Pelvic Resection: An Intraoperative Masterclass in Complex Oncologic Surgery

Key Takeaway
This masterclass provides an exhaustive, real-time surgical guide to pelvic resections. Fellows will learn critical anatomical landmarks, meticulous neurovascular dissection, precise osseous cuts, and strategies for managing complex tumors. We cover preoperative planning, intraoperative execution, and postoperative care, emphasizing technique, rationale, and complication avoidance for superior patient results.
Welcome, fellows, to the operating theater. Today, we're tackling one of the most challenging areas in orthopaedic oncology: a pelvic resection. The pelvis, with its intricate neurovascular bundles, vital viscera, and complex biomechanics, demands nothing short of meticulous planning and flawless execution. This isn't just a bone resection; it's a symphony of anatomical understanding, surgical precision, and strategic decision-making.
Preoperative Planning: The Blueprint for Success
Before we even consider making an incision, our battle plan is drawn. Pelvic tumor surgery carries the highest rates of complications, infections, and mechanical failure among all anatomic sites, underscoring the absolute necessity of thorough preoperative evaluation.
Patient Assessment and Staging
Our patient today presents with a high-grade chondrosarcoma of the left periacetabular region. This is a primary malignant osseous tumor, notorious for its size and myxomatous component, often appearing much larger on advanced imaging than on plain radiographs.
- Clinical History and Physical Exam: We've reviewed the patient's symptoms, functional status, and comorbidities.
- Biopsy: A CT-guided core needle biopsy was performed initially. This is crucial for obtaining a valid tumor diagnosis, grade, and subtype, while minimizing contamination. The biopsy tract must always be planned within the line of our eventual resection.
- Imaging Modalities:
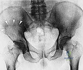
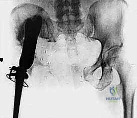
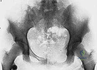
- Plain Radiography (FIG 2): While of limited value for early lesions, it provides an initial overview. As you can see in Figure 2A, we have a large lytic lesion of the right periacetabular region. Figure 2C shows a cartilage-forming lesion in the left ilium. However, plain films often underestimate the true extent of these tumors.

- Plain Radiography (FIG 2): While of limited value for early lesions, it provides an initial overview. As you can see in Figure 2A, we have a large lytic lesion of the right periacetabular region. Figure 2C shows a cartilage-forming lesion in the left ilium. However, plain films often underestimate the true extent of these tumors.
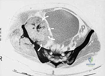
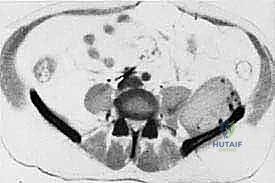
* CT with Intravenous Contrast and 3D Reconstruction (FIG 3): This is our workhorse for assessing bone involvement, destruction, and the critical relationship between the tumor and major pelvic blood vessels. It reveals any distortion of the pelvic anatomy and guides resectability. Figure 3A clearly shows extensive bone destruction and tumor extension into the pelvis and gluteal region. Figure 3C highlights an extensive tumor on the medial aspect of the ilium with destruction of the inner table.

* MRI with Contrast: Essential for soft tissue imaging (vessels, nerves, muscle) and marrow involvement. It's the optimal modality for assessing the true extent of the tumor beyond the bone.
* FDG-PET/CT: Useful for assessing malignancy grade, response to neoadjuvant chemotherapy, and detecting local recurrence or systemic metastases. It's less critical for precise surgical planning of resection margins but invaluable for overall staging and surveillance.
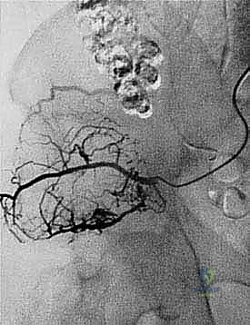
* Angiography: Mandatory. We need to map the vascular anatomy, which is often severely distorted by large pelvic tumors. This helps us determine the exact level of the aortic and common iliac bifurcations preoperatively and rule out direct vascular involvement. For vascular tumors like renal cell carcinoma metastases, preoperative embolization is always required to minimize intraoperative blood loss.
