Open Reduction and Internal Fixation of Lisfranc Injuries: An Operative Masterclass

Key Takeaway
This masterclass provides an exhaustive, real-time walkthrough of open reduction and internal fixation for Lisfranc injuries. Fellows will learn intricate midfoot anatomy, critical preoperative planning, and a granular, step-by-step intraoperative execution from incision to hardware application. We cover neurovascular protection, meticulous soft tissue handling, and strategies for achieving anatomical reduction and stable fixation, alongside comprehensive pearls, pitfalls, and postoperative care.
Chapter 37Open Reduction and Internal Fixation of Lisfranc Injury Michael P. Clare Roy W. Sanders
DEFINITION
A Lisfranc injury refers to bony or ligamentous compromise of the tarsometatarsal and intercuneiform joint complex and includes a spectrum of injuries ranging from a stable, partial sprain to a grossly displaced and unstable fracture or fracture-dislocation of the midfoot.
ANATOMY
The bony elements of the medial three tarsometatarsal joints (medial, middle, and lateral cuneiforms and first, second, and third metatarsal bases) feature a unique trapezoidal shape in cross-section, creating a concave arrangement plantarly resembling a Roman arch (
FIG 1A
).
The second metatarsal is recessed between the medial and lateral cuneiforms in the axial plane and is positioned at the apex of the Roman arch in the coronal plane. It thus functions as the keystone of the entire midfoot complex (
FIG 1B
).
The tarsometatarsal joints are stabilized by dorsal and plantar tarsometatarsal ligaments.
Dorsal and plantar intermetatarsal ligaments provide further stability between the second through fifth metatarsal bases.
FIG 1
•
A.
Axial CT image depicting the Roman arch configuration of the tarsometatarsal joints.
B.
Anatomic specimen demonstrating the keystone of the Roman arch: The second metatarsal base is recessed between the medial and lateral cuneiforms (
black arrow
).
C.
Ligamentous connections of the tarsometatarsal region.
There are no intermetatarsal ligaments between the first and second metatarsals, which may predispose the area to injury.
The Lisfranc ligament courses from the plantar portion of the medial cuneiform to the base of the second metatarsal (
FIG 1C
).
The unique bony arrangement of the medial midfoot imparts inherent bony stability to the medial and middle columns of the foot, which in combination with the stout plantar ligaments prevents plantar displacement of the metatarsal bases and facilitates the weight-bearing function of the first ray (
FIG 2
).
The medial three tarsometatarsal joints and the adjacent intercuneiform and naviculocuneiform articulations (medial and middle columns) have limited inherent motion, making these joints nonessential to normal foot function and therefore relatively expendable.
The medial column refers to the first tarsometatarsal and navicular-medial cuneiform articulations; the middle column includes the second and third tarsometatarsal joints and articulations between the navicular and middle and lateral cuneiforms, respectively.
The fourth and fifth tarsometatarsal (lateral column) joints have distinctly more inherent motion and are critical in accommodation of the foot to uneven surfaces.
These joints are considered essential joints to normal foot function and therefore nonexpendable.
PATHOGENESIS
Lisfranc injuries are generally the result of a high-energy injury, such as a fall from a height or a high-speed motor vehicle accident, but depending on the position of the foot, they may also result from a lower energy injury, such as a slip and ground-level fall.
These injuries result from a combination of axial load and dorsiflexion, plantarflexion, abduction, or adduction (or variable combinations thereof) of the midfoot.
---
FIG 2
• Normal weight-bearing lateral radiograph demonstrating normal alignment of the medial column and the weight-bearing first ray (
white line
).
The pathoanatomy is individually specific and highly variable and may consist of a pure ligamentous injury, a pure bony injury (fracture), or a combination.
Although the injury classically includes the first, second, and third tarsometatarsal joints, there may be involvement of all five tarsometatarsal articulations, extension into the intercuneiform joints, or even fracture lines into the navicular or cuboid proximally or metatarsal shafts or necks distally.
