intercondylar split— red dashed arrow). C,D. Postoperative radiographs showing stabilization with retrograde intramedullary nail. E,F. One-year postoperative radiographs showing a healed fracture with some subsidence of the metaphyseal region and mild protrusion of hardware through the notch. Ninety-five-degree condylar screw Ninety-five-degree blade plate Nonlocking plates with or without medial support (medial plate or external fixation) Limited internal fixation Limited fixation with screws only can be used for partial articular type B, especially type B3. The amount of open reduction required depends on the adequacy of closed reduction techniques and obtaining an anatomic reduction of the joint surface. Headless screws are useful for type B3 fractures in which the screws have to penetrate the joint surface ( FIG 12). Countersinking the screw heads can also be performed. Biomechanics of fixation: implant considerations There has been concern that the newer locking plate constructs are too stiff, resulting in inconsistent and asymmetric callus formation. 9 Some clinical evidence show less callus formation with stainless steel plates versus titanium plates. 9 Conversely, a biomechanical study has not shown a significant difference mechanically between constructs of stainless steel LISS plates with bicortical screws or titanium LISS plate with unicortical screws.1 474
---
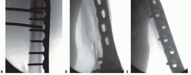
### FIG 11 • Morbidly obese female with a severely comminuted and open right distal C3 femur fracture. A,B. AP and lateral radiographs showing the amount of comminution, bone loss, and distal nature of the injury after the initial irrigation, débridement, and bridging external fixation. C,D. Intraoperative fluoroscopic images during application of a variable-angle locking plate. The AP shows the “central screw” to aid in reestablishment of the anatomic axis of the femur (parallel lines solid , screw; dashed , joint line). The lateral view shows the central screw, which is a fixed-angle hole (arrow and circle), as opposed to the variable-angle holes (red box ; both for the combination holes and isolated variable-angle screws). E,F. Two-week postoperative radiographs. The AP view shows the proximal screws placed perpendicular (dashed arrows) to the plate even through the variable-angle portion of the combination holes, which was facilitated by the targeting device. Both views demonstrate the advantage of the variable-angle locking holes distally to allow for additional fixation in this short distal segment with a more posterior and distal trajectory (solid arrows on lateral view). The bone substitute placed for the bone defect (white pellets) are also clearly visualized. (continued) 475
---
### FIG 11 • (continued) G,H. Five-month follow-up films showing replacement of the calcium sulfate beads with successful consolidation of the metaphyseal comminution. The flexibility of fixation constructs can be increased by the use of a technique referred to as far cortical locking. Specialized screws are used, in which the screw locks into the plate and only engages the far cortex. This has been thought to improve fracture healing. 5 The “polyaxial” locking plates have been shown to be biomechanically sound in the management of supracondylar femur fractures. 12, 18 ## Preoperative Planning Surgical timing can be affected by the following: Soft tissue issues Medical condition of the patient Adequacy of available operative team Availability of implants The approach must take the following issues into consideration: The ability to incorporate lacerations in open fractures into the incision ( FIG 13) can be useful and should be considered. However, this is not always necessary or possible.
--- - FIG 12 • A. Lateral radiograph of patient with a grade II open distal medial femoral condyle fracture (type B3). The Hoffa fragment is outlined. B. Postoperative radiograph after fixation with headless screws, buried underneath the subchondral bone. Soft tissue dissection should be limited. Adequate exposure is important to anatomically restore the articular surface. Restoration of limb “anatomy” must be accomplished and allow early range of motion. Stable internal fixation and length and sizes of implants should be templated. Radiographs of the injury can be templated with implant templates to ensure that proper lengths are available. A tentative plan of the fixation construct can be drawn on the image. Additionally, “preop planning” of the operating room should be performed; this includes a discussion with the operative team about the positioning and equipment needed for the procedure. The need for bone grafting or the use of bone graft substitutes should be assessed. Fracture fragments and the anticipated fixation construct should be templated. The surgeon should check for coronal plane fractures of the condyles (also known as Hoffa fragments) (see FIGS 5C and 6). 476
---
### FIG 13 • A. Patient with open distal femur fracture and traumatic oblique laceration after débridement, bridging external fixation, and closure. B. Incorporation of the laceration into a modified midline approach. Associated injuries may affect the treatment options. An ipsilateral hip or more proximal shaft fracture may alter the implant choice. A longer plate may be needed to address both injuries, or consideration to overlap implants may be warranted to avoid a stress riser. An associated proximal tibia fracture may alter the approach used. A more lateral incision incorporating a lazy S incision for the proximal tibia injury may be required. Critically ill patients may require delayed fixation after temporary stabilization via bridging external fixation methods ( FIG 14). ## Positioning A radiolucent table should be used to allow adequate visualization with a C-arm. The patient is placed supine with a hip bum The rotation of the proximal segment of the fracture (hip) should be aligned before patient preparation. Using the C-arm, the profile of the lesser trochanter with the corresponding knee (patella) straight up is determined on the uninjured side ( FIG 15A,B).
