Radial Head & Neck Fracture ORIF: An Intraoperative Masterclass

Key Takeaway
Step into the operating room for a comprehensive masterclass on open reduction and internal fixation of radial head and neck fractures. This guide covers essential anatomy, detailed preoperative planning, granular intraoperative execution, and crucial pearls for successful outcomes. Master the nuances of elbow trauma, from precise dissection techniques and implant application to managing complex associated injuries and optimizing postoperative rehabilitation.
Definition
Radial head and neck fractures are the most common elbow fractures in adults representing 33% of elbow fractures.
They may occur in isolation or with concurrent osseous, osteochondral, and/or ligamentous injuries.
Management (which involves nonoperative, open reduction internal fixation [ORIF], fragment excision, radial head excision, or radial head replacement) is aimed at restoring motion or both motion and stability to the elbow and forearm, depending on the pattern of injury. This chapter focuses on the decision-making principles and operative techniques for ORIF of radial head and neck fractures.
Anatomy and Biomechanics
The radial head is entirely intra-articular with two articulations: (1) radiocapitellar joint and (2) proximal radioulnar joint (PRUJ).
The radiocapitellar joint has a saddle-shaped articulation allowing flexion, extension, and forearm rotation.
The PRUJ, constrained by the annular ligament, allows rotation of the radial head in the lesser sigmoid notch of the proximal ulna.
To avoid creating a mechanical block to pronation and supination, implants must be limited to a 90-degree arc (the “safe zone”) outside the PRUJ (FIG 1).7
FIG 1 • The safe zone is a roughly 90-degree arc of the radial head that does not articulate with the ulna in the PRUJ with full supination and pronation. With the wrist in neutral rotation, the safe zone is anterolateral.
There is considerable variability in the shape of the radial head, from nearly round to elliptical, as well as variability in the offset of the head from the neck.14
Blood supply to the radial head is tenuous with a major contribution from a single branch of the radial recurrent artery in the safe zone and minor contributions from both the radial and interosseous recurrent arteries which
penetrate the capsule at its insertion into the neck (FIG 2).26
The anterior band of the medial collateral ligament (MCL) is the primary stabilizer to valgus stress. The radial head, a secondary stabilizer, maintains up to 30% of valgus resistance in the native elbow. Therefore, in cases where the MCL is ruptured:
A radial head that is not reparable should be replaced with a prosthesis and not excised given its biomechanical importance.
It may be prudent to protect a repaired radial head from high valgus stress during early range of motion.
The radial head also functions in the transmission of axial load, transmitting 60% of the load from the wrist to the elbow.21 This is a crucial consideration when the interosseous membrane is disrupted in the Essex-
Lopresti lesion.9 Resection of the radial head in this setting results in devastating longitudinal radioulnar instability, proximal migration of the radius, and possible ulnar-carpal impingement.
FIG 2 • A. The radial recurrent artery, a branch of the radial artery, provides the main blood supply to the radial head. B. In most cadaveric specimens, a branch of the radial recurrent penetrates the radial head in the safe zone. (From Yamaguchi K, Sweet FA, Bindra R, et al. The extraosseous and intraosseous arterial anatomy of the adult elbow. J Bone Joint Surg Am 1997;79[11]:1653-1662.)
Pathogenesis
Radial head fractures result from trauma. A fall on an outstretched hand with the elbow in extension and the forearm in pronation produces an axial or valgus load (or both) driving the radial head into the capitellum,
fracturing the relatively osteopenic radial head.2
FIG 3 • Soft tissue injuries occur with unstable radial head fractures. Sample pictures showing (A) large capsular rupture and (B) avulsion of the lateral collateral ligament (LCL) and common extensor tendons from the lateral epicondyle.
Nondisplaced or minimally displaced injuries do not usually have associated injuries. However, displaced, comminuted, or unstable fractures have a high association of soft tissue injuries (FIG 3) that can lead to considerable complications, including pain, arthrosis, instability, and disability:
Capitellar cartilage defects, capitellar bone bruises, and/or posterior dislocation can occur with radial head fractures.