In pure ligamentous patterns, the stability of the injury depends on the status of the plantar tarsometatarsal ligaments. Disruption of these stout structures makes the injury unstable.
Partial injuries (sprains) occur as a result of lower energy and are more common with axial load and plantarflexion, such as in competitive sports.
In this instance, by definition, the plantar tarsometatarsal ligaments remain intact, making the injury stable.
NATURAL HISTORY
Stable injuries (partial sprains, extra-articular fractures) often require prolonged recovery time. When accurately diagnosed, however, patients with these injuries can generally expect full recovery and return to
activity with minimal long-term implications.7
Unstable injuries that are misdiagnosed or inadequately treated generally go on to a poor result with persistent pain, activity limitations, and progressive posttraumatic arthritis in the involved joints,2, 3 necessitating arthrodesis as salvage.4, 9
A high index of suspicion must therefore be maintained; historically, up to 20% of unstable Lisfranc injuries are misdiagnosed on plain radiographs.3
PATIENT HISTORY AND PHYSICAL FINDINGS
The physician should obtain a history of trauma and details of the exact injury mechanism (position of foot, direction of force, extent of energy involved).
The physician should observe any initial swelling and inability to bear weight.
A thorough examination of the involved foot and ankle also includes assessment of associated injuries and any other areas of swelling or tenderness to palpation.
The physician should observe the skin and soft tissue envelope. Diffuse swelling of the midfoot or plantar ecchymosis at the midfoot suggests a Lisfranc injury.
The physician should palpate the midfoot joints; pain at the midfoot with palpation suggests a Lisfranc injury.
The physician should test midfoot stability with passive flexion of the metatarsal heads and passive abduction and adduction through the forefoot. Pain at the tarsometatarsal joint region with passive forefoot range of motion suggests a Lisfranc injury.
IMAGING AND OTHER DIAGNOSTIC STUDIES
Initial radiographic evaluation consists of non-weight-bearing anteroposterior (AP), oblique, and lateral views of the foot, which, depending on the extent of intra-articular displacement, may provide sufficient diagnostic information (
FIG 3A-C
).
Fluoroscopic stress views may be helpful in more subtle injuries; however, these studies are painful and generally require anesthesia.
We therefore prefer weight-bearing radiographs of the foot for more subtle injuries (
FIG 3D-H
); comparison weight-bearing radiographs of the contralateral foot may also be obtained where necessary.
The weight-bearing AP view of the foot will demonstrate intra-articular displacement through the first and second tarsometatarsal joints (so-called Lisfranc joint), intercuneiform joint, and naviculocuneiform joint; fractures through the first and second metatarsal bases, medial and middle cuneiforms, and proximal extension into the navicular; and the extent of columnar shortening or asymmetry.
The medial border of the second metatarsal should align with the medial border of the middle cuneiform (
FIG 3D
).
The oblique view will reveal intra-articular displacement through the third, fourth, and fifth tarsometatarsal joints and fractures of the third, fourth, and fifth metatarsal bases, lateral cuneiform, and cuboid.
The medial borders of the third and fourth metatarsals should align with the medial borders of the lateral cuneiform and cuboid, respectively (
FIG 3E
).
The lateral view may reveal dorsal-plantar displacement of fractures or dislocations as well as any flattening of the medial longitudinal arch, thereby reflecting the status of the weight-bearing medial column and first ray (
FIG 3F
).
Computed tomography (CT) scanning may also be beneficial in the instance of a subtle Lisfranc injury, particularly in a polytrauma patient or a patient with multiple extremity injuries that preclude weight-bearing radiographs, and in delineating proximal fracture line extension into the navicular, cuboid, or cuneiforms (
FIG 4
).
DIFFERENTIAL DIAGNOSIS
Partial Lisfranc injury (sprain) Isolated metatarsal fracture Navicular-cuneiform fracture
Anterior process of calcaneus fracture Lateral ankle sprain
NONOPERATIVE MANAGEMENT
Nonoperative treatment is indicated for partial Lisfranc injuries (sprains), which by definition are stable and therefore nondisplaced on weight-bearing radiographs.