---
### FIG 14 • A,B. Two-week postoperative radiographs of patient from FIG 9 who underwent delayed ORIF at 5 weeks post injury. These radiographs exhibit the abundant amount of callus present (red arrows) after successful ORIF with reestablishment of length, alignment, and rotation was accomplished with takedown of the callus. The injured hip is imaged and internally rotated by the hip bump so that duplication of the profile of the normal side is achieved. The size of the bump may be adjusted as needed for the amount of rotation required. The injured knee is placed in the patella-up position to confirm rotation. This technique is helpful in comminuted metaphyseal fractures where the rotation is difficult to assess or in cases where the metaphyseal component will not be directly visualized. Even though the distal segment is not in “fixed” rotation, this technique is useful to minimize the chance of a malrotation during definitive fixation. A sterile tourniquet is used unless a temporary fixator prevents its placement. A large bump or a sterile triangle is used under the knee. This allows for knee flexion, relaxing the gastrocsoleus complex and facilitating the reduction. A sterile and removable one is most useful. The C-arm is brought in from the opposite side. It should be angled so that it is parallel with the femoral shaft. 477
---
### FIG 15 • A. C-arm view of the uninjured knee with patella-forward facing. B. This is followed by imaging of the ipsilateral hip to obtain the lesser trochanter profile (outlined). A similar profile should be recreated on the injured side with the hip bum C. Positioning of the C-arm relative to the flexed knee to obtain a notch view to evaluate for guide pin penetration in the posterior aspect. D. The resulting C-arm image. A notch view is useful for screw trajectories in the distal femur. This is achieved by the C-arm angled roughly around 30 to 45 degrees directed cephalad and visualization will depend on the concurrent amount of knee flexion ( FIG 15C,D). ## Approach The best-known approach for the treatment of distal femur fractures has been the straight lateral approach ( FIG 16). This is suitable for all fracture types, mostly types A and C1. The incision may curve distally toward the tibial tubercle, and osteotomy may be performed. Newer approaches include a lateral inverted U to allow better access to the joint and to allow for plate placement. The minimally invasive lateral approach can be used for certain fractures and implants. The joint must be visualized, reduced, and stabilized. The placement of the plate on the shaft is done submuscularly, and reduction and fixation are done percutaneously under fluoroscopic guidance. This is ideal for the LISS plate or plating system with targeting devices for the screws in the plate. A modified anterior approach (the swashbuckler) has been described by Starr et al. 16 This involves a midline incision. A lateral parapatellar arthrotomy is done with elevation of the vastus lateralis as in the lateral approach.
--- - FIG 16 • Skin incision for a lateral approach. 478 A medial parapatellar arthrotomy can be used for retrograde intramedullary nailing or limited screw fixation. Miniarthrotomy is used for the retrograde nail. Type B injuries may require a formal arthrotomy. A medial approach has been described. This is appropriate for types B2 and B3 fractures. It can be used in type C3 fractures if a second plate is being used (in conjunction with a lateral approach). A total knee approach has been described by Schatzker. 15 This is extremely helpful for type C2 or C3 fractures. It is used for plates but can be used for retrograde intramedullary nailing once the articular surface is reconstructed. A midline approach is used. An extended medial parapatellar arthrotomy is done. This allows exposure of the condyles for articular reduction. A midline incision with a lateral parapatellar arthrotomy is my preferred exposure for type C2 or C3 fractures. A midline approach is used. A lateral parapatellar arthrotomy is done. Proximal extension is made into the quadriceps tendon, enough to repair to itself. Medial dislocation of patella is done. This allows exposure of the condyles for articular reduction and easier lateral plate insertion. ## TECHNIQUES
-
Temporary Bridging External Fixation A large external fixation system is used. A small bump is placed under the knee to place the knee in slight flexion. The injured extremity is brought out to length with manual traction. Two or three 5-mm Schanz pins are placed in the tibia in an anterior to posterior direction just medial to the crest to ensure intramedullary placement. Two or three 5-mm Schanz pins are placed in the femoral shaft in an anterior to posterior direction. These should be placed out of the zone of soft tissue injury if possible. The pins are placed while the limb is out to length so that the quadriceps is not “skewered” in a shortened position. The pins can be placed outside of the anticipated plate location. This, however, has not been empirically found to be a problem. In my experience, plates have often overlapped with pin sites, and there has not been an associated problem with infections.
---
### TECH FIG 1 • A. Bridging knee external fixation in patient with associated acetabular fracture; the tibial pin was used for traction purposes as well. B. A diamond configuration for bridging knee external fixation. Pin placement in the tibia may be altered if additional uses of such pins are needed, such as traction for an associated acetabular fracture ( TECH FIG 1A). The bars can be configured in many ways, all of which provide temporary stabilization across the knee joint. I prefer a diamond configuration ( TECH FIG 1B). ### Reduction of the Metaphyseal Component Gross reduction of the metaphyseal component of the fracture should be performed with traction and manipulation of the pins. The fracture should be brought out to length. Intraoperatively, the opposite leg can be used to help determine length. Postoperatively, a scanogram can be used to determine whether the length has been regained before definitive 479 fixation if there is extensive comminution, but this is not always needed ( TECH FIG 2). Although the knee may be somewhat flexed, the scanogram can still be obtained and the femoral length determined as opposed to the entire leg length.
