Pediatric Tibial Fractures: An Operative Masterclass for Fellows

Key Takeaway
Welcome, fellows, to an immersive operative masterclass on pediatric tibial fractures. Today, we'll delve into the nuances of managing these common injuries, from comprehensive anatomical review and meticulous preoperative planning to the precise intraoperative execution of external fixation, plate fixation, and elastic intramedullary nailing. We'll navigate critical steps, highlight potential pitfalls, and discuss optimal postoperative care to ensure the best outcomes for our young patients.
Chapter 30 Pediatric Tibial Fractures Craig P. Eberson
DEFINITION
Fractures of the tibia are common in children.
Severity ranges from nondisplaced “toddler's” fracture to high-energy open injury.
Open growth plates at the ends of the tibia preclude standard adult treatment options such as solid interlocked nails.
Many cases can be managed nonoperatively, but orthopaedists need to maintain familiarity with operative techniques.
ANATOMY
Relevant anatomy includes muscle compartments (anterior, posterior, superficial, and deep posterior), cross-sectional shape, and growth plates (
FIG 1
).
Neurovascular structures are at risk from direct trauma or compartment syndrome. Understanding the anatomy of the growth plates is crucial when planning fixation techniques.
PATHOGENESIS
The most common injury scenarios are either low-energy injuries, such as those sustained during sports (twisting injury), or high-energy ones, such as seen in car versus pedestrian accidents (direct blow, comminuted fracture).
FIG 1 • A. Cross-sectional anatomy at the midtibial level. Note the triangular shape of the tibial shaft; this is important when placing external fixator pins. B. Arterial supply of the leg viewed from posteriorly. The anterior tibial artery penetrates the interosseous membrane proximally and is tethered there, putting it at risk for injury in proximal fractures. C. Proximal tibial physis viewed laterally. It is important to appreciate the continuity of the tubercle and proximal tibial growth plates. Injury to the tubercle growth plate will result in a recurvatum deformity.
*
Many injuries fall somewhere along the spectrum.
High-energy injuries often are seen with concomitant injuries, such as ipsilateral femoral injuries (the so-called floating knee), compartment syndromes, and intra-articular injuries of the proximal or distal tibia.11
Occasionally, the fracture may be pathologic through an underlying bone lesion (eg, nonossifying fibroma, aneurysmal bone cyst, osteomyelitis, osteosarcoma).
As in all fractures in young children, child abuse must be suspected if the history is unclear or multiple fractures are present.
NATURAL HISTORY
Because of the significant remodeling potential in young children, most patients heal without sequelae.
Morbidity from associated injuries, however, may be significant (ie, compartment syndrome), so a thorough evaluation is of paramount importance.
General guidelines are available to define acceptable healing alignment (Table 1).
| ### Table 1 Acceptable Deformity for Fractures of the Tibia Parameter | Under 8 Years | 8 Years or Older |
| --- | --- | --- |
| Valgus | 5 degrees | 5 degrees |
| Varus | 10 degrees | 10 degrees |
Apex anterior/posterior
Angulation
| 10 degrees
| 5 degrees
Shortening
| 10 mm
| 5 mm
Malrotation
| 5 degrees
| 5 degrees
Acceptable Deformity by Patient Age
Adapted from Heinrich SD. Fractures of the shaft of the tibia and fibula. In: Beaty JH, Kasser JR, eds.
Rockwood and Wilkins' Fractures in Children, ed 5. Philadelphia: Lippincott Williams & Wilkins, 2001:1077-1119; Wilkins KE. Principles of fracture remodelling in children. Injury 2005;36(suppl 1):A3-A11.
PATIENT HISTORY AND PHYSICAL FINDINGS
The history should include mechanism of injury, antecedent pain, neurologic symptoms, and other areas of pain (eg, femur, abdominal pain, headache).
A high-energy injury should also prompt a full trauma workup using standard Advanced Trauma Life Support protocols.
The physical examination should focus on assessing initial displacement and skin condition (ie, open injury) as well as swelling of the compartments.
The limb should be splinted, in the case of gross deformity, before obtaining films using a material that permits high-quality radiographs.
A thorough neurovascular examination is needed to assess for vascular injury or compartment syndrome.1
Pulses should be palpated or obtained with Doppler assistance.
