Ace Your Orthopaedic Oncology Structured Oral Exam: Non-Ossifying Fibroma
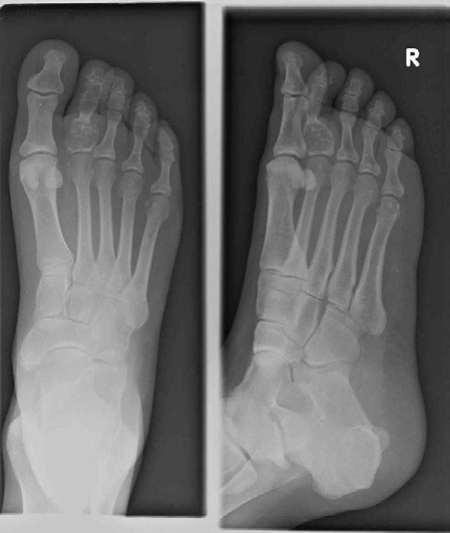
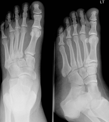
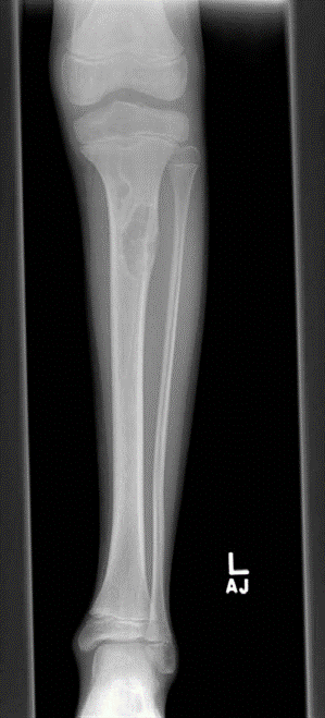
Orthopaedic oncology Structured oral examination question 3: Non-ossifying fibroma EXAMINER : Tell me about t…
Orthopedic Teaching Cases
Orthopaedic oncology Structured oral examination question 3: Non-ossifying fibroma EXAMINER : Tell me about t…
Orthopaedic oncology Structured oral examination question 2: Enchondroma Figure 7.2 Enchondroma. EXAMINER : T…
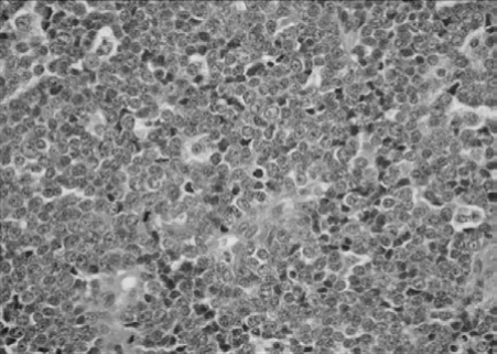
Orthopaedic oncology Structured oral examination question 8: Ewing ’ s sarcoma EXAMINER : This is a histology…
Lower limb Trauma Structured oral examination question 3 Minutes 1 and 2 EXAMINER : A 49-year-old lady fell o…
Orthopaedic oncology Generic structured oral examination question 3: Staging EXAMINER : So what stage is this…
Orthopaedic oncology Generic structured oral examination question 2: Margins EXAMINER : What do you understan…
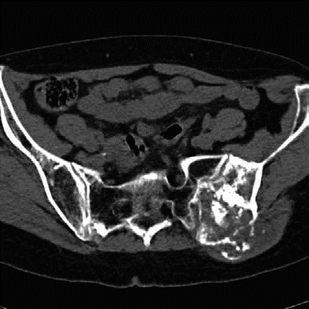
Orthopaedic oncology Structured oral examination question 4: Chondrosarcoma EXAMINER : This 60-year-old lady …
Lower limb Trauma Structured oral examination question 9 A 29-year-old female horse rider fell off her horse;…
Lower limb Trauma Structured oral examination question 1 A 35-year-old motorcyclist came off his bike yester-…
Orthopaedic oncology Structured oral examination question 1: Osteochondroma EXAMINER : This young lad has bee…
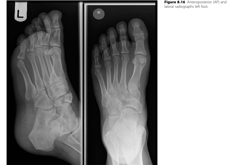
Lower limb Trauma Structured oral examination question 5 A 21-year-old motorcyclist was involved in a road tr…
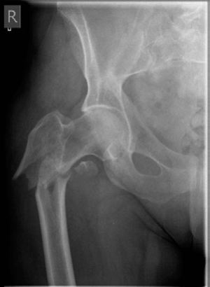
Lower limb Trauma Structured oral examination question 7 A 78-year-old woman fell out of her bed and sus- tai…