Surgical Dislocation of the Hip for Femoroacetabular Impingement: A Masterclass

Key Takeaway
Welcome, fellows, to an immersive masterclass on surgical hip dislocation for femoroacetabular impingement (FAI). We'll meticulously cover preoperative planning, patient positioning, and the intricate intraoperative steps, emphasizing crucial anatomy, precise instrument handling, and potential pitfalls. This comprehensive guide ensures you gain a granular understanding of the procedure from incision to closure, preparing you for successful FAI correction and superior patient care.
Femoroacetabular Impingement and Surgical Dislocation of the Hip
DEFINITION
1. Femoroacetabular impingement (FAI) is a pathologic condition in which structural abnormalities of the femoral head–neck junction or the acetabulum result in early degenerative changes in the nondysplastic hip.
2. FAI is one cause of osteoarthritis of the hip, particularly in young people.
3. Impingement of the femoral head upon the acetabular rim takes place during motion of the hip, particularly with flexion and internal rotation.
4. Currently, surgical dislocation for the correction of intra-articular pathology is the gold standard for the treatment of FAI.
ANATOMY
5. Treatment via surgical dislocation of the hip requires thorough knowledge of the course of the deep branch of the medial femoral circumflex artery (MFCA).
1. Any surgeon performing this surgery must be familiar with this specific vascular anatomy.
2. Failure to respect the deep branch of the MFCA will result in avascular necrosis of the femoral head.
6. After branching off from the deep femoral artery, the deep branch of the MFCA runs between the pectineus and psoas muscles laterally and follows the inferior border of the obturator externus muscle. It then reaches the trochanter just proximal to the quadratus femoris muscle, where it gives off a trochanteric branch. It then crosses the tendon of the obturator externus muscle posteriorly and continues its course anterior to the superior and inferior gemellus muscles and the obturator internus tendon.
7. The MFCA perforates the capsular fold at the level of the piriform muscle and continues as the lateral epiphyseal arteries to the dorsolateral femoral head, where it enters the epiph-ysis proximal to the former growth plate.
PATHOGENESIS
8. Depending on the site of the deformity, two mechanisms of impingement can be distinguished.
1. Cam FAI is caused by deformities of the femoral head (eg, pistol grip deformity, aspheric femoral head, slipped capital femoral epiphysis).
1. The aspherical head–neck junction is jammed into the acetabulum, leading to a labrocartilaginous separation and shearing of the acetabular cartilage from the subchondral bone (
FIG 1A
).
2. Cartilage damage can be extensive, with flaps or defects involving as much as 15 mm toward the center of the joint.
2. Pincer FAI is caused by local (eg, acetabular retroversion) or general (eg, coxa profunda, protrusio) acetabular overcoverage in the presence of a normal proximal femur, leading to a linear contact between the acetabular rim and
femoral neck that results in degenerative tears and ossification of the labrum.
3. Only a narrow strip of acetabular cartilage is involved along the acetabular rim (
FIG 1B
).
1. Isolated cam or pincer FAI is rare. In most cases, a combination of both types is present.
NATURAL HISTORY
2. The evidence increasingly indicates that FAI is a major cause of osteoarthrosis. Although the specific identification of FAI as a cause for early osteoarthrosis is new, earlier studies suggested that abnormal anatomic shapes of the femoral head and neck lead to osteoarthritis.
PATIENT HISTORY AND PHYSICAL FINDINGS
3. FAI usually presents in active young adults with slow onset of groin pain that often starts after a minor trauma.
1. During the initial stages of the disease, the pain is intermittent and may be exacerbated by excessive demand on the hip, such as athletic activities or after extensive walking.
1A 1B
FIG 1•
Schematic depictions of cam (
A
) and pincer (
B
) impingement.
A.
In cam impingement, the aspheric anterolateral head–neck junction is forced into the acetabulum, creating shear and stress injury to the acetabular cartilage along the anterosuperior rim.
B.
In pincer impingement, the head–neck junction is normal, but the acetabulum is deep. The labrum is squeezed between femoral neck and acetabular bone and eventually degenerates and ossifies. The femoral head is levered out posteroinferiorly, leading to a “contrecoup” lesion on the femoral head and acetabulum.
