Arthroscopic Management of Biceps Tendinopathy: An Intraoperative Masterclass

Key Takeaway
This masterclass provides a comprehensive guide to arthroscopic biceps tendon treatment, from diagnosis to advanced surgical techniques. Fellows will gain insights into detailed anatomy, preoperative planning, intraoperative execution of débridement, tenotomy, and tenodesis, including critical pearls and complication management for superior patient care.
Chapter
7
## Arthroscopic Treatment of Biceps Tendonopathy
J. R. Rudzki and Benjamin S. Shaffer
DEFINITION
1. The long head of the biceps tendon has long been recognized as a potential source of pain and cause of shoulder impair-ment.1,19,20,33
2. Although biceps tendon pathology can occur in isolation, it more frequently occurs concomitantly with rotator cuff disease, and its neglect may account for a subset of patients who fail to respond to rotator cuff repair.
3. Pathology of the long head of the biceps tendon presents in a spectrum from subtle tendinopathy observed on diagnostic imaging studies to frank tearing or subluxation appreciated intraoperatively.
4. Because the functional significance of the biceps tendon long head has been the subject of considerable debate, treatment has often been tailored more to patient symptoms, activity levels, and expectations rather than strict operative criteria.
5. The ideal indications and optimal operative technique remain controversial, although recent advances in arthroscopic technology have led to an evolution of surgical strategies.
ANATOMY
6. The long head of the biceps brachii originates from the supraglenoid tubercle and the superior aspect of the glenoid labrum.
7. Multiple anatomic variants of the long head biceps tendon origin have been described, the most common of which involves an equal contribution from the anterior and posterior labrum.32
8. The tendon travels intra-articularly (but extrasynovially) an average of 35 ± 5 mm toward the intertubercular (bicipital) groove between the greater and lesser tuberosities.28
1. The mean tendon length is 9.2 cm, with greatest width at its origin (about 8.5 × 7.8 mm).23
9. At the site of intra-articular exit lies the annular reflection or biceps pulley, whose fibers are derived from the superior glenohumeral, the coracohumeral ligament, and the superficial or anterior aspect of the subscapularis tendon (
FIG 1
). Externally this structure’s counterpart is the transverse humeral ligament.
10. The bicipital groove has been a topic of significant study in the literature for its relevance to arthroplasty and it has been implicated as a contributing factor to tendinopathy involving the long head of the biceps.6,26
1. The dimensions of the bicipital groove vary along its mean 5-cm length. At its entrance, the width ranges from 9 to 12 mm, and the depth is about 2.2 mm. In its midportion, the groove narrows to a mean width of 6.2 mm and depth of about 2.4 mm, which may contribute to the entrapment of a hypertrophic intra-articular component; this has been referred to as the “hourglass biceps.”6,15,26
2. The bicipital groove internally rotates from proximal to distal with a mean change in rotation of the lateral lip estimated at about 16 degrees.15
11. The biomechanical significance of the biceps tendon long head is controversial. Some authors have advocated a role of the long head of the biceps in contributing to shoulder stability in overhead athletes.12,25 Other authors, in separate studies,
Lesser tuberosity
Greater tuberosity
Long head of
A biceps tendon
Pectoralis major tendon
FIG 1 • A. Arthroscopic view of long head of biceps tendon and proximal aspect of bicipital groove. B. Anatomy pertinent to surgery involving the long
head of the biceps tendon.
B
Deltoid tuberosity
57
have used electromyographic analysis to conclude that the long head of the biceps tendon does not contribute to shoulder sta-bility.18,36
1. The extent of functional loss of supination and elbow flexion strength after biceps tenotomy has not been clearly established and is a source of controversy in the literature but may be estimated at 10%.34
PATHOGENESIS
2. Long head of biceps tendinopathy encompasses a spectrum of pathology, including intratendinous signal change, synovitis of the sheath, partial tearing, and frank tendon rupture (
FIG 2
).
3. The etiology of long head biceps tendinopathy is thought to be multifactorial.
4. Identifiable causes include degenerative changes (usually in association with rotator cuff disease),19,33,34 degenerative os-teophyte spurring and stenosis within the bicipital groove,6,26 inflammatory disease, traumatic injury, lesions of the biceps pulley complex or subscapularis tendon, and subtle forms of glenohumeral instability or superior labral anterior posterior (SLAP) tears.
5. Lesions of the pulley complex (which contributes to stability of the tendon within the intertubercular groove) or tears of the upper subscapularis tendon may permit intra-articular subluxation and mechanical symptoms.
6. “Hidden” cuff tears within the rotator interval or compromise of the annular reflection pulley may permit extra-articular long head biceps subluxation, which can lead to pathologic changes to the long head biceps tendon.
7. Tears of the superior labrum such as type II SLAP tears and more subtle patterns of instability such as the peel-back mechanism in throwing athletes can also cause bicipital tendinopathy.
A
B
FIG 2 • Arthroscopic images of tendinopathy and tearing of the long head of the biceps tendon. NATURAL HISTORY 8. Little is known about the natural history of biceps tendinopathy, so prediction of a patient’s clinical course is difficult.
9. Patients with high-grade tendinopathy, either in isolation or in association with cuff tears, seem to be at risk of subsequent rupture.
10. Spontaneous rupture often alleviates the chronic pain preceding the event.34
PATIENT HISTORY AND PHYSICAL FINDINGS
11. As for bicipital tendinopathy, patients’ historical presentations vary.
1. Patients may complain of anterior shoulder pain exacerbated by resisted elbow flexion and supination.
2. The history and character of shoulder pain is less helpful in making the diagnosis than the appropriate physical examination and diagnostic imaging findings in a relevant context.
