Why Your Fingers Get Stuck: The Proximal Palmar Crease Connection
CASE 16 A 61-year-old, diabetic male presents with difficulty moving his domina…
Orthopedic Teaching Cases
CASE 16 A 61-year-old, diabetic male presents with difficulty moving his domina…
CASE 37 A 37-year-old, right-hand-dominant male is referred to the emergency de…
CASE 34 A patient sustains a laceration at the level of the middle phalanx of t…
CASE 48 The patient is a 47-year-old male who sustained a tablesaw injury to th…
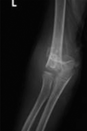
CASE 13 A 56-year-old homemaker fell down the steps of her basement injuring he…
CASE 11 A 3-month-old boy is sent in to the ER by the pediatrician. Grandmother…
CASE 1 An 8-year-old girl is brought to the ER by her mother after she fell from the monkey bars during reces…
A 24-year-old male sustained an injury to his right thumb while skiing. He was holding onto a ski pole when h…
CASE 8 A 7-year-old girl is transferred to the ER after suffering an injury pl…
CASE 1 A 28-year-old, right-hand-dominant male caught big air going off a jump while snowboarding for the fir…
CASE 46 The patient is an 18-year-old woman who sustained a laceration to the r…
CASE 11 A 26-year-old female was traveling with her fiancé. At a rest stop, as …