Open Reduction and Internal Fixation of Peritrochanteric Hip Fractures: An Intraoperative Masterclass

Key Takeaway
Welcome to the OR, fellows. Today, we're tackling peritrochanteric hip fractures. This masterclass will guide you through comprehensive surgical anatomy, meticulous preoperative planning, and a granular, real-time intraoperative execution of Open Reduction and Internal Fixation. We'll cover critical pearls, potential pitfalls, and essential postoperative management to ensure optimal patient outcomes and functional recovery.
Definition
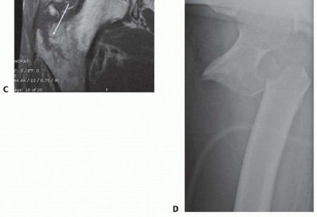
Peritrochanteric hip fractures are defined as extracapsular hip fractures, always involving the trochanter and frequently with extension into the subtrochanteric region. Medicare data indicates that as management of osteoporosis has improved, individual risk of sustaining a hip fracture has declined. 4 However, with an aging population, the total number of hip fractures increases each year. According to a Medicare database, 786,717 hip fractures were reported between 1986 and 2005. These fractures account for approximately 20% of Medicare claims. These fractures require operative intervention to achieve stable fracture fixation to allow immediate patient mobilization. ## ANATOMY The intertrochanteric region of the hip is notable for the anatomic transition from the femoral neck to the femoral shaft. The angle subtended by the femoral neck and long axis of the femoral shaft in the coronal plane (the neck-shaft angle) is usually between 120 and 135 degrees in adults. Studies have shown that this angle tends to decrease slightly with age. The average femoral neck is anteverted between 10 and 15 degrees with respect to the femoral shaft. 15 The peritrochanteric region of the femur is composed of multiple thickenings of trabecular bone distributed in compressive and tensile groups.5 The thickest and most structural are the primary compressive trabeculae located along the posterior medial aspect of the femoral neck and shaft, also known as the calcar. Multiple muscle groups attach to this region of the femur: Iliopsoas: attaches to the lesser trochanter and exerts a flexion and external rotation force to the hip Abductors and short external rotators: attach to the greater trochanter Adductors: attach to the femoral shaft distal to the peritrochanteric region The blood supply to the peritrochanteric region of the femur is rich and abundant. The medial and lateral femoral circumflex arteries supply the cancellous bone of the trochanteric region through muscle attachments at the vastus origin and the insertion of the gluteus medius. ## PATHOGENESIS In the elderly population, most peritrochanteric fractures are caused by a fall onto the lateral aspect of the hi Numerous factors, such as structurally weak bone, lack of subcutaneous padding, and slowed protective reflexes lead to increased risk of hip fracture in the elderly population. Pathologic lesions in the peritrochanteric region are not uncommon and may lead to fractures after relatively minor trauma. Young patients who sustain peritrochanteric fractures are typically victims of high-energy trauma. In these cases, the fracture must be approached differently, with an attitude toward anatomic restoration of joint mechanics. ## NATURAL HISTORY Almost all peritrochanteric hip fractures will heal without intervention. However, owing to the pull of the musculature in this region, the fracture will heal in gross malalignment, leading to subsequent functional limitations. 17 Early operative intervention of these fractures is undertaken to restore anatomic alignment and ensure that patients are mobilized quickly. Early fixation has been demonstrated to decrease incidence of pressure sores, pneumonia, and 30-day mortality. ## PATIENT HISTORY AND PHYSICAL FINDINGS It is important to elicit the cause of the patient's fall, as many falls in the elderly population that result in hip fractures are due to medical comorbidities. Elderly patients should be carefully evaluated and treated for rhabdomyolysis, dehydration, urinary tract infection, and malnutrition. In cases of preexisting poor mobility, consider deep vein thrombosis, and in anticoagulated patients it may be appropriate to obtain brain imaging. Complaints of hip pain before falling may indicate a preexisting pathologic process that requires further evaluation. A thorough whole-body musculoskeletal examination of the patient is necessary because of the high incidence of associated fractures (especially of the wrist and proximal humerus) in the elderly population sustaining hip fractures from simple falls. In cases of visible head trauma, cervical spine imaging can obviate prolonged cervical collar immobilization. Examination of the soft tissue overlying the lateral hip, sacrum, and heels is necessary to ensure that no pressure ulcers or abrasions have occurred in these areas. The classic physical finding in a patient with a peritrochanteric hip fracture is a shortened, externally rotated lower extremity. Passive logrolling of the leg will elicit pain. This may be an especially helpful finding in occult hip fractures with no obvious fracture deformity. 403 ## IMAGING AND OTHER DIAGNOSTIC STUDIES Plain radiographic anteroposterior (AP) pelvis and cross-table lateral images of the injured hip should be obtained initially. AP and lateral views of the femur, including the knee joint, should be obtained both to assess the femoral bow as well as to evaluate the femoral canal in the event that an intramedullary device is required. A traction radiograph (radiograph taken with firm manual traction and internal rotation of the leg) will provide more information on the fracture pattern and will allow a better comparison to the uninjured hip ( FIG 1A,B). Alternatively, an obturator oblique view of the pelvis can allow for this comparison without requiring additional analgesic medication. A fine-cut (2 mm) computed tomography (CT) scan with reconstruction images (sagittal and coronal) set to bone windows may help assess the fracture when ipsilateral femoral neck or other fractures are suspected. Magnetic resonance imaging (MRI) is the modality of choice to assess for the presence of an occult peritrochanteric hip fracture in the setting of significant hip pain and normal radiographs ( FIG 1C).