---
### TECH FIG 2 • AP radiograph (A) and scanogram (B) showing that length was reestablished with the external fixator. The rotation should be checked once again before locking the external fixator construct, as described earlier under Positioning. The same technique should be performed under sterile conditions. Varus-valgus alignment should be assessed before final tightening as well. This can be done by using the Bovie cord intraoperatively and assessing the mechanical axis of the limb by fluoroscopically evaluating from the hip to the ankle with the cord centered at the femoral head all the way to the ankle. The point at which the cord crosses the knee allows one to judge the varus-valgus alignment. 2. ## Open Reduction and Internal Fixation of the Distal Femur with Locking Plates (Type C Fractures) This technique can be used regardless of the locking plate system used. Each system's technique guide should be reviewed before use as each system has its own idiosyncrasies. Variations in plate application as well as reduction tools and techniques are unique to each system. The temporary external fixator is prepared using a “doubledouble” technique. The fixator is first prepared with a Betadine “scrub” (7.5% povidone-iodine) solution followed by a Betadine “paint” (10% povidone-iodine) solution (Beta-Beta preparation), followed by the extremity with a second Beta-Beta preparation. The surgeon then does an alcohol preparation, followed by iodine for the fixator, followed by alcohol and iodine on the skin. This has been successful in our practice and allows for maintenance of traction during the preparation and aids in the actual surgery, functioning as a femoral distractor. (Chlorhexidine is used in iodine- allergic patients.) An alternative is to completely remove the fixator components, except the pins, and wash, sterilize, and then reassemble the fixator on the patient after the leg has been prepared. If there is no temporary bridging external fixator, the metaphyseal component of the fracture can be reduced and brought out to length with a femoral distractor, a temporary simple external fixator, or manual traction if adequate help is available. Rotation of the proximal segment can be manipulated with the device used. 480 ### Midline Approach with an Extended Lateral Parapatellar Arthrotomy A straight incision is made directly anterior about 5 cm proximal to the superior pole of the patella and distally to the level of the tibia tubercle ( TECH FIG 3A). The lateral skin flap is developed to allow for a lateral parapatellar arthrotomy ( TECH FIG 3B). The arthrotomy is performed, ensuring a cuff of tissue on the lateral aspect of the patella for repair as well as medially on the quadriceps ( TECH FIG 3C). The patella can be subluxed medially or inverted with knee flexion to allow exposure of the condyles ( TECH FIG 3D). Additionally, a blunt Hohmann retractor can be placed on the medial side at the level of the condyle to retract the patella. The capsule is subperiosteally elevated off the lateral femoral condyle to allow for placement of the plate. The lateral collateral ligament is preserved because the dissection is limited to the anterior two-thirds of the lateral femoral condyle and plate placement is usually proximal to the lateral epicondyle. The medial side in the metaphyseal region is left undisturbed as much as possible.
---
TECH FIG 3 • Patient with grade II open distal femur fracture (also shown in FIGS 5D-F, 6B, and 7). A. Straight midline incision. B. Lateral skin flap is developed. C. Arthrotomy is started and then extended proximally into the quad tendon (dashed line). D. The arthrotomy is completed and the condyles are visualized with medial subluxation of the patella. ### Reduction of the Articular Surface The joint is evaluated to determine comminution. Joint reconstruction is then performed with direct reduction. Each condyle is fully assessed first for smaller fracture fragments, with the goal of restoring each condyle anatomically. Small-diameter screws ( <3.0 mm) may be used and can be countersunk underneath the articular surface. Large coronal fracture fragments are best treated with countersunk 3.5- to 4.5-mm lag-type screws. We use headless screws. Once each condyle is thought to be restored, or if a simple fracture pattern is present, the condyles should be reduced to each other using a large, pointed reduction forceps ( TECH FIG 4A-C). Each fragment can be rotated relative to another; this must be addressed as discussed before. The best way to assess this is under direct visualization and evaluating the reduction at the trochlear region of the patellofemoral joint. Additionally, preoperative evaluation assessing the lateral radiograph can guide the surgeon. Intraoperative fluoroscopy to reassess the lateral view is also useful. Temporary Kirschner wires or the guide pins for the locking screws for the plate can be used for additional stabilization of the two condyles ( TECH FIG 4D). 481
---