877
1. Often the pain is present after sitting for a prolonged period.
2. These symptoms often are thought to be of muscular origin and treated by physical therapy, including stretching.
1. The leading symptoms of FAI are groin pain with motion and limited internal rotation, although overall hip function is almost unaffected according to established scores.
2. Clinical examination of the hip usually is normal except for a positive impingement test and a limitation of internal rotation of the flexed hip.
IMAGING AND OTHER DIAGNOSTIC STUDIES
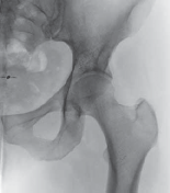
3. Plain radiographs, including anteroposterior (AP) views of the pelvis and a lateral cross-table view, should be obtained.
4. Acetabular orientation (eg, anteversion, retroversion) and the depth of the acetabulum (eg, coxa profunda, protrusio) are assessed on the AP pelvic view (
FIG 2A
).
5. For proper assessment of the acetabular shape and version, the central x-ray beam must be centered about 2 cm above the symphysis pubis.
1. Any rotation to the right or left must be avoided, because this can lead to over- or underestimation of acetabular retroversion.
6. The lateral cross-table view shows the anterior contour of the head–neck junction with offset deficiencies or anterior bumps (
FIG 2B
).
1. A Lauenstein or Dunn view is an acceptable alternative to a lateral cross-table view.
7. MR arthrography is highly sensitive for the detection of labral tears and less sensitive for cartilage damage.
1. Radial reconstructions along the axis of the femoral neck are important for verifying anterolateral offset problems.
2. Radial reconstructions in axes other than along the femoral neck are useless.
DIFFERENTIAL DIAGNOSIS
8. Adductor strains
9. Iliopsoas bursitis
10. Osteitis pubis
11. Sports hernias
12. Nerve compression (eg, lateral femoral cutaneous nerve, il-ioinguinal nerve, obturator nerve)
13. Referred lumbosacral pain
14. Intra-abdominal disorders (eg, aneurysm, appendicitis, diverticulosis)
15. Genitourinary disorders (eg, urinary tract infection, nephrolithiasis, scrotal and testicular abnormalities, gyneco-logic abnormalities)
NONOPERATIVE MANAGEMENT
16. Conservative treatment may include rest until symptoms subside together with the administration of nonsteroidal inflammatory drugs.
17. Activities that lead to groin pain should be discontinued, and modification of activities is necessary, avoiding flexion and internal rotation.
18. Physical therapy, with the aim of improving range of motion, is contraindicated; it most often leads to an increase of symptoms and occasionally may accelerate joint degeneration.
19. Muscle-strengthening exercises can be beneficial.
SURGICAL MANAGEMENT Preoperative Planning
20. All imaging studies are reviewed.
21. On the standardized AP view of the pelvis, the acetabulum is scrutinized for global (ie, coxa profunda, protrusio) or localized (ie, retroversion) overcoverage, rim fractures, labral ossi-fications, and osteophytes.
22. Acetabular coverage is assessed. Measuring the preoperative lateral center edge angle (LCE) and drawing the lowest acceptable LCE (usually 25 degrees) makes it possible to determine the amount of bone (in millimeters) that can be resected from the lateral acetabular rim.
23. The femoral side is observed for lateral asphericity (ie, pistol grip deformity), coxa vara or valga, and osteophytes.
24. The lateral cross-table view is assessed for the presence of an anterior offset deficiency (alpha-angle) or a bump.
25. The MR arthrograph is reviewed for the presence and location of labral and cartilage damage, and the exact location and size of the asphericity or bump are determined on the radial reconstruction in the axis of the femoral neck.
---
A B FIG 2•A.
Standardized AP pelvic view, showing bilateral acetabular retroversion. On the left hip the anterior (
dotted line
) and the posterior (
full line
) are outlined and form a figure-8 sign.
B.
On the lateral cross-table view, however, an important anterior bump becomes visible.
FIG 3 • Positioning of the patient. Positioning 1. The patient is positioned in the lateral decubitus position. Correct lateral positioning aids in intraoperative assessment of the acetabular version (FIG 3).
