Ankle Arthritis Case: Easing Painful Plantar Flexion Hindfoot
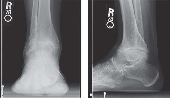
A 48-year-old female presents to your office with worsening right ankle pain. Twenty years ago she sustained …
Orthopedic Teaching Cases
A 48-year-old female presents to your office with worsening right ankle pain. Twenty years ago she sustained …
CASE 30 A 1-year-old male is brought to your clinic by his parents for evaluati…
A 45-year-old female with known metastatic breast cancer is referred to you by her oncologist. She has alread…
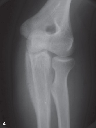
A 13-year-old male presents to your clinic with 2 to 3 months of progressive pain in the elbow, as well as sw…
A 45-year-old, right-hand-dominant, male plumber presents with elbow pain of insidious onset. He denies any i…
A 45-year-old woman presents to your office and notes that she has had a several years history of pain at the…
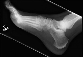
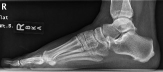
A 60-year-old male presents noting left foot pain of over a year’s duration. He was originally diagnosed with…
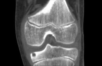
An athletic 24-year-old male is referred from his doctor’s office for an abnormal finding on radiographs of h…
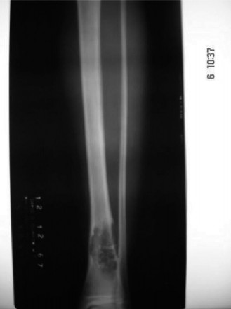
A 14-year-old female presents to your office complaining of pain in her lower leg. She reports progression of…
A 59-year-old, right-hand-dominant man presents to clinic complaining of right shoulder pain due to a worker’…
CASE 32 You are called to the emergency room to evaluate an 11-month-old, nonam…
An adolescent female complains of pain and swelling in her ankle. This is giving her deep pain which she can …