### TECH FIG 4 • The condyles are reduced under direct visualization (A) and confirmed with AP (B) and lateral (C) intraoperative fluoroscopic images. D. Guide pins through the plate template or screw trajectory guide are used to temporarily stabilize the intercondylar split. - Definitive Fixation of the Condyles This can be accomplished outside the plate first and supplemented with screws through the plate. The area around the proposed plate, the “periphery,” can be used for the screw placement to avoid interference with the plate placement itself. If this is done, then the metaphyseal fracture does not necessarily have to be properly reduced before initial screw placement. Screws can also be placed from medial to lateral to avoid interference with the plate. Definitive fixation can be accomplished through the plate also (see next section on Screw Placement). If this is done, the metaphyseal component should be reduced to ensure the proper flexion-extension alignment of the shaft with the condyles. This will ensure that the plate is collinear with the shaft once fixed to the distal segment. Otherwise, a malreduction in the sagittal plane will occur. The temporary Kirschner wires can be left in place to stabilize the joint. ### Reduction of the Shaft to the Distal Segment Once the articular surface is temporarily stabilized or reduced, the reduction of the shaft to the distal segment should be performed before plate application. This can be temporarily stabilized with Kirschner wires or Steinmann pins. Alternatively, precisely placed bumps underneath the distal segment can be used to correct the extension of the distal segment and align it with the shaft. Adjustment or loosening of the temporary external fixator can aid in reduction if needed. The plate can then be placed submuscularly. ### Placement of the Plate Each fixed-angle plating system is designed to help reestablish the valgus alignment of the distal femur. The screws in the distal portion of the plate are designed to be parallel to the joint surface. Thus, the initial guidewires for these screws should be placed parallel and confirmed by fluoroscopy. A distal “joint wire” can be placed to better evaluate this ( TECH FIG 5A). Placing the distal screws parallel to the joint will help ensure that when the shaft is brought to the plate, the anatomic axis of the femur is restored. With the variable-angle locking plates, the same technique should be employed to ensure that the plate is applied in a way to restore the anatomic axis of the femur. A fixedangle central screw hole still exists in these plates to aid in plate application ( FIG 11C, parallel lines; FIG 11D, red arrow/red circle). A distal screw trajectory guide is provided for some systems ( TECH FIG 5B). This can be used to help ensure accurate placement of the plate distally, and initial guidewires can be placed through this. Once the wires are placed, the guide can be removed and replaced with the plate using the wires as a guide. However, the shaft portion of the plate requires submuscular insertion, and thus the plate cannot be brought to an appropriate position to allow this to occur. 482
---
### TECH FIG 5 • A. Distal reference pin is placed to ensure that the proximal pin is parallel to the joint. B. Clinical picture depicting the guide. C. Different patient showing the penetration of the medial side with the guidewires to allow plate placement. D,E. The plate is placed with additional guide pins in place. - F,G. Lateral intraoperative fluoroscopic images ensure proper plate placement on the femur before screw insertion. To solve this, the guidewires can be driven through the medial side of the knee, which is distal enough to be safe ( TECH FIG 5C). The plate can then be inserted submuscularly and the guidewires driven back through the plate laterally, thus aligning the plate to the distal segment and ensuring proper screw trajectory and plate placement ( TECH FIG 5D,E). A single guidewire in a central hole will still allow flexion-extension placement of the plate if this needs to be adjusted. After placing the initial guidewire parallel to the joint distally, and ensuring the fracture is reduced, the surgeon should obtain fluoroscopic visualization of the plate proximally on the shaft to ensure that the plate is on the bone ( TECH FIG 5F,G). To ensure placement of the plate on the bone both proximally and distally, it is best to stabilize the plate distally 483 (where exposure is) using a guidewire in the center hole. This allows for a pivot point around which the AP positioning of the plate can be manipulated for the shaft. Fluoroscopy to image the lateral is then used to ensure placement.
--- TECH FIG 6 • A,B. Patient seen in FIG 15C,D, with the guidewire now pulled back and an appropriately sized screw placed. Once the AP position is obtained, the plate is stabilized proximally. The plate should be temporarily stabilized to the bone proximally. Before the temporary stabilization, the length and rotation must be checked. Ideally, if the temporary fixator is in place, these two parameters have been maintained during the course of the operation. If no screw targeting guide is present, a percutaneous provisional fixation pin can be used to stabilize the plate. If a targeting guide is used, then a soft tissue guide for the most proximal hole is placed percutaneously and a drill bit or guidewire is used to stabilize the plate. The variable-angle locking plates also have proximal shaft targeting devices; however, variable locking trajectories can only be accomplished outside the targeting device and can be cumbersome. Generally, variable-angle locking is not necessary in the shaft and locking screws collinear with the hole can be placed through the targeting device. ( FIG 11E, red arrows showing perpendicular nature of locking screws; FIG 11F, variable-angle locking screws in the shaft are useful in cases where there is a preexisting hip replacement with a femoral component.) Again, the flexion-extension reduction should be checked. This procedure creates our “box” construct, which aids in the placement of screws through the targeting device (if used) and in temporary stabilization of the fracture construct. ### Screw