Sensation in the deep and superficial peroneal nerve and tibial nerve distributions should be assessed as well as motor function (toe flexors-extensors).
Pain with passive motion of the toes may represent an evolving compartment syndrome. More specifically, increasing pain, or pain out of proportion to the injury, is often the first early warning sign and should be taken seriously. Splitting or removal of casting material should be performed if any question exists. In young children, anxiety and fearfulness may be the presenting feature.
Compartment pressure measurements should be obtained in cases of concern (
FIG 1A
).
Compartment syndrome is signaled by tense swelling of the compartment, pain with gentle squeezing of the compartment, pain with passive extension-flexion of toes, and paresthesias in involved nerve distributions. Loss of pulse is a late finding.
Patients with any of these signs should be considered at risk.
A low threshold should be present for measuring compartment pressures and performing fasciotomy as needed. Vigilance is required to prevent permanent sequelae due to missed compartment syndrome.
IMAGING AND OTHER DIAGNOSTIC STUDIES
Standard anteroposterior (AP) and lateral radiographic views should be obtained.
For complex fractures, dedicated knee and ankle films can be helpful to evaluate for extension into the physeal or articular regions.
Computed tomography can be helpful to assess these regions if radiographs do not provide sufficient clarity.
Contralateral full-length films are helpful for determining length in comminuted fractures.
DIFFERENTIAL DIAGNOSIS
Isolated tibial fracture Floating knee Pathologic fracture
Intra-articular or intraphyseal injury Compartment syndrome
Child abuse
NONOPERATIVE MANAGEMENT
Most tibial fractures can be managed with closed reduction and cast immobilization in an above-the-knee cast. The cast should be molded to the anatomy of the tibia.
A supracondylar “squeeze” mold above the knee and 15 to 20 degrees of knee flexion can prevent cast slippage.
To truly avoid weight bearing, however, the cast must be flexed at least 70 to 80 degrees (if appropriate for a specific fracture).
In cases of acute fracture, the cast can be univalved or bivalved to allow for swelling. It can then be overwrapped before initiating weight bearing.
Weekly radiographs are obtained for the first 3 weeks, with the cast being wedged or changed as needed for loss of alignment.
Weight bearing is dictated by patient comfort.
The cast is changed to a short-leg or patellar-bearing cast after 4 to 6 weeks, and immobilization is continued until healing is complete.
Surgical management is required for inability to maintain satisfactory alignment (see Table 1).
SURGICAL MANAGEMENT
Indications for surgical treatment of tibial fractures in children include open injuries, compartment syndrome, multiple injuries, and fractures for which closed treatment fails.
Treatment in mature adolescents is the same as for adults with reamed, locked intramedullary nails.
Younger children's open physes require techniques that avoid the proximal and distal tibia, such as external fixation, plate fixation, and elastic intramedullary nailing.
Traditionally, external fixation was used primarily for fractures with significant comminution or soft tissue injury, where intramedullary fixation was considered impractical. However, recent work challenges this paradigm for
surgeons experienced with elastic nailing.12
Rapid stabilization of the multiply injured child is often accomplished using external fixation as well.4, 7, 9, 13
Plate fixation is a helpful technique for fractures not amenable to elastic nail fixation.
It is particularly helpful in patients who present with late loss of reduction and require an open approach to remove callus and align the fracture.
FIG 2 • Suggested fixation techniques for the pediatric tibia.
It is used at our institution primarily for distal-third fractures.
After successful use in the treatment of pediatric femur fractures, the elastic intramedullary nail technique has also been successfully applied to the tibia.3, 6, 14
Preoperative Planning
Full-length radiographs of the tibia and fibula should be obtained.
Views of the contralateral side can be helpful to determine proper length in comminuted fractures.
A clinical examination of the well side can guide the surgeon in determining rotational alignment.
The choice of fixation is determined by fracture location, comminution, and soft tissue envelope (
FIG 2
).
Positioning
The patient is positioned supine on the operating table (
FIG 3
).
The fluoroscopy machine can be brought in from the opposite side of the table so that it is out of the surgeon's way.
A small bump placed under the ipsilateral hip is helpful to counter external rotation of the femur so that the patella is pointed directly up.
Approach
The approach for treatment of tibial fractures depends on the technique used. Elastic nails and external fixation pins are placed through stab incisions.
