Diagnosing hindfoot pain: When it's not tibial tendon dysfunction
A 47-year old woman presents with 2 years of atraumatic hindfoot pain. She has noticed the gradual onset of p…
Orthopedic Teaching Cases
A 47-year old woman presents with 2 years of atraumatic hindfoot pain. She has noticed the gradual onset of p…
CASE 29 A 6-month-old baby is referred to your clinic for evaluation of her fee…
A 78-year-old male is referred to your office by his general surgeon. Six years ago, he underwent surgery to …
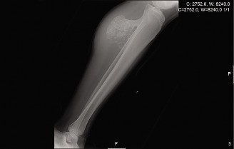
A 15-year-old female is diagnosed with Ewing sarcoma of the tibia. Which of the following is true regarding t…
A 45-year-old male is taken to the emergency room after sustaining a motor vehicle accident. An Orthopaedic c…
CASE 38 You are on-call in the emergency room and are paged to see three differ…
A 52-year-old female with a past medical history significant for long-term type 2 diabetes presents with a ri…
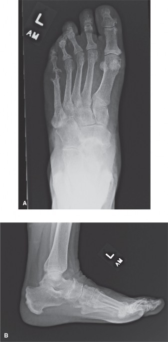
A 20-year-old female presents to your office with a complaint of leg pain and mechanical symptoms. She has re…
A 14-year-old male presents to your office with a chief complaint of swelling about the left knee and decreas…
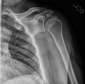
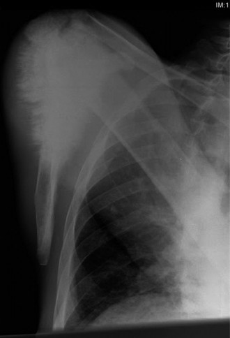
A 55-year-old, right-hand-dominant female presents with right shoulder pain for 6 months. She localizes the p…
A 44-year-old, right-hand-dominant male with well-controlled diabetes and hypertension presents to clinic wit…
A 72-year-old female presents with progressive bilateral hip and pelvic soreness as well as back pain and hea…