Decoding Shoulder Pain: Diagnosing Suprascapular Nerve Entrapment
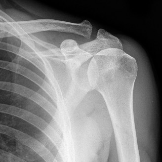
A 21-year-old, right-hand-dominant, male, college swimmer presents to clinic complaining of gradually worseni…
Orthopedic Teaching Cases
A 21-year-old, right-hand-dominant, male, college swimmer presents to clinic complaining of gradually worseni…
A 32-year-old, professional ballet dancer presents with right ankle pain. She reports that she has had severa…
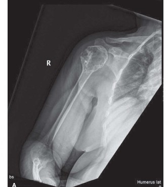
A 71-year-old male is brought to the ER after sustaining a motor vehicle crash. During routine trauma workup,…
A 31-year-old female presents to your office with increasing pain over the posterior medial ankle and stiffne…
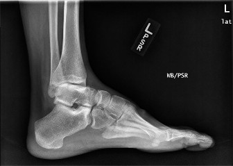
A 39-year-old female presents with increasing pain over the lateral aspect of her foot. She complains of diff…
An 81-year-old female is brought to your office by her son. She has been treated for bilateral knee osteoarth…
CASE 37 A 4-year-old male with cerebral palsy is brought to your clinic for eva…
A 22-year-old female presents complaining of pain along the lateral border of her left foot. She has a known …
A 46-year-old male presents to the clinic for evaluation regarding right elbow pain. He states he sustained a…
A 61-year-old female with several months of deep pain in the right shoulder is referred to you by her primary…
A 57-year-old, right-hand-dominant female presents with left shoulder pain and stiffness for the last 3 month…
A 9-year-old, baseball pitcher presents to the office with 4 weeks of elbow pain of his throwing arm. He deni…