Reduction and Stabilization of the Distal Radioulnar Joint Following Galeazzi Fractures

DEFINITION
Fracture of the radial shaft with an associated distal radioulnar joint (DRUJ) dislocation (FIG 1A,B) It is well established that anatomic stabilization of the radial shaft fracture typically results in a stable DRUJ that can be treated nonoperatively with a period of immobilization. When the DRUJ is either irreducible or unstable, following anatomic reduction and compression plating of the radius fracture, operative stabilization of the DRUJ is required.
Pediatric injury is not discussed in this chapter.
## ANATOMY DRUJ Stability to the DRUJ is conferred through the bony articulation between the sigmoid notch of the radius and the ulnar head, ligamentous attachments, and muscular stabilizers.5 The radius of curvature of the ulnar head is smaller than the sigmoid notch, resulting in a loosely constrained bony articulation. This allows both rotational and translational movements between the radius and ulna with pronosupination. In addition, this loose bony articulation must depend on soft tissue components to be the primary joint stabilizers.5
---
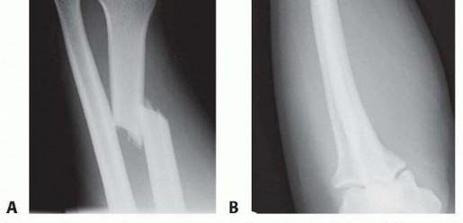
### FIG 1 • Classic Galeazzi injury. A. A distal-third radial shaft fracture with ulnar angulation of the distal fragment, radial shortening, and DRUJ widening. B. Apex dorsal angulation of radial shaft fracture with dorsal dislocation of ulnar head.
Triangular fibrocartilage complex (TFCC)
The dorsal and volar radioulnar ligaments of the TFCC are considered the primary stabilizers of the DRUJ.18 The deep fibers of the radioulnar ligaments attached at the fovea are located at the base of the ulnar styloid. For this reason, in the less common instance when an ulnar styloid base fracture accompanies a Galeazzi fracturedislocation, fixation of ulnar styloid fracture may restore DRUJ stability.
Distal interosseous membrane (DIOM) and distal oblique bundle (DOB)
The DIOM lies deep to the pronator quadratus and connects the radius and ulna (FIG 2A). Biomechanical studies demonstrate that the distal membranous portion of the interosseous membrane functions as a secondary stabilizer of the DRUJ.14, 20 When present, the DOB originates at the distal ulna and inserts at the inferior rim of the sigmoid notch of the radius blending with the capsular tissue of the DRUJ.18 Cadaveric studies report the DOB is present in 40% of specimens ( FIG 2B).15 Moritomo14 has hypothesized that in Galeazzi fracturedislocations, when there is loosening but not rupture of the DOB, instability can be managed by anatomic reduction of the radius. Radius reduction and the subsequent retensioning of the DOB restore stability even when a TFCC injury is present. Persistent DRUJ instability after radial fracture restoration may be the result of DOB disruption.14 Radius The majority of Galeazzi fracture-dislocations occurs in distal third of the radius but can occur anywhere along the radius.12 Greater than 50% of radial shaft fractures less than 7.5 cm from the distal radial articular surface are associated with injury to the DRUJ compared to 6% of more proximal radial shaft fractures.17 ## PATHOGENESIS Mechanism of injury Axial loading of an outstretched arm with forceful hyperpronation of the forearm. Direct trauma to the dorsal radial forearm has also been reported.12 More common in higher energy injuries with a high incidence of associated injuries (30% to 50%)13 The radius fractures and shortens. This shortening results in tearing of the TFCC from its foveal attachment (or an ulnar styloid base fracture with TFCC remaining attached) and subsequent dislocation of the DRUJ.