Open reduction and internal fixation approaches are the same as described for adult injuries elsewhere in this text.
FIG 3 • Positioning for operative treatment of tibia fractures. The hip is elevated on a towel roll so that the patella points directly anteriorly. The fluoroscopic unit is brought in from the opposite side of the table to avoid interference with the surgeon.
TECHNIQUES
1.
External Fixation
In the supine position, traction is used to roughly align the fracture. Pins are placed using fluoroscopic guidance to avoid the physis.
Particular care is required when placing the most proximal pin.
The tibial tubercle physis is not easily seen on the AP radiograph.
A lateral view is required to avoid injury to this structure and a late procurvatum deformity.
An array of pin sizes should be available.
Full-sized adolescents may require 5-mm pins as in adults, but smaller children require smaller pins to avoid an overly stiff construct.
Four-millimeter pins should be used for younger children (ie, younger than 10 years old), and I have found an adult wrist external fixator with 2.5-mm pins useful for treatment of toddlers with open injuries requiring fixation such as lawnmower injuries.
Multiple pins are placed on each side of the fracture, one close (within several centimeters of the fracture line) and one far (at least 2 to 3 cm away from the physis).
Children's bone is often quite hard. Despite using “self-drilling” pins, I prefer to predrill the anterior cortex before placing the pin.
Ring sequestra may develop from the heat generated in hard bone if pins are drilled directly in some children.
The roughly triangular shape of the tibia should be noted (see
FIG 1A
).
The pins should be started on the tip of the anterior tibia or just medial and aimed slightly medially. Laterally aimed pins may be unicortical, as the lateral cortex of the tibia is vertically oriented.
The fracture is then manually reduced, using the pins for traction if necessary, and the frame is connected (
TECH FIG 1A
).
In cases of soft tissue injury requiring the ankle to be immobilized, extending the frame to the first or fifth metatarsal can allow easier wound management (
TECH FIG 1B
).
The pin sites are covered with iodine-soaked gauze.
I have caregivers begin cleaning the pin sites with half-strength hydrogen peroxide once or twice daily after the 1-week follow-up visit.
A posterior splint is applied to immobilize the ankle and allow soft tissue healing. It is removed after 2 to 3 weeks to begin ankle range of motion.
TECH FIG 1
•
A.
External fixation in a patient with a compartment syndrome.
Arrows
mark the proximal and distal growth plates. The proximal pins start fairly distally to avoid the tubercle physis.
B.
In this patient, an external fixator was used for a grade 2 open fracture treated with delayed closure. The patient also had a degloving injury requiring a flap and skin graft over the medial ankle. The frame was extended to the first metatarsal to immobilize the foot during healing. Although somewhat bulky, the “double stack” configuration of the frame allows for easy dynamization.
1. ## Plate Fixation
Treatment is essentially the same as for adult injuries, but several points bear emphasis.
It is helpful to make the incision slightly laterally over the anterior compartment so it will not lie directly over a medially placed plate (
TECH FIG 2A
).
The fracture is reduced using standard techniques. Care should be taken to avoid unnecessary stripping of the fracture.
I prefer to make an incision over the fracture large enough to reduce the fragments but not the entire length of the plate.
The plate can be slid under the skin, over the periosteum, and the screws placed through stab incisions, as for percutaneous plating in adults (
TECH FIG 2B
).
For larger children, many adult fracture systems include precontoured 3.5-mm plates for the distal tibia.
For smaller children, a small fragment plate may be contoured to fit appropriately.
It is important to avoid injury to the perichondral ring at the distal extent of the plate.
If the plate is applied on the medial side of the tibia, as it often is for fractures with valgus angulation, it will usually need to be removed after healing due to prominence.
If applied laterally, I usually make a longer incision because percutaneously placed screws will traverse the anterior compartment and potentially injure the neurovascular bundle. I prefer open placement in this case.
The wound is closed using standard techniques. A posterior splint is applied to protect the soft tissues.
TECH FIG 2 • A. Incision for open reduction and internal fixation is made laterally over the anterior compartment, and the skin can then be mobilized to gain access to the fracture site. It is important not to incise the skin directly over the proposed location of the plate. B. Medial view of internally fixed tibia. A lag screw compresses the fragment, and the plate stops short of the physis. The skin incision is centered over the fracture to allow an accurate reduction, but the proximal and distal screws can be placed percutaneously through a medially applied plate. It is helpful to make one stab incision for every two holes, centered between them.
