Solving the 67-year-old lady's right elbow RA exam
Elbow structured oral examination question 3 EXAMINER : What do you see in this radiograph of a 67- year-old …
Orthopedic Teaching Cases
Elbow structured oral examination question 3 EXAMINER : What do you see in this radiograph of a 67- year-old …
Elbow structured oral examination question 2 EXAMINER : Look at these radiographs of of the right elbow of a …
Elbow structured oral examination question 4 EXAMINER : Good morning. Here are the radiographs of a righthand…
Spine structured oral questions1: Spinal tumour CANDIDATE : The images show a destructive lesion in the verte…
Spine structured oral questions2: Infection (epidural abscess) EXAMINER : A 68-year-old man with a past histo…
Elbow Make a list of conditions causing painful, locking, stiff, flail and unstable elbow. Painful elbow path…
Spine structured oral questions5: Lumbar spinal stenosis and cervical myelopathy EXAMINER : A 70-year-old lad…
Shoulder and elbow structured oral examination question2 EXAMINER : Good afternoon. Can you tell me what is g…
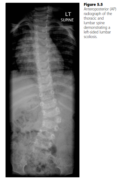
Structured oral examination question 4: Scoliosis EXAMINER : What can you see? ( Figure 5.5 .) CANDIDATE : Th…
KNEE Structured oralexamination question3: Infected total knee arthroplasty ( TKA ) Figures 3.3a and 3.3b Ant…
KNEE Structured oral examination question7: Revision knee replacement EXAMINER : Have a look at these images …
Structured oral examination question 4: Cavus foot EXAMINER : These are pictures of the left foot of a 20- ye…