Critical Effects of Bisphosphonates: Jaw & Bone Risks Explained
An 80-year-old female presents to your office with newly diagnosed lung cancer. She has multiple skeletal met…
Orthopedic Teaching Cases
An 80-year-old female presents to your office with newly diagnosed lung cancer. She has multiple skeletal met…
A 24-year-old, left-hand-dominant, businesswoman presents to clinic with 2 days of right shoulder pain. Two d…
A 15-year-old female is diagnosed with Ewing sarcoma of the tibia. Which of the following is true regarding t…
A 30-year-old female presents to your office with a chief complaint of episodic right knee pain, swelling, an…
CASE 26 A 2-year-old African-American girl presents with progressive bowing of …
A 47-year-old, right-hand-dominant male presents to your clinic complaining of right shoulder weakness for th…
CASE 36 A 12-year-old boy is brought to your clinic for evaluation after being …
A 52-year-old female is referred from her primary care physician’s office. She has had vague lower back pain …
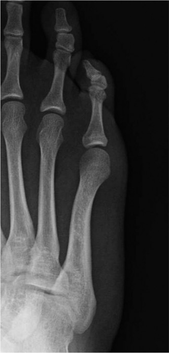
An otherwise healthy 19-year-old female presents with a 6-week history of progressive pain over the lateral a…
An 81-year-old female is brought to your office by her son. She has been treated for bilateral knee osteoarth…
A 14-year-old male presents to your office with a chief complaint of swelling about the left knee and decreas…
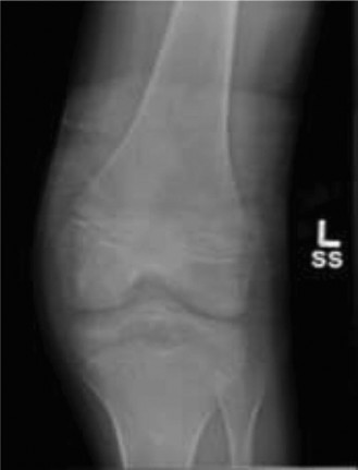
An 8-year-old male is brought in by his parents for “growing pains.” He has been limping and has difficulty k…