Distal Biceps Tendon Injury: Crucial Steps for Optimal Diagnosis & Care
A 45-year-old, male laborer presents with elbow pain after an injury at work. He was carrying a heavy object,…
Orthopedic Teaching Cases
A 45-year-old, male laborer presents with elbow pain after an injury at work. He was carrying a heavy object,…
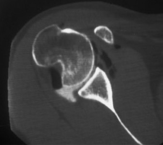
A 17-year-old, football player with a history of multiple, left shoulder dislocations and an attempted arthro…
CASE 35 A couple comes to you for counseling regarding their unborn child. They…
A 60-year-old female presents with a chief complaint of an intermittently painful mass on the medial border o…
A 33-year-old man jumped off a 6-ft ledge, injuring his right ankle. He presented to the emergency department…
CASE 33 A 3-year-old girl presents to your clinic with her mother. The patient’…
An 80-year-old female presents to your office with newly diagnosed lung cancer. She has multiple skeletal met…
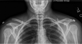
A 29-year-old, right-hand-dominant male presented to the Emergency Department with right shoulder pain after …
CASE 39 Dr. Coleen S. Sabatini A 12-year-old, premenarchal girl has been referr…
A 65-year-old, left-hand-dominant woman returns to clinic complaining of persistent left shoulder pain. She h…
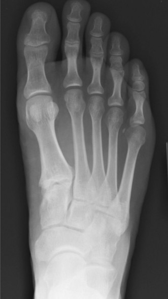
You are asked to evaluate a 40-year-old man with medial forefoot pain. The patient’s primary care provider (P…
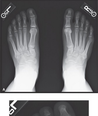
A 27-year-old, competitive triathlete sustained an injury to her left foot while trail running when she had a…