---
### FIG 2 • DOB. A. DIOM with no DOB present. B. DOB is the thick fibrous band from the proximal ulna to the distal radius (white arrows). R, radius; U, ulna. (From Moritomo H. The distal interosseous membrane: current concepts in wrist anatomy and biomechanics. J Hand Surg Am 2012;37(7):1501-1507. Reprinted with permission from Elsevier.) Galeazzi and irreducible DRUJ (following radius fixation) When the DRUJ cannot be reduced, soft tissue interposition should be suspected. In these instances, the joint capsule, TFCC, and/or the extensor tendons are frequently interposed (extensor carpi ulnaris [ECU], extensor digiti minimi, extensor digitorum communis).2, 4 Galeazzi and unstable DRUJ (following radius fixation) It is established that a TFCC (Palmar 1B) injury (or ulnar styloid base fracture with the TFCC attached) occurs in a Galeazzi fracture-dislocation.17 TFCC injury, in addition to DIOM and DOB injury (as described earlier), likely results in continued, significant instability after radius fixation.
## NATURAL HISTORY
Galeazzi fracture-dislocations account for approximately 6% of all closed forearm fractures in adults with a male predominance.13 Nonoperative management results in an apex dorsal radius malunion with a dorsally prominent ulnar head. Limitations in pronation, supination, wrist flexion, and wrist extension are common. Pain occurs at the ulnar side of the wrist over the prominent ulnar head. In contrast, early operative management typically results in excellent or satisfactory results following anatomic reduction and stabilization of radius fracture and DRUJ.
## PATIENT HISTORY AND PHYSICAL FINDINGS
A high percentage of associated injuries occur, and lifethreatening injuries should be assessed first. Patients report severe forearm and wrist pain. Deformity is typically present with a prominent ulnar head. Open injuries of the radius and ulna can occur, and close evaluation of the skin should be performed. Neurovascular injuries and compartment syndrome have not been widely reported with a Galeazzi injury but should be assessed for completeness and documented even when “negative.” Therefore, all splints, dressings, and clothing need to be removed for proper inspection and palpation and neurovascular examination. Examination of the DRUJ of the noninjured contralateral extremity is helpful prior to surgical management of the Galeazzi injury to understand the patient's native DRUJ laxity, especially at the limits of pronation and supination.
## IMAGING AND OTHER DIAGNOSTIC STUDIES
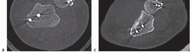
Anteroposterior and lateral radiographs of the wrist, forearm, and elbow suffice for diagnosing Galeazzi fracturedislocations. At presentation, radiographs typically demonstrate the following: Shortening of the radius on the anteroposterior view with a widened DRUJ Apex medial angulation of the distal radial segment (toward the ulna) An apex dorsal angulation of the radius on the lateral radiograph with a dorsal dislocation of the DRUJ An ulnar styloid base fracture may also be present. DRUJ subluxation is notoriously difficult to identify. Postoperatively, if there is any concern whether the DRUJ is reduced, computed tomography (CT) or magnetic resonance imaging (MRI) should be obtained. The DRUJ is well visualized in the axial plane to determine subluxation or dislocation. Multiple methods have been devised to identify and quantify DRUJ subluxation using CT (Mino's criteria, congruency method, epicenter method, and radioulnar ratio).11 Unfortunately, no reference standard exists (
### FIG 3A-C).
Despite the advantages of advanced imaging, it is not typically necessary at presentation as soft tissue injury is implied based on radiographic findings in a Galeazzi injury pattern.
---
### FIG 3 • A. Radioulnar ratio method to measure DRUJ subluxation on a CT scan. See text for details. B. Axial CT scan demonstrating dorsally dislocated ulna following ulnar styloid open reduction internal fixation (ORIF). C. Axial CT scan following reduction and pinning of the dislocated DRUJ. (A: Adapted from Lo IK, MacDermid JC, Bennett JD, et al. The radioulnar ratio: a new method of quantifying DRUJ subluxation. J Hand Surg Am 2001;26:236-243.)