Nonoperative treatment is also indicated for nondisplaced or minimally displaced extra-articular metatarsal base fractures with no intra-articular involvement (displacement) on weight-bearing radiographs.
Because of the often subtle nature of Lisfranc injuries and the negative consequences of misdiagnosis, if the findings are inconclusive, weight-bearing radiographs may be repeated 2 to 3 weeks after the injury.
Nonoperative management consists of immobilization in a venous compression stocking and prefabricated fracture boot.
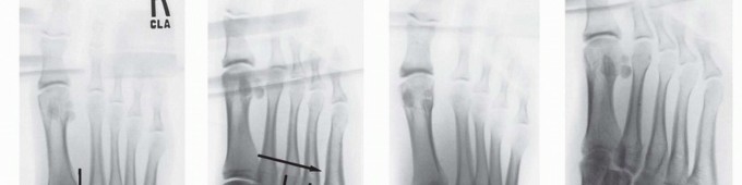
FIG 3
• Non-weight-bearing AP (
A
), oblique (
B
), and lateral (
C
) radiographs of grossly unstable, purely ligamentous, Lisfranc dislocation involving all five tarsometatarsal articulations. Marked lateral subluxation through all five tarsometatarsal joints is evident on the AP and oblique views, and significant dorsal displacement is evident on the lateral view. Weight-bearing lateral (
D
), AP (
E
), and oblique (
F
), and non-weight-bearing (
G
) and oblique (
H
) radiographs of more subtle Lisfranc injury. Lateral and plantar subluxation (
black arrows
) is evident on the weight-bearing radiographs, and displacement of normal radiographic landmarks (
black lines
) confirms injury.
The patient is allowed to bear weight to tolerance, and early progression to range of motion is encouraged.
The patient continues in the fracture boot for 5 to 6 weeks, at which point maintenance of alignment or radiographic union is confirmed on repeat weight-bearing radiographs.
The patient is then allowed to wear regular shoes, and activities are advanced as tolerated thereafter.
Full recovery and return to sports or other rigorous activity may require up to 3 to 4 months.
SURGICAL MANAGEMENT
Surgical management is indicated for unstable (displaced) injuries of the midfoot, including pure ligamentous, bony, or variable combinations.
FIG 4
• CT scan showing displacement through second tarsometatarsal and intercuneiform articulations (
A
) and intra-articular fractures of navicular and cuboid (
B
,
black arrows
) in a different patient.
Recent studies suggest that pure ligamentous Lisfranc injuries are best managed with open reduction and primary arthrodesis of the medial and middle columns.6
Any dislocation producing tension on the overlying skin and soft tissue envelope should be immediately reduced and immobilized (
FIG 5
).
Definitive surgery is generally delayed 10 to 14 days to allow adequate resolution of soft tissue swelling.
Preoperative Planning
The injury and weight-bearing radiographs and CT images are reviewed and the injury is classified,8 which allows planning for the anticipated pathoanatomy of the injury.
Pure ligamentous injuries require rigid screw fixation for the medial and middle column joints and Kirschner wire fixation for the lateral column joints; bony injury patterns, particularly those with more comminution, may require minifragment bridge plate fixation.1, 5
Positioning
The patient is placed supine with a bolster beneath the ipsilateral hip. Protective padding is placed around the
contralateral limb, primarily to protect the peroneal nerve, and the contralateral limb is secured to the table.
A sterile bolster is placed beneath the operative limb at the knee to facilitate access to the midfoot and intraoperative fluoroscopy.
Approach
We prefer the dual-incision approach (
FIG 6
).
The medial incision courses directly over the extensor hallucis longus (EHL) tendon and is centered over the first tarsometatarsal joint. It affords access to the first and second tarsometatarsal joints.