2. The patient is stabilized with three or four side-supports. The posterior support is placed against the sacrum, and the anterior support is slightly cephalad to the pubic symphysis.
3. The lower leg is placed in a tunnel bolster to avoid pressure sores and to provide a flat bearing for the upper mobile leg.
4. Disinfection includes the entire leg and is extended up to the lowest rib.
1. The leg is draped mobile, starting from the iliac crest and ending at the mid-thigh.
2. Both the anterior superior iliac spine and the posterior superior iliac spine should be freely palpable.
5. A sterile bag is placed anteriorly at the level of the knee for later positioning of the leg during dislocation of the hip.
Approach
6. Kocher-Langenbeck or Gibson approach with osteotomy of the greater trochanter
--- SURGICAL DISLOCATION OF THE HIP Incision and Dissection (Gibson Approach) 1. A straight skin incision is made, centered over the greater trochanter and running through the anterior third.
1. The length of the incision is about 20 cm, depending on the patient’s size and body mass index.
2. The subcutaneous tissue is cut, using careful hemosta-sis, down to the iliotibial band and the fascia over the gluteus maximus muscle.
2. The anterior border of the gluteus maximus muscle is identified, marked by perforating branches of the superior gluteal artery that run within a thin fascia between the gluteus medius and maximus muscles and perforate the fascia lata overlying the gluteus maximus and medius.
3. Because the blood vessels are accompanied by branches of the inferior gluteal nerve for the anterior portion of the gluteus maximus, the fascia is kept with the gluteus maximus to protect these structures.
4. Proximally, the gluteus maximus muscle is detached from the gluteus medius almost up to the iliac crest, but the skin incision does not necessarily extend so far proximally.
1. Distal to the greater trochanter, the fascia is split in line with the femur.
2. The space between the gluteus medius and maximus muscles is opened, and the posterior border of the gluteus medius is visualized.
5. Alternatively, the fibers of the gluteus maximus muscle can be split, as in a Kocher-Langenbeck approach. In this case, the skin incision has to be matched.
6. The gliding tissue of the greater trochanter, including the bursa, is incised at the posterior border of the greater trochanter and is then reflected anteriorly, allowing visualization of the vastus lateralis ridge (
TECH FIG 1
).
1. At this point, the trochanteric branch of the MFCA can be seen and coagulated before the trochanteric flip osteotomy is performed.
7. The hip is rotated internally (20 to 30 degrees), and the posterior borders of the gluteus medius muscle and the greater trochanter are identified.
TECHNIQUES TECH FIG 1 • Right hip. The posterior border of the gluteus minimus muscle and the greater trochanter is prepared. The trochanteric branch of the MFCA is visible. Trochanteric Osteotomy 26. Using a thin, oscillating saw blade, the osteotomy starts at the posterosuperior edge of the greater trochanter, about 5 mm anterior to the most posterior insertion of the gluteus medius muscle onto the tip of the trochanter, and runs distally toward the posterior border of the vastus lateralis muscle, ie, the vastus lateralis ridge (TECH FIG 2A,B).
1. The osteotomy should stop at the anterior cortex.
2. The fragment is levered with an osteotome, and a controlled fracture is obtained, leaving an anterior ridge, which increases stability of the trochanter after fixation.
3. The correct inclination of the osteotomy is parallel to the leg. The fragment is about 15 mm thick.
27. Alternatively, a stepcut osteotomy can be performed (
TECH FIG 2C
).
1. Using a thin, narrow, oscillating saw, the osteotomy starts proximally as already described, but stops at the midpoint between the tip of the greater trochanter and the vastus lateralis ridge.
2. A second osteotomy is then performed, starting 3 to 4 mm posterior to the end of the proximal cut, aiming at the posterior border of the vastus lateralis muscle.