DIFFERENTIAL DIAGNOSIS Isolated radial shaft fracture Radial head or neck fracture with DRUJ injury (Essex-Lopresti lesion) Distal radius fracture with DRUJ injury Ulnar-sided carpal or ligamentous injuries ## NONOPERATIVE MANAGEMENT No role exists for nonoperative care of a Galeazzi injury in a patient who is medically able to have surgery. Hughston's7 classic series demonstrated that 35 of 38 patients treated without surgery resulted in failure. ## SURGICAL MANAGEMENT Galeazzi fracture-dislocations need to be treated expeditiously. Delay in treatment more than 10 days may negatively impact final range of motion of the forearm.13 The need for operative stabilization of the DRUJ can only be determined intraoperatively after the radius fracture has been stabilized, and the DRUJ is examined for instability. ## Preoperative Planning Preoperatively, the surgeon decides the surgical approach and method of fixation of the radius fracture. It is presumed that at a minimum, the TFCC is injured and the DRUJ will be evaluated intraoperatively. Decision making and technique regarding approach and fixation of the radius has been described in detail in the chapter entitled Open Reduction Internal Fixation of Diaphyseal Forearm Fractures. Examination under anesthesia of the uninjured wrist is performed. Depending on intraoperative findings, the surgeon must be prepared to pin the radius to the ulna, explore the dorsal DRUJ, and possibly repair the TFCC using either open or an arthroscopic technique. Evaluation of DRUJ instability following radial fixation The decision to proceed with operative stabilization of the DRUJ for residual instability following radius fixation is not straightforward. Unfortunately, there is no reference standard for evaluating DRUJ stability. DRUJ instability should always be evaluated after radius stabilization. Classically, the elbow is flexed to 90 degrees, and the ulna is stressed both volarly and dorsally in supination, neutral, and pronation while laxity, subluxation, or dislocation is assessed. Any laxity less than full dislocation is difficult to quantify even when measured against the examination of the uninjured wrist. Giannoulis and Sotereanos4 suggested that instability is confirmed following fixation of the radius if the ulnar head can be translated dorsally out of the sigmoid notch (with the forearm fully supinated). Jupiter8 has suggested that laxity at the DRUJ should be expected (in displaced distal radius fractures) and that the traditional method of stressing the ulna dorsally and volarly is subjective and lacks interobserver validity. He recommends that the surgeon compress the ulna to the radius after bony fixation and rotate the hand and wrist. Only when a palpable “clunk” is present is true instability present. This implies that the distal oblique band of the interosseous membrane has been disrupted. ## Positioning The patient is placed supine with the injured arm out on a radiolucent arm table. A nonsterile padded pneumatic tourniquet is placed on the upper arm. If arthroscopy is planned to address an unstable DRUJ, the upper arm should be stabilized to the arm table or a distraction device be made available. ## Approach
Reduction or stabilization of the radius fracture is typically performed with a 3.5-mm compression plate through an anterior approach as described by Henry.6 Anatomic restoration of length, alignment, and rotation of the radius must be achieved to assist in restoring stability of the DRUJ. Radial shaft fixation is described in detail in the chapter entitled Open Reduction Internal Fixation of Diaphyseal Forearm Fractures. Although the preoperative images may demonstrate DRUJ injury (ie, ulnar styloid fracture, DRUJ subluxation/dislocation, or a widened DRUJ), final consideration of fixation is based on the intraoperative findings (FIG 4). Treatment of the unstable DRUJ after radial fixation with no ulnar fracture No reference standard exists for the specific treatment of the unstable DRUJ noted after radius fixation. Pinning the radius to the ulna in a position of DRUJ reduction is the most commonly reported procedure in larger cases series, with excellent results reported.6, 12 A recent study evaluated 40 patients who had a single 1.2- or 1.6-mm smooth stainless steel pin placed proximal to the sigmoid notch with the forearm in supination for 4-6 weeks for DRUJ instability after radial fixation. At 6.8-year follow-up, none of these patients required more DRUJ surgery or had persistent DRUJ instability. Consideration may also be given to splinting in forearm supination for 4-6 weeks. Treatment of the unstable DRUJ after radial fixation with large ulnar styloid base fracture Instability with an associated ulnar styloid fracture is less frequent in Galleazi injuries. Maintenance of stability has been reported with operative fixation of the ulnar styloid base.10 Screw or tension band fixation is commonly performed. Treatment of the irreducible DRUJ after radial fixation If the DRUJ remains irreducible after anatomic reduction of the radial shaft fracture, soft tissue interposition is suspected. Open reduction to remove soft tissue and TFCC repair should be performed.10