Axial loading may also rupture the interosseous membrane causing longitudinal radioulnar instability with dislocation of the distal radioulnar joint (DRUJ) (Essex-Lopresti fracture). An impacted radial neck or depressed radial head fracture should be highly suspicious of a concomitant interosseous membrane and DRUJ injury (FIG 4).
The “terrible triad” injury results from valgus loading of the elbow, disrupting the MCL or lateral ulnar collateral
ligament, and fracturing the radial head and coronoid process.
Radial head fractures can also occur with proximal ulnar fractures (Monteggia fracture) (FIG 5).
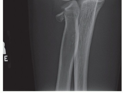
FIG 4 • AP x-ray showing a depressed articular fracture with impaction at the radial neck. This fracture pattern is highly suspicious for an Essex-Lopresti fracture. Radial head replacement is recommended. If ORIF is performed, the DRUJ should be stabilized to prevent instability.
FIG 5 • A,B. AP and lateral x-ray showing a type II Monteggia fracture—posterior dislocation of radial head (or fracture) and proximal ulnar fracture with posterior angulation. C. CT scan clearly showing impaction fracture of the radial head that may not be appreciable on x-ray.*
Natural History
The original Mason classification was modified by Johnson, and then Morrey. Hotchkiss proposed that the classification system be used to provide guidance for treatment. It has poor intraobserver and interobserver
reliability (FIG 6).9
Type I Fractures
Nondisplaced and offer no block to pronation and supination on examination Represents approximately 82% of radial head fractures18
Nonoperative treatment generally results in good to excellent outcomes with minimal loss of motion or resultant
arthrosis.1,3,8,12
Stiffness due to capsular contracture is the main reason for a poor outcome; however, it can often be managed successfully with physical therapy.
Type II Fractures
Displaced marginal segments that can block normal forearm rotation. According to Broberg and Morrey,6 the fragment should be greater than or equal to 30% of the articular surface and be displaced greater than or equal to 2 mm. We only include fractures with three or fewer articular fragments, which meet criteria for fractures that can be operatively reduced and fixed with reproducibly good results.

FIG 6 • The modified Mason classification for radial head fractures.*
Represents approximately 14% of radial head fractures18
Earlier studies suggested nonoperative treatment or radial head excision as the standard treatment,13,19,20,23 but as knowledge and technology advanced, optimal treatment has become more controversial.
Greater than 2 mm of displacement has often been cited as an indication for ORIF, but good results have been obtained in studies treating 2 to 5 mm of displacement nonoperatively.1,12
A mechanical block is the only clear indication for surgery.
A recent meta-analysis16 found successful nonoperative treatment in 80% compared to successful ORIF treatment in 93% for stable Mason type II fractures; however, the authors concluded that there was insufficient evidence to recommend optimal treatment.
Complications from nonoperative treatment such as painful clicking, nonunion, and arthrosis can be treated with radial head excision or arthroplasty; however, it is considered with modest increase in function. It has
shown 23% fair or poor results at 15 years of follow-up.5
Delayed excision of the radial head after failed nonoperative management may be considered with modest increase in function; it has shown 23% fair or poor results at 15 years of follow-up.5 Other studies suggested that there is no difference between delayed and primary excision.11
Type III Fractures
Comminuted or impacted articular fractures (see FIG 4) are optimally managed with prosthetic replacement. Represents approximately 3% of radial head fractures18
Radial head arthroplasty or excision is considered when satisfactory reduction or stable fixation is not obtained
or in comminuted fractures because fixation of a radial head with more than three articular fragments is fraught with poor results.22
Results of excision are poor in patients with concomitant MCL, coronoid, or interosseous membrane injury.
Radial head resection should be reserved for patients with low functional demands, limited life expectancy, or in the presence of infection, and when the surgeon has excluded elbow instability with a fluoroscopic examination.
Radiographic, but usually clinically silent, degenerative changes such as cysts, sclerosis, and osteophytes occur radiographically in about 75% of elbows after radial head excision.
There is also a demonstrable increase in ulnar variance at the wrist and increased carrying angle and a 10% to 20% loss of strength is expected.