12. Biceps tendon disorders can present either in isolation or in association with other pathology, typically tears of the rotator cuff.
13. Pain due to biceps pathology is often referred to the bicipital groove area.
14. Physical examination findings are variable but typically include focal tenderness to palpation over the course of the biceps long head in the bicipital groove.
15. Examinations and tests to perform include:
1. Speed’s test: low sensitivity and specificity (estimated 32% to 68% and 56% to 75%); may be indicative of biceps tendinopathy in appropriate clinical setting
2. Yergason’s test: A positive result suggests biceps tendinopathy in the appropriate clinical context.
3. Active compression test: Primarily assists in differentiating between symptomatic superior labral pathology and acromioclavicular joint pathology. A positive result may suggest biceps tendinopathy in the appropriate clinical context.
16. Despite these recommendations, few studies have corroborated the sensitivity, reliability, or accuracy of these findings.
IMAGING AND OTHER DIAGNOSTIC STUDIES
17. Magnetic resonance imaging (MRI) and ultrasound are the primary methods by which biceps tendinopathy is diagnosed.
18. For the diagnosis of subluxation or dislocation of the long head of the biceps, ultrasound has a reported sensitivity of 96% to 100% and specificity of 100%.2 For the assessment of complete rupture or the determination of a normal tendon, ultrasound has a sensitivity of 50% to 75% and specificity of 100%. Ultrasound is most useful to demonstrate pathology in the intertubercular groove and has been shown to be highly operator-dependent.
19. MRI can identify intratendinous tendon abnormality, bicipital sheath hypertrophy, concomitant superior labral and rotator cuff pathology, the intra-articular course of the tendon, and the relationship of the biceps to the structures of the annular reflection pulley that stabilize it (
FIG 3
).
DIFFERENTIAL DIAGNOSIS
20. Long head biceps brachii tendinitis or tenosynovitis
21. Long head biceps brachii partial tear
22. Long head biceps brachii rupture
23. Long head biceps brachii instability or subluxation
FIG 3 • Coronal MR image showing a normal-appearing biceps tendon in the bicipital groove adjacent to a normal subscapularis tendon and overlying annular reflection pulley.
1. SLAP tear
2. Acromioclavicular joint pathology
3. Anterosuperior rotator cuff tear
4. Subcoracoid impingement
5. Subscapularis pathology
NONOPERATIVE MANAGEMENT
6. Treatment of biceps tendinopathy depends in part on whether it presents in isolation as a primary problem or is associated with other pathology.
7. Alternative nonoperative management of suspected biceps pathology includes activity modification, a course of nonsteroidal anti-inflammatory medication, and corticosteroid injections targeted directly into the biceps sheath within the intertubercular groove. Such an injection can be both therapeutic and diagnostic.4
8. Some authors have advocated injection under ultrasound guidance.
9. Long head biceps ruptures traditionally have been treated with nonoperative management, based on the perception that this problem rarely results in any significant impairment.
1. Patients may object, however, to the presence of a “Popeye” deformity (bulge in the volar aspect of the midportion of the brachium) (
FIG 4
) and possible fatigue-related cramping.
SURGICAL MANAGEMENT
10. Surgical decision making includes patient factors, biceps tendon structural compromise, and concomitant shoulder pathology.
FIG 4 • “Popeye” deformity of the left arm.
1. With respect to tendon involvement, nonscientific relative surgical indications include symptomatic partial-thickness tearing or fraying greater than 25% to 50% of its diameter, or tendon subluxation or dislocation from its normal position within the bicipital groove.
2. Patient factors influencing treatment include the patient’s age and activity level, occupation, desired recreational activities, and expectations.
3. Because the biceps tendon is a known “pain generator,” its evaluation and inclusion in treatment of cuff disorders is particularly important.
1. Preoperative consideration must be given to anticipate operative strategies if encountered.
4. Operative alternatives in treating biceps tendon disorders include débridement, tenolysis (release of the biceps tendon long head), and tenodesis, in which the biceps is reattached to either bone or soft tissue of the proximal humerus. Each has advantages and disadvantages (Table 1).
5. The selected surgical approach should take into consideration patient factors, intraoperative findings, and surgeon preference and comfort.
1. Patient factors include age, work, recreational and activity demands, expectations, and perspective on influence of cosmesis.
2. Intraoperative findings influence decision making in a number of ways, including bone quality, soft tissue quality, the presence of injury to the biceps sling or subscapularis, and the presence of instability.
3. Surgeon factors include arthroscopic proficiency and experience and concomitant surgical procedures that may influence the treatment approach (eg, swelling in the subacromial space during concomitant arthroscopic rotator cuff repair).
6. Few studies have compared surgical alternatives within the same population of patients. Most such comparative studies
Table 1
|
Indications for Tenodesis and Tenotomy
| ---|---|
Procedure
|
Advantages
|
Disadvantages
Tenodesis
| Better cosmesis
| Potential pain at tenodesis site
| Maintenance of length–tension relationship of biceps
| Potential failure of tenodesis to heal
| Decreased risk of fatigue-related cramping
| Potential persistent tenosynovitis
| Maintenance of forearm supination and elbow flexion strength
| Tenotomy
| Typically minimal discomfort
| Potential fatigue-related cramping
| No need for placement of implants into proximal humerus
| Significant potential for Popeye sign and
| or bone–tendon healing
| undesirable cosmetic result
| High rate of success for pain relief
| Potential for slight to mild forearm supination
| Minimal risk of persistent tenosynovitis
| and elbow flexion deficit
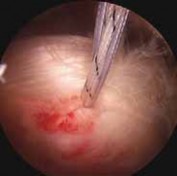
FIG 5 • Arthroscopic débridement of a partial-thickness tear.
have design flaws due to patient and pathology heterogeneity, in addition to procedures addressing frequent concomitant pathology.