*
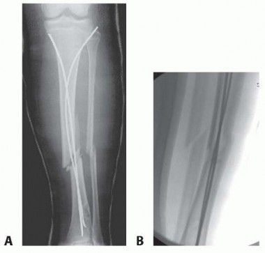
2. ## Elastic Intramedullary Nail Fixation
The surgeon begins by selecting the proper nail size. Usually, nails should be 0.4 times the diameter of the tibial isthmus.
The nails are contoured so that there is a C shape with its apex at the fracture site. This will cause cortical contact at the apex, yielding three-point fixation (proximal, cortical at fracture level, and distal).
By contouring rods of equal diameter symmetrically, the elasticity of the nails resists deformation of the fracture, as opposed to reamed nailing, where the fracture is statically supported by the strength of the nail.
Preparation for Nail Insertion
The nails are inserted in the tibial metaphysis.
The proper starting point is at least 1 cm distal to the proximal tibial physis and 2 cm posterior to the tibial tubercle physis (
TECH FIG 3A,B
).
The relevant landmarks should be identified fluoroscopically and marked on the skin (physis, tubercle, starting points) before proceeding (
TECH FIG 3B
).
The incision should be 1 to 1.5 cm long, with its most distal extent roughly 1 cm proximal to the physis.
This will allow an oblique passage of the nail at the correct proximal to distal angle.
A small hemostat is used to carefully spread through the tissue down to bone, and a drill sleeve and drill are placed on the bone. The drill should be 1 to 1.5 mm larger than the diameter of the nail.
TECH FIG 3 • A. The proper starting point for nail insertion lies at least 1 cm distal to the proximal tibial growth plate and 2 cm posterior to the tubercle physis. B. Patient undergoing elastic intramedullary nailing of the tibia. Marked on the skin are the proximal growth plate and proposed entry sites as well as the fracture. The incision is made proximal to the line of the physis, and an oblique angle matching the final path of the nail is dissected with a hemostat down to the bone. C. After confirming the entry site radiographically, a drill is used through a guide to open the cortex 1 to 2 mm larger than the nail diameter. D. The drill starts perpendicular to the bone and is advanced distally. Care is taken not to drill into a previously placed nail or through the far cortex.
After checking the position of the drill tip with fluoroscopy (
TECH FIG 3C
), a starting hole is drilled along the proposed path of the nail (
TECH FIG 3D
).
Care is taken not to drill across the tibia out the opposite cortex.
Alternatively, an awl can be used by hand to create this opening in the cortex.
Nail Pattern and Placement
Multiple nail patterns have been described,6 but the standard is one medial and one lateral nail (
TECH FIG 4A,B
).
Alternately, if soft tissue compromise precludes the use of an entry site, the first nail is bent into a C shape, with the second bent into an S shape. The apex of the more distal curve in the nail should be at the fracture site.
The first nail is contoured into a C shape. It should be placed on the tibia and a fluoroscopic image obtained (
TECH FIG 4C,D
).
A gentle bend is placed in the nail, centered at the fracture.
The nail is placed up to the fracture site under fluoroscopic guidance. Initially, it is helpful to direct the bend posteriorly, as in the passage of a guidewire for a standard reamed nail, but it is important to rotate the bend into the proper plane to prevent a recurvatum deformity (
TECH FIG 4E,F
).
The second nail is placed in the same fashion.
Fracture Reduction and Fixation
The fracture is then manually reduced.
It is rarely necessary to open the fracture to obtain a reduction, as the fracture can be easily manipulated.
TECH FIG 4 • A,B. Potential patterns of nail insertion. The standard pattern (A) entails one medial and one lateral nail. Alternately, both nails are inserted from the same side to avoid compromised skin (B). In the tibia, the former technique is far easier. C. The nail is placed on the skin, with the tip at the proposed final location, as confirmed radiographically. D. The nail is marked at the fracture site and bent to place the apex at that location. E. When starting a nail, it is helpful to rotate the nail so that the tip points anteriorly, bouncing off the posterior cortex. F. The nail is then turned so that the bend in the nail lies in the coronal plane.