Radial head arthroplasty can provide radiocapitellar contact similar to the native radial head and thus resists valgus and posterior instability. Additionally, it resists proximal migration of the radius in response to axial loading. It facilitates uneventful healing of the MCL, interosseous ligaments, and DRUJ.
Type IV Fractures
Radial head fractures associated with elbow instability. The radial head should never be resected in the acute setting.
Represents approximately 1% of radial head fractures18
Treatment involves immediate reduction of the elbow joint and treatment of the radial head fracture and associated bony injuries. Whether the radial head is fixed or replaced, it must be capable of bearing load immediately. If the radial head can be fixed, repair of the torn ligaments and application of a hinged fixator to protect the repaired radial head may be considered. Otherwise, satisfactory results have been obtained with
radial head replacement without ligamentous repair.10
Patient History and Physical Findings
History
The history typically involves a fall on an outstretched hand followed by pain and edema over the lateral elbow, accompanied by limited range of motion.
The mechanism of the injury should be determined to add information about associated elbow injuries or injuries to the shoulder or hand.
The examiner should note the patient's activity level and profession.
FIG 7 • MCL injury with extensive medial ecchymosis.*
Physical Examination
Physical examination should include neurovascular status, examination of the joint above (shoulder) and below (wrist), and examination of the skin to look for medial ecchymosis (FIG 7), which may suggest injury to the MCL.
A detailed examination of the elbow must include bony palpation of the medial and lateral epicondyles, olecranon process, DRUJ, and radial head as well as the squeeze test of the interosseous membrane and DRUJ to screen for potential longitudinal instability.
Varus and valgus stress testing, with or without fluoroscopy, can indicate injury to the anterior band of the MCL or to the lateral ulnar collateral ligament, respectively.
Range-of-motion and stress examinations are vital to proper decision making and may obviate the need for advanced imaging if performed correctly with adequate anesthesia. If omitted, this will lead to undiagnosed associated injuries and may result in flawed decision making.
In the emergency department or office, adequate anesthesia may be obtained by aspirating hematoma, then injecting the elbow joint with 5 mL of local anesthetic and examining the elbow under fluoroscopy. This may be performed by the traditional lateral injection in the “soft spot” or posteriorly into the olecranon fossa (FIG
8).25 A mechanical block is an indication for operative intervention.
If operative intervention is clearly indicated, this examination can be performed under a general anesthetic, provided the surgeon and patient are prepared for a change in operative plan as dictated by the
examination.
Normal values are 0 to 145 degrees of flexion-extension, 85 degrees of supination, and 80 degrees of pronation. The examiner should check for a bony block to motion.
Diagnostic Studies
Radiography
Anteroposterior (AP), lateral, and oblique views are the standard of care, but they may underestimate or overestimate joint impaction and degree of comminution.
A radiocapitellar view with forearm in neutral and at 45 degrees of flexion gives an improved view of the articular surfaces.
A sailboat sign can provide suspicion to an occult radial neck fracture.
FIG 8 • The elbow joint can be aspirated and injected through the posterior and posterolateral approaches.*
They are equally effective and should be used based on soft tissue injury.
If the examination reveals wrist or forearm tenderness, the examiner should have a low threshold for obtaining bilateral wrist posteroanterior (PA) views to rule out an Essex-Lopresti lesion. Alternatively, this can be done with a one cassette view to minimize radiation exposure (FIG 9).
Magnetic Resonance Imaging
Magnetic resonance imaging (MRI) is a useful adjunct to physical examination for evaluating associated
injuries such as collateral ligament tears, chondral defects, and loose bodies,15 but it is not routinely indicated. Most of the associated injuries found on MRI at the time of injury have been found to be not clinically significant.15,17
FIG 9 • A. A positive Itamura simultaneous DRUJ view showing negative ulnar variance of the uninjured left DRUJ compared with neutral ulnar variance of the right injured DRUJ suggesting interosseous membrane disruption. Patient had a right radial head fracture and proximal migration of the radius respective to the ulna (Essex-Lopresti fracture). B. Image is taken with 90-degree shoulder flexion, 90-degree elbow flexion, and 90-degree forearm pronation.