1. The ideal indications for débridement versus tenolysis versus tenodesis (soft tissue or bone) remain unclear at this time.
2. Arthroscopic débridement is an initial component of nearly every biceps tendon surgical procedure.
1. In cases of fraying or partial tearing, débridement alone may be adequate to eliminate its contribution as a pain generator (
FIG 5
).
2. This is particularly true in cases in which the preoperative workup did not suggest the biceps as a significant component of patient symptoms, and when concomitant pathology may otherwise explain the patient’s presentation.
3. The degree of tendon involvement requiring definite surgical management with either tenolysis or tenodesis has not been scientifically established in the literature and varies depending on concomitant pathology.
1. Some authors have advocated consideration of addressing the biceps tendon surgically with débridement alone when less than 50% of the tendon’s diameter appears involved (in addition to addressing any concomitant pathology), but assessing the percentage of tendon involvement is an inexact science.
2. When the biceps is thought to be the predominant cause of symptoms or occurs in isolation, débridement alone may fail to adequately address the pathology and relieve the pa-tient’s symptoms.
4. With regard to tenodesis studies, biomechanical analysis has focused on construct strength.
1. Several tenodesis techniques provide sufficient construct strength, based on load-to-failure and cyclic displacement data.
2. One such study found that one particular interference screw tenodesis had a statistically significant greater resistance to pullout than a double suture anchor technique.28
3. Despite biomechanical testing, the actual amount of fixation strength necessary (and whether there is clear superiority of bone or soft tissue reattachment) is unknown.
Preoperative Planning
5. Clinical evaluation to determine the contribution of the biceps tendon to patient symptoms is an important component of decision making and helps when encountering biceps pathology.
6. Examinations for cuff pathology, particularly in the rotator interval (“hidden lesions” of the cuff) and for subscapularis integrity (belly press or lift-off test) are necessary components of the preoperative workup.
7. Accurate preoperative evaluation should include appropriate radiographs to assess bicipital and acromial (outlet view) morphology.
1. The bicipital groove view permits assessment of groove depth and the presence of osteophytes but may be unnecessary given the typical quality of routine axial MR images.8
8. MR images can be viewed to assess for biceps continuity (sagittal and coronal views) and intratendinous signal change (axial views) as well as tendon subluxation (axial and coronal views).
1. Attention must be paid when examining MR films to evaluate the appearance of the adjacent subscapularis, whose upper border is an important restraint against inferior biceps subluxation.
Positioning
9. Positioning is a matter of surgeon preference.
1. When biceps tendon pathology is perceived to be isolated or a significant component of the patient’s presentation, we have found that beach-chair positioning affords optimal orientation.
2. Biceps tenodesis or tenolysis can also be easily performed in the lateral decubitus position.
10. All bony prominences are carefully padded and the neck is maintained in a neutral position, ensuring adequate circumfer-ential exposure to the scapula (posteriorly) and medial to the coracoid (anteriorly).
11. Alternatively, depending on surgeon preference, the patient may be placed in the lateral position.
Approach
12. Standard arthroscopic portals for this procedure include the posterolateral portal for initial viewing, an anterior “opera-tive” rotator interval portal, and the direct lateral subacromial portal (operative and viewing).
13. Additional accessory portals within the antero-supero-lateral aspect of the rotator interval may facilitate work in the subdeltoid space during tenodesis.
14. On initial arthroscopic examination, the biceps is carefully inspected along its course from the posterosuperior glenoid labral attachment to its exit within the bicipital sheath.32
1. Examination should include both visualization along the course and down the sheath (enhanced by use of a 70-degree lens) and palpation.
15. Because only a portion of the biceps tendon long head is visualized within the joint, the biceps tendon must be translated into the joint using a probe, switching stick, or some tissue-safe tool. This enhances the surgeon’s ability to visualize tendinopathic changes that may otherwise go unrecognized.
1. Meticulous examination of the proximate annular reflection pulley and subscapularis tendon insertion is obligatory.
16. Biceps long head abnormalities can include:
1. Hyperemia, seen in patients with adhesive capsulitis or in biceps instability
2. Overt subluxation: Most commonly subluxation is inferior due to injury to its inferior restraints, composed of the upper subscapularis tendon, or bicipital sling, composed of
the intra-articular extension of the coracoacromial and coracohumeral ligaments.
1. Subtle subluxation: Some authors have described a subtle instability pattern in which biceps tendon excursion within the otherwise normal-appearing sheath is greater than normal and deserves “stabilization.”
2. Biceps “incarceration”: Some authors advocate the arthroscopic active compression test to assess for this uncommon entity. This test is performed intraoperatively with the arm positioned in forward elevation, slight adduction, and internal rotation.
BONY TENODESIS Arthroscopic Interference Screws
3. Before release at the superior labral attachment, the biceps long head must be controlled.
1. This is best achieved by the securing suture about 1 to 2 cm distal to the attachment.
2. This can be done either via spinal needle and PDS percutaneously, or by suture passage using a variety of available suture-shuttling instruments.
3. The biceps tendon attachment is then released at the anterosuperior glenoid using a bipolar cautery, arthroscopic scissors or basket, or retractable knife.
