Masterclass: Surgical Repair of Turf Toe Injuries – An Intraoperative Guide

Key Takeaway
This masterclass guides fellows through the surgical repair of turf toe, focusing on hallux MP joint stabilization. We cover detailed anatomy, meticulous preoperative planning, and real-time intraoperative execution. Learn precise dissection, plantar plate repair, and neurovascular protection. Extensive pearls, pitfalls, and postoperative management strategies ensure optimal patient outcomes for these disabling injuries.
Definition
Turf toe injuries involve the capsular-ligamentous-sesamoid complex of the hallux metatarsophalangeal (MP) joint.1,2 They fall within a spectrum ranging from stable capsular sprains to unstable disruptions of the complex, often associated with a frank dislocation. The direction/force of the injury will dictate what
structures are injured—most are hyperextension in nature.
Turf toe injuries have become more prevalent with less forgiving playing surfaces (ie, artificial/infill turf) and less rigid shoe wear7,10 and may be considered more disabling than ankle sprains.5,9 The incidence is increasing as these injuries are better recognized and reported.
Turf toe can result in significant disability and loss of playing time in athletes, with long-term implications such as hallux rigidus. It must be diagnosed early and evaluated properly to restore function and improve
outcome.8
Anatomy
The hallux MP joint is stabilized by adjacent capsular, ligamentous, tendinous, and osseous structures (FIG 1). Disruption of any part of this complex results in a turf toe injury.
The plantar plate is composed of the joint capsule, with attachments to the transverse head of the abductor hallucis, to the flexor tendon sheaths, and to the deep transverse intermetatarsal ligament.
The tibial and fibular sesamoids articulate with the metatarsal head. They are contained within the medial and lateral portions of the flexor hallucis brevis (FHB) tendons, respectively. Their relationship is maintained by the intersesamoid ligament. Ligamentous attachments also run between the sesamoids and the metatarsal head and proximal phalanx. The sesamoids may be bipartite, particularly the tibial.
The FHB is located within the third plantar layer of the foot. It originates from the lateral cuneiform and the cuboid. It inserts into the proximal phalanx of the hallux and is innervated by the medial plantar nerve.
Medially, in the first plantar layer of the foot, the abductor hallucis muscle originates from the medial process of the os calcis tuberosity. It inserts with the medial tendon of the FHB into the medial aspect of the base of the hallux proximal phalanx. It also is innervated by the medial plantar nerve.
Laterally, also in the third plantar layer of the foot, the adductor hallucis has two heads. The oblique head originates from the base of metatarsals two through four, whereas the transverse head takes origin from the lateral fourth MP joint. The two heads unite and insert through the fibular sesamoid into the lateral aspect of the base of the hallux proximal phalanx. Both heads are innervated by the lateral plantar nerve.
Pathogenesis
The primary mechanism of injury involves a hyperextension force to the hallux MP joint. Most commonly, an axial load is applied to the heel of a foot fixed in equinus (FIG 2).
The most common variation is that created by a valgusdirected force, resulting in an injury to the medial collateral ligament, plantar medial complex, or tibial sesamoid that,
32
if left untreated, may lead to a traumatic bunion and hallux valgus. A varus-directed force is much less common but can lead to a traumatic varus deformity.
FIG 1 • Normal plantar anatomy of the hallux MP joint. (From Agur AMR, Dalley AF. Grant's Atlas of Anatomy, ed 11. Baltimore: Lippincott Williams & Wilkins, 2005.)
FIG 2 • Typical mechanism of turf toe injury: A foot fixed to the ground is subjected to an axial load and creates a hyperextension force at the hallux MP joint.
In our experience, limited ankle dorsiflexion (often from a tight Achilles tendon) places the hallux MP joint at greater risk for injury, although the literature is controversial on this mode of pathogenesis.
Natural History
The natural history of turf toe depends on the degree of injury to the capsular-ligamentous-sesamoid complex. Simple, stable sprains usually heal uneventfully. Missed or untreated unstable injuries may lead to chronic pain and push-off weakness due to hallux limitus or rigidus and clawing (cock-up deformity).
Patient History and Physical Findings
The history of this injury is particularly important. Useful information includes the type of shoe the patient was wearing and the circumstances of the injury (ie, the position of the foot at the time of injury, the direction of applied force, the type of athletic surface and shoe, any perceived “pop,” and any initial obvious deformity, such as a dislocation that may have reduced spontaneously or required manual manipulation).