3. The bone bridge between the two saw cuts is os-teotomized using a 5-mm osteotome.
4. A controlled fracture of the anterior cortex is obtained as described earlier in the chapter.
TECHNIQUES
Gluteus medius
Trochanteric branch of medial circumflex femoral artery
Vastus lateralis
Quadratus
B
femoris
Piriformis
Superior
A gemellus
Obturator internus
Inferior gemellus
C
TECH FIG 2 • A. Schematic showing the orientation of the osteotomy of the greater trochanter. Proximally, the osteotomy exits just anterior to most posterior fibers of the gluteus medius muscle. The course of the deep branch of the MFCA and its trochanteric branch is shown. B. Intraoperative view of the right hip. Proximally, the osteotomy exits just anterior to most posterior fibers of the gluteus medius. Distally, the vastus lateralis is mobilized from the femur. C. Intraoperative view of a step cut in a right hip. The piriformis tendon is visible posterior and cranially.
Exposure
1. A small Hohmann retractor is placed over the anterior edge of the stable trochanter.
1. The remaining fibers of the gluteus medius and vastus lateralis muscles are released from the stable trochanter proximally and from the femur distally.
2. Anterior to the posterosuperior tip of the trochanter, a fat pad becomes visible.
1. After it is incised, the piriformis tendon and its insertion onto the stable trochanter can be seen.
2. Occasionally, fibers of the piriformis tendon remain attached to the trochanteric fragment and must be cut to allow further mobilization of the trochanter.
3. The leg is now flexed and externally rotated, allowing more anterior retraction of the trochanter.
4. The vastus lateralis and the vastus intermedius are lifted off the lateral and anterior aspects of the proximal femur.
5. The gluteus medius muscle is gently retracted in an anterosuperior direction, providing exposure of the piriformis and gluteus minimus muscles.
1. Note that the sciatic nerve crosses underneath the piriformis and avoid injuring it.
2. However, variations of the course of the sciatic nerve with respect to the piriformis muscle are common.
6. The interval between the piriform and gluteus minimus muscles is developed.
1. Care must be taken to remain proximal to the piriform tendon to avoid damaging the deep branch of the MFCA.
7. The gluteus minimus is sharply dissected from the underlying capsule and is retracted anteriorly. Anteriorly, the tendinous insertion into the joint capsule must be divided.
1. Now the posterior, superior, and, finally, the anterior joint capsule are exposed (
TECH FIG 3A
).
5. The insertions of the short external rotator muscles and the piriformis muscle are left intact to protect the deep branch of the MFCA.
28. A Z-shaped capsulotomy for the right hip and an inverse Z-shaped capsulotomy for the left hip are performed (
TECH FIG 3B
), taking care not to injure labrum and cartilage.
1. The longitudinal limb of the capsulotomy is performed parallel to the axis of the femoral neck, starting at the anterosuperior edge of the stable trochanter. Medially, the capsulotomy is in line with the anterior intertrochanteric line, leaving a cuff of capsular tissue for later reattachment, and extends down toward the lesser trochanter, but stops anterior to it to avoid injury to the MFCA, which runs posterosuperior to the lesser trochanter.
2. The proximal transverse limb of the incision is performed by incising the capsule along the superior acetabular rim until the piriform muscle is reached.
1. These steps keep the limb away from the capsular perforation of the MFCA.
29. The femoral head is dislocated anteriorly to allow inspection of the acetabulum.
1. Flexion and external rotation are used to place the leg in the sterile side bag (
TECH FIG 3C,D
).
2. With traction on a bone hook around the calcar, the femoral head is dislocated, and curved scissors are used to cut the ligamentum capitis femoris.
3. External rotation aids in opening up the anterior joint space and tensioning the ligament for easier trans-section.
30. Lowering the knee lets the femoral head rise automatically out of the surgical site, allowing its full inspection.
1. Two blunt Hohmann retractors are placed around the neck (
TECH FIG 3E
).