* Venography: Crucial to rule out tumor thrombi within the pelvic veins, a common finding in chondrosarcomas and osteosarcomas, which would significantly alter our surgical approach.
* Bone Scan: Used to rule out systemic metastasis and assess focal osseous involvement.
Templating and Resection Margins
Based on our imaging, we've templated the precise osteotomies required to achieve clear oncologic margins while preserving as much functional anatomy as possible. This involves defining the osseous boundaries:
* Superior/Cephalad Margin: Ilium and the rim of the greater sciatic notch.
* Posterior Margin: Piriformis muscle and the superior gluteal vessels and nerve.
* Inferior Margin: Sacrospinous and sacrotuberous ligaments.
Patient Positioning and OR Setup
For this periacetabular chondrosarcoma, we'll be using an extended iliofemoral approach, which provides excellent exposure to the acetabulum, ilium, and proximal femur.
- General Anesthesia: Our anesthesia team has secured central venous access, arterial line for continuous blood pressure monitoring, and has blood products readily available.
- Foley Catheter: Essential for monitoring urine output and decompressing the bladder, keeping it out of our field.
- Patient Positioning: We'll position the patient in a lateral decubitus position on the OR table, affected side up.
- Support: Beanbag or padded rolls will secure the patient.
- Padding: All pressure points (axilla, knees, ankles) are meticulously padded to prevent nerve palsies or skin breakdown.
- Fluoroscopy: The C-arm will be draped and positioned to allow for intraoperative AP and oblique views of the pelvis without repositioning the patient. We've ensured clear access to the entire operative field.
- Surgical Prep and Drape: The entire affected limb, hemipelvis, and lower abdomen will be prepped with antiseptic solution and draped to allow for extensive exposure and potential limb manipulation.
Comprehensive Surgical Anatomy: Navigating the Pelvic Labyrinth
Fellows, this is where our anatomical knowledge truly shines. The pelvis is a minefield of vital structures. We must identify, protect, or, when absolutely necessary, intentionally sacrifice these structures with full awareness of the functional consequences.
FIG 1 • The bony pelvis and its relation to the major blood vessels, nerves, and visceral organs.
Pelvic Nerves
- Sciatic Nerve (L4, L5, S1, S2, S3): This is our largest nerve and a prime target for protection.
- Course: It emerges from the pelvis through the greater sciatic notch, inferior to the piriformis muscle, and enters the thigh lateral to the ischial tuberosity. Remember, in about 10% of patients, it penetrates the piriformis muscle, making its identification even more critical. It's accompanied by the inferior gluteal artery.
- Identification: We'll identify it early and distally at the greater sciatic notch, then trace it proximally below the psoas muscle, where it forms at the junction of the lumbosacral plexus.
- Protection: It must be protected throughout most procedures.
- Risks at Greater Sciatic Notch: Great care is needed here to avoid injuring the accompanying inferior and superior gluteal nerves and arteries, which supply the abductors and gluteus maximus—a muscle essential for closure.
- Femoral Nerve (L2, L3, L4): Arises from posterior divisions of the ventral rami.
- Course: Passes inferolaterally between the psoas and iliacus muscles, over the superficial iliacus, and enters the proximal thigh under the inguinal ligament, just lateral to the superficial femoral artery.
- Identification: We'll find it early in the space between the iliacus and psoas muscles as they exit the pelvis, lying just below the fascia, lateral to the femoral artery and vein.
- Preservation: This nerve is almost always preserved during pelvic resections.
- Obturator Nerve (L2, L3, L4): Formed from anterior branches of the lumbar plexus.
- Course: Descends through the iliopsoas, courses distally over the sacral ala into the lesser pelvis, lateral to the ureter and under the internal iliac vessels. It then traverses the obturator foramen into the medial thigh, under the superior pubic ramus, dividing into anterior and posterior branches.
- Sacrifice: In Type 3 pelvic floor resections, this nerve is routinely transected due to its intimate proximity to the tumor.
