Multidirectional Instability MDI: Spot & Treat Shoulder Instability
A 17-year-old gymnast presents to clinic with right shoulder pain. She denies any specific injury but reports…
Orthopedic Teaching Cases
A 17-year-old gymnast presents to clinic with right shoulder pain. She denies any specific injury but reports…
A 33-year-old male presents to your office with a slow-growing area of swelling that he has noticed about the…
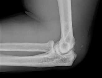
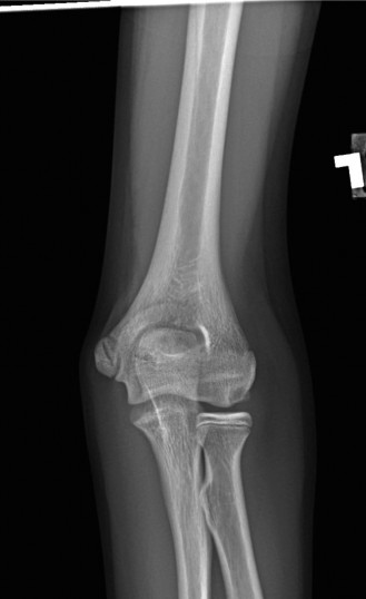
A 23-year-old, semi-professional football linebacker presents with left elbow pain after a game. He extended …
A 24-year-old, left-hand-dominant, businesswoman presents to clinic with 2 days of right shoulder pain. Two d…
A 78-year-old female with a history of rheumatoid arthritis for the past 20 years presents to the office for …
A 40-year-old male presents with complaint of pain and swelling at the right wrist for 3 months. He works as …
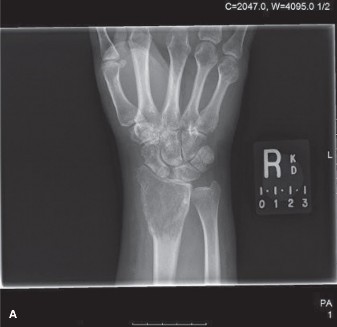
A 50-year-old otherwise healthy and active gentleman fell from a height of approximately 8 ft while rock clim…
A 28-year-old, male, left hand-dominant, factory worker, and avid weight lifter presents to clinic complainin…
A 14-year-old baseball pitcher presents to the office with left throwing elbow pain for the past two months w…
A 58-year-old woman comes to clinic reporting that her previous surgeon has performed two procedures on her f…
A 47 year old female with metastatic thyroid cancer has progressive left hip pain. X-rays are shown in Figure…
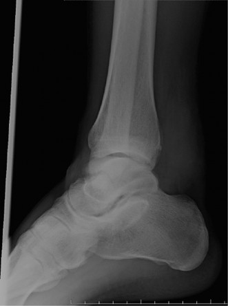
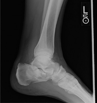
A 26-year-old man sustained an injury to his right ankle when he was caught in an avalanche while snowboardin…