In our experience, limited ankle dorsiflexion (often from a tight Achilles tendon) places the hallux MP joint at greater risk for injury, although the literature is controversial on this mode of pathogenesis.
Relevant clinical findings include plantar swelling and ecchymosis about the hallux MP joint. Alignment of the
hallux MP joint is noted and compared to the contralateral side. Asymmetric hallux valgus suggests a traumatic bunion, and asymmetric hallux varus implies traumatic injury to the lateral sesamoid complex. The hallux may be elevated off the ground, which may be indicative of a flexor hallucis longus (FHL) tendon disruption or significant loss of plantar restraints. Dorsal dislocation of the first MP joint is an obvious finding and may imply severe injury to the sesamoid complex.
Classification of Turf Toe
- Grade 1: stretching of the plantar complex; localized tenderness, minimal swelling, no ecchymosis
- Grade 2: partial tear; diffuse tenderness, moderate swelling, ecchymosis, restricted movement with pain
- Grade 3: complete tear; severe tenderness to palpation, marked swelling and ecchymosis, limited movement with pain, positive vertical Lachman test; associated injuries possible (medial-lateral injury, sesamoid fracture/bipartite diastasis, articular cartilage-subchondral bone bruise)
Hyperflexion (sand toe) Dislocation - Type I: dislocation of the hallux with the sesamoids, no disruption of the intersesamoid ligament, usually irreducible
- Type II: IIA (associated disruption of intersesamoid ligament; usually reducible), IIB (associated transverse fracture of one of the sesamoids; usually reducible), IIC (complete disruption of intersesamoid ligament with fracture of one of the sesamoids; usually reducible)
Hyperextension (turf toe)
The examination will include the following:
Active and passive hallux MP range of motion. Hallux MP motion varies widely among individuals, with reported plantarflexion from 3 to 40 degrees and dorsiflexion from 40 to 100 degrees. Varus and valgus stressing is also performed. The best method to determine significance is to compare to the noninjured contralateral side.
The examiner should observe the patient's gait (specifically, the time between heel rise and toe-off). The patient will shorten time spent after heel rise because this concentrates pressure onto the injured hallux MP joint.
Vertical Lachman test. A positive test is any laxity greater than the contralateral side.
Turf toe classification is shown in Table 1.
Imaging and Other Diagnostic Studies
A thorough radiographic evaluation is mandatory (including weight-bearing views of the foot in the
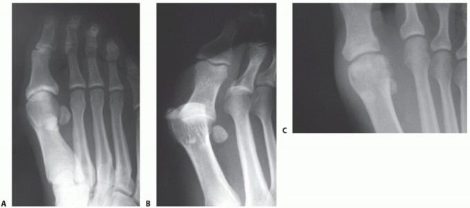
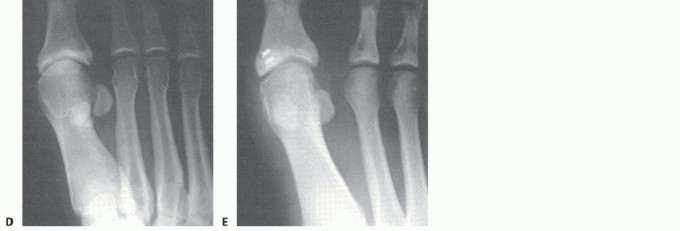
anteroposterior [AP], lateral, and oblique planes) (FIG 3). Sesamoid axial views may also be helpful. Bilateral standing AP views are mandatory for comparison. Sesamoid station is assessed.
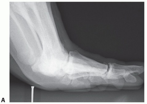
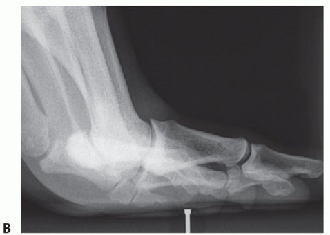
Forced (stress) dorsiflexion lateral views are helpful to diagnose disruption/diastasis of a bipartite sesamoid or a sesamoid fracture (FIG 4). It will also suggest a complete distal disruption of the FHB if the sesamoid(s) fails to migrate distally with dorsiflexion of the hallux. Studies suggest that more than 10.4 mm from the tip of the tibial sesamoid to the phalanx or more than 13.3 mm from the fibular sesamoid equates to a 99.7% chance for
plantar complex rupture.11 Compare the injured to uninjured side.