---
### FIG 4 • Algorithm for management of DRUJ stability.
TECHNIQUES
-
Radius and Ulna Transfixation Pinning Indicated for treatment of the unstable DRUJ after radius fixation and no ulna fracture Following radius shaft fixation, the elbow is flexed to 90 degrees, and the forearm is brought to full supination. The radius is manually stabilized through the wound. Subluxation or dislocation with attempted palmar or dorsal translation is considered instability. Alternatively, the method described by Jupiter8 is performed to assess stability. The elbow is extended, and using intraoperative fluoroscopy, the skin is marked at the position of planned smooth stainless steel pin insertion. Transfixation pins should be placed proximal to the sigmoid notch. A skin incision is made directly over the radius with blunt dissection to the bone. A drill guide is then placed under direct visualization to the radius, and a smooth pin is driven through the radius and stopped prior to entering the ulna. The forearm is placed in approximately 20 degrees of supination, and the assistant squeezes the radius and ulna together manually while the pin is then driven into the ulna. (Alternatively, depending on the subjective degree of instability, this procedure can be performed in full supination.) Under oscillation, the smooth pin can be driven through the ulna and out the skin. The same procedure is repeated with a second pin. Pins are cut and bent outside the skin on both the radial and ulnar side allowing easy retrieval in the event of pin breakage (TECH FIG 1A). Alternatively, the pins may be driven through the ulna into the radius. In this case, prior to having the pins exit the far cortex of the radius, an incision is made, and the superficial radial nerve (SRN) is identified and protected as the pins are visualized passing radially out of the skin (TECH FIG 1B).
---
TECH FIG 1 • DRUJ Pinning. A. Placement of pins on an anteroposterior (AP) view. Pins (1.6 mm or 2.0 mm) are brought out of the skin on both the radial and ulna sides (allowing easy retrieval in the event of breakage). B. SRN is located near pin sites on the radial side. SRN (arrow and vessel loop). P, proximal; D, distal. C. AP radiograph demonstrating pins placed proximal to the DRUJ. If the surgeon prefers the pins not to exit an incision, just prior to the pin reaching the undersurface of the skin, the skin can be pulled over the tip of the pin to make a new hole. The advantage of ulna to radius pin fixation is that pins are being driven from the small-diameter bone into the bigger diameter bone, lessening the chance of missing the far bone during placement (TECH FIG 1C). The disadvantage is that the SRN is at risk of being injured by exiting pins. Intraoperative fluoroscopy is used to confirm DRUJ reduction prior to leaving the operating room. A long-arm posterior splint is applied after application of soft dressings covering the pins.
1. ##
Open Reduction Distal Radioulnar Joint and Triangular Fibrocartilage Complex Open Repair Indicated in the treatment of the irreducible DRUJ following radial fixation If the DRUJ remains irreducible after anatomic reduction of the radial shaft fracture, soft tissue interposition is suspected. Open reduction to remove interposed soft tissue and TFCC repair should be performed.10 The following description assumes the native anatomy is not disrupted. Unfortunately, if this approach is being made for an irreducible DRUJ, there will be disrupted tissue planes as a result of interposed structures, capsular tears, etc. It is important to be able to identify the structures and attempt to restore them to their native positions, stabilizing them with tissue repair after joint reduction. A 2- to 3-cm gently curved dorsal longitudinal incision is made over the distal ulna, and blunt dissection is performed through the subcutaneous tissue, cauterizing small vessels with bipolar cautery (TECH FIG 2A). The dorsal cutaneous branch of the ulnar nerve is identified and care is taken throughout the procedure to protect it. A longitudinal incision is made through the thin extensor retinaculum between the fourth and fifth extensor compartments (TECH FIG 2B).3 Avoid amputating the flap during radial to ulnar elevation. Avoid violation of the ECU subsheath. The extensor digiti quinti (EDQ) is released from the fifth compartment and retracted radially. An ulnar-based capsulotomy is made (TECH FIG 2C). The distal transverse limb is made at the level of the palpable triquetrum, proceeding in an ulnar to radial direction along the dorsal radiocarpal ligament, from the ECU tendon to the floor of the fifth compartment. The capsulotomy is then continued proximally in a longitudinal fashion through the floor of the fifth compartment to the level of the ulnar neck. Care needs to be taken not to cut through the dorsal radioulnar ligament of the triangular fibrocartilage (TFC). Small double skin hooks placing tension on the capsular flap will assists in avoiding injury to the underlying TFC. Finally, the proximal transverse capsulotomy is made across the ulnar neck to ECU tendon. If needed for visualization and working space, the ulnomeniscal homolog, which extends distal from the TFC into the ulnocarpal joint, can be excised. Bipolar cautery may be needed for hemostasis following its excision.3 The key to the entire dissection is to create clean planes that sharply define the structures, allowing them to be repaired during layered closure. Next, a small curette is used to create a small trough in the ulna fovea exposing cancellous bone.