---
### FIG 1 • A. AP radiograph of an AO/OTA type 31-A1 pertrochanteric hip fracture. B. Traction radiograph; note the reduction seen with traction. C. MRI scan of a painful right hip showing an occult peritrochanteric fracture (arrow) not seen on plain radiographs. D. Lateral radiograph of an AO/OTA type 31-A3 intertrochanteric fracture. Note the displacement of this high-energy fracture, occurring in a young patient.
DIFFERENTIAL DIAGNOSIS Femoral neck fracture Hip dislocation Femoral shaft fracture Greater trochanter fracture Septic hip Pelvic ring injury ## NONOPERATIVE MANAGEMENT Early operative management of peritrochanteric fractures is associated with decreased patient morbidity and improved patient function compared to nonoperative management. Relative indications for nonoperative management include nonambulatory patients with little pain, patients with active sepsis, patients with soft tissue compromise at the intended surgical site, and patients with severe and irreversible medical comorbidities precluding operative intervention. Nonoperative management consists of two regimens: Early mobilization No attempt at axial realignment 404 Used for nonambulatory patients if contraindications to surgical management exist and consists of pain control and mobilization out of bed to chair as tolerated to avoid systemic complications of prolonged bed rest. Traction Attempted realignment with nonoperative management for ambulatory patients Balanced traction for 8 to 12 weeks, with serial radiographs to assess healing Progressive weight bearing as the fracture shows signs of healing Skeletal traction is associated with fewer complications than skin traction. Skeletal traction through the distal femur is less likely to lead to knee stiffness and pain than traction placed through the proximal tibia. ## SURGICAL MANAGEMENT Once surgical management is chosen, the timing of intervention becomes important. The balance between medical optimization and early operative management in this mostly elderly patient population is delicate. Although a retrospective study of more than 2600 patients found that a delay in surgery of up to 4 days did not increase patient mortality up to 1 year postoperatively, most studies suggest that scheduling delays of more than 2 days may increase patient mortality postoperatively. 12, 18 ## Implant Selection Implant selection for fracture fixation should be guided based on fracture pattern and patient age. Implants that may be used include side plates with sliding hip screws, intramedullary devices (discussed in other chapters), blade plates, and proximal femoral locking plates. All implants discussed are angular stable devices, in that they are designed to preserve the neck-shaft angle. Sliding hip screws and many intramedullary devices allow for sliding of the bone along the axis of the screw, which allows compression and shortening with weight bearing. With these devices, early weight bearing is allowed and some degree of shortening is expected. Blade plates and proximal femoral locking plates are fixed length and preserve proximal femoral bone stock. These implants do not allow further compression or shortening across the fracture site, and patients often have restricted weight bearing following surgery.