Computed Tomography
If decision is made for operative treatment, we routinely obtain a computed tomography (CT) scan to better understand the fracture pattern for preoperative planning, so that operative time is efficient and to minimize intraoperative surprises. Three-dimensional reconstructions provide further information not always easily appreciated on routine CT scans.
Differential Diagnosis
Simple elbow dislocation Distal humerus fracture Olecranon fracture
Septic elbow
Nonoperative Management
The standard protocol for treating radial head fractures is shown in FIG 10.
Conservative management, with a week of sling immobilization followed by range of motion once the acute pain resolves, is the treatment of choice in nondisplaced radial head fractures, where universally good and excellent results have been reported.
Nonoperative management is also the treatment of choice in fractures with less than 2 mm of displacement, with minor head involvement, and without bony blockage to range of motion.
A 7-day period of cast or splint immobilization is followed by aggressive motion after the inflammatory phase.
Our current practice for fractures that are more than 2 mm displaced is to determine whether there is a blockage of motion on fluoroscopic examination.
If there is maintenance of at least 50 degrees of both pronation and supination, we typically recommend conservative treatment.
FIG 10 • Treatment algorithm for radial head fractures.*
If there is a blockage or instability, excision, fixation, or arthroplasty is recommended based on patient factors and instability.
A recent report regarding the long-term results of nonoperative management (similar to that described) of 49 patients with radial head fractures encompassing over 30% of the joint surface and displaced 2 to 5 mm revealed that 81% of patients had no subjective complaints and minimal loss of motion versus the uninjured
extremity. Only one patient had daily pain.1
Surgical Management
Preoperative Planning
It is essential to review all imaging and perform thorough history, physical, and fluoroscopic examinations before making an incision.
The presence of instability or associated fractures warrants a more extensile approach.
Positioning
Positioning depends on the planned approach and the surgeon's preference.
We prefer the patient supine with the affected extremity brought across the chest over a bump to allow access to the posterolateral elbow.
A sterile tourniquet is placed high on the arm.
Approach
The posterolateral (Kocher) approach has traditionally been presented to approach radial head fractures;
however, we prefer a modified Wrightington approach24 which is a modified posterior (Boyd) approach4 between the interval between the ulna and anconeus for the following reasons: (FIG 11).
It offers superior visualization of the radial head and neck which is important in ORIF.
It is also the only approach that allows visualization of the radioulnar, radiohumeral, and ulnohumeral joint spaces which is essential in selecting the appropriate radial head implant size if arthroplasty is warranted.
The approach is extensile and can allow the surgeon to address ligamentous injuries in addition to the radial head fracture with less risk of neuroma formation and neurologic injury.
FIG 11 • Surgical intervals for the Boyd approach and the Kocher approach.*
Techniques
-
Kocher Approach
The traditional posterolateral (Kocher) approach between the anconeus and extensor carpi ulnaris is cosmetic and spares the lateral ulnar collateral ligament.
We recommend not using an Esmarch tourniquet to allow visualization of penetrating veins that help identify the interval.
A 5-cm oblique incision is made from the posterolateral aspect of the lateral epicondyle obliquely to a point three fingerbreadths below the tip of the olecranon in line with the radial neck (TECH FIG 1A).



- TECH FIG 1 • Kocher approach. A. The skin incision proceeds distally from the posterolateral aspect of the lateral epicondyle to the posterior aspect of the proximal radius. B. Fullthickness flaps are made and the fascial interval between the extensor carpi ulnaris and anconeus muscles is identified. C. With longitudinal incision of the fascia and blunt division of the muscles, the joint capsule is evident. D. The capsule is longitudinally incised, and the fascia is tagged with figure-8 stitches for later anatomic repair.
The radial head and epicondyle are palpated, and the fascia is divided in line with the skin incision.
The Kocher interval is identified distally by small penetrating veins and bluntly developed, revealing the lateral ligament complex and joint capsule (TECH FIG 1B).