---
TECH FIG 2 • Open DRUJ/TFCC exposure and repair. A. Incision. B. Extensor retinaculum opened exposing fifth compartment. C. TFCC and DRUJ exposed. D. 3-0 nonabsorbable sutures placed through TFCC and ulna bone tunnels. E. Final construct demonstrating transfixation with 0.062-inch K-wires and TFCC repair. A 0.045-inch smooth stainless steel pin is used to drill two bone tunnels, separated by a 1-cm bony bridge, from the medial ulna to the ulnar fovea. Next, three 3-0 braided nonabsorbable suture are passed one at time through one of the bone tunnels, through the TFC, and back out the other bone tunnel (outside-in to inside-out) (TECH FIG 2D).9 Prior to tying the sutures, the DRUJ is reduced and pinned with two 1.6- or 2-mm smooth stainless steel pins as previously described. Finally, the sutures are tied down over the ulna. A layer-by-layer closure is performed. The dorsal radioulnar ligament of the TFC can be sutured back to the capsule during closure (TECH FIG 2E).
-
Arthroscopic Triangular Fibrocartilage Complex Repair It should be noted that while this procedure can be used for the treatment of Galeazzi fracture-dislocations, the procedure and outcomes have not been rigorously evaluated in published literature. The surgeon is seated facing the monitor. Finger traps are placed on the index and long fingers, and a 15-pound traction is applied (TECH FIG 3A,B). Three portals are needed for arthroscopic TFCC repair (3-4 visualization, 4-5 working, and 6U outflow). Skin markings of the bony anatomy (radial styloid, ulnar styloid, Lister tubercle) and planned portals are made prior to inflating tourniquet. To establish the 3-4 portal, the soft spot approximately 1 cm distal to Lister tubercle is marked. Insert an 18-gauge needle, angled to match the sagittal tilt of the distal radius, and inject 4 mL of saline (or 1% lidocaine with 1:100,000 epinephrine) to insufflate the radiocarpal joint. A 4-mm skin incision is made at the planned portal site, and blunt dissection to the level of the capsule with a mosquito is performed. A blunt trocar is used to penetrate the joint capsule and avoid cartilage injury, and a 1.9-mm camera is then inserted into the radiocarpal joint. Outflow is established at the 6U portal with insertion of an 18-gauge needle ulnar to the ECU into the ulnocarpal joint.