---
### FIG 2 • AO/OTA classification of proximal femur fractures. Length-stable devices are generally indicated in younger patients because preserving abductor lever arm allows for preserved joint mechanics and the best chance at maintaining joint anatomy. ## Preoperative Planning Radiographs are reviewed to determine the fracture pattern. We find the AO Orthopaedic Trauma Association (AO/OTA) fracture classification system to be useful and reliable for peritrochanteric fractures. It is divided into groups based on fracture geometry ( FIG 2): Group 1 has a single fracture line extending to the medial cortex. Group 2 has more than one fracture line extending to the medial cortex. Group 3 has a fracture geometry that runs in a more transverse or reverse oblique pattern, with the fracture line exiting the lateral cortex below the vastus ridge. Implant selection for peritrochanteric fractures in elderly, low-demand patients may be guided by an understanding of this fracture classification. Group 1 fractures are fixed reliably with good results using either a sliding hip screw or intramedullary device. Group 2 fractures have been shown to be amenable to treatment with either side plate and screw devices or intramedullary devices. Recent studies have shown improved patient outcomes and better maintenance of fracture alignment with the use of intramedullary devices in this type of fracture. 13, 16 Group 3 fractures are treated best with intramedullary devices or angular stable plates. 9 Sliding hip screw devices are contraindicated in these fractures because of the high incidence of implant failure. 7 In a meta-analysis, intramedullary implants were found to have a lower failure rate than angular stable plates when used to treat this type of fracture pattern and should be considered the implant of choice for most surgeons for the elderly patient. 7 The neck-shaft angle of the nonfractured femur should be measured preoperatively to estimate the reduction to be achieved ( FIG 3). 405
---
- FIG 3 • AP pelvis radiograph. The neck-shaft angle has been drawn on the nonfractured extremity. Preoperative planning is vital for a satisfactory outcome when a peritrochanteric fracture is fixed with a blade plate. Multiple views of the intact contralateral hip and femur, as well as multiple traction views of the fractured hip, are required to properly plan the surgical sequence for this type of fixation. Proximal femoral locking plates are fixed-angle devices, which may be used as an alternative to blade plates. These plates may be used for patients who have sustained ipsilateral shaft fractures, as length-stable implants in young patients, and in cases of periprosthetic fractures in combination with cerclage wires or cables when it is not possible to use intramedullary fixation.
---
### FIG 4 • A. Patient positioned on fracture table. B. Extremity secured with heel cup and metatarsal bar to facilitate manipulation. C. Patient positioned on fracture table in the scissor position.
Positioning When fixing a peritrochanteric fracture with a sliding hip screw device, the patient is positioned on a well-padded fracture table, with the fractured leg placed in traction using a boot or heel cu The well leg is carefully positioned in flexion and abduction in a well-leg holder, with care taken to pad the lateral knee and protect the peroneal nerve. Use of a fracture table and thoughtful positioning of the contralateral well leg facilitate access by the fluoroscopic C-arm to the fractured hip ( FIG 4A). We prefer to secure the affected foot to a well-padded heel cup with tape, leaving the posteromedial neurovascular bundle uncompromised. The foot is then dorsiflexed and secured against a well-padded metatarsal bar to lock the transverse tarsal joint and allow strong traction and rotational forces to be transmitted to the fracture ( FIG 4B). Alternatively, if a fixed-angle plate is the selected implant, the patient is placed on a completely radiolucent flat-top table. The affected hip is bumped up at a 20- to 30-degree angle and the leg is draped free. The “scissors” position is another position for fixation of a peritrochanteric hip fracture ( FIG 4C). The patient is placed supine on a traction table and both feet are secured in traction boots. The noninjured leg is then extended to allow a lateral radiograph of the injured hip to be obtained with relative ease. This position is helpful in some patients (eg, obesity, stiff contralateral hip, bilateral injuries) who may not be able to flex and externally rotate the contralateral hip to enable use of a well-leg holder and when fractures may require strong traction. Some muscular patients may require skeletal traction of the affected leg through the distal femur or proximal tibia to provide adequate fracture length and alignment. 406 ## TECHNIQUES
-
** Fracture Reduction With the patient conscientiously positioned on the fracture table, the fracture is initially reduced in the coronal plane with axial traction to reestablish fracture length and partially correct the varus malalignment ( TECH FIG 1). Abduction of the leg usually corrects varus malalignment and establishes the normal neck-shaft angle. Internal rotation of the distal extremity usually corrects the external rotation at the fracture. Internal rotation also serves to align the femoral neck parallel to the floor and assist in eventual guide pin insertion. In some instances, external rotation of the proximal fragment is necessary to achieve reduction of the rotational deformity.
