Right Shoulder Pain? Avoid This Common X-ray Mistake.
CASE 11 A 33-year-old male presents to the ED after a fall during a soccer game…
Orthopedic Teaching Cases
CASE 11 A 33-year-old male presents to the ED after a fall during a soccer game…
Anaesthesia in Orthopaedic Surgery Introduction 1 Preoperative assessment 1 Intraoperative techniques 5 P…
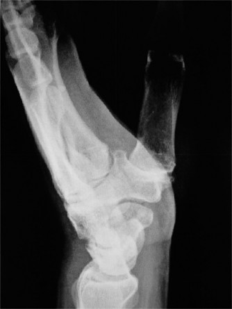
CASE 21 Following an intense game of football, a player is brought to you with …
Ankle arthrodesis 367 Surgery for Achilles tendinopathy 377 Ankle arthroplasty 371 Surgery for peroneal…
Anterior approach to the cervical spine (C3-T1) 25 Posterior approach to the cervical spine (C2-C7) 31 Post…
Principles of foot and ankle Interdigital neuroma 408 arthrodesis 385 Lesser toe deformities 409 Hallux…
中山医科大学 2000 硕士入学外科试题 1. 选择题 2. 名词解释 ( 1 )压力性?充盈性?尿失禁( 2 )先天性肠旋转不良 ( 3 )( 4 )枢椎 hangmans 骨折 ( 5 )脊髓损伤三阶段 3. 问答…
外科复试汇总 2011 中山六院骨科复试题目回忆版 1 骨盆骨折的并发症 2 对骨质疏松的认识 3 对退变性关节炎的认识 4 骨折并发症 5 神经根型颈椎病的诊断要点 6 分析人工关节松动的原因 7 骨折临床愈合标准 …
2012 2011 2010 2009 年哈医大外科专业笔试题 (一)普外部分 甲状腺大部切除术适应征 P291 ⑴因气管、食管或喉返神经受引起临床症者;⑵胸骨后甲状腺肿;⑶巨大甲状腺肿影响生活和工作者;⑷结节性甲状…
泌尿外科 一、不定项选择题(共 2.5分,每题0.5分) 1 肾癌的典型三大症状指: A A 血尿、疼痛和肿块 B 血尿、疼痛和高血压 C 高血钙、疼痛和高血压D 高血钙、疼痛和肿块E 消瘦、贫血和虚弱 2 膀胱三角区…
Examination questions for grade 2019 One, single-choice question (1 x 6 points) 1. Esophageal in situ cancer …
2006级硕士外科学专业课考试试题: 一 名词解释( 5分/题) 单纯性甲状腺肿 肛裂 “三联征” 乳房 “酒窝征” 枕骨大孔疝 Colles骨折 二 简答题:( 10分/题) 1 简述原发性下肢静脉曲张的并发症及其处…