Solving Chronic Exertional Compartment Syndrome: A Case Study
CASE 31 A 17-year-old patient presents for evaluation. He reports that after ra…
Orthopedic Teaching Cases
CASE 31 A 17-year-old patient presents for evaluation. He reports that after ra…
CASE 44 The patient is a 31-year-old woman who sustained a laceration to the ra…
CASE 20 A 69-year-old female presents to office with pain in the right thumb fo…
CASE 8 A 17-year-old male sustained an injury to his middle finger while catch…
CASE 36 A 26-year-old, right-hand-dominant woman presents to the emergency depa…
CASE 12 A 24-year-old, law student injured her left index finger during a volle…
CASE 38 The patient is a 5-year-old boy who is referred into the emergency depa…
CASE 17 A 10-year-old female soccer player presents to the sports clinic with a…
CASE 50 The patient is a 51-year-old male construction worker who presents with…
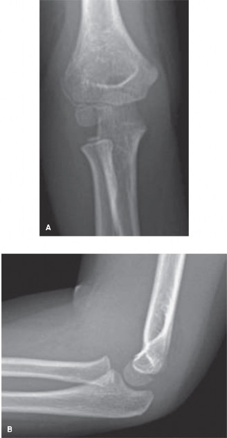
CASE 5 A 30-year-old male fell while he was out for a run. He landed awkwardly…
CASE 3 It is a busy night in the emergency room—you have just been consulted o…
CASE 49 The patient is a 36-year-old otherwise healthy male who presents with a…