Solve Shoulder & Elbow Cases: When a Patient Presents to Clinic
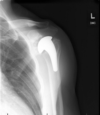
CASE 20 A 72-year-old, right-hand-dominant male with a history of type 2 diabet…
Orthopedic Teaching Cases
CASE 20 A 72-year-old, right-hand-dominant male with a history of type 2 diabet…
Wrist arthroscopy Preoperative planning Indications Assessment and treatment of radiocarpal and mid-carpal …
Surgery of the Thoracolumbar Spine Thoracic spine Lumbar spine 43 53 Viva questions 60 Daniel P Ahern, Joseph…
Diagnostic shoulder arthroscopy 85 Shoulder arthroplasty 108 Arthroscopic procedures 90 Viva questions 112 Op…
Pediatric Orthopedic Surgery Epiphysiodesis Developmental dysplasia of 443 Slipped upper femoral epiphysis:…
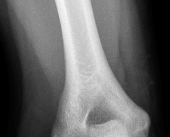
CASE 11 A 45-year-old man is brought to the trauma bay after falling from his r…
Surgery of the Hip Primary total hip arthroplasty 239 Revision total hip arthroplasty 255 Hip resurfaci…
Radial head replacement 113 Elbow aspiration/injection 152 Total elbow arthroplasty 123 Elbow arthroscopy…
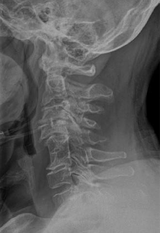
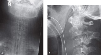
A 63-year-old male sustained a hyperextension injury to his neck while diving into a pool. Upon presentation,…
Primary total knee replacement 279 Distal femoral osteotomy 309 Revision total knee replacement 293 Pro…
CASE 40 A 16-year-old male baseball player presents to your office for evaluati…
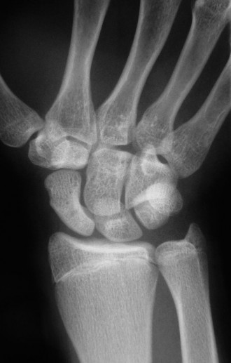
CASE 1 A 14-year-old patient presents with pain in the wrist after a fall. Examination reveals tenderness ove…