- Lumbar Plexus Sensory Nerves (Iliohypogastric L1, Ilioinguinal L1, Genitofemoral L1, L2, Lateral Femoral Cutaneous L2, L3): These travel downward laterally along the iliopsoas, pass underneath the lateral aspect of the inguinal ligament, and just distal and medial to the anterior superior iliac crest.
- Sacrifice: These superficial nerves are often sacrificed during extensive pelvic surgical approaches.
Pelvic Vessels
- Aortic Bifurcation: The aorta bifurcates at L4 into the common iliac vessels.
- Common Iliac Artery: Must be identified early. It bifurcates into the internal and external iliac arteries at the level of S1 (ala sacralis).
- Critical Landmark: The ureter crosses on the adjacent peritoneal surface at the exact level of the common iliac bifurcation.
- Warning: The levels of these bifurcations can vary, especially with large tumor masses. Preoperative angiography is mandatory to avoid ligating the wrong vessels, particularly with midline tumors.
- Internal Iliac (Hypogastric) Artery and Vein:
- Course: Descends from the lumbosacral articulation to the greater sciatic notch, branching extensively.
- Challenge: Often difficult to identify or ligate due to overlying structures and its position atop a frequently large, easily injured vein.
- Ligation: Routinely ligated in modified hemipelvectomies and many pelvic resections.
- External Iliac Artery:
- Course: Contributes to the inferior epigastric artery and extends distally as the superficial femoral artery.
- Branches: Notably, no arterial branches arise from the external iliac artery itself, though the common iliac vein has a major branch, the iliolumbar vein, joining it.
- Iliolumbar Artery: Ascends posterior to the obturator nerve and external iliac vessels to the medial border of the psoas. Divides into lumbar and iliac branches. The iliac branch is often ligated during surgery.
- Inferior Gluteal Artery: Curves posteriorly between S1/S2 or S2/S3, then runs between piriformis and coccygeus or through the greater sciatic foramen into the gluteal region below the piriformis.
- Superior Gluteal Artery: Runs posteriorly between the lumbosacral trunk and S1 nerve, leaving the pelvis through the greater sciatic foramen superior and posterior to the piriformis.
- Preservation: Great care must be taken to preserve the gluteal vessels and nerves when performing Type 1 and 2 pelvic resections, as they supply critical musculature.
- Corona Mortis: A dangerous anastomosis of the external iliac, inferior epigastric, and obturator vessels, located in the retropubic region approximately 3 cm from the symphysis pubis. Laceration can lead to extensive, life-threatening bleeding. This anatomical variant is a critical consideration during ilioinguinal approaches.
Visceral Structures
- Ureter:
- Origin/Course: Originates from the renal pelvis (L1), courses retroperitoneally to the medial surface of the psoas major, crossed by gonadal vessels.
- Key Landmark: Crosses from lateral to medial on the peritoneal surface at the level of the common iliac bifurcation. This is our primary landmark for early identification during retroperitoneal dissection.
- Insertion: Courses medially at the sciatic notch to insert into the bladder trigone.
- Protection: Routinely identified and protected.
- Bowel and Bladder: Their proximity to the pelvis necessitates careful dissection and protection. Preoperative assessment of tumor involvement is paramount.
Osseous Boundaries and Ligaments
- Greater Sciatic Notch: Must be identified early, both internally and externally, to protect the sciatic nerve and gluteal pedicles.
- Sacrospinous and Sacrotuberous Ligaments: These are released during Type 1 and 2 pelvic resections to mobilize the pelvis.
Step-by-Step Intraoperative Execution: A Masterclass in Precision
Alright, fellows, let's begin. We have our patient positioned, prepped, and draped. Our preoperative plan is clear.
1. Incision and Initial Exposure
"Scalpel, please. We'll make our incision for this extended iliofemoral approach. This will be a long, curvilinear incision extending from the posterior iliac crest, sweeping anteriorly along the iliac crest, then curving inferiorly over the anterior superior iliac spine (ASIS) and distally along the lateral aspect of the thigh."
- Skin Incision: Deepen the incision through the subcutaneous tissue to the fascia. Control superficial bleeders with electrocautery.