Fluoroscopic evaluation has proven invaluable and is highly recommended when available. The hallux is dorsiflexed, and if the sesamoids do not migrate distally, a plantar plate disruption can be inferred.
Magnetic resonance imaging (MRI) is recommended for any patient with radiographic abnormalities and for those with
33
significant swelling, any ecchymosis or limitation of motion, or a positive vertical Lachman test (FIG 5).
Osteochondral lesions and edema in the metatarsal head are often present and may be prognostic. Injury to the FHL tendon is also assessed.

FIG 3 • A. AP foot radiograph showing proximal migration of the tibial sesamoid suggestive of an unstable turf toe injury. B. AP foot radiograph showing a hallux MP dislocation with an associated sesamoid fracture. C. AP radiograph demonstrating diastased bipartite tibial and fibular sesamoids. The proximal poles of each sesamoid are retracted.
Differential Diagnosis
Chondral or osteochondral lesion of the hallux metatarsal head Hyperflexion injury (sand toe)6
Fracture of the proximal or distal phalanx of the hallux
Synovitis of the hallux MP joint
FIG 4 • Dorsiflexion stress lateral radiographs. A. Normal. Note the position of the sesamoids. B. Abnormal. Note the proximal migration of the sesamoid complex.
Nonoperative Management
Rest, ice, elevation, and nonsteroidal anti-inflammatories4
Immobilization with a boot or cast. A toe spica cast with the hallux in plantarflexion relieves tension on the injured plantar complex (FIG 6). Found to be very helpful with a diastased bipartite or fractured sesamoid.
Corticosteroid and anesthetic injections are avoided, especially in the athlete, to avoid rupture or further weakening of the capsular-ligamentous complex. These injections can mask unstable injuries that, if not addressed, can lead to hallux deformity and permanent loss of push-off strength.
Taping of the hallux to prevent excessive dorsiflexion
Inserts: off-the-shelf orthoses with an aluminum or carbon “turf toe” plate or a custom device that includes the
Morton extension to stiffen the first ray
Surgical Management
Operative treatment should be considered for large capsular avulsions with an unstable joint; diastasis of a bipartite sesamoid or a sesamoid fracture; retraction of the sesamoids (single or both), traumatic bunion, or progressive hallux valgus; a positive vertical Lachman test; and the presence
34
of a loose body or chondral injury. Progression of sesamoid diastasis or migration implies an unstable situation and one requiring surgery.
FIG 5 • Sagittal T2-weighted magnetic resonance (MR) image showing distal soft tissue defect and proximal position of the sesamoid.
FIG 6 • Plaster toe spica cast for conservative or postoperative care of a turf toe injury.
Serial examinations may be needed to document progressive varus-valgus or cock-up deformities, but ideally, early diagnosis and appropriate surgical repair of the injury are performed before these late sequelae develop.
Preoperative Planning
The degree and exact location of the injury are determined before surgery. MRI is a useful preoperative tool to ascertain the area of involvement but may exaggerate the true extent of the injury by revealing adjacent edema.
Positioning
Although the patient may be placed prone for direct access to the sesamoid complex, we routinely perform surgical repair of turf toe injuries with the patient in the supine position. It is ideal to have the operative extremity in slight external rotation because the approach is largely medial. If the patient's natural tendency is not external rotation, then a bump can be placed under the contralateral hip or the table can be tilted toward
the operative side.
Approach
Described approaches include a plantar-medial, medial and plantar-lateral, and the J configuration. Over the past 6 years, we have employed the combined medial and plantarlateral approach in patients suspected of having a complete plantar plate disruption. This approach allows for a more direct repair of the lateral structures without extensive skin and neurovascular dissection and retraction. Improved wound healing has been noted anecdotally (FIG 7).
FIG 7 • Intraoperative photograph of the medial (A) and plantar-lateral (B) incisions about the hallux MP joint used for exposure and repair of the plantar plate rupture.
