Unraveling Acquired Adult Flatfoot: Key Answers for Orthopedics
Foot and ankle structured oral questions5: Acquired adult flatfoot EXAMINER : I would like you to look at thi…
Orthopedic Teaching Cases
Foot and ankle structured oral questions5: Acquired adult flatfoot EXAMINER : I would like you to look at thi…
Structured oral examination question 8: Patellar instability EXAMINER : A 17-year-old lady is referred to you…
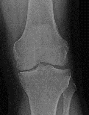
KNEE Structured oralexamination question6: Anterior cruciate ligament (ACL) and posterior cruciate ligament (…
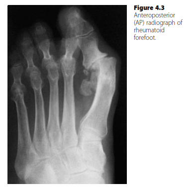
Foot and ankle structured oral questions3: The rheumatoid foot EXAMINER : Please have a look at this radiogra…
Foot and ankle structured oral questions2: Ankle arthritis EXAMINER : Describe the findings on this X-ray. ( …
KNEE Structured oralexamination question4: Unicondylar knee arthroplasty ( UKA ) versus high tibial osteotomy…
Foot and ankle structured oral questions7: Hallux rigidus EXAMINER : This 45-year-old male patient has presen…
KNEE Structured oralexamination question5: Unicondylar knee arthroplasty (UKA) versus total knee replacement …
Foot and ankle structured oral questions1: Lateral ligament instability of the ankle EXAMINER . Tell me what …
Foot and ankle structured oral questions6: Hallux valgus EXAMINER : Please have a look at these clinical phot…
KNEE Structured oral examination question2: Meniscus – basic science EXAMINER : Tell me about the anatomy and…
KNEE Structured oralexamination question9: Malalignment of total knee replacement (TKR) components EXAMINER :…