---
### TECH FIG 1 • Fracture reduction. A. Preoperative peritrochanteric fracture. B. Position of the fracture after longitudinal traction. C. Position of the fracture after longitudinal traction and abduction applied. D. Position of the fracture after longitudinal traction, abduction, and internal rotation applied. E. Posterior fracture sag. F. Position of the fracture after longitudinal traction, abduction, internal rotation, and flexion force applied with a crutch under the leg. G. Intraoperative picture of crutch placed under distal fragment. Fracture reduction is next checked in the lateral plane. The distal femur tends to sag posteriorly while the proximal fragment is flexed by the iliopsoas. This can be corrected by placing a crutch under the femoral shaft for support. Alternatively, some fracture tables have padded attachments to support the thigh. Fracture reduction is reassessed in both the AP and lateral planes and checked for neck-shaft angle, neck anteversion, rotation, and femoral shaft sag, with a goal of obtaining a near-anatomic reduction. Acceptable parameters include normal or slight valgus reduction, less than 20 degrees of angulation on the lateral radiograph, and less than 4 mm of fracture translation. 1 If a near-anatomic closed reduction cannot be obtained, percutaneous techniques can include use of Schanz pins, a bone hook, or an elevator used to manipulate fracture fragments. In the event that reduction is still inadequate, open reduction is necessary. 407 1. ## Side Plate and Sliding Hip Screw ### Approach Because of the muscular forces exerted on the fracture fragments associated with peritrochanteric hip fractures, anatomic reduction of the fracture is close to impossible with indirect methods, especially in the coronal plane, which is often the most difficult plane to control.** Studies have shown that absolute anatomic reduction of all fragments of these fractures is not necessary for a satisfactory functional outcome. 14 The primary goal of reduction of peritrochanteric hip fractures is to reestablish a normal anatomic alignment between the proximal head and neck fragment and the distal femoral shaft in the coronal, sagittal, and axial planes. A lateral approach to the proximal femur is the preferred approach for open reduction and internal fixation of peritrochanteric femur fractures. This approach may be used whether the selected implant is a side plate, a blade plate, or a proximal femoral locking plate. The incision is centered over the lateral aspect of the femur. Its proximal extent is the palpable vastus ridge for sliding hip screw devices and just proximal to the tip of the greater trochanter for fixed-angle plates. The distal extent of the incision is made long enough to allow application of the plate.
---
### TECH FIG 2 • Guide pin positioning and fracture preparation. A. Radiograph showing position of guide pin at the level of the lesser trochanter, just below the vastus ridge. B. Angled guide and guide pin inserted parallel to guide pin, showing femoral anteversion. C. Fluoroscopic image showing anteversion pin and inserted guide pin. - D. Guide pin advanced into center of the femoral head in the AP projection. E. Guide pin advanced into center of the femoral head in the lateral projection. Note the position of the post, which can be used as a reference in guiding the pin directly up the neck. In this case, the pin is lined up at approximately 90 degrees to the post or parallel to the floor. F. Triple reamer. The incision is carried through the fascia lata, posterior to the tensor muscle proximally. The vastus lateralis fascia and muscle is incised longitudinally 2 to 3 cm anterior to the linea aspera and retracted anteriorly. Care is taken to identify and control any perforating vessels supplying the vastus lateralis muscle. Proximally, the origin of the vastus lateralis is sharply released off the vastus ridge to allow atraumatic anterior retraction of the muscle to facilitate lateral femoral shaft exposure. Care should be taken to avoid any medial shaft dissection to maintain the vasculature to the fracture zone. ### Guide Pin Positioning for Sliding Hip Screw and Fracture Preparation The entrance point for the guide pin is selected once exposure of the lateral femoral cortex is completed. The entrance for a 135-degree plate is typically 2 cm below the vastus ridge, opposite the midpoint of the lesser trochanter, at the level of the femoral insertion of the gluteus maximus tendon ( TECH FIG 2). The entrance point for the guide pin is adjusted 1 cm proximal (for lower angled devices) or distal (for higher angled devices) from the 135-degree starting point for every 5-degree adjustment in the measured neck-shaft angle. The femoral anteversion can be estimated by advancing a free guide pin by hand up the anterior femoral neck and securing it in the anterior aspect of the femoral head. Alternatively, if a post is 408 used with the traction table, the angle of correct guide pin placement into the femoral neck may be determined radiographically based on the relationship of the femoral neck to the post. The angled guide is placed at the guide pin insertion site, centered in the AP plane on the femoral shaft and seated flush to the lateral cortex. It is preferred to use an angled guide rather than to place the guide pin freehand to avoid levering the side plate against the lateral cortex when compressing the side plate to the femur. The guide pin is advanced under fluoroscopic guidance, in both the AP and lateral views, to ensure central placement in the femoral head. If the guide pin is not centered in the head on both views, it must be removed and adjusted. The fracture reduction should be reassessed and the guide adjusted to ensure that central guide pin placement is obtained. The guide pin is inserted to within 5 mm of the joint line in both the AP and lateral projections. The intraosseous length of the guide pin is measured with the ruler provided in the instrument set. Care must be taken when deciding on a lag screw length, especially in highly unstable fractures reduced with a substantial amount of traction. Traction can cause fracture distraction and overestimation of lag screw length, which lead to screw prominence when traction is eventually released. The guide pin is then advanced into the subchondral bone to reduce the risk of inadvertent advancement or loss pin removal following reaming. A second guide pin can then be advanced into the femoral head proximal to the original guide pin to add stability in unstable fractures or in fractures that are reduced in anatomic alignment using excessive traction. This pinacts as a derotational pin to ensure that the proximal fragment does not rotate with reaming and screw insertion.