Techniques
-
Incision
In this example, the surgeon has elected to use the J incision, which extends plantar medial and then
crosses plantarly along the flexor crease at the base of the phalanx (TECH FIG 1A). Take extreme care to identify and protect the plantar-medial digital nerve (TECH FIG 1B).
Make a longitudinal incision at the level of the abductor hallucis tendon (TECH FIG 1C). This allows both intra- and extraarticular examination of the plantar complex.
Fully define the extent of the injury (TECH FIG 1D).
Once the defect has been fully defined, distally mobilize the plantar plate and sesamoid complex.
In complete plantar ruptures, both sesamoids will be proximally retracted but will slide distally around the FHL tendon.
In chronic cases, this requires removal of fibrous scar tissue. Protect the FHL tendon while débriding the scar tissue.
Thoroughly examine the FHL tendon for longitudinal tears (TECH FIG 1E). In our experience, longitudinal tears of the FHL tendon are most commonly associated with a late presentation of turf toe injury in which the FHL is subjected to frequent greater than physiologic stretching as a result of the lack of plantar restraint of the MP joint.
35




TECH FIG 1 • A. Planned hallux incision. This hockey stick or J incision allows full exposure of the medial and plantar aspect of the MP joint. The tibial sesamoid is outlined. B. Intraoperative photograph showing identification and mobilization of the plantar-medial digital nerve. C. Longitudinal incision at the abductor hallucis and capsule allows visualization of the joint. D. After exposure, the extent of the injury must be defined. This involves identifying each element of the plantar complex to determine its integrity. E. The FHL tendon is inspected for longitudinal tears and repaired primarily if necessary. -
Repair of Distal Ruptures
Make a J incision or dual incision and identify the plantar-medial digital nerve where it crosses obliquely immediately deep to the planned incision. Once the nerve is identified, carefully retract it throughout the surgery but with intermittent relaxation to limit the risk of a traction neuralgia.
Make an incision at the level of the abductor hallucis tendon to allow examination of the MP joint.
Identify the components of the plantar complex, including FHB, FHL, sesamoids, intersesamoid ligament, transverse and oblique heads of adductor hallucis, and plantar capsule. This step may take some time, depending on the degree of disruption and the time from injury.
In acute cases, a rim of stout capsule typically remains on the base of the proximal phalanx. In the chronic situation, the sesamoid complex may appear redundant, often due to intervening scar tissue or elongated, weakened soft tissues at the site of injury (TECH FIG 2A). We recommend excising the redundant scar tissue sharply and advancing the proximal intact and healthy portion of the complex (TECH FIG 2B).
Distal ruptures require primary repair of remnants from lateral to medial, working around the FHL tendon (TECH FIG 2C). The hallux is held in approximately 15 degrees of plantarflexion as sutures are secured.
If the soft tissue is contracted and cannot be advanced to allow a primary repair, the FHB and abductor hallucis may be fractionally lengthened.
If soft tissues are inadequate, suture anchors or drill holes to the plantar aspect of the base of the proximal phalanx may be used (TECH FIG 2D,E). A transverse drill hole can also be created in the distal pole of the tibial sesamoid if there is an absence of soft tissue for repair on the proximal aspect.
Close the wound using standard techniques.
36



TECH FIG 2 • A. Turf toe variant with intact but redundant plantar complex. B. Redundant tissue is transversely excised and the remaining defect is repaired primarily. C. Repair proceeding from lateral to medial and working around the intact FHL tendon. D. In the absence of healthy tissue at the base of the proximal phalanx, suture anchors can be used to advance the plantar complex. E. Radiograph showing anchors in the proximal phalanx. -
Repair of Diastasis or Fracture of the Tibial Sesamoid
Make a J or dual incision, and protect the plantar-medial digital nerve. Retract the abductor superiorly. Identify the FHB with the associated tibial sesamoid.
Diastasis or fracture of the tibial sesamoid may occasionally be repaired with a small-diameter cannulated
screw. However, comminuted fractures, particularly those in chronic injuries, are, in our opinion, better treated with excision of both poles of the fractured sesamoid. Sharply excise each osseous fragment from the FHB tendon. Repair the resulting soft tissue defect primarily (TECH FIG 3A-C). A grasping tendinous stitch or simply a figure-8 stitch will usually suffice. Take care to avoid incorporating the FHL tendon in the repair.