The anconeus is reflected posteriorly and the extensor carpi ulnaris origin anteriorly. The capsule is incised obliquely anterior to the lateral ulnar collateral ligament (TECH FIG 1C,D).
The proximal edge of the annular ligament may also be divided and tagged, with care taken not to proceed distally and damage the posterior interosseous nerve. -
Modified Wrightington Approach
An 8-cm straight longitudinal incision is made just lateral to the olecranon (TECH FIG 2A). Full-thickness skin flaps are developed bluntly over the fascia.
The fascia is longitudinally incised in the interval between the anconeus and ulna (TECH FIG 2B).
The anconeus is dissected off the ulna, elevating proximal to distal to preserve the distal vascular pedicle. Great care is taken not to violate the joint capsule or lateral ulnar collateral ligament by using blunt fashion (TECH FIG 2C).
The lateral ulnar collateral ligament and annular ligament complex are sharply divided and tagged from
their insertion on the crista supinatoris of the ulna. The radial head and its articulation with the capitellum are now evident (TECH FIG 2D).
After repair or replacement, the ligaments are repaired to their insertion with suture anchors.

- TECH FIG 2 • Modified Wrightington approach. A. Make an 8-cm longitudinal incision at the junction of the ulna and anconeus starting about four fingerbreadths distal to the olecranon and extending 2 cm proximal to the olecranon. (continued)
TECH FIG 2 • (continued) B. The interval between the ulna and anconeus is incised sharply, with care taken not to violate the periosteum or muscle to minimize the risk of proximal radioulnar synostosis. C. Blunt elevation of the anconeus is crucial to avoid damaging the capsule or lateral ligament complex. D. The capsule and lateral ligament complex are tagged during the approach to facilitate final repair with suture anchors.
2. ## Fracture Inspection and Preparation
The fracture is now completely visible along with full visualization of the radial head by posteriorly subluxing the radial head out of the joint (TECH FIG 3).
The wound is irrigated, and loose bodies are removed.
The forearm is rotated to obtain a circumferential view of the fracture and appreciate the safe zone for hardware placement.
If comminution (more than three pieces) is evident at this step or significant impaction with a DRUJ injury, we elect to replace the radial head.
TECH FIG 3 • The modified Wrightington approach allows for full visualization of the radial head and fracture by subluxing the radial head posteriorly out of the joint.
3. ## Reduction and Provisional Fixation
Any joint impaction is elevated and the void filed with local cancellous graft from the lateral epicondyle.
The fragments are reduced provisionally with a tenaculum and held with small Kirschner wires placed out of the zone where definitive fixation is planned.
It is acceptable to place this temporary fixation in the safe zone.
-
Fixation
There are many options for definitive fixation7:
One or two countersunk 2.0- or 2.7-mm AO cortical screws perpendicular to the fracture Mini-plates
Small headless screws Polyglycolide pins
Poly-L-lactic acid screws Small threaded wires
We prefer to use two parallel Biotrak screws (Acumed, Hillsboro, Oregon), which are cannulated,
headless, resorbable, and variable pitched for isolated head fractures (TECH FIG 4). For fractures with neck extension, we prefer AO 2.0- or 2.7-mm mini-plates along the safe zone.


- TECH FIG 4 • Tenaculum clamps and 0.062-inch Kirschner wires are placed outside the zone of planned definitive fixation to provisionally hold the reduction. Two Biotrak screws are inserted for definitive fixation while the fracture is held reduced.
-
Closure
Any releases or injury to the annular ligament or lateral ulnar collateral ligament must be repaired anatomically. Drill holes with transosseous sutures are a proven method, but most authors now use suture anchors with reproducible results.
Skin closure is performed in standard fashion with drains at the surgeon's discretion.
Pearls and Pitfalls
Protection of
the posterior interosseous nerve
1. Pronation of the forearm moves the posterior interosseous nerve away from the
operative field during posterior approaches.
2. Dissection should remain subperiosteally.
Comminution ▪ We have a low threshold for excision or arthroplasty in the setting of
comminution.