Placement If the intercondylar split is going to be stabilized by screws through the plate, partially threaded screws or overdrilled fully threaded screws should be used first to provide interfragmentary compression. Specially designed conical screws for certain systems exist, or large partially threaded screws can be used ( >4.5 mm). This also compresses the plate to the bone. Once the articular injury is addressed, at least two additional locking screws should be placed into the distal segment to secure the plate and the alignment. The trajectory of distal locking screws can be assessed on the notch view to ensure that penetration through the intercondylar notch does not occur ( TECH FIG 6; see FIG 15C for C-arm setup and position for this image). Before placing the locking screws, the length, rotation, and alignment must be checked again if no fixator or distractor is in place holding the fracture alignment. The plate can be locked to the distal segment and then used to manipulate the distal segment relative to the shaft for the flexion-extension reduction. This, however, is predicated on proper distal alignment of the plate. Otherwise, once the plate is fixed to the distal segment in a malposition and the fracture reduced, the plate may be anterior or posterior on the shaft. The distal screws in a variable-angle locking plate are noncircular to allow for the variable-angle locking mechanism. Screws can be placed directly collinear or with a “variability” of 15 degrees in any direction depending on the system used (see FIG 11D, square outline). ### Attaching the Distal Segment to the Shaft The distal segment is now fixed and can be attached to the shaft. If there is malalignment in the coronal plane but the sagittal plane alignment is reduced, the shaft can be “pulled” to the plate by means of various threaded devices or a nonlocking screw that can be placed freehand under fluoroscopic guidance or through a targeting jig ( TECH FIG 7). ### Placement of Additional Screws Once proper reduction of the fracture is temporarily achieved and the plate is in proper position, additional screws can be placed. If the targeting screw guide is used, percutaneous locking screws can be placed through the soft tissue drill or screw guides ( TECH FIG 8A-C). If no targeting guide is available, fluoroscopic guidance and a percutaneous method can be used freehand. 484
---
### TECH FIG 7 • A-C. The “whirlybird” device is tightened and the bone pulled to the plate. Depending on the system, locking drill guides can be placed freehand to ensure proper trajectory of the drill so that locking screws can be used. If that is not the case, nonlocking screws should be placed. Experience is required for the freehand percutaneous method; otherwise, an open approach to the shaft should be performed.
---
### TECH FIG 8 • A. Targeting guide for proximal screws. B. C-arm image of screws placed. C. Stab incisions used for percutaneous method. D,E. Plate placement on the lateral aspect is confirmed. (continued) The final construct should be checked with fluoroscopy on the lateral aspect as well ( TECH FIG 8D,E). The restoration of the mechanical axis can be checked intraoperatively after temporary stabilization (preferred) or definitive stabilization using the Bovie cord. TECH FIG 8F-H show the repair after definitive stabilization. 485
--- - TECH FIG 8 • (continued) F-H. Alignment is checked intraoperatively with the Bovie cord. The mechanical axis from the center of the femoral head through the middle of the knee to the middle of the ankle is confirmed. The exact number of screws in each fragment has yet to be determined in the literature, but our preference has been to have at least five screws in each fragment if possible at the end of fixation. A longer working length in the shaft should be used, and not all holes need to be filled. Plate longer than nine holes with eight holes being proximal to the fracture has been recommended to avoid complications with hardware failure or healing. 14 There is evidence that in young patients with good bone, no locking screws are needed in the diaphysis.
---
### TECH FIG 9 • A. Patient with significant metaphyseal bone loss from an open injury shown on CT scan. - B. The postfixation radiograph shows the void. C. Placement of OsteoSet beads impregnated with vancomycin (off-label use) to fill the void and provide osteoconductive material for healing. Multiple locking screws are used in the epiphysis because of the short length of these distal fragments. The largest screws available for the epiphysis should be used. ### Bone Grafting The metaphyseal comminution may require bone grafting or the use of bone substitutes in cases of open fractures with bone loss. The exact type and need vary and should be based on the surgeon's experience ( TECH FIG 9). In closed fractures, avoiding stripping of the medial soft tissues often allows for healing without bone grafting. 486 In open fractures with significant bone loss, we have had good success with the use of bone substitutes such as calcium sulfate (+/- antibiotics mixed in; off-label use), avoiding the need for later grafting (see FIG 11A-H). Hemostasis is achieved throughout the procedure or after the tourniquet is released. A tourniquet can be used to help minimize bleeding and improve visualization, especially for articular reconstruction. Often, a sterile tourniquet is used because of the temporary bridging external fixator that is in place. After adequate irrigation (before bone graft or substitute placement if used), a drain is placed in the knee joint and brought out laterally.
