Mastering Soft Tissue Knee Surgery: Preoperative Planning & Indications
Soft Tissue Surgery of the Knee 321 Knee arthroscopy 328 Arthroscopic meniscal kne e su rgery 332 L…
Orthopedic Teaching Cases
Soft Tissue Surgery of the Knee 321 Knee arthroscopy 328 Arthroscopic meniscal kne e su rgery 332 L…
CASE 31 A 29-year-old, left-hand-dominant male presents to clinic complaining o…
Principles of limb reconstruction 427 Principles of deformity correction 436 Surgical techniques 428 In…
Dupuytren’s surgery 193 Tendon transfers 224 Synovial cyst treatment 201 Soft tissue reconstruction 228…
Ankle arthrodesis 367 Surgery for Achilles tendinopathy 377 Ankle arthroplasty 371 Surgery for peroneal…
Principles of foot and ankle Interdigital neuroma 408 arthrodesis 385 Lesser toe deformities 409 Hallux…
Surgery of the Peripheral Nerve Carpal tunnel decompression Ulnar nerve decompressio n at the wrist Ulnar…
CASE 1 A 76-year-old, right-hand-dominant man presents to clinic complaining of right shoulder pain. The pain…
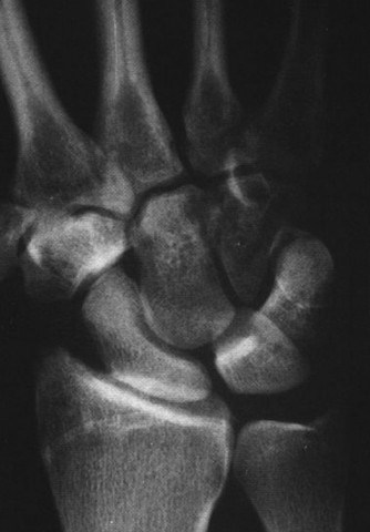
CASE 11 A patient presents to your clinic with ulnar-sided wrist pain. X-ray is…
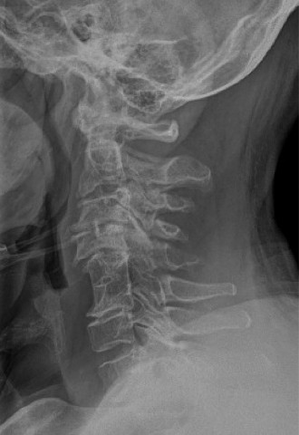
CASE 1 A 63-year-old male sustained a hyperextension injury to his neck while diving into a pool. Upon presen…
Ankle arthrodesis 367 Surgery for Achilles tendinopathy 377 Ankle arthroplasty 371 Surgery for peroneal…
CASE 27 Several years after sustaining an injury to his wrist, a firefighter pr…