31. To view the acetabulum, the knee is brought higher than the pelvis, and a gentle axial push allows the head to
Proximal fragment
Vastus lateralis
Gluteus medius
Capsule
Piriformis
TECHNIQUES A B
Sterile plastic bag
Tunnel cushion
C D
---
E F
TECH FIG 3 • A. The trochanteric fragment is mobilized anteriorly. The joint capsule is prepared. The insertion of the piriformis tendon onto the trochanter is intact. B. Schematic of the capsulotomy. C. By flexion and external rotation, the leg is placed in the anterior side bag. This maneuver allows anterior dislocation of the hip. D. Overview across the acetabulum after dislocation of the hip. E. Dislocated femoral head. For better visualization, two blunt Hohmann retractors are placed around the femoral neck. The anterior asphericity and the fibrillated cartilage in the area of impingement are visible. F. Intraoperative view of a left acetabulum. A labral ganglion extending into the soft tissues is visible at the anterosuperior acetabular rim, and the anterosuperior acetabular cartilage flap is seen. come posteriorly, creating enough space to visualize the entire acetabulum.
1. Three retractors are inserted.
1. One double-angled Hohmann retractor is placed over the anterior rim of the acetabulum between labrum and capsule.
2. A second straight Hohmann retractor (8- or 16-mm) is placed on the anterosuperior rim, close to the anterior inferior iliac spine.
3. An easy rider or cobra retractor is placed with the tip into the teardrop, retracting the femoral neck posteroinferiorly to gain further access to the posterior and inferior parts of the acetabulum.
1. Now, a full view of the acetabulum is obtained (
TECH
### FIG 3F). INTRA-ARTICULAR SURGERY FOR FEMOROACETABULAR IMPINGEMENT Site Assessment 2. Before the hip is dislocated, the presence and amount of effusion and synovitis are noted.
1. The head–neck junction is observed for the presence of a nonspherical extension (
TECH FIG 4
).
3. The site of femoroacetabular impingement is evaluated by flexion–internal rotation movements.
32. The femoral head is dislocated anteriorly, making it possible to fully evaluate the femoral head–neck junction as well as the acetabulum.
TECHNIQUES TECH FIG 4 • Inspection of the femoral head in situ. The anterior asphericity can be seen. Dynamic inspection with flexion and internal rotation shows the area of impingement. 1. Acetabular version is assessed and compared with the preoperative radiographs.
2. With a blunt probe, the integrity of the labrum and the articular cartilage is determined, and the quality and quantity of any damage or injury is documented.
Acetabular Rim Trimming and Labral Refixation
33. If there is acetabular retroversion, resection of the excessive anterior rim is performed.
1. The labrum is sharply detached in a bucket-handle shape and preserved for later refixation (
TECH FIG 5A–C
). In most instances, it can be detached at its base
---
A B
---
C
Bone anchors
F D E
Bone anchor
Repaired labrum
G
Acetabulum TECH FIG 5 • A,B. Labral detachment is undertaken in a case of acetabular retroversion. C. Intraoperative view in a left hip, where the degenerate labrum has been detached from anteroinferiorly to superiorly. D,E. The acetabular rim is resected. F. Intraoperative view. G. Labral refixation using a bone anchor. on the acetabular rim, and the degenerated labral base and the osseous overcoverage are resected.
1. The amount of acetabular rim resection is determined by the magnitude of the damage to the acetabular cartilage and the degree of overcoverage.
2. Resection should not be too excessive, to avoid instability of the hip.
3. Resection of the excessive acetabular rim, including the area with damaged cartilage, is performed using a curved 10-mm osteotome (
TECH FIG 5D–F
).
4. If a zone of cartilage damage persists, microfracturing is performed.
2. Most acetabular rim lesions are located anterosuperiorly, close to the anterior inferior iliac spine.
1. Two to four bone anchors are required to reattach the labrum.
1. Titanium anchors are smaller and fit better to the thin anterior rim.
2. Positioning of the anchors is performed under direct vision, about 2 mm from the bone–cartilage interface.
3. In the case of general overcoverage (eg, coxa profunda, protrusio), circumferential detachment of the labrum and resection of the acetabular rim can be necessary.
1. In these cases, up to eight bone anchors may be necessary.
2. Nonabsorbable sutures are used to avoid potential re-sorption-induced inflammatory reactions.
1. Knots are tied on the outer (capsular) surface, with the suture being passed through the base of the labrum (
TECH FIG 5G
).
Further Femoral Preparation
4. After acetabular rim trimming and labral refixation, the acetabulum is irrigated carefully to remove all bony and fibrous debris, and the retractors are removed to proceed with femoral preparation.