---
### TECH FIG 10 • A. Closure of the arthrotomy. B,C. Full flexion and extension of the knee after definitive fixation and closure. As seen in final AP (D) and lateral (E) radiographs, the metaphyseal comminution is bridged and left undisturbed. - Standard Wound Closure Closure of the arthrotomy is performed with figure-8 0 Vicryl sutures. This is reinforced by a running 2-0 FiberWire (Arthrex, Inc., Naples, FL) or Ethibond suture ( TECH FIG 10A). The subcutaneous tissue is closed with 2-0 Vicryl. The skin is closed with staples, as are the percutaneous stab incisions. The knee is flexed and extended fully to ensure restoration of motion as well as to break any adhesions in the quadriceps that may have formed while the temporary bridging external fixator had been in place ( TECH FIG 10B,C). The final radiographs are taken in the operating room ( TECH FIG 10D,E). 1. ## Open Reduction and Internal Fixation of the Distal Femur with Locking Plates (Type A or Nondisplaced Type C1 or C2) This technique can be used regardless of the locking plate system used. Each system's technique guide should be reviewed before use as each system has its own idiosyncrasies. Variations in plate application as well as reduction tools and techniques are unique to each system. See comments earlier regarding temporary use of an external fixator or distractor. ### Limited Lateral Approach A lateral incision measuring about 5 to 6 cm is made starting at the level of the joint and extending proximally in line with the shaft. The distal extent is curved slightly toward the tibial tubercle, as in the lateral approach ( TECH FIG 11A,B). The iliotibial band is incised in line with the skin incision ( TECH FIG 11C). The dissection is carried down to the lateral femoral condyle. The lateral aspect is exposed enough for plate placement ( TECH FIG 11D). A Cobb elevator is used to create a plane submuscularly up the lateral shaft of the femur for placement of the plate.
---
TECH FIG 11 • Patient with closed distal femur fracture (also shown in FIG 5G,H and 6C-E). A. Limited lateral incision, with the tibial tubercle marked. B. Skin incision showing the iliotibial band. C. Incision of the iliotibial band. D. Exposure of the lateral aspect of the femur. 487 ### Stabilizing the Articular Surface For nondisplaced type C1 or C2 fractures, the first priority is to stabilize the articular surface. Visualization of the joint may be accomplished with placement of a blunt Hohmann retractor (or similar Z retractor) ( TECH FIG 12A).
---
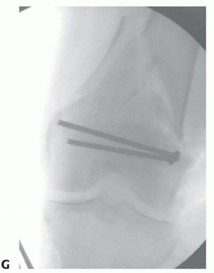
### TECH FIG 12 • A. Visualization of the joint for articular reduction. B. C-arm image of reduction forceps holding the intercondylar split reduced. C,D. Clinical photographs with forceps followed by guidewires for screw placement. E,F. Lateral views showing pins and wires outside the zone for either plate application or intramedullary nail. The anterior and posterior placement of the pins is seen. (continued) A reduction forceps is placed anteriorly to hold the reduction ( TECH FIG 12B). Temporary Kirschner wires or guidewires from a cannulated system can be placed for additional stability ( TECH FIG 12C,D). All clamps, Kirschner wires, or guidewires should be placed outside the zone of plate application ( TECH FIG 12E,F). 488
--- - TECH FIG 12 • (continued) G. Definitive fixation of the condyles with 4.5-mm partially threaded cannulated screws. Definitive fixation of the condyles should be performed (see technique description earlier) ( TECH FIG 12G). ### Reduction of the Distal Segment and Plate Placement Reduction of the distal segment to the shaft can be performed using temporary Steinmann pins ( TECH FIG 13). The plate can now be applied in a submuscular fashion (see Placement of the Plate section earlier). ### Wound Closure Final radiographs are taken in the operating room ( TECH FIG 14). Standard wound closure is undertaken, as described in the previous section. ### Retrograde Nailing(FIG 10A-F) Refer to Chapter 43 on retrograde nailing of the femur.
--- - TECH FIG 13 • Adjunctive temporary fixation with Steinmann pins to reduce the shaft to the distal construct; pins again are placed outside of the area for plate application.
--- - TECH FIG 14 • A,B. Final AP and lateral radiographs reveal that the posterior and medial metaphyseal comminution is left undisturbed.
| ## PEARLS AND PITFALLS Articular reduction 1. Direct open reduction should be used. 2. Fixation can be outside the plate or through the plate. 3. If outside the plate, screws should be out of the way of the plate to maximize fixation points through the plate. 4. If a nail is being used with an articular split, the screws should be placed anterior and/or posterior to the proposed nail trajectory. Plate application 1. The initial guidewire through the central hole in the plate should be parallel to the joint. Ninety-five degrees is built into the plate. If locking screws are placed parallel to the joint, then once the plate is reduced to the shaft, the proper alignment is restored. 2. Rotation must be continually assessed. 3. The fracture should be reduced in the sagittal plane before temporary fixation or creation of a “box construct” with the plate. 4. In comminuted cases, a scanogram or opposite-side femur film with a ruler can be obtained to help determine the length. 5. Use of a long plate greater than nine holes in overall length with at least eight holes proximal to the fracture has been recommended. 14 6. Anterior plate application on the shaft is linked to compromised fixation and early failure. 