4. The suture tagging the long head of the biceps tendon is then retrieved though an anterior skin incision just outside the arthroscopic cannula and secured with a Kelly clamp.
5. The arthroscope is redirected into the subacromial space. Using the direct lateral portal, an arthroscopic bursectomy facilitates adequate visualization within the subdeltoid space and selection of the site of tenodesis.
6. Visualization of the anterosuperior proximal humerus in the subdeltoid space may be facilitated by placing the traditional lateral portal slightly more anteriorly, as advocated by Romeo et al.29
1. With the camera repositioned in this lateral portal, the long head of the biceps tendon is identified in the sheath within the intertubercular groove (just lateral to the lesser tuberosity); this can be facilitated by a spinal needle.
7. Using the small incision through which the biceps has been retrieved, the bicipital sheath is now incised with an arthroscopic scissors, electrocautery device, or retractable arthroscopic knife.
8. The release is performed along the lateral aspect of the sheath to minimize any risk to the subscapularis tendon’s insertion.
9. The release should also be deep enough only to visualize the groove and tendon within it, because the ascending branch of the anterior humeral circumflex artery (the primary blood supply to the humeral head) lies beneath.
10. This incision in the bicipital sheath is carried proximally to the lateral aspect of the rotator interval and the tendon is then retrieved through either the anterior or accessory anterolateral portal and secured with a clamp.
11. The proximal end of the tendon is then resected after first placing a nonabsorbable whipstitch just distal to the site of intended tenotomy.
1. Because the interference screw can cause fraying of conventional first-generation sutures, the whipstitch is better composed of a newer second-generation material such as FiberWire or Herculine.
17. The suture should be placed 10 to 20 mm distal to the exposed proximal portion, depending on how much diseased tendon is present, how much was resected intraoperatively, and the intended location of the tenodesis.
TECHNIQUES
18. When using an interference screw, the surgeon must ensure that the length of the suture is sufficient to pass through the cannulated interference screwdriver (
TECH FIG 1
).
1. Attention to suture management by use of cannulas is critical at this point. They ensure optimal visualization and soft tissue and suture management and minimize iatrogenic trauma to adjacent soft tissues.
19. A guidewire for the tenodesis screw is driven into the intertubercular groove about 15 mm distal to the superior aspect of the groove (at the leading edge of the supraspinatus insertion).29 The guidewire is inserted perpendicular to the groove to a depth of 30 mm.
20. The scope is repositioned within the lateral (or most anterior lateral) portal and a cannulated 8-mm reamer is drilled to a depth of about 30 mm under direct arthroscopic visualization.
21. The guidewire is removed and a screw is selected for tenodesis. Usually an 8-mm bioabsorbable implant is chosen, but this varies depending on bone quality.
22. The proximal tendon is then retrieved with its previously placed whipstitch from the subdeltoid space out through the anterolateral portal.
23. One limb of the whipstitch is loaded to the tenodesis screwdriver, and the bioabsorbable screw is loaded.
24. The suture limb within the screwdriver is secured with a clamp at the top of the driver, thereby fixing the tendon at the tip of the insertion device for delivery to the base of the tunnel.
25. The tendon and driver are inserted the full depth of the tunnel, and the interference screw is advanced while maintaining the driver position and suture tension. It should be advanced such that it is flush with the cortical surface of the intertubercular groove.
26. The two remaining suture limbs (one exiting the cannulated screw, the other trailing between the screw and the bone tunnel) are arthroscopically tied on the top of the interference screw, providing further reinforcement.
27. The arthroscopic portals and subacromial space are irrigated thoroughly and injected with local anesthetic with epinephrine.
Arthroscopic Suture Anchors
28. Before being released at the superior labral attachment, the biceps long head must be controlled. This is best achieved by securing the suture about 1 to 2 cm distal to the attachment.
Arthroscope in lateral subacromial working portal
Interference screw
Screwdriver
10–20 mm
distance
TECHNIQUES A B TECH FIG 1• Arthroscopic interference screw method of tenodesis of the long head of the biceps tendon. The arthroscope is in the lateral subacromial working portal. A. The tendon is placed into the recipient hole in the bicipital groove and securely fixed with an interference screw. B. Completed tenodesis.
1. This can be achieved either via spinal needle and PDS percutaneously or by suture passage using a variety of available suture-shuttling instruments.
2. The biceps tendon attachment is then released at the anterosuperior glenoid using a bipolar cautery, arthroscopic scissors or basket, or retractable knife.
3. The tagging 0 PDS suture controlling the proximal aspect of the tendon is pulled through the anterior portal skin incision outside of the cannula and secured with a Kelly clamp.
4. The arthroscope is redirected into the subacromial space, where a bursectomy is performed from a direct lateral portal for adequate visualization within the subdeltoid space. The site of tenodesis is then selected based on surgeon preference.
5. The intertubercular groove is identified by incising the annular reflection pulley as described above, and an arthroscopic burr is used to prepare the intertubercular groove by generating a bleeding bony bed.
6. Next, two suture anchors are inserted (one proximal and one about 1 to 1.5 cm distal) within the prepared intertubercular groove, and sutures from these anchors are shuttled through the long head of the biceps tendon using a spinal needle and 0 PDS suture or a penetrating grasper device to securely fix the biceps into the groove.
7. Although simple mattress sutures may be effective at achieving fixation, compromised tissue quality may lend to gradual suture–tissue failure, with pulling out of the tendon and failure.
1. An alternative locking knot configuration can be achieved using multiple percutaneous shuttling sutures, retrieved through the anterior interval cannula (
TECH FIG 2
).