---
### TECH FIG 3 • Implant insertion. A. Lag screw and side plate on inserter. B. Placement of side plate. C. Implant in place. D. Traction released. E. Fracture after compression. A triple reamer is used to prepare the channel in the lateral cortex, neck, and head for the lag screw and side plate barrel. The reamer is set to 5 mm less than the measured lag screw length to ensure that the subchondral bone in the femoral head is not violated during reaming. The triple reamer is then advanced and withdrawn under fluoroscopic guidance. It is important to use fluoroscopy during reaming to ensure that the guide pin is not bonded to the reamer and inadvertently advanced into the pelvis. The channel is reamed to its proper length and removed under fluoroscopic guidance, ensuring that the guide pin is not withdrawn with the reamer. An obturator may be used to help prevent the pin from backing out. Occasionally, the intact lateral wall of the proximal femur may be fractured by the triple reamer. If this occurs, the fracture is essentially converted into a transverse or reverse oblique pattern (AO/OTA type 31-A3), and excessive fracture collapse will occur if fixed only with a sliding hip screw. In these cases, the proximal lateral wall may be buttressed with the addition of a trochanteric stabilizing plate in conjunction with a sliding hip screw. Alternatively, the decision may be made to convert to an intramedullary device for fracture fixation. ### Implant Insertion A two- to four-hole side plate is usually chosen for fixation ( TECH FIG 3). Multiple clinical and cadaveric studies have shown no difference in the strength of implant fixation with side plates with more than four holes. 3, 10 The implant is set up according to the manufacturer's specifications. The cannulated lag screw is then inserted over the guide pin with a centering sleeve to ensure proper positioning. Careful sizing of the lag screw length is required, as noted earlier, to ensure that fracture compression does not lead to excessive screw length and lateral hardware prominence. 409 Fluoroscopy and manual fracture palpation are used to ensure that the fracture is not displaced (rotated) while the lag screw is inserted. If the fracture is displaced by the insertion of the lag screw, it is removed, a derotation screw is added, the channel is tapped, and the lag screw is reinserted. Peritrochanteric fractures of the right hip tend to displace to an apex posterior angulation as the lag screw is turned clockwise during insertion, whereas left hip fractures tend to displace to an apex anterior angulation owing to the anatomic configuration and subsequent tensioning of the hip capsule with screw insertion. With the lag screw inserted to the desired depth within the femoral head on the AP and lateral fluoroscopic projection, its relation to the lateral cortex is checked to ensure proper length. Ideal position of the distal tip of the screw is approximately 5 to 8 mm deep to the lateral cortex. The side plate is then slid over the lag screw and inserter so it is seated on the lateral cortex, and the guide pin (and derotational pin if used) is removed. Traction is released at this point to allow slight impaction of the fracture in the axial plane. Cortical screws are inserted to secure the plate to the femoral shaft. If appropriate for the fracture pattern, the lag screw compressing screw is then inserted into the barrel of the lag screw and tightened to compress the fracture in the plane of the lag screw, under fluoroscopic guidance. The compression screw may be removed in certain cases. If the fracture is oriented such that weight bearing will cause compression at the fracture site, it is reasonable to remove the compression screw. It is mandatory to use and retain the compressing screw in paralytics, where there is no resting joint reaction force, and implant disengagement can occur with postoperative transfers. With the compression of the fracture complete, the alignment and implant position are checked once again with fluoroscopy. 1. ## Blade Plate ### Approach A lateral approach is used, as described earlier. Although the incision is more proximal, and angles toward the anterior superior iliac spine, the trochanteric block must be exposed and interval between tensor and gluteus medius must be exploited in order to visualize anterior neck. ### Preparation and Implant Insertion With the lateral femur and trochanteric block exposed, if a direct reduction is desired, a soft tissue-sparing reduction of the trochanteric block to the proximal femur is secured with pointed bone clamps and K-wires or small lag screws ( TECH FIG 4). Alternatively, an indirect reduction can be employed, relying on the proper position of the blade within the proximal segment to reduce the fracture when the plate is brought onto the shaft. Guide pins are then introduced into this reconstructed segment to facilitate proper seating of the chisel for the blade plate. The first pin is placed anterior to the femoral neck and secured into the anterior femoral head to demonstrate the femoral anteversion. The second pin is placed with the use of an angled guide and/or fluoroscopy near the tip of the greater trochanter and directed into the femoral head at a 90-degree angle to the