3 7. Anterior plate application distally leads to hardware prominence and pain. 3 Soft tissue handling 8. The surgeon should avoid stripping the soft tissues medially. This will obviate the need for bone grafting especially in closed fractures. 9. The plate should be placed submuscularly. Temporary bridging external fixator 10. Any construct can be used. 11. The pins and bars should be placed in a manner such that the fixator could be used intraoperatively as a femoral distractor to hold the reduction, allowing the plating to occur. 12. The fixator pins in the femur should be placed while traction is applied to the limb so as to maximize the length of the quadriceps. This will ensure that difficulty regaining length is not associated with “skewering” of the quadriceps. Periprosthetic fractures 1. The surgeon should ensure that the femoral component will allow an intramedullary nail to be placed (eg, the femoral box is open). 2. If the component is stemmed, then the surgeon should make sure that cables are available to help supplement plate fixation; unicortical locked screws may not be sufficient for fixation. 3. The new variable-angle (polyaxial) locking plates may allow for screw fixation around the stemmed components and bicortical locked fixation. Deformity prevention 1. Placing the initial guidewire through the “central” hole for plate fixation parallel to the joint ensures proper alignment of the plate relative to the shaft. The plates are | Valgus designed to recreate the normal anatomic relationship of the distal femur to the deformity shaft. Additionally, a clamp can be placed on the distal fragment and held in the proper position as the plate is applied while adhering to the same principle as outlined earlier. Varus ▪ In a similar fashion, a varus deformity can be prevented by the same technique; deformity however, once the plate is fixed to the distal segment in its proper alignment to the distal segment, a nonlocking screw can be used in the shaft to “suck” the plate to the bone, resulting in correction of the varus. Extension ▪ Because of the pull of the gastrocnemius complex, the distal fragment tends to deformity flex downward, resulting in a relative “extension” deformity at the metaphysis. To prevent this, the knee is flexed as much as feasible to allow for operative fixation, and a bump directly underneath the apex of the deformity can help prevent the deforming forces. “Golf-club” ▪ Placement of the plate too posteriorly on the distal aspect will medialize the distal deformity 3 segment. 1. Placement of the plate too distal on the femur can also medialize the distal segment. 2. Perfect lateral fluoroscopic visualization to ensure proper placement of the plate on the lateral aspect of the femur is paramount. |
| --- | --- | --- |
POSTOPERATIVE CARE 489 The goal of stable fixation is to allow early range of motion. My preference is a hinged knee brace locked in extension for 2 weeks, at which time the wound is healed and full motion is then started. A continuous passive motion machine can be used. Cold therapy products can be used. A drain is used for 48 hours postoperatively. Deep vein thrombosis prophylaxis may be indicated for certain patients: Obese Multiply injured History of previous deep vein thrombosis Patient who may not be mobile enough despite an isolated injury Length of prophylaxis In cases of an isolated injury to the femur, we prescribe 2 weeks of deep vein thrombosis prophylaxis for these patients and then reassess in terms of mobility. In patients who have additional significant risk factors for deep vein thrombosis and in the polytrauma patient, 6 to 12 weeks is prescribed. Low-molecular-weight heparin is our preferred chemoprophylaxis. Inferior vena cava filter may need to be considered in those multiply injured patients who cannot be anticoagulated. Early protected weight bearing Toe-touch weight bearing for at least 6 to 8 weeks for plate fixation Followed by partial weight bearing for 4 to 6 weeks for plate fixation Followed by full weight bearing Immediate weight bearing can be indicated for fixation of type A fractures, with intramedullary nailing if the fracture pattern is stable and not comminuted. For type C fractures treated with intramedullary nailing and screw fixation for the articular component, toe-touch weight bearing or non-weight bearing for 6 to 8 weeks is adequate, followed by full weight bearing. The aforementioned time frames are purely guidelines. The time to weight bearing is based on the fracture pattern, comminution, bone quality, patient body mass index (BMI), and on radiographic evidence of healing. Patients are prescribed physical therapy for range of motion and strengthening at 2 weeks. 490 ## OUTCOMES Results are good to excellent in 50% to 96% of cases. 10, 13, 19 Average range of motion is about 110 to 120 degrees. About 70% to 80% of patients can walk without aids. Elderly patients continue to have a higher perioperative risk of dying in the hospital from such injuries, along with poor functional long-term outcomes. 7 It is difficult to compare the results of studies in the literature. 19 There is no universally accepted classification. There are varying indications. Different grading systems are used. Not all authors adhere to the same principles. ## COMPLICATIONS Locking plates have become useful, but despite this newer plate technology, care must be taken to avoid common pitfalls; complications are still problematic, with overall healing problem reported as high as 32%. 3, 6