- Fascial Incision: Incise the fascia lata distally and continue proximally over the gluteal fascia.
- Elevation of Gluteal Muscles: "Now, we'll carefully elevate the gluteus maximus and medius from the outer table of the ilium. Use a Cobb elevator, staying subperiosteal to minimize muscle damage and bleeding. Remember, the gluteus maximus is vital for our eventual closure."
- Superior Gluteal Nerve and Vessels: "As we work posteriorly and superiorly, be acutely aware of the superior gluteal vessels and nerve exiting the greater sciatic foramen superior and posterior to the piriformis muscle. For this Type 1/2 resection, we must preserve these structures meticulously."
2. Retroperitoneal Dissection and Neurovascular Control
"This is arguably the most critical phase, fellows. Our goal is to gain access to the inner pelvis and control the major neurovascular structures before any osseous cuts."
- Abdominal Wall Dissection: "We'll incise the external oblique aponeurosis, then the internal oblique and transversus abdominis muscles, carefully reflecting them off the inner table of the ilium."
- Identification of the Iliopsoas Muscle: "Here we see the iliopsoas muscle. We'll need to release its origin from the inner aspect of the ilium to expose the underlying neurovascular structures."
- Femoral Nerve Identification: "As we release the iliopsoas, look for the femoral nerve. It lies in the interval between the psoas and iliacus muscles, just beneath the fascia, lateral to where the femoral artery and vein will emerge. Identify it early, protect it with a vessel loop, and keep it out of harm's way. This nerve is almost always preserved."

* Retroperitoneal Space Entry: "Now, we're entering the retroperitoneal space. Use blunt dissection to sweep the peritoneum and its contents (bowel, bladder) medially, exposing the major vessels."
* Ureter Identification: "Follow my dissection carefully. Here, crossing from lateral to medial on the peritoneal surface, at the level of the common iliac bifurcation, is the ureter. This is a critical landmark. Identify it, protect it, and ensure it's not inadvertently included in our dissection or resection. We'll use a vessel loop to gently retract it medially."
* Common Iliac Artery and Bifurcation: "Trace the common iliac artery distally. Remember our preoperative angiography? We confirmed the aortic bifurcation at L4 and the common iliac bifurcation at S1, the ala sacralis. It's crucial to identify both levels. Here, the common iliac artery divides into the external and internal iliac arteries."
> SURGICAL WARNING: "Fellows, never proceed with vessel ligation without absolute certainty of your anatomy. Distorted anatomy due to tumor mass can lead to catastrophic ligation of the wrong vessel. Preoperative angiography is your guide, but intraoperative confirmation is paramount."
* Internal Iliac Artery and Vein: "The internal iliac (hypogastric) artery and its accompanying vein are often difficult to identify and lie intimately with the tumor in many resections. In this case, given the extent of the chondrosarcoma, we anticipate ligating the internal iliac vessels to control bleeding and achieve adequate margins. Note how the artery often lies on top of its larger, more fragile vein. We'll use double ligation with heavy silk sutures and clips to ensure hemostasis."
* "We'll also identify and ligate the iliolumbar artery, which ascends posterior to the obturator nerve and external iliac vessels."
* External Iliac Artery and Vein: "The external iliac artery continues distally as the superficial femoral artery. No major arterial branches arise from it directly. We'll carefully dissect around it, preserving it entirely, as it's crucial for limb viability."
* Obturator Nerve Identification: "As we dissect deeper, near the obturator foramen, we'll encounter the obturator nerve. It descends through the iliopsoas and courses under the internal iliac vessels. For this particular periacetabular resection, we aim to preserve it if oncologically feasible. However, in Type 3 pelvic floor resections, it's often intentionally transected. Today, we'll gently retract it."
3. Dissection of the Sciatic Notch and Posterior Elements
"Now, let's turn our attention to the posterior aspect, specifically the greater sciatic notch. This is another high-risk area."
- Sciatic Nerve Identification: "We've already identified the sciatic nerve distally. Now, we'll carefully trace it proximally from the greater sciatic notch, ensuring it's completely free from the tumor and protected with a broad Penrose drain or vessel loop. Remember its relationship to the piriformis muscle."
