Examination Question Osteosarcoma: Your Guide to Oral Success
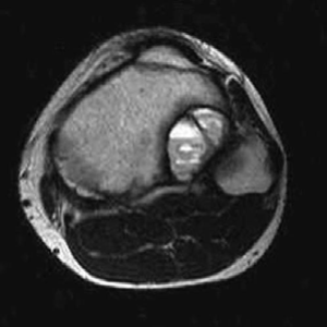
Orthopaedic oncology Structured oral examination question 6: Osteosarcoma EXAMINER : This young lad presented…
Orthopedic Teaching Cases
Orthopaedic oncology Structured oral examination question 6: Osteosarcoma EXAMINER : This young lad presented…
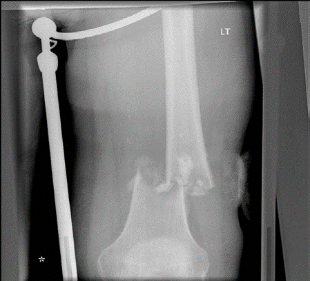
Lower limb Trauma Structured oral examination question 2 A 79-year-old woman fell in her garden sustaining th…
Orthopaedic oncology Structured oral examination question 5: Chondrosarcoma EXAMINER : This is a very fit and…
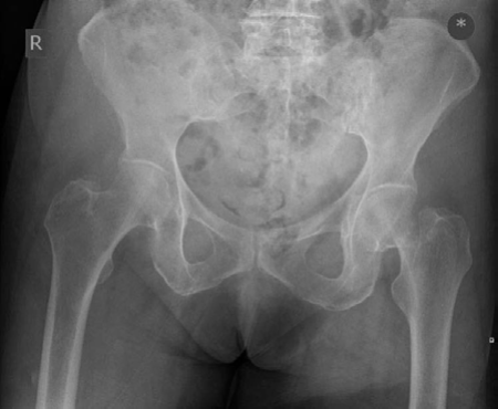
oncology Structured oral examination question 7: Aneurysmal bone cyst EXAMINER : This is a 20-year-old man wh…
Elbow structured oral examination question 4 EXAMINER : Good morning. Here are the radiographs of a righthand…
Shoulder and elbow structured oral examination question5 EXAMINER : Good afternoon. Can you tell me the findi…
Spine structured oral questions1: Spinal tumour CANDIDATE : The images show a destructive lesion in the verte…
Structured oral examination question 4: Scoliosis EXAMINER : What can you see? ( Figure 5.5 .) CANDIDATE : Th…
Elbow Make a list of conditions causing painful, locking, stiff, flail and unstable elbow. Painful elbow path…
Spine structured oral questions2: Infection (epidural abscess) EXAMINER : A 68-year-old man with a past histo…
Spine structured oral questions7: Spinal trauma EXAMINER : A 26-year-old man crashes his motor-bike and susta…
Elbow structured oral examination question 5 EXAMINER : I have a problem with my left elbow. Proceed. CANDIDA…