The lateral incision is centered over the lateral border of the third tarsometatarsal joint. If extended, it also provides exposure to the fourth and fifth tarsometatarsal joints where necessary.
FIG 5 • Closed reduction of Lisfranc dislocation; displaced fragments were tenting skin.
A third, more proximal and lateral incision may be required to stabilize the cuboid where necessary.
Because of the limited soft tissue envelope overlying the midfoot, the importance of meticulous soft tissue handling and maintaining full-thickness soft tissue flaps cannot be overemphasized.
FIG 6 • Planned incisions for dual-incision approach.
TECHNIQUES
-
Medial Incision
The medial incision is made directly over the EHL tendon and is centered over the first tarsometatarsal joint.
The tendon sheath is incised dorsally, and the EHL is retracted laterally ( TECH FIG 1A ).
The floor of the tendon sheath is then incised and subperiosteal dissection commences medially, extending to the medial margin of the first tarsometatarsal joint and producing a full-thickness flap.
Subperiosteal dissection then extends laterally to the lateral margin of the second tarsometatarsal joint, again producing a full-thickness flap, while preserving the adjacent neurovascular bundle within the soft tissue flap ( TECH FIG 1B ).
TECH FIG 1 • A,B. Medial incision. A. Deep dissection continues medial to EHL tendon. B. Full-thickness subperiosteal flaps provide access to first and second tarsometatarsal and medial-middle intercuneiform joints. C,D. Gross instability through first tarsometatarsal joint (C) and second tarsometatarsal and intercuneiform joints (D) in a different patient. The status is noted of each of the tarsometatarsal and intercuneiform joint capsules dorsally and therefore the extent of instability of each joint (
TECH FIG 1C,D
).
We prefer using the medial (EHL) incision for access to the second tarsometatarsal and intercuneiform joints, even if the first tarsometatarsal joint is not involved, because the neurovascular bundle remains protected within the full-thickness flap. -
Lateral Incision
A Freer elevator is placed beneath the full-thickness flap to the level of the third tarsometatarsal joint, and the lateral incision is made overlying the lateral border.
Dissection extends through the overlying extensor retinaculum, exposing the extensor digitorum communis tendon and medial margin of the extensor digitorum brevis muscle, both of which are retracted laterally ( TECH FIG 2 ).
Care is taken not to violate the adjacent neurovascular bundle, which is maintained within its soft tissue envelope.
The underlying third tarsometatarsal joint capsule is identified and a full-thickness subperiosteal flap is developed extending medially toward the lateral portion of the second tarsometatarsal joint and laterally toward the fourth and fifth tarsometatarsal joints where necessary.
Again, the status is noted of each of the tarsometatarsal and intercuneiform joint capsules dorsally and therefore the extent of instability of each joint.
TECH FIG 2 • Lateral incision. Deep dissection continues medial to extensor digitorum communis tendon and extensor digitorum brevis muscle (A) and exposes the third tarsometatarsal and the lateral portion of the second tarsometatarsal (not visualized here) joints (B). 2. ## Articular Surface Assessment and Decision Making
The fracture lines and articular surface of the involved joints are then débrided of residual hematoma and assessed for chondral damage.
If more than 50% of the articular surface of the medial and middle column joints is involved, primary arthrodesis should be considered, although this is controversial.
Arthrodesis of the fourth and fifth tarsometatarsal joints should be avoided if possible.
If primary arthrodesis is elected, the involved joints are meticulously débrided of residual articular cartilage, preserving the underlying subchondral plate.
The joints are irrigated and the subchondral plate is perforated with a 2.0-mm drill bit to stimulate vascular ingrowth.
Supplemental allograft mixed with highly concentrated platelet aspirate is then placed within the involved joint spaces.
3. ## Provisional Reduction and Definitive Stabilization
First Tarsometatarsal Joint
The provisional reduction begins medially at the first tarsometatarsal joint if injured. Although the exact reduction maneuver may vary depending on the injury pattern, the first metatarsal is typically supinated (externally rotated) relative to the medial cuneiform.
