102 Degrees, High Heart Rate: Act Fast on Necrotizing Hand Infections
CASE 25 A 42-year-old man presents to the hospital with pain and swelling of th…
Orthopedic Teaching Cases
CASE 25 A 42-year-old man presents to the hospital with pain and swelling of th…
CASE 47 The patient is a 74-year-old man involved in a motor vehicle collision …
CASE 11 A 3-month-old boy is sent in to the ER by the pediatrician. Grandmother…
CASE 2 An 18-year-old soccer player injures her knee during competition. She r…
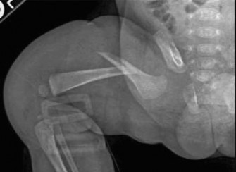
CASE 2 A 6-year-old boy fell from the monkey bars a few hours ago and had imme…
CASE 8 A 17-year-old male sustained an injury to his middle finger while catch…
CASE 6 During a recreational game of basketball, a 47-year-old man twists his …
CASE 19 A 14-year-old female soccer player presents with a 1 year history of an…
CASE 21 A 22-year-old patient presents after sustaining an injury to her finger…
CASE 15 A 54-year-old female comes to your office with a chief complaint of a p…
CASE 37 A 37-year-old, right-hand-dominant male is referred to the emergency de…
CASE 9 A 34-year-old female got into an altercation in a pub. During the cours…