---
TECH FIG 3 • Wrist arthroscopy to address TFCC injury. A. The patient is placed supine with an arm board; a strap is used to securely fashion the arm to the table. A boom is placed on the contralateral side. B. Finger traps are positioned, the weight is attached. Fluoroscopy is used to access DRUJ reduction. C. TFCC Palmar 1B injury is present and repaired in this case with two horizontal mattress sutures. The 4-5 working portal is established using the same steps as the 3-4 portal. Next, a probe is inserted through the 4-5 portal to examine the integrity of the TFCC. In a Galeazzi fracture-dislocation, a foveal avulsion is present (Palmer 1B), and the tear is easily recognized. To begin TFCC repair, a 2-mm shaver is placed through the 4-5 portal, and unstable tear edges are débrided. Next, a 2-cm longitudinal skin incision is made over the medial distal ulna and blunt dissection proceeds to the bone. A 0.062-inch smooth stainless steel pin is placed obliquely from medial ulna to fovea and directly visualized arthroscopically entering the fovea. The pin is then overdrilled (outside-in) with a 3.0-mm cannulated drill bit. A sharp-tipped suture passer loaded with nonabsorbable suture is passed through the bone tunnel (outside-in), piercing the TFCC at the desired location. Suture is then passed around the TFCC into the joint and retrieved out of the 4-5 portal with a suture grasper. Another sharp-tipped suture passer loaded with a looped Nitinol wire is then passed through the ulnar bone tunnel to penetrate the TFCC at a different location. The looped Nitinol wire is retrieved through the 4-5 portal and used to retrieve the previously passed suture out the bone tunnel, thus creating a mattress stitch through the TFCC (TECH FIG 3C). Traction is placed on the suture to evaluate the repair. Additional sutures may be passed as needed. Prior to tying down the sutures, two 1.6- or 2.0-mm smooth stainless steel pins are placed across the radioulnar joint as previously described. Finally, a drill hole for a bioabsorbable suture anchor is created proximal to the bone tunnel on the medial edge of the ulna. The sutures are placed through the anchor, and tension is placed while directly visualizing the TFCC. The suture anchor is then inserted. Wound closure, sterile dressings, and long posterior splint are applied.
3. ##
Open Reduction Internal Fixation of Ulnar Styloid Fracture Indicated in the treatment of the unstable DRUJ after radius fixation with large ulnar styloid base fracture Two different approaches can be used: An extensile approach is described for open TFCC repair. This has the advantage of assessing whether the TFCC has torn off the ulnar styloid fragment. Alternatively, while offering less visualization, an incision can be made immediately over the ulnar styloid, resulting in less disruption to stabilizing soft tissue structures of the DRUJ. This incision is begun 1 cm distal to the styloid and carried proximally to the ulnar neck. Blunt dissection distal to the ulna styloid is performed to identify the dorsal ulnar cutaneous branch, which passes volar to dorsal, most often immediately distal to the ulnar styloid. Typically, there is soft tissue interposed at the fracture site and this is cleared with a hemostat or dental pick. The forearm is then rotated through pronosupination until the styloid fracture reduces to the fracture footprint. A 3.5-mm toothed drill guide fits nicely over the styloid tip and can be used to compress the styloid, whereas two 0.045 or 0.054-inch smooth stainless steel pins are driven through both the styloid and the far ulnar cortex. The pins are then backed out of the far ulnar cortex slightly. (TECH FIG 4A).
---
TECH FIG 4 • Ulnar styloid fracture fixation. A. The distal ulna is exposed at the ulnar styloid and a 3.5-mm drill guide is used to reduce the fracture and to pass K-wires. B. Anteroposterior (AP) radiograph of a tension band open reduction internal fixation (ORIF). C. Tension band construct with a suture anchor. D. ORIF with plate and screw construct. E. Loss of fixation using headless compression screw. A transverse (dorsal to volar) 2-mm drill hold is made proximally through the ulnar neck, and a 27-gauge wire is placed through the TFCC at its insertion on the ulnar styloid. A figure-of-eight bend is made, and one limb is passed volar to dorsal through the transverse bone hole, whereas the other is passed dorsal to volar. The wire is then twisted to tension, and the pins are bent and cut. The bent tips are pointed radially and driven into the styloid with a small bone tamp, capturing the wire (TECH FIG 4B). Alternatively, after placing the pins through the ulnar styloid, a 2-0 suture anchor can be placed in the ulnar neck and the sutures passed in opposite directions around the styloid. The limbs are tied down to the medial ulnar shaft, and the pins are bent and cut as previously discussed (TECH FIG 4C). Plate and screw construct may also be used for buttress effect, but implant prominence must be considered (TECH FIG 4D). Headless compression screw fixation is advocated by some. We have noted frequent failure and malreduction with this technique. If screw fixation is used, bicortical fixation is recommended (TECH FIG 4E). If the DRUJ is still unstable, proceed with radioulnar transfixation pinning. Wound closure, sterile dressings, and long posterior splint are applied.
