Ring Finger Fracture: Reduction & Percutaneous Pin Treatment Insights
CASE 13 A 56-year-old homemaker fell down the steps of her basement injuring he…
Orthopedic Teaching Cases
CASE 13 A 56-year-old homemaker fell down the steps of her basement injuring he…
CASE 4 An 11-year-old girl was transferred from an outside hospital for furthe…
CASE 26 A 32-year-old, male patient reports 4 days ago he was fishing in the wi…
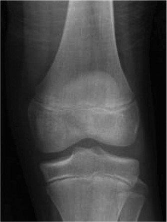
CASE 5 A 24-year-old graduate student twists her knee while walking in high he…
CASE 5 A 4-year-old girl fell from a playground structure, suffering the injur…
CASE 38 The patient is a 5-year-old boy who is referred into the emergency depa…
CASE 17 A 10-year-old female soccer player presents to the sports clinic with a…
CASE 49 The patient is a 36-year-old otherwise healthy male who presents with a…
CASE 16 A 61-year-old, diabetic male presents with difficulty moving his domina…
CASE 5 A 30-year-old male fell while he was out for a run. He landed awkwardly…
CASE 34 A patient sustains a laceration at the level of the middle phalanx of t…
CASE 48 The patient is a 47-year-old male who sustained a tablesaw injury to th…