- Inferior and Superior Gluteal Nerves and Arteries: "As we mobilize the sciatic nerve, be extremely careful not to injure the inferior and superior gluteal nerves and arteries. These pedicles are vital for the gluteus maximus, which we rely on for closure and function."
- Sacrospinous and Sacrotuberous Ligaments: "For this resection, we'll need to release the sacrospinous and sacrotuberous ligaments to mobilize the posterior pelvis. Use a long electrocautery or scalpel to carefully divide these attachments, staying close to the bone to avoid neurovascular structures."
4. Osseous Resection
"With our neurovascular structures identified and protected, and our soft tissue planes established, we can now proceed with the definitive osseous cuts. This is where our preoperative templating becomes critical."
- Defining Resection Margins: "We've marked our osteotomy lines based on our CT and MRI scans, ensuring adequate oncologic margins. For this periacetabular chondrosarcoma, we're performing an extensive resection."
- Initial Cuts: "We'll start with the iliac wing osteotomy. Use a large oscillating saw or Gigli saw, under constant visual and fluoroscopic guidance, to make the superior cut through the ilium, staying well clear of the sacroiliac joint."
* Acetabular Cuts: "Next, we'll address the periacetabular cuts. This requires careful planning to maintain stability for reconstruction. We'll use a combination of osteotomes and a small oscillating saw. The pubic ramus will be cut anteriorly, and the ischium posteriorly. Ensure adequate bone stock for reconstruction."

* En Bloc Resection: "Once all osteotomies are complete, we can carefully remove the tumor-bearing segment of the pelvis en bloc. This minimizes tumor cell spillage and is crucial for oncologic success."

5. Reconstruction
"With the tumor resected, we now face the challenge of reconstruction. The goal is to restore stability and function. For this extensive periacetabular defect, we have several options."
- Options: "We could consider a custom 3D-printed endoprosthesis, an allograft-prosthesis composite, or even a saddle prosthesis. Given the patient's age and functional demands, we've opted for a custom endoprosthesis to reconstruct the acetabulum and restore continuity of the pelvic ring. This will be secured with multiple screws into the remaining ilium and ischium."
<a href="/media/hutaif_opertive/hutaif-ch17-overview-on-pel-p1919-1b
Additional Intraoperative Imaging & Surgical Steps
:203–213.
-
Aljassir F, Beadel GP, Turcotte RE, et al. Outcome after pelvic sarcoma resection reconstructed with saddle prosthesis. Clin Orthop Relat Res 2005 Sep;(438):36–41.
-
Cottias P, Jeanrot C, Vinh TS, et al. Complications and functional evaluation of 17 saddle prostheses for resection of periacetabular tumors. J Surg Oncol 2001;78:90–100.
-
Enneking WF, Dunham WK. Resection and reconstruction for primary neoplasms involving the innominate bone. J Bone Joint Surg Am 1978;60:731–746.
-
Hillmann A, Hoffmann C, Gosheger G, et al. Tumors of the pelvis: complications after reconstruction. Arch Orthop Trauma Surg 2003;123:340–344.
-
Ozaki T, Hoffmann C, Hillmann A, et al. Implantation of hemipelvic prosthesis after resection of sarcoma. Clin Orthop Relat Res 2002 Mar;(396):197–205.
-
Renard AJ, Veth RP, Schreuder HW, et al. The saddle prosthesis in pelvic primary and secondary musculoskeletal tumors: functional results at several postoperative intervals. Arch Orthop Trauma Surg 2000;120:188–194.
-
Shin KH, Rougraff BT, Simon MA. Oncologic outcomes of primary bone sarcomas of the pelvis. Clin Orthop Relat Res 1994 Jul;(304): 207–217.
-
Wirbel RJ, Schulte M, Mutschler WE. Surgical treatment of pelvic sarcomas: oncologic and functional outcome. Clin Orthop Relat Res 2001 Sep;(390):190–205.
You Might Also Like