2. Alternatively, the Mahalik biceps hitch, as described by Mahalik and Snyder, affords excellent fixation of the biceps tendon for tenodesis.
29. An alternative technique involves an intra-articular tenodesis. Advantages include the ability to perform the procedure without requiring movement of the scope from the joint to the subacromial space, or subacromial bursectomy.
1. In this procedure, a stay suture is placed at the origin of the biceps sheath just at the anterior margin of the supraspinatus.
2. Flexion of the shoulder and use of a 70-degree lens facilitate identification of the most superior aspect of the bicipital groove. This will be the site of tenodesis.
3. The biceps tendon is released from its origin, with the stay sutures percutaneous (at the site of spinal needle penetration).
4. The anterosuperior portal is used to target the proximal humeral tenodesis site, generating a healing response along the proximal centimeter of the bicipital groove. By rotating and flexing the shoulder, the biceps tendon can be translated to permit good visualization of the tenodesis site and to facilitate subsequent targeting for anchor placement.
5. Several alternative fixation techniques exist, the most common of which is anchor insertion, followed by suture passage and knot tying through the proximal tendon stump.
6. Alternatively, the surgeon may make multiple passes through the biceps tendon (using a locking stitch of nonabsorbable suture such as FiberWire) and then use a knotless-type anchor (such as the Arthrex “push-lock” or “swivel-lock”) to perform a secure tenodesis in a percutaneous fashion over a previously placed small-diameter cannula. This latter technique is particular good in cases with cuff tears, in which the proximal bicipital groove is so readily accessible.
TECHNIQUES A B TECH FIG 2• Arthroscopic images showing intra-articular tenodesis of the long head of the biceps tendon at the proximal aspect of the bicipital groove. A. Anchor placement. B. Suture C D passage. C. Knot tying. D. Completed tenodesis. SOFT TISSUE TENODESIS Arthroscopic Fixation 1. This technique, in which the biceps tendon is secured to the soft tissues in the rotator interval, is based on the percutaneous intra-articular transtendon (PITT) technique described by Sekiya30 and Rodosky10 (TECH FIG 3).
30. A spinal needle is placed percutaneously through the lateral aspect of the rotator interval proximate to the annular reflection pulley and then through the biceps tendon, about 1 to 2 cm distal to its supraglenoid origin.
Sutures with knots
B
Deltoid tuberosity
A TECH FIG 3•
Percutaneous transtendinous or soft tissue tenodesis of the long head of the biceps tendon.
A.
Coronal plane view of suture fixation to secure the long head of the biceps tendon to the adjacent soft tissue structures in the proximal portion of the bicipital groove.
B.
Sagittal view showing the fixation with the arm in forward elevation and the knots secured in the subdeltoid space.
TECHNIQUES
1. A 0 PDS suture is then shuttled through the tendon; it is retrieved through the anterior interval portal using a grasper.
2. This suture is then replaced by shuttling a nonabsorbable suture (such as no. 2 FiberWire or other comparable suture).
3. This process is repeated 5 to 6 mm distally along the biceps tendon’s course just proximal to the superior aspect of the intertubercular groove. Ideally, this second suture is of a different color so that the first set of suture limbs can be distinguished from the second.
4. Next, the limb of the no. 2 nonabsorbable suture exiting the cannula is shuttled with the second PDS back through the biceps and annular reflection pulley. A mattress suture is placed in these structures. It exits the skin through two separate punctures made by the spinal needle passages.
5. A tenotomy is performed via the anterior interval portal using an Arthrocare wand, needle-tip Bovie, arthroscopic scissors, or up-biting narrow meniscal basket.
ARTHROSCOPIC BICEPS TENOTOMY
6. In the appropriately selected patient, the procedure is carried out by simply releasing the biceps tendon at its attachment site from a rotator interval portal while viewing from posteriorly.
7. The intervening segment of diseased biceps tendon (in cases of tendinopathy) can be resected.
31. The intervening residual stump is excised and the arthroscope repositioned within the subacromial space, which is carefully débrided to enhance visualization and retrieval of the two suture sets.
1. Retrieval of the percutaneous suture pairs is facilitated with an arthroscopic “crochet hook.”
2. An alternative technique for retrieving hard-to-find sutures involves making a small incision directly over the percutaneous suture exit sites and loading the suture limb within a single-loop knot pusher, which is then pushed through the skin and into the cleared anterior subacromial space. The sutures are then easily identified and grasped, unloading from the knot pusher, which is withdrawn without difficulty.
32. Upon retrieval, which can be done one at a time, mattress sutures are tied under direct arthroscopic visualization in the anterior subacromial space.
33. After thorough irrigation, the joint, subacromial space, and arthroscopic portals are infiltrated with 0.25% Marcaine with epinephrine.
34. Distal migration of the tendon can be discouraged by either leaving a residual wider portion of the diseased tendon just proximal to the proximal bicipital groove or by including a small piece of the anterior superior labrum at the time of tenotomy.
35. Either of these strategies may preclude the tendency for distal translation and formation of a “Popeye” muscle.
PEARLS AND PITFALLS
Indications ■ Careful assimilation of the preoperative history, physical examination, and imaging data with the findings at surgery is essential to determine which symptomatic lesions require treatment.
1. A thorough discussion with patients about the goals, expectations, and potential complications of tenotomy and tenodesis is a key component of obtaining successful patient-based outcomes.