The bent tip of the nail can be used to assist in reduction as well.
To pass the nails across the fracture, it is helpful to consider the initial deformity of the fracture.
For example, if the fracture tends to lie in valgus, it may be helpful to pass the medial nail first to apply a varus force. The second nail is then directed across the fracture site.
Care should be taken to stop the nails short of the distal physis and to avoid distraction at the fracture site.
When passing the nails, it is often helpful to pass them both to the level of the fracture and sequentially crossing the fracture site.
In oblique fractures, the first nail will deform the fracture and make passing the second nail difficult if the first nail is passed all the way down initially.
In simple fractures, the order of passage is less important.
1. ## Cutting the Nails and Wound Closure
The nails are then cut, pulling them away from the bone without exceeding the elastic modulus of the nail, so they lie against the bone after they are cut, with about 2 cm of the nail extending out of the bone to facilitate later.
Alternately, the nails can be withdrawn a few centimeters, cut short, and then impacted back down the tibia, again leaving 2 cm of exposed nail beyond the entry site.
TECH FIG 5 • Instead of cutting the nail under the skin, it can be withdrawn, cut at skin level (A), and tamped in to prevent irritation (B).
This step is important because if the nails are left too long or are bent out away from the bone, they can cause symptoms from nail prominence before fracture healing. This is especially true medially, where the rod is subcutaneous (
TECH FIG 5
).
The incisions are closed with subcuticular suture, and a posterior splint is applied to allow tissue healing.
PEARLS AND PITFALLS
---
| |
| Compartment syndrome
| 1. A high index of suspicion is required.
2. The surgeon must maintain vigilance throughout the postoperative period for
| External fixation
| 1. Rigid frames may lead to delayed union.
2. Care should be taken to use appropriately sized pins and to dynamize early.
3. Fluoroscopic guidance is used to avoid growth plates.
| ---|---|
Plate fixation
| 1. Incisions should be carefully chosen to avoid compromised skin.
2. Low-profile plates may help avoid irritation from the plate before fracture healing.
Elastic intramedullary
| 1. Fractures that are very distal or proximal, or highly comminuted, should be treated by other techniques.
2. Proper nail contouring and size selection are important to maintain stability of the fracture.
1. The nails should be the same diameter to provide balanced fixation (FIG 4A).
2. Nails should be passed carefully to avoid the “creeping vine” effect.
3. If the nails spiral around each other, the elastic recoil, and thus the stability of the technique, will be lost (FIG 4B).
3. Care should be taken to avoid physeal injury.
4. Nails should be cut short to avoid irritation.
late development.
1. Increasing pain and anxiety are the first signs of pediatric compartment syndrome.
FIG 4 • Potential pitfalls in nail placement. A. The nails are of differing diameter, inducing a valgus moment that needs to be controlled in a cast. Note the incidental nonossifying fibroma. B. “Spiraling nails.” The elasticity afforded by three-point fixation is lost, making the construct less stable. POSTOPERATIVE CARE For patients treated with external fixation, a splint is used for 7 to 10 days to allow the tissues to recover.
For stable fractures, progressive weight bearing is initiated in reliable patients.
Unstable or comminuted fractures require waiting until visible callus is present before weight bearing.
Depending on fracture stability, dynamization of the fixator is initiated early, after sufficient callus is seen. The frame is removed in the office or the operating room after healing is noted radiographically.
Most patients benefit from short-term support with a bivalved cast after removal.
Patients treated with plate fixation begin a progressive weight-bearing program, with immobilization discontinued after sufficient radiographic healing is present, usually by 6 weeks.
Patients treated with elastic intramedullary fixation are usually splinted for 7 to 10 days, followed by progressive weight bearing. The plan is modified based on fracture stability, soft tissue injury, and patient reliability.
Patients with substantial (over 50%) cortical contact may begin weight bearing as tolerated after soft tissue healing has occurred.
In general, prolonged stiffness is unusual in pediatric patients.
It is better to overimmobilize in questionable cases to avoid malalignment and regain motion later with aggressive physiotherapy.
Removal of symptomatic hardware (ie, nails or plate) should be delayed until fracture healing and remodeling are complete.
I prefer to remove elastic nails electively in all patients 6 to 12 months after injury, as the nails will become completely intramedullary with significant continued growth, thus making late removal extremely difficult.