Correction of this rotational deformity is crucial in restoring the medial column and the weight-bearing
function of the first ray. The reduction of the remaining midfoot joints depends on an anatomic reduction of the first tarsometatarsal joint.
The provisional reduction is held with a 2.0-mm Kirschner wire and confirmed under fluoroscopy (
TECH FIG 3A
).
TECH FIG 3 • Reduction and stabilization of first tarsometatarsal joint. A. Provisional reduction. B. Distal to proximal screw. C. Proximal to distal screw. D. Long bicortical trajectory of screws for enhanced stability. Definitive stabilization is then obtained at the first tarsometatarsal joint with 3.5-mm solid cortical position screws (
TECH FIG 3B-D
).
The first screw is placed from distal to proximal, starting at the dorsal crest and distal to the metaphyseal-diaphyseal junction, and is angled toward the plantar-proximal cortex of the medial cuneiform; this screw is generally 45 to 50 mm long.
A second screw is placed from proximal to distal starting at the edge of the naviculocuneiform joint and similarly angled to exit at the plantar cortex distal to the metaphyseal-diaphyseal junction. This screw typically measures 40 to 45 mm.
In a primary arthrodesis, these screws are placed in lag fashion.
For larger patients, 4.0-mm cortical screws may be used for further stability.
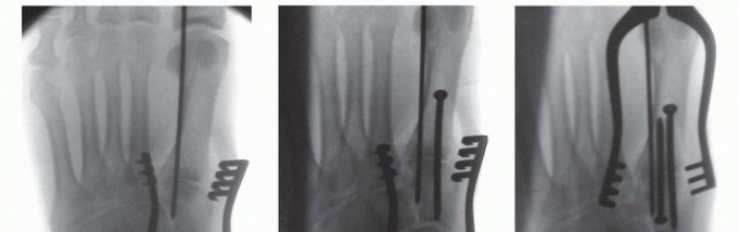
TECH FIG 4 • Reduction and stabilization of Lisfranc joint. A. Pointed reduction forceps. B. Supplemental Kirschner wire. C. Screw fixation. Trajectory of screw mirrors the normal path of ligamentous structures. Intercuneiform joint was previously reduced and stabilized as initial step.Lisfranc Joint A pointed reduction forceps is then placed from the medial cuneiform to the lateral border of the second metatarsal to anatomically reduce the so-called Lisfranc joint; care is taken to ensure accurate dorsal-plantar alignment of the second tarsometatarsal joint.
The reduction is confirmed under fluoroscopy, and a 2.0-mm Kirschner wire that mirrors the intended path of the screw is placed to provide further rotational control (
TECH FIG 4A,B
).
There is typically a distinct cortical “shelf” on the medial cuneiform that provides an excellent buttress for screw purchase.
A 3.5-mm cortical screw is placed through a stab incision overlying this cortical shelf medially, angling toward the proximal metaphysis of the second metatarsal; for a primary arthrodesis, this screw is placed in lag fashion (
TECH FIG 4C
).
Other Joints
If the intercuneiform joint is involved, it is first reduced and stabilized before stabilizing the Lisfranc joint (
TECH FIG 5A
). Alternatively, this joint may also be reduced and stabilized before stabilizing the first tarsometatarsal joint.
A 3.5-mm cortical screw is again used, coursing parallel to the plane of the naviculocuneiform joint. It is placed in lag fashion for a primary arthrodesis.
Care is taken not to violate the articulation between the middle and lateral cuneiform.
The second tarsometatarsal joint is then provisionally reduced and provisionally stabilized with a 1.6-mm Kirschner wire.
Definitive fixation is obtained with a countersunk 2.7-mm cortical screw from distal to proximal; it is placed in lag fashion for a primary arthrodesis (
TECH FIG 5B
).
--- TECH FIG 5 • A. Reduction and stabilization of intercuneiform joint. B. Reduction and stabilization of second tarsometatarsal joint. C. Reduction and stabilization of third tarsometatarsal joint.