Portal placement ■ The location of the rotator interval portal will greatly influence the ease with which an arthroscopic tenodesis can be performed. If the initial portal is too medial, establishing an accessory anterolateral portal over the intertubercular groove about 2 cm distal and 1 cm medial to the anterolateral aspect of the acromion will facilitate instrument passage and visualization.
2. The location of the direct lateral portal along the anterior half of the acromion in the sagittal plane will aid in visualization when working in the subdeltoid space.
3. Portal placement can be optimized by localization and triangulation using a spinal needle.
Diagnostic arthroscopy ■ A key component of the arthroscopic examination is using a probe, switching device, or other instrument to displace the intertubercular portion of the tendon into the glenohumeral joint for adequate assessment. In addition, a careful examination of the fibers of the annular reflection pulley and the subscapularis insertion is essential. When viewing from the standard posterior portal, using a 70-degree lens can enhance visualization of the proximal intertubercular groove when performing an intra-articular tenodesis.
Visualization ■ An adequate bursectomy facilitated by the use of electrocautery for hemostasis will significantly assist in visualization during arthroscopic tenodesis.
4. Attention to accurate portal placement, fluid management (pump pressure), and procedure duration will help limit soft tissue extravasation, which can impair visualization and lead to performing the tenodesis open.
Arm position ■ Manipulating the arm in flexion and extension, as well as rotation, can help in visualization as well as anchor targeting.
Suture management ■ Careful suture management during tenodesis is key to avoid inadvertent soft tissue interposition, leading to inadequate fixation, skin dimpling, or unnecessary soft tissue dissection.
POSTOPERATIVE CARE
1. The postoperative protocols for long head biceps tendon surgery vary according to the specific technique (débridement, tenotomy, or tenodesis).
1. Often the protocol will depend on the concomitant procedures, such as rotator cuff repair, performed.
2. In general, after tenotomy, sling immobilization is used for 4 to 6 weeks, with passive elbow flexion and extension as dictated by the surgeon’s preference and comfort level.
1. Forceful, active elbow flexion is prohibited for 6 weeks, by which time it is expected that the biceps tendon will have scarred into the groove or “autotenodesed” sufficiently to begin active motion.23
1. This period of protection also serves to minimize the potential for a Popeye deformity and fatigue-related cramping.
2. To further minimize the risk of distal retraction, some surgeons have described the use of a compressive wrap around the arm.
1. If too tight, however, the effect may be that of a tourni-quet, leading to pain, swelling, and ecchymoses.
3. After biceps tenodesis, patients are immobilized in a sling for 4 to 6 weeks, with the amount of active-assisted elbow flexion and extension dictated by surgeon preference and comfort.
1. Active elbow flexion is prohibited for about 6 to 8 weeks to allow tenodesis healing.
2. Some surgeons favor limiting the last 15 to 20 degrees of terminal extension for 4 to 6 weeks after surgery to minimize stress at the tenodesis site.
3. Active elbow flexion exercises are then slowly incorporated into the rehabilitation program after 6 to 8 weeks, with strengthening delayed until the third postoperative month.
OUTCOMES
1. Outcome interpretation is challenging because of the limited number of studies and the lack of homogeneous patient populations. Surgical procedures to the biceps are typically only one component of surgically treated shoulder pathology in most studies.
2. Arthroscopic tenodesis
1. Checchia et al7 reported 93% good and excellent results in 14 of 15 patients, as determined by UCLA scores, who underwent arthroscopic rotator cuff repair and transtendinous soft tissue tenodesis at a mean follow-up of 32 months.
2. Boileau et al5 reported their results of arthroscopic biceps tenodesis with interference screw fixation at mean follow-up of 17 months with a Constant score improvement from 43 preoperatively to 79 at latest follow-up (
P
<0.005).
3. The historical literature regarding biceps tenodesis defines a range of unacceptable or poor results ranging from 6% to 40%.16
4. The results of open biceps tenodesis have been variable and are summarized in Table 2. Briefly, the results of arthroscopic tenodesis to date indicate that the procedure is an effective treatment for refractory biceps tendinopathy in appropriately indicated patients and may be more favorable for patients under 60 years of age.
3. Arthroscopic tenotomy
1. Outcomes of arthroscopic tenotomy suggest that in the appropriately selected patient, this procedure can reliably provide pain relief, with minimal functional limitations or functional improvement.
2. Gill et al11 in 2001 reported their results of tenotomy in 30 patients at a mean follow-up of 19 months. These patients scored an average of 82 by the American Shoulder and
Table 2
|
Outcomes of Arthroscopic Treatment of Biceps Tendinopathy
| ---|---
|
No.
| |
|
Author
|
Cases
|
Technique
|
Outcome Measure
|
Outcome
|
Checchia et al, 2005
| 15
| Arthroscopic transtendon tenodesis
| UCLA; mean 32-month follow-up
| 93% good and excellent results
Elkousy et al, 200510
| 12
| Arthroscopic transtendon tenodesis
| Subjective telephone interview;
| 100% subjective assessment of benefit
| |
| 6-month follow-up
| from procedure; 0% incidence of cramping
| |
| |
or “Popeye” deformity
Kelly et al, 200516
| 54
| Arthroscopic tenotomy
| American Shoulder and Elbow
| 68% good to excellent results;
| |
| Surgeons (ASES) scale, UCLA,
| 38% complained of fatigue discomfort
| |
| L’Insalata, cramping, Popeye, pain;
| after resisted elbow flexion;
| |
| mean 2.7-year follow-up
| 70% Popeye sign
Walch et al, 200534
| 307
| Arthroscopic tenotomy
| Constant score; mean 57-month
| 87% satisfied or very satisfied; mean
| |
| follow-up
| Constant score improvement from
| |
| |
48 preop to 68 postop
Boileau et al, 20045
| 43
| Arthroscopic interference screw
| Constant score; mean 17-month
| Mean Constant score improvement from
| |
tenodesis
| follow-up
| 43 preop to 79 postop
Gill et al, 200111
| 30
| Arthroscopic tenotomy
| ASES; mean 19-month follow-up
| Mean ASES score at follow-up was
| |
| |
82 points; 87% satisfactory results
Berlemann et al, 19954
| 15
| Open keyhole tenodesis
| Subjective assessment; mean
| 64% good and excellent results,
| |
| 7-year follow-up
| 29% fair results
Walch et al, 2005
| 86
| Open tenodesis
| Subjective assessment
| 99% satisfied or very satisfied
Becker et al, 19893
| 51
| Open tenodesis
| Subjective assessment;
| About 48% had moderate to severe pain
| |
| mean 7-year follow-up
| at mean 7-year follow-up.