femoral shaft. The chisel is inserted parallel to the two guide pins, just distal to the second pin. Care must be taken to maintain the correct alignment of the chisel with the shaft of the femur because this determines the flexion-extension of the fracture, which is fixed once the blade plate is inserted. The chisel is directed so as to pass through the center of the neck and seat in the inferior portion of the femoral head. Because of the anterior translation of the femoral head on the shaft, the insertion site is in the anterior half of the trochanter. The position of the chisel should be constantly checked with fluoroscopy before and during its insertion. The chisel is carefully removed and the appropriate-length blade plate is inserted and gently seated into the proximal fragment. The insertion should be frequently checked with biplanar fluoroscopy to ensure that the blade follows the path made by the chisel. Once the blade is seated, the most proximal screw is placed through the implant into the medial cortex of the proximal femoral neck, rigidly securing the implant to the proximal fragment. Fracture reduction is now achieved by bringing the plate to the shaft and controlling length and rotation. If needed, a femoral distractor may be used as a reduction tool. The distractor should be fixed to the lateral aspect of the femur, with the proximal pin in the head and neck fragment and the distal pin placed distal to the end of the plate. Distraction is applied across the fracture to improve fracture alignment and length through soft tissue tensioning. A bone clamp is loosely applied to the distal femoral shaft fragment and plate to counteract the tendency for the fracture to be reduced into varus with the femoral distractor. Pointed reduction clamps are used to reduce comminuted fragments to the plate without stripping them of soft tissue attachments. Fracture reduction is checked with fluoroscopy. If fracture alignment is acceptable, the distraction is taken off to allow fragment settling and fracture compression. The plate is then fixed to the shaft fragments with screws in the standard manner, and lag screws are inserted where the pointed reduction clamps were previously placed. The final fracture alignment and length, as well as the femoral head, are examined with fluoroscopy to ensure proper fracture reduction and to make sure that there has been no head penetration by the implant. 410
---
### TECH FIG 4 • Blade plate insertion. A,B. Preoperative AP and lateral radiographs of a type 31-A3 fracture in a 28-year-old man. C. Chisel inserted after femoral head and neck and trochanteric block were secured with lag screws. D. Insertion of blade plate. E. Postoperative AP radiograph. -
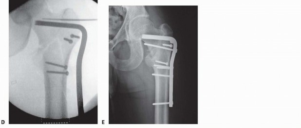
** Proximal Femoral Locking Plate ### Approach The lateral femur is exposed as noted earlier. More distal exposure may be required, depending on the length of the selected implant. In some cases, the plate may be tunneled subcutaneously and fixed to the femoral shaft using small incisions. ### Preparation and Implant Insertion If attempting direct reduction, the fracture should be reduced using a combination of traction, K-wires, reduction clamps, and Schanz pins as needed ( TECH FIG 5). Care should be taken to avoid interference with planned implant placement. Once the desired reduction has been achieved, guide pins for locking screws are placed into the proximal fragment, in accordance with implant specifications. The most crucial element of using a proximal femoral locking plate is attaining the correct position of the locking screws. Conscientious preoperative planning and understanding of each implants' design is necessary to ensure correct placement of locking screws, and hence reduction of the fracture. Correction of coronal plane angulation should be corrected or accounted for prior to fixation of locking screws in proximal fragment.** Of note, locking screws do not provide compression at the fracture site in isolation. If compression is desired, clamps can be placed to compress the fracture during placement of locking screws. Alternatively, some plate systems provide locking caps that can be placed over nonlocking screws to provide locked fixation. If closed reduction is unsuccessful, the plate itself may be used as a reduction tool. The plate may be fixed to the proximal fragment, with care taken to ensure anatomic varus/valgus alignment, and then reduced to the distal fragment using reduction clamps. Care should be taken to ensure that the plate overlies the femur distally after reduction. Fixation of the plate to the femoral diaphysis with adequate length restoration can be facilitated by using an articulated tensioning device, traction, or open reduction techniques. 411
---
### TECH FIG 5 • Proximal femoral locking plate fixation. A,B. Preoperative AP and lateral radiographs of a type 31-A3 fracture in a 27-year-old woman. C. Intraoperative reduction is obtained using reduction clamps, K-wires, retractors, and a femoral distractors (vs. Schanz pin). D,E. Lateral and AP views intraoperatively demonstrating locking plate in place. F. AP radiograph of right hip obtained 1 year postoperatively, demonstrating preservation of length and angulation as well as bony union.
