Don't Miss Synovial Chondromatosis in Orthopedics Oncology Cases
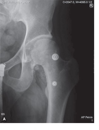
A 45-year-old male presents to your office with right hip pain. The pain worsens with activity and started in…
Orthopedic Teaching Cases
A 45-year-old male presents to your office with right hip pain. The pain worsens with activity and started in…
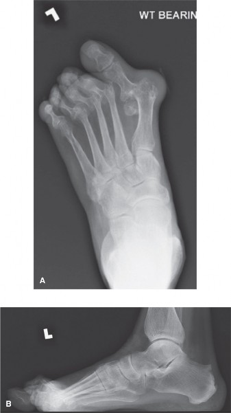
A 52-year-old female presents to you reporting left foot pain that has been present for the past 3 months. Sh…
A 24-year-old male presents to your office with a complaint of progressive dull, aching pain in his neck. Rec…
A 56-year-old male is referred to your office by his primary physician, with concern for metastatic disease. …
A 12-year-old patient with osteosarcoma of the proximal tibia undergoes image-guided biopsy for confirmation …
A 65-year-old, right-hand-dominant female presents to clinic for evaluation of her right chest. She used to w…
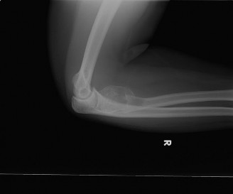
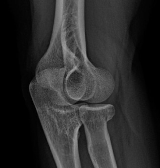
A 20-year-old female presents to the office complaining of pain and swelling in the elbow. She denies any rec…
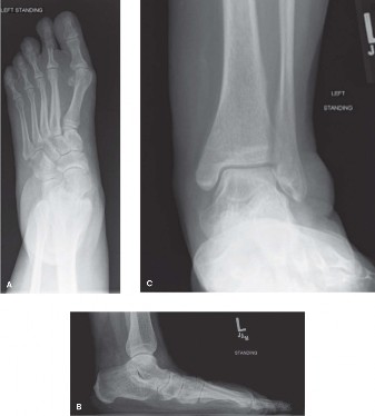
A 59-year-old female with a longstanding history of bilateral foot pain presents with a recurrent painful cal…
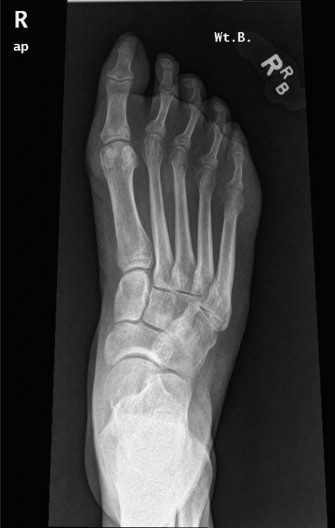
A 54-year-old male presents with right forefoot pain, swelling, and a sense of pressure. He reports that he w…
An 8-year-old male is brought in by his parents for “growing pains.” He has been limping and has difficulty k…
A 42-year-old female presents to the office for follow up after sustaining a minimally displaced radial head …
CASE 40 The ER requests your consultation on a 3-year-old boy who presented wit…