PEARLS AND PITFALLS
---
| 1.
Confirm reduction with intraoperative radiographs. Immobilize forearm
|
Radius is anatomically reduced and DRUJ is irreducible.
1.
Proceed with open reduction to removed interposed soft tissue structures and open repair of TFCC (with radioulnar pinning). Radius is anatomically reduced and DRUJ is grossly unstable.
1.
Proceed with radioulnar pinning (4-6 weeks) verses supination splinting for 6 weeks.
2.
Consideration can be giving to open verses arthroscopic TFCC repair (with radioulnar pinning). Follow-up examination
1.
Confirm at each follow-up DRUJ reduction radiographically. If there is any question of subluxation, evaluate axial imaging with CT scan. in neutral to slight supination in long-arm cast or splint in neutral for 2-4 weeks to allow for TFCC healing. Radius is stabilized and DRUJ is stable.
## POSTOPERATIVE CARE
Stable internal fixation of the radius and stable DRUJ Long-arm splint with forearm in neutral for 2 weeks. A retrospective review of patients with a stable DRUJ following radial fixation found that immobilization in supination for 4 weeks has no advantage over immobilization in neutral for a shorter time.16 Internal fixation of radius and DRUJ stabilization (pinning or open TFCC repair) Long-arm splint with forearm in neutral to slight supination for 4 to 6 weeks. If the radius and ulna have been pinned together, the patient is seen every 2 to 3 weeks to evaluate pin sites when they are left out of the skin. Full range of motion of the shoulder as allowed with longarm immobilization. At minimum, patients are encouraged to do shoulder pendulum exercises. Finger range of motion is encouraged as well. At each postoperative visit, radiographs must confirm reduction of the DRUJ. If there is any concern that the DRUJ is not reduced, CT scan is obtained. Pins are removed at 4-6 weeks. Following pin removal, pronosupination exercises are encouraged. Supervised therapy is recommended.
## OUTCOMES
A study of 17 patients with near-anatomically reduced radial shaft fractures, 10 without a DRUJ dislocation and 7 with a DRUJ dislocation, found comparable results whether the DRUJ was injured or not. There was an average follow-up of 19 years, and neither pinning of the radius to ulna nor TFCC repair was performed.19 Specifically, no significant differences in the Mayo Modified Wrist Score or Disabilities of the Arm, Shoulder, and Hand questionnaire were found. No differences in DRUJ laxity compared to the contralateral wrist were present.16 Pinning the radius to the ulna in a position of DRUJ reduction is the most commonly reported procedure in larger cases series, with excellent results reported.10, 17 A recent study evaluated 40 patients who had a single 1.2- or 1.6-mm smooth stainless steel pin placed proximal to the sigmoid notch with the forearm in supination for 6 weeks for DRUJ instability after radial fixation. At 6.8-year follow-up, none of these patients required more DRUJ surgery or had persistent DRUJ instability.10 Instability with an associated ulnar styloid fracture is less frequent in Galleazi injuries. Maintenance of stability has been reported with operative fixation of the ulnar styloid base.16 Screw or tension band fixation is commonly performed. Classically, Mikić12 defined an excellent result as radius union, perfect alignment, no loss of length, no subluxation of the DRUJ, and no limitation of supination or pronation. Using this criteria, Rettig and Raskin17 reported 95% excellent results in 40 Galeazzi fracture-dislocations. Twentyseven patients demonstrated DRUJ stability after radial fixation only. Ten patients demonstrated DRUJ instability and were treated with radioulnar pinning with two 1.6-mm smooth stainless steel pins only. Three patients had irreducible DRUJs and required open reduction, TFCC repair, and pinning of the DRUJ. None of the patients treated for an unstable or irreducible DRUJ had a poor result. Loss of pronosupination and wrist flexion are commonly reported, although the amount reported varies significantly in published literature.