---
### FIG 17 • A. Patient in FIG 3A after débridement of nonviable extruded bone and placement of external fixator. The segmental bone loss is seen. B,C. Nonunion of a C3 distal femur fracture with subsequent hardware (plate) failure. D,E. Early hardware failure at 3 months (screws) in a C1 distal femur fracture. It has been suggested that the use of a longer plate (longer than nine holes in length with eight holes proximal to the fracture) can minimize failures of fixation. 14 Neurovascular injuries Can occur from initial trauma Rare after surgery Infection 0% to 10% rate after ORIF Predisposing factors High-energy injuries Open fractures Extensive dissection Prolonged operative time Inadequate fixation Nonunion 0% to 19% rate after ORIF Predisposing factors Bone loss or defect ( FIG 17A) High-energy injuries Soft tissue stripping Loss of osseous vascularity Inadequate stabilization No bone graft Infection Malunion More common with nonsurgical treatment, which results in varus and recurvatum Operative treatment with newer locking plates can result in valgus. Malrotation has been reported as high as 38.5%. 2 Treatment required to restore mechanical axis Supracondylar osteotomy Stable fixation Early range of motion Hardware failure occurs in 0% to 13% of cases ( FIG 17B,C, plate; D,E, screws).14, 17 Predisposing factors Comminution of metaphyseal area Older age Very distal fracture Premature loading or weight bearing Open fractures Smoking Increased BMI Shorter plates (less than nine holes of overall length) Diabetes Nonunion Infection Knee stiffness: Almost all patients exhibit some loss of motion. Protruding hardware (see FIG 10E,F) Articular malreduction 491 Adhesions Intra-articular Ligamentous-capsular contractures Muscle scarring Treatment may consist of any or combination of the following: Manipulation Arthroscopic lysis Formal quadricepsplasty Posttraumatic arthritis occurs in 0% to 30% of cases. Predisposing factors Severe articular comminution Cartilage loss Cartilage impaction or damage Surgical factors Failure of anatomic reduction Malalignment of fracture ##
Scientific References
- 1. Beingessner D, Moon E, Barei D, et al. Biomechanical analysis of the less invasive stabilization system for mechanically unstable fractures of the distal femur: comparison of titanium versus stainless steel and bicortical versus unicortical fixation. J Trauma 2011;71(3):620-624. 2. Buckley R, Mohanty K, Malish D. Lower limb malrotation following MIPO technique of distal femoral and proximal tibial fractures. Injury 2011;42(2):194-199. 3. Collinge CA, Gardner MJ, Crist BD. Pitfalls in the application of distal femur plates for fractures. J Orthop Trauma 2011;25(11):695-706. 4. Dominguez I, Rodrigez EM, De Pedro Moro JA, et al. Antegrade nailing for fractures of the distal femur. Clin Orthop Relat Res 1998;350:74-79. 5. Doornink J, Fitzpatrick DC, Madey SM, et al. Far cortical locking enables flexible fixation with periarticular locking plates. J Orthop Trauma 2011;25(suppl 1):S29-S34. 6. Henderson CE, Kuhl LL, Fitzpatrick DC, et al. Locking plates for distal femur fractures: is there a problem with fracture healing? J Orthop Trauma 2011;25(suppl 1):S8-S14. 7. Kammerlander C, Riedmuller P, Gosch M, et al. Functional outcome and mortality in geriatric distal femoral fractures. Injury 2012;43(7):1096-1101. 8. Leung KS, Shen WY, Mui LT, et al. Interlocking intramedullary nailing for supracondylar and intercondylar fractures of the distal part of the femur. J Bone Joint Surg Am 1991;73A:332-340. 9. Lujan TJ, Henderson CE, Madey SM, et al. Locked plating of distal femur fractures leads to inconsistent and asymmetric callus formation. J Orthop Trauma 2010;24(3):156-162. 10. Markmiller M, Konrad G, Sudkamp N. Femur-LISS and distal femoral nail for fixation of distal femoral fractures: are there differences in outcome and complications? Clin Orthop Relat Res 2004;426:252-257. 11. Nork SE, Segina DN, Aflatoon K, et al. The association between supracondylar-intercondylar distal femoral fractures and coronal plane fractures. J Bone Joint Surg Am 2005;87A:564-569. 12. Otto RJ, Moed BR, Bledsoe JG. Biomechanical comparison of polyaxial-type locking plates and a fixedangle locking plate for internal fixation of distal femur fractures. J Orthop Trauma 2009;23:645-652. 13. Rademakers MV, Kerkhoffs GMMJ, Sierevelt IN, et al. Intra-articular fractures of the distal femur: a longterm follow-up study of surgically treated patients. J Orthop Trauma 2004;18:213-219. 14. Ricci WM, Streuble PN, Morshed S, et al. Risk factors for failure of locked plate fixation of distal femur fractures: an analysis of 335 cases. J Orthop Trauma 2014;28(2):83-89. 15. Schatzker J. Fractures of the distal femur revisited. Clin Orthop Relat Res 1998;347:43-56. 16. Starr AJ, Jones AL, Reinert CM. The “Swashbuckler”: a modified anterior approach for fractures of the distal femur. J Orthop Trauma 1999;13:138-140. 17. Vallier HA, Hennessey TA, Sontich JK, et al. Failure of LCP condylar plate fixation in the distal part of the femur: a report of six cases. J Bone Joint Surg Am 2006;88A:846-853. 18. Wilkens KJ, Curtiss S, Lee MA. Polyaxial locking plate fixation in distal femur fractures: A biomechanical comparison. J Orthop Trauma 2008;22:624-628. [View Source / PubMed]
- 19. Zlowodzki M, Bhandari M, Marek DJ, et al. Operative treatment of acute distal femur fractures: systematic review of 2 comparative studies and 45 case series (1989 to 2005). J Orthop Trauma 2006;20:366-371. [View Source / PubMed]
You Might Also Like