Elbow Surgeons (ASES) grading scale (but no preoperative comparison data were available) and a significant reduction in pain and improvement in function. They reported 87% satisfactory results and a complication rate of 13%, including one patient with a painless cosmetic deformity, two patients with loss of overhead function and subacromial impingement, and one patient with persistent pain.
1. Kelly et al16 reported the results of 54 arthroscopic tenotomies at a mean of 2.7 years of follow-up, with 68% good to excellent results. However, 70% had a Popeye sign, and 38% of patients reported fatigue-related discomfort. They found minimal loss of elbow strength as assessed by biceps curls, and 0% loss for individuals over 60. Fatigue-related discomfort was not present in the patients over 60.
2. Walch et al33 in 1998 reported the results of 307 arthroscopic tenotomies of the long head of the biceps in conjunction with cuff tear treatment. They found a statistically significant improvement in the mean Constant score from 48 to 68 points and reported 87% satisfactory results.
3. In summary, the results of arthroscopic tenotomy to date indicate that the procedure is an effective treatment for refractory biceps tendinopathy in appropriately selected patients and may be more favorable for patients over 50 to 60 years of age.
COMPLICATIONS
1. The primary complications of tenodesis include persistent pain, failure of the tenodesis, and refractory tenosynovitis.
1. Failure of the tenodesis to heal may result in rupture of the tendon with distal retraction. In such cases, as often occurs in patients with spontaneous biceps tendon rupture, symptoms usually resolve with time.
2. One study has suggested that the quality of remaining tendon available for tenodesis can significantly affect the success of the procedure.5
3. Recent evidence suggests that oral nonsteroidal anti-inflammatory medication may inhibit healing, so this may be a suboptimal postoperative analgesic option.
2. The primary complications of tenotomy are:
1. Cosmetic deformity in the form of a Popeye sign
2. Fatigue-related cramping
3. Potential slight decrease in elbow supination and flexion strength**
Scientific References
-
**
- 1. Alpantaki K, McLaughlin D, Karagogeos D, et al. Sympathetic and sensory neural elements in the tendon of the long head of the biceps. J Bone Joint Surg Am 2005;87:1580–1583. [View Source / PubMed]
- 2. Armstrong A, Teefey SA, Wu T, et al. The efficacy of ultrasound in the diagnosis of long head of the biceps tendon pathology. J Shoulder Elbow Surg 2006;15:7–11. [View Source / PubMed]
- 3. Becker DA, Cofield RH. Tenodesis of the long head of the biceps brachii for chronic bicipital tendinitis: long-term results. J Bone Joint Surg Am 1989;71A:376–381. [View Source / PubMed]
- 4. Berlemann U, Bayley I. Tenodesis of the long head of biceps brachii in the painful shoulder: Improving results in the long term. J Shoulder Elbow Surg 1995;4:429–435. [View Source / PubMed]
- 5. Boileau P, Krishnan SG, Coste JS, et al. Arthroscopic biceps tenodesis: a new technique using bioabsorbable interference screw fixation. Tech Shoulder Elbow Surg 2001;2:153–165. [View Source / PubMed]
- 6. Boileau P, Ahrens PM, Hatzidakis AM. Entrapment of the long head of the biceps tendon: the hourglass biceps—a cause of pain and locking of the shoulder. J Shoulder Elbow Surg 2004;13:249–257. [View Source / PubMed]
- 7. Checchia SL, Doneux PS, Miyazaki AN, et al. Biceps tenodesis associated with arthroscopic repair of rotator cuff tears. J Shoulder Elbow Surg 2005;14:138–144. [View Source / PubMed]
- 8. Cone RO, Danzig L, Resnick D, et al. The bicipital groove: radiographic, anatomic, and pathologic study. AJR Am J Roentgenol 1983;141:781–788. [View Source / PubMed]
- 9. Eakin CL, Faber KJ, Hawkins RJ, et al. Biceps tendon disorders in athletes. J Am Acad Orthop Surg 1999;7:300–310. [View Source / PubMed]
- 10. Elkousy HA, Fluhme DJ, O’Connor DP, et al. Arthroscopic biceps tenodesis using the percutaneous, intra-articular trans-tendon technique: preliminary results. Orthopedics 2005;28:1316–1319. [View Source / PubMed]
- 11. Gill TJ, McIrvin E, Mair SD, et al. Results of biceps tenotomy for treatment of pathology of the long head of the biceps brachii. J Shoulder Elbow Surg 2001;10:247–249. [View Source / PubMed]
- 12. Glousman R, Jobe F, Tibone J, et al. Dynamic electromyographic analysis of the throwing shoulder with glenohumeral instability. J Bone Joint Surg Am 1988A;70:220–226. [View Source / PubMed]