## COMPLICATIONS
Specific to Galeazzi fracture-dislocations, subluxation or dislocation of the DRUJ can occur. This is most commonly a result of nonanatomic alignment of the radius. Pin site infection and pin breakage of radioulnar transfixation pins can also occur. As with all forearm fractures, malunion and nonunion can occur, although rare with appropriately applied compression plating. Both open and arthroscopic TFCC repair are associated with dorsal ulnar nerve cutaneous branch postoperative neuropathy. Notably, there is some evidence that the risk is increased with open repair.1 ##
Scientific References
- 1. Anderson ML, Larson AN, Moran SL, et al. Clinical comparison of arthroscopic versus open repair of triangular fibrocartilage complex tears. J Hand Surg Am 2008;33(5):675-682.** 2. **Cetti NE. An unusual cause of blocked reduction of the Galeazzi injury. Injury 1977;9(1):59-61.** 3. **Garcia-Elias M, Hagert E. Surgical approaches to the distal radioulnar joint. Hand Clin 2010;26(4):477-483.** 4. **Giannoulis FS, Sotereanos DG. Galeazzi fractures and dislocations. Hand Clin 2007;23(2):153-163.** 5. **Hagert E, Hagert CG. Understanding stability of the distal radioulnar joint through an understanding of its anatomy. Hand Clin 2010;26(4):459-466. 6. Henry AK. Extensile Exposure, ed 2. Baltimore: Williams & Wilkins, 1970. 7. Hughston JC. Fracture of the distal radial shaft; mistakes in management. J Bone Joint Surg Am 1957;39-A(2):249-264. 8. Jupiter JB. Commentary: the effect of ulnar styloid fractures on patient-rated outcomes after volar locking plating of distal radius fractures. J Hand Surg Am 2009;34(9):1603-1604. 9. Kleinman WB. Repairs of chronic peripheral tears/avulsions of the triangular fibrocartilage. In: Blair WF, ed. Techniques in Hand Surgery. Baltimore: Williams & Wilkins, 1996. 10. Korompilias AV, Lykissas MG, Kostas-Agnantis IP, et al. Distal radioulnar joint instability (Galeazzi type injury) after internal fixation in relation to the radius fracture pattern. J Hand Surg Am 2011;36(5):847-852. 11. Lo IK, MacDermid JC, Bennett JD, et al. The radioulnar ratio: a new method of quantifying distal radioulnar joint subluxation. J Hand Surg Am 2001;26(2):236-243. 12. Mikić ZD. Galeazzi fracture-dislocations. J Bone Joint Surg Am 1975;57(8):1071-1080. 13. Moore TM, Klein JP, Patzakis MJ, et al. Results of compressionplating of closed Galeazzi fractures. J Bone Joint Surg Am 1985;67(7):1015-1021. 14. Moritomo H. The distal interosseous membrane: current concepts in wrist anatomy and biomechanics. J Hand Surg Am 2012;37(7):1501-1507. 15. Noda K, Goto A, Murase T, et al. Interosseous membrane of the forearm: an anatomical study of ligament attachment locations. J Hand Surg Am 2009;34(3):415-422. 16. Park MJ, Pappas N, Steinberg DR, et al. Immobilization in supination versus neutral following surgical treatment of Galeazzi fracturedislocations in adults: case series. J Hand Surg Am 2012;37(3):528-531. 17. Rettig ME, Raskin KB. Galeazzi fracture-dislocation: a new treatmentoriented classification. J Hand Surg Am 2001;26(2):228-235. 18. Thomas BP, Sreekanth R. Distal radioulnar joint injuries. Indian J Orthop 2012;46(5):493-504. 19. van Duijvenbode DC, Guitton TG, Raaymakers EL, et al. Long-term outcome of isolated diaphyseal radius fractures with and without dislocation of the distal radioulnar joint. J Hand Surg Am 2012;37(3):523-527. [View Source / PubMed]
- 20. Watanabe H, Berger RA, Berglund LJ, et al. Contribution of the interosseous membrane to the distal radioulnar joint constraint. J Hand Surg Am 2005;30(6):1164-1171. [View Source / PubMed]
You Might Also Like