| 3. ## Wound Closure Aggressive débridement of devitalized tissue is performed before wound irrigation. The wound is then closed in a layered fashion; the muscle, fascia, subcutaneous tissue, and skin are repaired separately. 412 ## PEARLS AND PITFALLS Preoperative fracture assessment The fracture pattern must be studied preoperatively so that the proper device for fixation may be chosen. Improper use of a sliding hip screw in an AO/OTA type 31-A3 fracture, for example, will lead to a higher incidence of fixation failure. Fracture reduction 1. Successful fracture reduction is mandatory for the treatment of these fractures. The rate of fixation failure increases, no matter what fixation method is used, for poorly reduced fractures. Implant selection 2. Measurement of the neck-shaft angle of the normal hip must be done preoperatively to ensure that the proper-angled side plate is used. Use of an improperly angled device will prevent central and deep placement of the lag screw in the femoral head and will increase the incidence of fixation failure. 3. Many different device systems exist with slight variations of technique and implant design. Familiarity with the selected device is important. Lag screw position 1. Positioning of the lag screw centrally and deep within the femoral head is one of the most important factors to protect against implant cutout. 2. The tip-apex distance, as measured on AP and lateral fluoroscopy intraoperatively, should be under 25 mm to significantly decrease the incidence of fixation failure 1 (FIG 5).
---
### FIG 5 • Proper measurement technique for tip-apex distance. Lateral cortical wall fracture 1. Careful handling and maintenance of the lateral cortical wall of the femur in the trochanteric region is important to provide a lateral buttress for controlled fracture impaction postoperatively. Fracture of this structure during implant insertion may lead to a higher incidence of fracture collapse and poorer outcomes when a sliding hip screw is used for fracture fixation. When this pitfall is encountered, reestablishing the lateral cortex is critical and can be accomplished by adding a trochanteric plate to the sliding hip screw or by conversion to an intramedullary device. Lateral view reduction 2. Reduction of peritrochanteric fractures in the lateral view is difficult. Gravity and muscular pull tend to the fracture into an apex posterior or apex anterior position, respectively, depending on the fracture pattern. Care must be taken to assess the fracture reduction in this plane and adjust the reduction if it is not anatomic. Pointed reduction clamps or percutaneously placed joysticks can aid in the reduction in this plane while limiting soft tissue disruption of the fracture. Rotational fracture reduction 1. Rotational reduction of peritrochanteric fractures can be challenging as well. Rotational reduction of intertrochanteric fractures is usually straightforward, as most times there is a major fracture line to assess. Subtrochanteric fractures in young patients are often quite comminuted and lack definitive anatomy to accurately judge rotation alignment from the fracture alone. In these cases, rotation malalignment of the limb can be assessed by aligning the hip and knee in | | | the AP plane. This will ensure overall reduction of any rotational malalignment of the limb. |
| --- | --- | --- | --- | --- |
POSTOPERATIVE CARE 413 AP and lateral radiographs of the operative hip should be obtained immediately postoperatively in the recovery room to assess implant position and fracture reduction and to ensure that no iatrogenic femur fracture was produced intraoperatively. The entire device should be included in the radiograph ( FIG 6). Patients are mobilized as soon as their cardiopulmonary and mental status will safely allow, usually by postoperative day 1. Unrestricted immediate postoperative weight bearing is easiest for the patient to comply with, and multiple investigations have shown no increase in fixation failure as a result of this postoperative rehabilitation protocol. 8 Koval et al 7 used gait analysis to show how patients effectively autoregulate their weight bearing postoperatively, with the patients who had the least stable fracture patterns preoperatively putting the least amount of weight on their legs immediately postoperatively. Patients should be seen 2 weeks postoperatively to check for uneventful wound healing. Follow-up radiographs should be obtained at 2, 6, and 12 weeks to check for controlled fracture impaction, exclude any fixation device complications, and assess fracture healing. ## OUTCOMES With proper fracture reduction, implant selection, and fixation device positioning, peritrochanteric hip fractures heal in up to 98% of cases. One-year mortality rates after fixation of peritrochanteric hip fractures range from 7% to 27%, with most studies finding a rate of 15% to 20%. 11 According to Medicare data, 30-day and 180-day mortality rates continue to improve. Mortality rates depend on both preoperative and postoperative medical complications and condition as well as preoperative functional status. Postoperative functional status also depends on numerous variables: Socioenvironmental functional status has been shown to be of great importance in determining the postoperative function status of a patient. 11 ### FIG 6 • Postoperative AP (A) and lateral (B) radiographs showing correct implant positioning and no intraoperative complications. Longitudinal studies comparing the functional status of patients before and after hip fracture fixation have documented that roughly 40% of patients maintain their preoperative level of ambulation postoperatively. Another 40% of patients have increased dependency on ambulation devices but remain ambulatory. Twelve percent of patients become household-only ambulators, and 8% of patients become nonambulators postoperatively. 6
---
COMPLICATIONS Loss of proximal fixation is defined as varus collapse of the proximal fracture fragment with cutout of the lag screw from the femoral head ( FIG 7A). This complication is seen in 4% to 20% of fractures, usually within 4 months of surgery. Although certain fracture patterns have been shown to have a higher rate of proximal fixation loss, the fracture pattern cannot be controlled by the physician. The placement of the lag screw, on the other hand, can be controlled by the physician. A central and deep position with a tip-apex distance of less than 25 mm has been shown to significantly reduce the incidence of proximal fixation loss. 2 Nonunion occurs in 1% to 2% of fractures. The low incidence is likely due to the well-vascularized nature of the cancellous peritrochanteric region of the hip through which these fractures develo Secondary fracture displacement Despite adequate fracture reduction and implant positioning, fractures may progress to excessive impaction, with resultant limb shortening and abductor weakening ( FIG 7B,C). This can lead to suboptimal patient functional results. This is often seen in cases of unrecognized lateral wall fractures (either iatrogenically induced by implant placement or unrecognized from the original trauma). Use of intramedullary fixation devices and vigilant followup may help avoid this complication. Infection Wound dehiscence 414 ### FIG 7 • A. Varus collapse. B. AO/OTA type 31-A1 peritrochanteric hip fracture fixed with a sliding hip screw. C. Followup radiograph 6 months postoperatively showing secondary fracture displacement.