Examination
1. A thorough fluoroscopic examination is the most important factor in deciding
what treatment is appropriate. To obtain a true lateral view, we recommend abducting the arm and externally rotating the shoulder while placing the elbow on the image intensifier.
1. Prosthetic radial head replacement should be discussed with the patient as an
option and should be available in the room should the fracture prove to be comminuted.
2. A hinged external fixator should be available if instability may be an issue.
Hardware
1. A fluoroscopy unit should be available for examination under anesthesia before sterile preparation.
Fluoroscopy
Postoperative Care
The elbow is immobilized in a splint for 7 to 10 days.
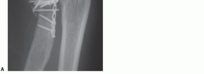
Serial x-rays are obtained to detect any loss of reduction at immediate postoperative, 2 weeks, 6 weeks, and 3 months, until healing is achieved (FIG 12).
Active range of motion is allowed as soon as tolerable. Supervised therapy may be considered if the patient is not making adequate progress.
Associated injuries may call for more protected range of motion.
Light activities of daily living are allowed at 2 weeks, with increased weight bearing at 6 weeks.
Outcomes
The results of ORIF depend both on host factors such as the type of fracture, smoking, compliance, level of physical demand as well as surgical and rehabilitation protocols.
In uncomplicated fractures, over 90% satisfactory results can be expected.
Complications and resultant secondary procedures will be more likely in cases with undiagnosed instability and associated injury.
- FIG 12 • Postoperative x-rays showing anatomic reduction of the radial head fracture. The Biotrak screws are radiolucent. Note that anchor holes are seen at the crista supinatoris where the lateral ulnar collateral ligament (LUCL) and annular ligament complex are repaired.

Complications
Stiffness is the most common complication, with loss of terminal extension, supination, and pronation being most evident.
Arthritis of the radiocapitellar joint or PRUJ Heterotopic ossification
Symptomatic hardware may require secondary removal (FIG 13). Infection
FIG 13 • A. Oblique radiograph demonstrating prominent hardware limiting forearm rotation. B.*
Arthroscopic view in the lateral gutter demonstrating hardware impingement at the PRUJ.
Early and late instability from missed or failed treatment of associated injuries
The rate of avascular necrosis is about 10%, significantly higher in displaced fractures. This is expected given that the radial recurrent artery inserts in the safe zone where hardware is placed. This is generally clinically silent.
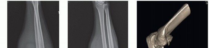
Loss of reduction Nonunion (FIG 14)
- FIG 14 • ORIF of radial neck fracture that went on to nonunion and avascular necrosis.
Scientific References
- 1. Akesson T, Herbertsson P, Josefsson PO, et al. Primary nonoperative treatment of moderately displaced two-part fractures of the radial head. J Bone Joint Surg Am 2006;88(9):1909-1914. [View Source / PubMed]
- 2. Amis AA, Miller JH. The mechanisms of elbow fractures: an investigation using impact tests in vitro. Injury 1995;26:163-168. [View Source / PubMed]
- 3. Antuna SA, Sánchez-Márquez JM, Barco R. Long-term results of radial head resection following isolated radial head fractures in patients younger than forty years old. J Bone Joint Surg Am 2010;92:558-566. [View Source / PubMed]
- 4. Boyd HB. Surgical exposure of the ulna and proximal third of the radius through one incision. Surg Gynecol Obstet 1940;71:86-88. [View Source / PubMed]
- 5. Broberg MA, Morrey BF. Results of delayed excision of the radial head after fracture. J Bone Joint Surg Am 1986;68(5):669-674. [View Source / PubMed]