(continued)
TECH FIG 5 •
(continued)
D. Comminuted second metatarsal and second and third tarsometatarsal joints. E,F. Second and third metatarsals and segmental fourth metatarsal in a different patient. G. Kirschner wire fixation of fourth and fifth tarsometatarsal joints.
H.
Reduction and stabilization of cuboid through separate proximal-lateral incision.
I.
Fluoroscopic image.
The third tarsometatarsal joint is reduced and stabilized in identical fashion (
TECH FIG 5C
).
For a metatarsal base fracture or fracture-dislocation pattern precluding transarticular fixation, bridge plate fixation may be required.
We prefer a low-profile (2.0 or 2.4 mm) reconstruction plate and 2.4-mm cortical screws (
TECH FIG 5D-F
).
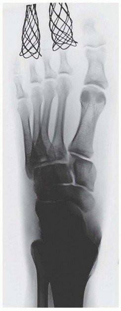
The fourth and fifth tarsometatarsal joints are then reduced and definitively stabilized with 1.6-mm Kirschner wires.
Because the intermetatarsal ligaments between the third, fourth, and fifth metatarsals are often preserved, these joints may anatomically reduce indirectly, thereby allowing percutaneous stabilization.
The Kirschner wires are contoured and buried beneath the skin layer through separate stab incisions, which facilitates removal at 6 weeks postoperatively, either in the office under local anesthesia or in the operating room under sedation (
TECH FIG 5G
).
For a cuboid fracture, the cuboid is reduced and definitively stabilized to ensure restoration of lateral column length before stabilizing the fourth and fifth tarsometatarsal joints; by definition, this is then an open reduction (
TECH FIG 5H
).
Final fluoroscopic images are obtained, confirming articular reduction and implant placement (
TECH FIG 5I
).
1. ## Closure
The wounds are irrigated, and closure commences with the medial incision. The floor of the EHL tendon sheath (and subperiosteal flaps) is closed with deep no. 0 absorbable suture, thereby sealing the intra-articular surfaces of the first and second tarsometatarsal joints and intercuneiform joints.
The EHL tendon sheath is closed in similar fashion, thereby sealing the tendon (
TECH FIG 6A
).
The remainder of the incision is closed in layered fashion with subcutaneous 2-0 absorbable suture and 3-0 monofilament suture for the skin layer using the modified Allgöwer-Donati technique (
TECH FIG 6B
).
The tourniquet is deflated and sterile dressings are placed, followed by a bulky Jones dressing and Weber splint. TECH FIG 6 • Wound closure. A. Deep layered closure sealing intra-articular contents and EHL tendon. B. Skin closure with modified Allgöwer-Donati technique.
PEARLS AND PITFALLS
| Misdiagnosis of ▪ Because of the highly variable injury patterns, a high index of suspicion proximal joint must be maintained. Injury radiographs must be closely scrutinized injuries (medial, preoperatively for proximal joint involvement. If radiographs are
middle, or lateral inconclusive, CT evaluation is warranted. During surgery, the status is cuneiform; noted of each of the intercuneiform joint capsules dorsally and therefore the intercuneiform extent of instability of each joint.
joint; cuboid fracture)
Correcting plantar ▪ Strict attention is paid to dorsal-plantar alignment of the first and second displacement or metatarsals and their respective cuneiforms because plantar displacement malalignment of the or malalignment greater than 2 mm may affect the weight-bearing
first and second metatarsal cascade, potentially resulting in a transfer (metatarsalgia) lesion. tarsometatarsal
joints
Correcting ▪ There is typically a distinct dorsal crest on both the first metatarsal and supination medial cuneiform. They should be precisely aligned to ensure an accurate malrotation of first reduction.
tarsometatarsal joint
| 1. Because of the hard cortical bone at the diaphysis of the first metatarsal, the screw head of the distal to proximal screw is specifically countersunk to avoid compromise of the dorsal cortex and loss of fixation.