---
##
Scientific References
- 1. Baumgaertner MR, Curtin SL, Lindskog DM, et al. The value of the tip-apex distance in predicting failure of fixation of peritrochanteric fractures of the hi J Bone Joint Surg Am 1995;77(7):1058-1064. 2. Baumgaertner MR, Solberg BD. Awareness of tip-apex distance reduces failure of fixation of trochanteric fractures of the hi J Bone Joint Surg Br 1997;79(6):969-971. 3. Bolhofner BR, Russo PR, Carmen B. Results of intertrochanteric femur fractures treated with a 135-degree sliding screw with a twohole side plate. J Orthop Trauma 1999;13:5-8. 4. Brauer CA, Coca-Perraillon M, Cutler DM, et al. Incidence and mortality of hip fractures in the United States. JAMA 2009;302: 1573-1579. 5. Griffin JB. The calcar femorale redefined. Clin Orthop Relat Res 1982;(164):211-214. 6. Koval KJ, Friend KD, Aharonoff GB, et al. Weight bearing after hip fracture: a prospective series of 596 geriatric hip fracture patients. J Orthop Trauma 1996;10:526-530. 7. Koval KJ, Sala DA, Kummer FJ, et al. Postoperative weight-bearing after a fracture of the femoral neck or an intertrochanteric fracture. J Bone Joint Surg Am 1998;80(3):352-356. 8. Koval KJ, Skovron ML, Aharonoff GB, et al. Ambulatory ability after hip fracture. A prospective study in geriatric patients. Clin Orthop Relat Res 1995;(310):150-159. 9. Kregor PJ, Obremskey WT, Kreder HJ, et al. Unstable pertrochanteric femoral fractures. J Orthop Trauma 2005;19:63-66. 10. McLoughlin S, Wheeler DL, Rider J, et al. Biomechanical evaluation of the dynamic hip screw with two- and four-hole side plates. J Orthop Trauma 2000;14:318-323. 11. Miller CW. Survival and ambulation following hip fracture. J Bone Joint Surg Am 1978;60(7):930-934. 12. Moran CG, Wenn RT, Sikand M, et al. Early mortality after hip fracture: is delay before surgery important? J Bone Joint Surg Am 2005;87:483-489. 13. Pajarinen J, Lindahl J, Michelsson O, et al. Pertrochanteric femoral fractures treated with a dynamic hip screw or a proximal femoral nail. A randomised study comparing postoperative rehabilitation. J Bone Joint Surg Br 2005;87:76-81. 14. Rao JP, Banzon MT, Weiss AB, et al. Treatment of unstable intertrochanteric fractures with anatomic reduction and compression hip screw fixation. Clin Orthop Relat Res 1983;(175):65-71. 15. Ruby L, Mital MA, O'Connor J, et al. Anteversion of the femoral neck. J Bone Joint Surg Am 1979;61:46-51. 16. Utrilla AL, Reig JS, Munoz FM, et al. Trochanteric gamma nail and compression hip screw for trochanteric fractures: a randomized, prospective, comparative study in 210 elderly patients with a new design of the gamma nail. J Orthop Trauma 2005;19:229-233. 17. Winter WG. Nonoperative treatment of proximal femoral fractures in the demented, nonambulatory patient. Clin Orthop Relat Res 1987;(218):97-103. [View Source / PubMed]
- 18. Zuckerman JD, Skovron ML, Koval KJ, et al. Postoperative complications and mortality associated with operative delay in older patients who have a fracture of the hi J Bone Joint Surg Am 1995;77(10):1551-1556. [View Source / PubMed]
You Might Also Like