5. The cartilage of the exposed femoral head is constantly irrigated.
6. The nonspherical portion of the femoral head is assessed using transparent spherical templates (
TECH FIG 6A
).
1. Usually, the nonspherical part of the head–neck junction is located anterolaterally. The transition from
the aspherical to the nonaspherical part usually is characterized by a reddish appearance of the carti-laginous surface.
TECHNIQUES
34. Excess bone is removed, and a smooth femoral neck waist is created (
TECH FIG 6B,C
) using small curved osteotomes.
1. Excessive bone removal during the offset procedure should be avoided, although a resection of less than 30% of the neck diameter does not weaken the femoral neck.
2. An excessive resection can compromise the sealing function of the labrum.
35. Anterior and anterolateral osteochondroplasty are relatively safe, because most terminal branches of the MFCA enter the femoral head through vascular foramina at the lateral and posterolateral head-neck junction.
1. Protecting these vessels is essential for preservation of the blood supply to the femoral head.
2. If the nonspherical portion is very lateral and posterolateral, the osteotome is advanced carefully into the cartilage or bone, aiming toward the expected entry point of the lateral retinacular arteries.
1. Before reaching that point, the osteotome is withdrawn, and the remaining bone bridge is broken off.
3. Using a knife, the bony fragment is detached subpe-riostally from the inside out.
4. In this way, even very lateral and posterolateral offset alterations can be removed.
36. Perfusion of the femoral head is checked by observation of the bleeding coming from the foveolar artery or the resection surface, but laser Doppler flowmetry also may be used.
37. The hip is reduced by manual traction and internal rotation on the flexed knee.
1. Sliding of the femoral head over the area of labral refixation should be avoided, because this could avulse the sutured labrum.
2. With the head reduced, range of motion is reevalu-ated, and the hip is checked to determine whether flexion and internal rotation still leads to a femoroacetabular conflict.
Cartilage
---
A
---
B
TECH FIG 6 • A. The sphericity of the femoral head is checked using a spherical template. When the end of the template reaches the aspheric part, or bump, it is lifted off from the cartilage. B. Femoral osteochondroplasty. C. Intraoperative view in a left hip. The lateral retinacular arteries enter the femoral head just posterior to the posterior end of the C osteochondroplasty. In this case the offset deficiency is mostly anterior.
---
TECHNIQUES CLOSURE
1. A running suture or single stitches can be used to close the capsule.
1. It is important to avoid any tension, because this may stretch the retinaculum and adversely influence perfusion of the femoral head.
2. The trochanteric fragment is anatomically reduced and fixed with two or three 3.5-mm cortical screws (
TECH FIG 7
).
1. Screw heads are countersunk to avoid irritation of the fascia lata.
38. Thereafter, the various soft tissue layers are closed by running or single-stitch sutures.
39. Drains rarely are used, because there is almost no dead space left behind where drainage could be advantageous.
40. In women, meticulous fascial closure and subcutaneous tissue adaptation is performed, to prevent saddlebag deformity. TECH FIG 7 • A. Preoperative radiograph in a patient with coxa profunda. B. Postoperative view of the same patient after circumferential detachment of the labrum and trimming of the acetabulum. The labrum is refixated with eight bone anchors. The trochanter is
A B reattached with two 3.5-mm screws.
#### PEARLS AND PITFALLS
Blood supply to femoral head ■ A thorough knowledge of the blood supply in the adult hip is mandatory to allow safe execution of surgical dislocation of the hip.
1. The MFCA, the primary source of blood to the adult femoral head, arises from the deep femoral artery. The MFCA courses posteriorly between the psoas and pectineus muscles before approaching the posterior aspect of the proximal femur, running along the inferior border of the obturator externus muscle and just proximal to the quadratus femoris.
2. A constant trochanteric branch separates at the level of the external obturator tendon and curves anteriorly over the greater trochanter. This vessel can be used to locate the deep branch of the MFCA, the superior border of the quadratus femoris, and the tendon of the obturator externus. The deep branch of the MFCA crosses the tendon of the obturator externus posteriorly and continues anterior to the conjoined tendon, which consists of the superior and inferior gemellus and the obturator internus tendon. Its course explains why the short external rotators must be protected. It perforates the capsule at the superior margin of the superior gemellus tendon and divides into several terminal branches, the so-called “retinacular” vessels.