TECH FIG 3 • Repair of injury involving a tibial sesamoid fracture. A. The fragments are excised. B. The remaining void is often significant. (continued)
37



TECH FIG 3 • (continued) C. An attempt is made to close the void primarily with approximation of adjacent tissue. D. Advancement of the abductor hallucis tendon into the defect after sesamoid excision. The rerouted abductor tendon now serves as a flexor tendon. E. The abductor tendon has been
advanced and secured.
We maintain a low threshold to transfer the abductor hallucis tendon to the resulting plantar defect (TECH FIG 3D,E). The distal aspect of the abductor hallucis tendon is easily elevated from its attachment on the proximal phalanx and rotated plantarly into the defect created by tibial sesamoid excision, where it is secured to the FHB tendon. This transfer affords not only an improved soft tissue closure of the defect but also, we believe, a dynamic component to strengthen the repair. When performed, we routinely release the adductor hallucis tendon from its attachment to the proximal phalanx. This is accomplished via a dorsal first web space incision and will remove a potential deforming force from the unopposed abductor hallucis tendon.
Perform routine closure. -
Repair of Both Fibular and Tibial Sesamoids
Use the standard J or dual incision and the aforementioned approach.
Isolate each fragment of both the tibial and fibular sesamoids. Reduce the corresponding fragments with a pointed reduction forceps.
Due to the small size of the sesamoids and because comminution is often present, internal fixation can be difficult, with resultant further fragmentation of the sesamoids.
Therefore, cerclage the proximal and distal poles of the sesamoids using nonabsorbable suture (TECH FIG 4). Then, repair the adjacent soft tissue.
If the articular surface of the sesamoid is damaged or demonstrates significant cystic change or fragmentation within the sesamoid body, excise it. The defect is managed with an abductor tendon transfer as described earlier.
If at all possible, avoid excising both sesamoids, as it may lead to a cock-up hallux toe deformity. If both sesamoids are painful and pathologic, it is best to stage the sesamoidectomies to lessen the risk for this complication.


TECH FIG 4 • Standard cerclage technique used to repair a fractured or diastased sesamoid. -
Repair of Traumatic Bunion
38
In essence, this repair is a modified McBride bunionectomy with distal soft tissue realignment. Release the adductor hallucis tendon via a longitudinal incision in the dorsum of the first web space (TECH FIG 5A). Transect it and elevate it off the lateral sesamoid.




TECH FIG 5 • A. Incision and release of adductor hallucis in a traumatic bunion. B. Standard J incision is performed followed by capsulotomy to expose the medial eminence. C. Intraoperative picture of a conservative medial eminence resection for a traumatic bunion. D. Primary capsular repair and advancement after medial eminence resection for a traumatic bunion.
Make a medial incision and perform a longitudinal or V capsulotomy (TECH FIG 5B). The incision may need to include a frank rupture of the capsule and medial collateral ligament.
Perform a conservative excision of the medial eminence (TECH FIG 5C). This assists with subsequent scarring of the medial soft tissue structures.
Identify the medial defects and repair them primarily as described earlier, followed by routine closure (TECH FIG 5D). -
Correction of Late Cock-Up Hallux Deformity
A sequela of untreated turf toe injury is the cock-up hallux deformity or hyperextension of the hallux MP joint and flexion at the hallux interphalangeal (IP) joint.
Perform a medial incision.
Often, the dorsal capsule and extensor hallucis longus and brevis are contracted and must be released. The extensors may need to be Z-lengthened.
Release the FHL as far distal as possible at its insertion into the distal phalanx. Make a dorsal to plantar drill hole in the proximal phalanx toward its base. Route the FHL tendon from plantar to dorsal through the osseous tunnel and secure it dorsally. A small interference screw may be used, or the tendon can simply be secured with a nonabsorbable suture. Tensioning is done in 5 to 10 degrees of plantarflexion with full excursion on the tendon.
39
Proper
diagnosis - Attention to history and physical examination is paramount. An MRI is ordered if
any concern for an unstable situation exists.
Progressive ▪ With injuries managed nonsurgically, serial examinations allow the physician to
deformity appreciate a tendency for progressive deformity. Surgical repair is recommended before the deformity leads to late sequelae such as traumatic bunion or cock-up deformity.
