The Next Step in Diagnosis: Effective Oncology Cases Biopsy
A 49-year-old female with several vertebral compression fractures presents to your office with an MRI of the …
Orthopedic Teaching Cases
A 49-year-old female with several vertebral compression fractures presents to your office with an MRI of the …
A 59-year-old male who has not seen a physician in 10 years reports to your office for ambulatory dysfunction…
CASE 31 A 13-year-old girl presents to your office, having just moved to your a…
A 24-year-old male presents to your office with a complaint of progressive dull, aching pain in his neck. Rec…
A 55-year-old female with a history of rheumatoid arthritis diagnosed at age 40 presents to your clinic compl…
A 36-year-old female is referred to your office by her primary care physician. She has been complaining of pr…
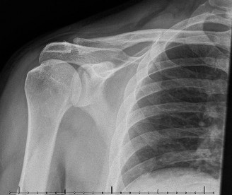
A 47-year-old, right-hand-dominant male presents to your clinic complaining of right shoulder weakness for th…
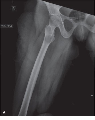
A 56-year-old male is referred to your office by his primary physician, with concern for metastatic disease. …
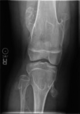
An 8-year-old male is brought in by his parents for “growing pains.” He has been limping and has difficulty k…
A 70-year-old, right-hand-dominant female presents to clinic complaining of 4 years of gradually worsening ch…
You are called by the emergency department to see a 50-year-old male who reported a wound on his leg yesterda…
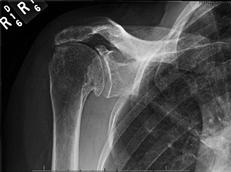
A 70-year-old, right-hand-dominant woman returns to clinic complaining of persistent, right shoulder pain. Sh…