3. Almost 80% of all foramina are located at the posterosuperior head–neck junction. A mobile wad of loose connective and synovial tissue, the retinaculum, covers these vessels. During dislocation of the femoral head, the external rotators, especially the obturator externus, protect the MFCA from stretching or rupture. If the capsulotomy is performed strictly anterior, damage to the retinaculum can be avoided.
Nerve injury ■ The sciatic nerve runs in close proximity to the piriformis muscle and is at risk when the cap-
sular exposure is erroneously performed distal to the piriformis muscle. This is even more dangerous in the rare case of a double-branched sciatic nerve that encloses the piriformis. Under such circumstances, the insertion of the piriformis tendon at the greater trochanter should be released to avoid stretching of the branches during dislocation.
4. In patients who have had previous hip surgery, the sciatic nerve may be entrapped within scar tissue. This again places the nerve at higher risk for traction injury during dislocation. In such a condition the nerve is preferably identified and released from scar tissue before continuing with the procedure.
Approaches
Trochanteric osteotomy
Capsulotomy
Acetabular correction
Femoral osteochondroplasty
1. The straight lateral incision is preferred in obese or female patients to avoid development of a saddlebag deformity. A longer incision may facilitate surgical exposure of the hip, helps to protect the muscle fibers, and allows for easy dislocation of the femoral head with unlimited view.
2. The Kocher-Langenbeck approach has one advantage over the Gibson approach: it allows better inspection of the posterior aspect of the femoral head and neck, especially in obese patients.
3. Aiming for short incisions might be dangerous, because they may cause soft tissue damage to the skin and musculature due to stretching.
4. The risk of avascular necrosis of the femoral head is high if the osteotomy is too medial and extends into the base of the neck. Therefore, the posterosuperior edge of the greater trochanter should be identified before the trochanteric osteotomy is performed, and it is of paramount importance that the osteotomy exit anterior to the posterosuperior edge of the greater trochanter.
5. To reduce the risk of iatrogenic lesions of the femoral head cartilage or acetabular labrum, the leg should be brought into flexion and external rotation during capsulotomy.
6. After a short incision near the base of the anterior neck, the remaining cuts should be performed with an inside-out technique. The inferomedial incision of the capsule must be stopped anterior to the lesser trochanter to avoid injury to the origin of the MFCA.
7. The surgeon must avoid excessive resection of the acetabular rim, because this may lead to undercoverage of the femoral head, which can result in an instability of the femoral head.
8. The safe zone to perform osteochondroplasty is anterior and anterolateral. If the resection must be extended more laterally, it is necessary to stay proximal to the retinacular vessels to avoid avascular necrosis of the femoral head.
POSTOPERATIVE CARE
1. Postoperative rehabilitation includes touch-down weight bearing for 6 weeks until solid union of the trochanteric osteotomy is achieved.
2. During the same period, the patient receives low-molecular-weight heparin to prevent deep venous thrombosis.
3. Flexion of more than 90 degrees and active abduction or flexion of the hip are restricted to allow proper healing of the trochanteric osteotomy.
4. Continuous passive motion (CPM) with flexion allowed to 90 degrees is started the day after surgery to prevent articular adhesions between the femoral osteochondroplasty and the capsule.
1. Prolonged use of CPM depends on whether or not microfracturing for acetabular cartilage damage was necessary.
2. In such a case, CPM may be necessary for 6 to 8 weeks.
OUTCOMES
5. Appropriate patient selection is the key for a good result.
1. Hips with osteoarthrosis higher than grade I on the Tönnis classification have a high risk of an unsatisfactory to poor result.
6. In a first study we reported good to excellent outcomes in 75% of patients.
1. In 5 patients (25%), conversion to total hip replacement was necessary, because four of those hips had advanced stage osteoarthritis or large chondral defects on the femoral head.