- 6. Broberg MA, Morrey BF. Results of treatment of fracture-elbow dislocations of the elbow and intraarticular fractures. Clin Orthop Relat Res 1989;246:126-130. [View Source / PubMed]
- 7. Caputo AE, Mazzocca AD, Sontoro VM. The nonarticulating portion of the radial head: anatomic and clinical correlations for internal fixation. J Hand Surg Am 1998;23(6):1082-1090. [View Source / PubMed]
- 8. Esser RD, Davis S, Taavao T. Fractures of the radial head treated by internal fixation: late results in 26 cases. J Orthop Trauma 1995;9: 318-323. [View Source / PubMed]
- 9. Essex-Lopresti P. Fractures of the radial head with distal radioulnar dislocation. J Bone Joint Surg Br 1951;33(2):244-250. [View Source / PubMed]
- 10. Harrington IJ, Tountas AA. Replacement of the radial head in the treatment of unstable elbow fractures. Injury 1981;12(5):405-412. [View Source / PubMed]
- 11. Herbertsson P, Josefsson PO, Hasserius R, et al. Fractures of the radial head and neck treated with radial head excision. J Bone Joint Surg Am 2004;86-A(9):1925-1930. [View Source / PubMed]
- 12. Herbertsson P, Josefsson PO, Hasserius R, et al. Uncomplicated Mason type-II and III fractures of the radial head and neck in adults. A longterm follow-up study. J Bone Joint Surg Am 2004;86-A(3):569-574. [View Source / PubMed]
- 13. Hotchkiss RN. Fractures and dislocations of the elbow. In: Rockwood CA Jr, Green DP, eds. Fractures in Adults, ed 4. Philadelphia: Lippincott-Raven, 1996:929-1024. [View Source / PubMed]
- 14. Itamura JM, Roidis NT, Chong AK, et al. Computed tomography study of radial head morphology. J Shoulder Elbow Surg 2008; 17(2):347-354. [View Source / PubMed]
- 15. Itamura J, Roidis N, Mirzayan R, et al. Radial head fractures: MRI evaluation of associated injuries. J Shoulder Elbow Surg 2005;14(4): 421-424. [View Source / PubMed]
- 16. Kaas L, Struijs PA, Ring D, et al. Treatment of Mason type II radial head fractures without associated fractures or elbow dislocation: a systematic review. J Hand Surg Am 2012;37(7):1416-1421. [View Source / PubMed]
- 17. Kaas L, van Riet RP, Turkenburg JL, et al. Magnetic resonance imaging in radial head fractures: most associated injuries are not clinically relevant. J Shoulder Elbow Surg 2011;20(8):1282-1288. [View Source / PubMed]
- 18. Kovar FM, Jaindl M, Thalhammer G, et al. Incidence and analysis of radial head and neck fractures. World J Orthop 2013;4(2):80-84. [View Source / PubMed]
- 19. McKee MD, Jupiter JB. Trauma to the adult elbow and fractures of the distal humerus. In: Browner BD, Jupiter JR, Levine AM, et al, eds. Skeletal Trauma, ed 2. Philadelphia: WB Saunders, 1998:1455-1522. [View Source / PubMed]
- 20. Morrey BF. Radial head fracture. In: Morrey BF, ed. The Elbow and Its Disorders, ed 3. Philadelphia: WB Saunders, 2000:341-364. [View Source / PubMed]
- 21. Morrey BF, An KN, Stormont TJ. Force transmission through the radial head. J Bone Joint Surg Am 1988;70(2):250-256. [View Source / PubMed]
- 22. Ring D, Quintero J, Jupiter JB. Open reduction and internal fixation of fractures of the radial head. J Bone Joint Surg Am 2002; 84-A(10):1811-1815. [View Source / PubMed]
- 23. Roidis NT, Papadakis SA, Rigopoulos N, et al. Current concepts and controversies in the management of radial head fractures. Orthopedics 2006;29(10):904-916. [View Source / PubMed]
- 24. Stanley JK, Penn DS, Wasseem M. Exposure of the head of the radius using the Wrightington approach. J Bone Joint Surg Br 2006; 88(9):1178-1182. [View Source / PubMed]
- 25. Tang CW, Skaggs DL, Kay RM. Elbow aspiration and arthrogram: an alternative method. Am J Orthop 2001;30:256. [View Source / PubMed]
- 26. Yamaguchi K, Sweet FA, Bindra R, et al. The extraosseous and intraosseous arterial anatomy of the adult elbow. J Bone Joint Surg Am 1997;79(11):1653-1662. [View Source / PubMed]
You Might Also Like