Medical Myeloma Treatment: Uncover Key Prognosis & Survival Factors
A 61-year-old female with progressive functional right hip pain is brought to your office by her daughter. Sh…
Orthopedic Teaching Cases
A 61-year-old female with progressive functional right hip pain is brought to your office by her daughter. Sh…
CASE 35 A 28-year-old woman presents after flexor tendon repair in zone 2. Desp…
CASE 2 A 6-year-old boy fell from the monkey bars a few hours ago and had imme…
CASE 14 A 5-year-old boy has been transferred from an outside hospital to your …
CASE 16 A 12-year-old boy presents to your office 2 days after sustaining a non…
CASE 24 A 34-year-old man presents to the emergency department with pain in his…
CASE 44 The patient is a 31-year-old woman who sustained a laceration to the ra…
CASE 20 A 16-year-old, right-handed female presents to your office with complai…
CASE 18 You are performing preparticipation physicals for the local youth sport…
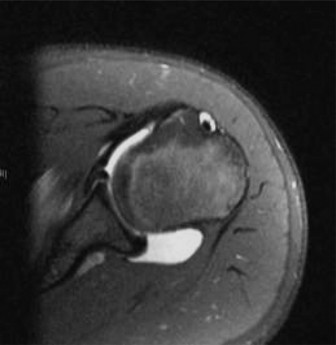
CASE 28 A 19-year-old male mechanic presents with a painless, fleshy mass protr…
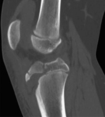
CASE 9 A 14-year-old boy is brought to the ER with complaints of right knee pa…
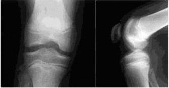
CASE 8 A 7-year-old girl is transferred to the ER after suffering an injury pl…