5 Pediatric Fracture Cases: Mastering Reduction and Casting
CASE 5 A 4-year-old girl fell from a playground structure, suffering the injur…
Orthopedic Teaching Cases
CASE 5 A 4-year-old girl fell from a playground structure, suffering the injur…
CASE 23 A 2-week-old girl, born to a G1P1 mother, is brought to you for evaluat…
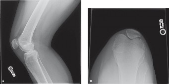
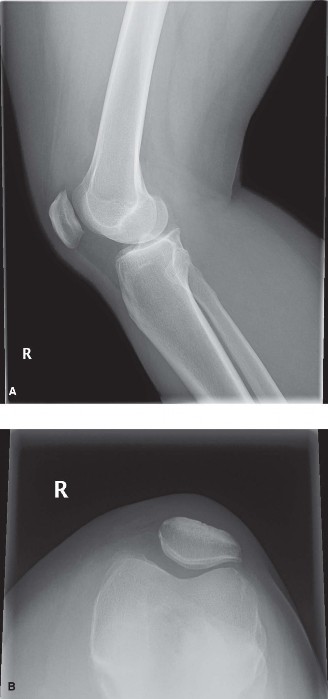
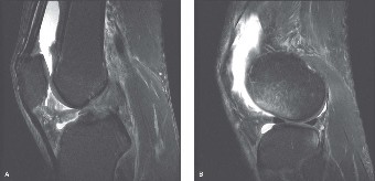
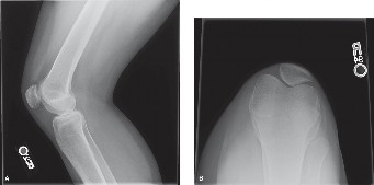
CASE 4 A 54-year-old skier injures his right knee on the last run of the day. …
CASE 33 A 64-year-old man presents with the complaint of inability to place his…
CASE 8 A 17-year-old male sustained an injury to his middle finger while catch…
CASE 25 A 42-year-old man presents to the hospital with pain and swelling of th…
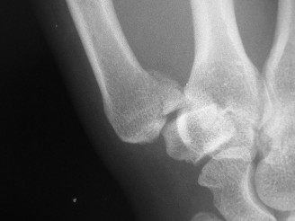
CASE 12 A 24-year-old, law student injured her left index finger during a volle…
CASE 5 A 30-year-old male fell while he was out for a run. He landed awkwardly…
CASE 2 An 18-year-old soccer player injures her knee during competition. She r…
CASE 1 A 22-year-old, female jogger presents complaining of right knee pain. She describes an insidious onset…
CASE 2 A 6-year-old boy fell from the monkey bars a few hours ago and had imme…
CASE 1 A 22-year-old, female jogger presents complaining of right knee pain. She describes an insidious onset…