Beat Achilles Pain: How Eccentric Calf Stretching Provides Relief.
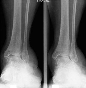
A 57-year-old female presents with an 8-month history of pain at the Achilles tendon insertion. She reports a…
Orthopedic Teaching Cases
A 57-year-old female presents with an 8-month history of pain at the Achilles tendon insertion. She reports a…
A 61-year-old female with several months of deep pain in the right shoulder is referred to you by her primary…
A 9-year-old, baseball pitcher presents to the office with 4 weeks of elbow pain of his throwing arm. He deni…
A 55-year-old, right-hand-dominant male presents to the office complaining of medial-sided, right elbow pain …
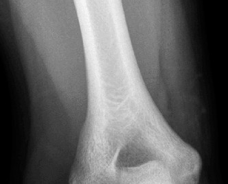
A 54-year-old male presented to the ED with left elbow pain after sustaining an injury in a low speed motor v…
A 38-year-old female is referred to your office by her primary physician for a mass on her neck. It is painle…
A 16-year-old male baseball player presents to your office for evaluation of his worsening right elbow pain. …
A 46-year-old male presents to you for a second opinion. He recently underwent surgery to remove a mass from …
A 14-year-old baseball pitcher presents to the office with left throwing elbow pain for the past two months w…
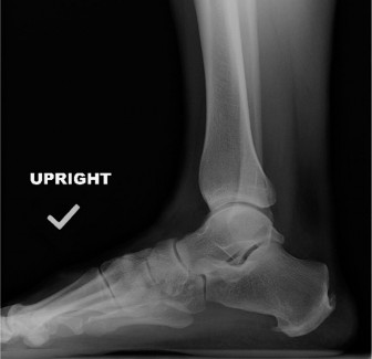
A 65-year-old female with a history of osteopenia presents complaining of hindfoot pain for the past 2 years.…
A left-hand-dominant, 66-year-old female is sent to your office for shoulder pain, possibly a rotator cuff te…
A 22-year-old female presents complaining of pain along the lateral border of her left foot. She has a known …