- 13. Goldfarb C, Yamaguchi K. The biceps tendon: dogma and controversies. In: Cannon WD, De Haben KE, eds. Sports Medicine and Arthroscopy Review. Philadelphia: Lippincott Williams & Wilkins, Inc; 1999:93–103. [View Source / PubMed]
- 14. Holtby R, Razmjou H. Accuracy of the Speed’s and Yergason’s tests in detecting biceps pathology and SLAP lesions: comparison with arthroscopic findings. Arthroscopy 2004;20:231–236. [View Source / PubMed]
- 15. Itamura J, Dietrick T, Roidis N, et al. Analysis of the bicipital groove as a landmark for humeral head replacement. J Shoulder Elbow Surg 2002;11:322–326. [View Source / PubMed]
- 16. Kelly AM, Drakos MC, Fealy S, et al. Arthroscopic release of the long head of the biceps tendon: functional outcome and clinical results. Am J Sports Med 2005;33:208–213. [View Source / PubMed]
- 17. Kim SH, Yoo JC. Arthroscopic biceps tenodesis using interference screw: end-tunnel technique. Arthroscopy 2005;21:1405. [View Source / PubMed]
- 18. Levy AS, Kelly BT, Lintner SA, et al. Function of the long head of the biceps at the shoulder: electromyographic analysis. J Shoulder Elbow Surg 2001;10:250–255. [View Source / PubMed]
- 19. Murthi AM, Vosburgh CL, Neviaser TJ. The incidence of pathologic changes of the long head of the biceps tendon. J Shoulder Elbow Surg 2000;9:382–385. [View Source / PubMed]
- 20. Neer CS II. Anterior acromioplasty for chronic impingement syndrome of the shoulder. A preliminary report. J Bone Joint Surg Am 1972;54A:41–50. [View Source / PubMed]
- 21. Nord KD, Smith GB, Mauck BM. Arthroscopic biceps tenodesis using suture anchors through the subclavian portal. Arthroscopy 2005;21:248–252. [View Source / PubMed]
- 22. O’Brien SJ, Pagnani MJ, Fealy S, et al. The active compression test: a new and effective test for diagnosing labral tears and acromioclavicular joint abnormality. Am J Sports Med 1998;26:610–613. [View Source / PubMed]
- 23. Osbahr DC, Diamond AB, Speer KP. The cosmetic appearance of the biceps muscle after long-head tenotomy versus tenodesis. Arthroscopy 2002;18:483–487. [View Source / PubMed]
- 24. Ozalay M, Akpinar S, Karaeminogullari O, et al. Mechanical strength of four different biceps tenodesis techniques. Arthroscopy 2005; 21:992–998. [View Source / PubMed]
- 25. Pagnani MJ, Deng XH, Warren RF, et al. Role of the long head of the biceps brachii in glenohumeral stability: a biomechanical study in cadavera. J Shoulder Elbow Surg 1996;5:255–262. [View Source / PubMed]
- 26. Pfahler M, Branner S, Refior HJ. The role of the bicipital groove in tendinopathy of the long biceps tendon. J Shoulder Elbow Surg 1999;8:419–424. [View Source / PubMed]
- 27. Richards DP, Burkhart SS. A biomechanical analysis of two biceps tenodesis fixation techniques. Arthroscopy 2005;21:861–866. [View Source / PubMed]
- 28. Rodosky MW, Harner CD, Fu FH. The role of the long head of the biceps muscle and superior glenoid labrum in anterior stability of the shoulder. Am J Sports Med 1994;22:121–130. [View Source / PubMed]
- 29. Romeo AA, Mazzocca AD, Tauro JC. Arthroscopic biceps tenodesis. Arthroscopy 2004;20:206–213. [View Source / PubMed]
- 30. Sekiya JK, Elkousy HA, Rodosky MW. Arthroscopic biceps tenodesis using the percutaneous intra-articular transtendon technique. Arthroscopy 2003;19:1137–1141. [View Source / PubMed]
- 31. Tuoheti Y, Itoi E, Minagawa H, et al. Attachment types of the long head of the biceps tendon to the glenoid labrum and their relation- ships with the glenohumeral ligaments. Arthroscopy 2005;21: 1242–1249. [View Source / PubMed]
- 32. Vangsness CT Jr, Jorgenson SS, Watson T, et al. The origin of the long head of the biceps from the scapula and glenoid labrum. An anatomical study of 100 shoulders. J Bone Joint Surg Br 1994;76B: 951–954. [View Source / PubMed]
- 33. Walch G, Nové-Josserand L, Boileau P, et al. Subluxations and dislocations of the tendon of the long head of the biceps. J Shoulder Elbow Surg 1998;7:100–108. [View Source / PubMed]
- 34. Walch G, Edwards TB, Boulahia A, et al. Arthroscopic tenotomy of the long head of the biceps in the treatment of rotator cuff tears: clinical and radiographic results of 307 cases. J Shoulder Elbow Surg 2005;14:238–246. [View Source / PubMed]
- 35. Warner JJ, McMahon PJ. The role of the long head of the biceps brachii in superior stability of the glenohumeral joint. J Bone Joint Surg Am 1995;77A:366–372. [View Source / PubMed]
- 36. Yamaguchi K, Riew KD, Galatz LM, et al. Biceps activity during shoulder motion: an electromyographic analysis. Clin Orthop Relat Res 1997;336:122. [View Source / PubMed]
You Might Also Like