Hallux Rigidus Oral Questions: Your Expert Answer Guide
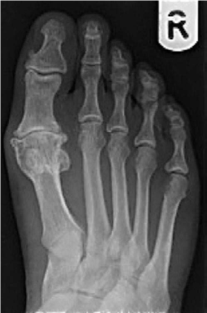
Foot and ankle structured oral questions7: Hallux rigidus EXAMINER : This 45-year-old male patient has presen…
Orthopedic Teaching Cases
Foot and ankle structured oral questions7: Hallux rigidus EXAMINER : This 45-year-old male patient has presen…
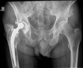
Structured Hip Oral Examination Question 2 EXAMINER : This is an anteroposterior (AP) radiograph of a 52-year…
Structured Oral Hip Examination Question 4 EXAMINER : These are the radiographs of a 78-year-old lady who has…
Structured Oral Hip Examination Question 3 EXAMINER : This is an anteroposterior (AP) radiograph of a 78-year…
Structured Oral Hip Examination Question 7 EXAMINER : This is a radiograph of a 68-year-old woman who has bee…
Hip structured oral questions Structured Hip oral examination question 1 EXAMINER : This is a radiograph of a…
Section 7: The trauma oral 23. Trauma oral topics 401 23. T rauma or al topics 403 Abayomi Animasha wun and P…
Structured Oral Hip Examination Question 6 EXAMINER : This is an anteroposterior (AP) radiograph of a 72year-…
Topics for the structured oral exam Ideally topics should be asked that cannot be assessed in a hands-on sett…
Practicalities of the oral exam The viva or structured oral examination consists of four 30-minute orals: tra…
Chapter Hip structured oral questions 2 All viva questions outlined here are examples of actual questions ask…
The FRCS (Tr & Orth) Oral Examination General guidance for the FRCS (Tr & Orth) The FRCS (Tr & Orth) exam set…