7. In a clinical survey including 277 patients, an overall improvement was achieved in 70% of the patients.
1. Statistical analysis revealed good outcome in hips without radiographically visible degenerative changes and good preoperative hip function.
COMPLICATIONS
1. Ectopic ossification
2. Non-union of the greater trochanter
3. Infection
4. Deep vein thrombosis
5. Ischial nerve palsy (anatomical variants, previous surgery) **
Scientific References
-
**
- 1. Beck M, Kalhor M, Leunig M, et al. Hip morphology influences the pattern of damage to the acetabular cartilage: femoroacetabular impingement as a cause of early osteoarthritis of the hip. J Bone Joint Surg Br 2005;87:1012–1018. [View Source / PubMed]
- 2. Beck M, Leunig M, Parvizi J, et al. Anterior femoro-acetabular impingement: Midterm results of surgical treatment. Clin Orthop Relat Res 2004;418:67–73. [View Source / PubMed]
- 3. Espinosa N, Rothenfluh DA, Beck M, et al. Treatment of femoro-ac-etabular impingement: preliminary results of labral refixation. J Bone Joint Surg Am 2006;88A:925–935. [View Source / PubMed]
- 4. Ganz R, Gill T, Gautier E, et al. Surgical dislocation of the adult hip: a technique with full access to the femoral head and acetabulum without the risk of avascular necrosis. J Bone Joint Surg Br 2001;83B:1119–1124. [View Source / PubMed]
- 5. Ganz R, Parvizi J, Beck M, et al. Femoroacetabular impingement: a cause for osteoarthritis of the hip. Clin Orthop Relat Res 2003;417:112–120. [View Source / PubMed]
- 6. Gautier E, Ganz K, Krugel N, et al. Anatomy of the medial femoral circumflex artery and its surgical implications. J Bone Joint Surg Br 2000;82B:679–683. [View Source / PubMed]
- 7. Gibson A. Posterior exposure of the hip. J Bone Joint Surg Br 1950;32B:183–186. [View Source / PubMed]
- 8. Ito K, Minka MA II, Leunig M, et al. Femoroacetabular impingement and the cam-effect. A MRI-based quantitative anatomical study of the femoral head-neck offset. J Bone Joint Surg Br 2001; 83B:171–176. [View Source / PubMed]
- 9. Lavigne M, Kalhor M, Beck M, et al. Distribution of vascular foramina around the femoral head and neck junction: relevance for conservative intracapsular procedures of the hip. Orthop Clin North Am 2005;36:171–176. [View Source / PubMed]
- 10. Mardones RM, Gonzalez C, Chen Q, et al. Surgical treatment of femoroacetabular impingement: evaluation of the effect of the size of the resection. J Bone Joint Surg Am 2005;87:273–279. [View Source / PubMed]
- 11. Meyer DC, Beck M, Ellis T, et al. Comparison of six radiographic projections to assess femoral head/neck asphericity. Clin Orthop Relat Res 2006;445:181–185. [View Source / PubMed]
- 12. Nork SE, Schar M, Pfander G, et al. Anatomic considerations for the choice of surgical approach for hip resurfacing arthroplasty. Orthop Clin North Am 2005;36:163–170. [View Source / PubMed]
- 13. Notzli HP, Siebenrock KA, Hempfing A, et al. Perfusion of the femoral head during surgical dislocation of the hip. Monitoring by laser Doppler flowmetry. J Bone Joint Surg Br 2002;84B: 300–304. [View Source / PubMed]
- 14. Notzli HP, Wyss TF, Stoecklin CH, et al. The contour of the femoral head-neck junction as a predictor for the risk of anterior impingement. J Bone Joint Surg Br 2002;84:556–560. [View Source / PubMed]
- 15. Siebenrock KA, Kalbermatten DF, Ganz R. Effect of pelvic tilt on acetabular retroversion: a study of pelves from cadavers. Clin Orthop Relat Res 2003;407:241–248. [View Source / PubMed]
- 16. Tannast M, Zheng G, Anderegg C, et al. Tilt and rotation correction of acetabular version on pelvic radiographs. Clin Orthop Relat Res 2005;438:182–190. [View Source / PubMed]
You Might Also Like