From Injury Cases to Sports Recovery: Medical Insights Revealed
CASE 6 During a recreational game of basketball, a 47-year-old man twists his …
Orthopedic Teaching Cases
CASE 6 During a recreational game of basketball, a 47-year-old man twists his …
CASE 5 A 24-year-old graduate student twists her knee while walking in high he…
CASE 4 An 11-year-old girl was transferred from an outside hospital for furthe…
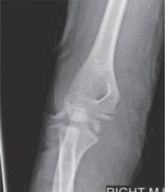
CASE 13 A 56-year-old homemaker fell down the steps of her basement injuring he…
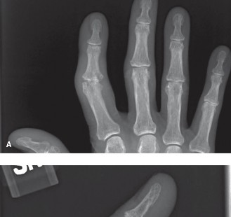
CASE 21 A 22-year-old patient presents after sustaining an injury to her finger…
CASE 10 You are called to the emergency room to evaluate a 13-year-old male com…
CASE 19 A 64-year-old, right-hand-dominant, Caucasian female presents to your o…
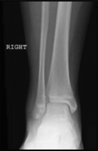
CASE 9 A 34-year-old female got into an altercation in a pub. During the cours…
CASE 47 The patient is a 74-year-old man involved in a motor vehicle collision …
CASE 26 A 32-year-old, male patient reports 4 days ago he was fishing in the wi…
CASE 8 A 7-year-old girl is transferred to the ER after suffering an injury pl…
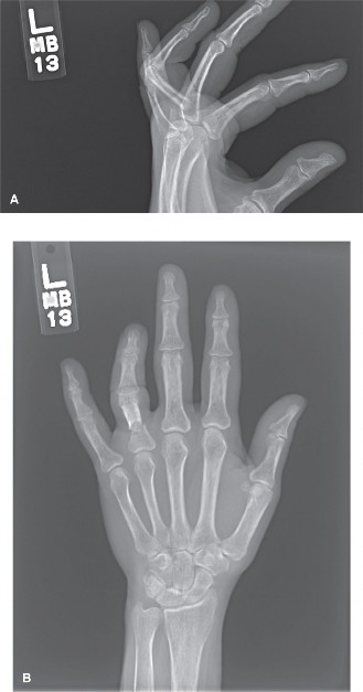
CASE 37 A 37-year-old, right-hand-dominant male is referred to the emergency de…