Plantar-
medial soft tissue defects - These defects, typically noted after medial sesamoid excision, may be augmented
with transfer of the abductor hallucis tendon into the defect.
Pearls and Pitfalls
Postoperative Care
Postoperative care is a delicate balance between soft tissue protection and early hallux MP range of motion, avoiding arthrofibrosis of the sesamoid-metatarsal articulation.
Gentle passive range of motion (plantarflexion) is initiated under supervision in 5 to 7 days after surgery. The patient remains non-weight bearing in a removable splint or boot with the hallux protected for 4 weeks. At 4 weeks, the patient is allowed to initiate active motion of the joint and ambulate in a boot.
Modified shoe wear consisting of a turf toe plate (aluminum or carbon fiber) is instituted at 2 months.
Return to contact activity occurs at 3 to 4 months, with protection from excessive dorsiflexion. Return to play depends on the player's position, level of discomfort, and healing potential.
Full recovery is expected to take 6 to 12 months. Shoe modifications are generally needed for at least 6 months after return to play. In general, this correlates to the presence of 50 to 60 degrees of painless passive range of motion of the hallux MP joint.
Outcomes
Clanton et al3 found that half of 20 athletes had persistent symptoms, including stiffness and pain, at 5-year follow-up.
Watson et al11 report that 17 of 19 college and professional athletes returned to full athletic activity with minimal residual discomfort after surgical repair of a turf toe injury.
Complications
As with any surgery, infection and wound problems are potential complications. Athletes may be at
increased risk if they attempt to initiate rehabilitation too early.
Transient neuritis of the plantar medial digital nerve at the level of the hallux MP joint is common due to retraction of the nerve during surgery. However, a transection and secondary neuroma may result in significant discomfort and difficulty with shoe wear and push-off.
Disruption of the repair may result with excessive dorsiflexion during the early rehabilitation process.
FIG 8 • Hallux claw toe after a missed turf toe injury.
Degeneration of the hallux MP joint (hallux rigidus) may occur despite appropriate treatment.
A missed or delayed diagnosis can lead to progressive hallux varus or valgus or cock-up deformity (FIG 8).
Scientific References
- 1. Anderson RB. Turf toe injuries of the hallux metatarsophalangeal joint. Tech Foot Ankle Surg 2002;1:102-111. [View Source / PubMed]
- 2. Bowers KD Jr, Martin RB. Turf-toe: a shoe-surface related football injury. Med Sci Sports 1976;8:81-83. [View Source / PubMed]
- 3. Clanton TO, Butler JE, Eggert A. Injuries to the metatarsophalangeal joints in athletes. Foot Ankle 1986;7:162-176. [View Source / PubMed]
- 4. Clanton TO, Ford JJ. Turf toe injury. Clin Sports Med 1994;13:731-741. [View Source / PubMed]
- 5. Coker TP, Arnold JA, Weber DL. Traumatic lesions of the metatarsophalangeal joint of the great toe in athletes. Am J Sports Med 1978;6:326-334. [View Source / PubMed]
- 6. Frey C, Andersen GD, Feder KS. Plantarflexion injury to the metatarsophalangeal joint (“sand toe”). Foot Ankle 1996;17:576-581. [View Source / PubMed]
- 7. Jones DC, Reiner MR. Turf toe. Foot Ankle Clin 1999;4:911-917. [View Source / PubMed]
- 8. McCormick JJ, Anderson RB. The great toe: failed turf toe, chronic turf toe, and complicated sesamoid injuries. Foot Ankle Clin 2009; 14:135-150. [View Source / PubMed]
- 9. Rodeo SA, O'Brien S, Warren RF, et al. Turf-toe: an analysis of metatarsophalangeal joint sprains in professional football players. Am J Sports Med 1990;18:280-285. [View Source / PubMed]
- 10. Rodeo SA, Warren RF, O'Brien SJ, et al. Diastasis of bipartite sesamoids of the first metatarsophalangeal joint. Foot Ankle 1993;14:425-434. [View Source / PubMed]
- 11. Watson T, Anderson R, Davis W. Periarticular injuries to the hallux metatarsophalangeal joint in athletes. Foot Ankle Clin 2000;5:687-713. [View Source / PubMed]
You Might Also Like