Definitive fixation of first tarsometatarsal joint
Definitive fixation of Lisfranc joint
1. With fixation of the Lisfranc joint, the screw must angle slightly dorsally (relative to the plantar foot) to accommodate the normal “Roman arch” configuration in the coronal plane.
POSTOPERATIVE CARE
The patient is converted to a venous compression stocking and prefabricated fracture boot, and early progression to motion is initiated.
The Kirschner wires traversing the lateral column joints are removed 6 weeks postoperatively.
Weight bearing is not permitted until 10 to 12 weeks postoperatively, at which point weight-bearing radiographs are obtained to confirm maintenance of reduction.
The patient is gradually allowed to resume regular shoes, and activity is advanced as tolerated thereafter.
In a primary arthrodesis, the limb is immobilized in serial short-leg non-weight-bearing casts for 10 to 12 weeks after surgery, at which point radiographic union is confirmed on weight-bearing radiographs.
The patient is then converted to a venous compression stocking and prefabricated fracture boot, and weight bearing is advanced as described previously.
We do not routinely remove hardware unless symptomatic or specifically requested by the patient, in which case the implants may be removed at 1 year after surgery.
OUTCOMES
Outcomes after open reduction and internal fixation of Lisfranc injuries are generally good overall, as patients have relatively few activity limitations. An accurate diagnosis and anatomic reduction are crucial
to ensuring satisfactory results.5
Outcomes for pure ligamentous patterns are less predictable after open reduction and internal fixation;
these patients tend to have higher rates of posttraumatic arthritis.5 Primary arthrodesis appears to be especially beneficial in this situation: One recent study reported a greater than 90% return to preinjury
level after primary arthrodesis.6
Late arthrodesis as salvage for posttraumatic arthritis provides predictable pain relief and functional improvement.4, 9
COMPLICATIONS
Delayed wound healing, wound dehiscence, deep infection
Malunion or nonunion
Late displacement (premature implant removal) Neurovascular compromise
Chronic pain
Scientific References
- 1. Arntz CT, Veith RG, Hansen ST. Fractures and fracture-dislocations of the tarsometatarsal joint. J Bone Joint Surg Am 1988;70A:154-162. [View Source / PubMed]
- 2. Curtis M, Myerson M, Szura B. Tarsometatarsal injuries in the athlete. Am J Sports Med 1994;21:497-502. [View Source / PubMed]
- 3. Goossens M, DeStoop N. Lisfranc's fracture-dislocations: etiology, radiology, and results of treatment. Clin Orthop Relat Res 1983;176: 154-162. [View Source / PubMed]
- 4. Komenda GA, Myerson MS, Biddinger KR. Results of arthrodesis of the tarsometatarsal joints after traumatic injury. J Bone Joint Surg Am 1996;78A:1665-1676. [View Source / PubMed]
- 5. Kuo RS, Tejwani NC, DiGiovanni CW, et al. Outcome after open reduction and internal fixation of Lisfranc joint injuries. J Bone Joint Surg Am 2000;82:1609-1618. [View Source / PubMed]
- 6. Ly TV, Coetzee JC. Treatment of primarily ligamentous Lisfranc joint injuries: primary arthrodesis compared with open reduction and internal fixation: a prospective, randomized study. J Bone Joint Surg Am 2006;88A:514-520. [View Source / PubMed]
- 7. Meyer SA, Callaghan JJ, Albright JP, et al. Midfoot sprains in collegiate football players. Am J Sports Med 1994;22:392-401. [View Source / PubMed]
- 8. Myerson MS, Fisher TR, Burgess RA, et al. Fracture-dislocations of the tarsometatarsal joints: end results correlated with pathology and treatment. Foot Ankle 1986;6:225-242. [View Source / PubMed]
- 9. Sangeorzan BJ, Veith RG, Hansen ST. Salvage of Lisfanc's tarsometatarsal joints by arthrodesis. Foot Ankle 1990;4:193-200. [View Source / PubMed]
You Might Also Like