Ideally, plate removal is delayed for a year, after remodeling is complete.
OUTCOMES
*Most tibial fractures in children will heal uneventfully, although healing difficulties can occur, especially in older patients.5, 10
Slongo15 noted that most complications seen in his series were a result of improperly applied technique, particularly residual distraction at the fracture site, leading to a “pseudarthrosis model” even in children.
Bar-On and associates2 noted increased callus formation and shorter time to union in the elastic intramedullary nailing group versus external fixation (7 weeks compared with 10) in a femur model.
Myers and coworkers12 reported a significant complication rate in high-energy tibial fractures treated with external fixation, including delayed union, malunion, leg length discrepancies, and pin tract infections.
Kubiak and colleagues8 reported 2 delayed unions, 2 malunions, and 3 nonunions in a series of 15 patients managed with external fixation, although these appear to have occurred in open injuries.
They reported higher functional scores in their patients treated with elastic intramedullary nailing compared to external fixation.
Operative techniques usually require additional procedures for removal of pins or prominent nails or plates.
Obviously, operative complications do not occur in nonoperatively treated patients. Knowledge of proper indications is crucial to maximize outcomes.
COMPLICATIONS
Malunion Delayed union
Leg length discrepancy Compartment syndrome Symptomatic hardware Infection**
Scientific References
-
**
- 1. Bae DS, Kadiyala RK, Waters PM. Acute compartment syndrome in children: contemporary diagnosis, treatment, and outcome. J Pediatr Orthop 2001;21:680-688. [View Source / PubMed]
- 2. Bar-On E, Sagiv S, Porat S. External fixation or flexible intramedullary nailing for femoral shaft fractures in children. A prospective, randomised study. J Bone Joint Surg Br 1997;79(6):975-978. [View Source / PubMed]
- 3. DeLong WG Jr, Born CT, Marcelli E, et al. Ender nail fixation in long bone fractures: experience in a level I trauma center. J Trauma 1989;29:571-576. [View Source / PubMed]
- 4. Furlan D, Pogorelić Z, Biočić M, et al. Elastic stable intramedullary nailing for pediatric long bone fractures: experience with 175 fractures. Scand J Surg 2011;100(3):208-215. [View Source / PubMed]
- 5. Gicquel P, Giacomelli M, Basic B, et al. Problems of operative and non-operative and healing in tibial fractures. Injury 2005;36(suppl 1): A44-A50. [View Source / PubMed]
- 6. Goodwin RC, Gaynor T, Mahar A, et al. Intramedullary flexible nail fixation of unstable tibial diaphyseal fractures. J Pediatr Orthop 2005;25:570-576. [View Source / PubMed]
- 7. Hunter JB. The principles of elastic stable intramedullary nailing in children. Injury 2005;36(suppl 1):A21-A24. [View Source / PubMed]
- 8. Kubiak EN, Egol KA, Scher D, et al. Operative treatment of tibial fractures in children: are elastic stable intramedullary nails an improvement over external fixation? J Bone Joint Surg Am 2005;87(8): 1761-1768. [View Source / PubMed]
- 9. Lascombes P, Huber H, Fay R, et al. Flexible intramedullary nailing in children: nail to medullary canal diameters optimal ratio. J Pediatr Orthop 2013;33(4):403-408. [View Source / PubMed]
- 10. Lascombes P, Nespola A, Poircuitte JM, et al. Early complications with flexible intramedullary nailing in childhood fracture: 100 cases managed with precurved tip and shaft nails. Orthop Traumatol Surg Res 2012;98(4):369-375. [View Source / PubMed]
- 11. Moulton SL. Early management of the child with multiple injuries. Clin Orthop Relat Res 2000;(376):6-14. [View Source / PubMed]
- 12. Myers SH, Speigel D, Flynn JM. External fixation of high-energy tibia fractures. J Pediatr Orthop 2007;27:537-539. [View Source / PubMed]
- 13. Norman D, Peskin B, Ehrenraich A, et al. The use of external fixators in the immobilization of pediatric fractures. Arch Orthop Trauma Surg 2002;122:379-382. [View Source / PubMed]
- 14. O'Brien T, Weisman DS, Ronchetti P, et al. Flexible titanium nailing for the treatment of unstable pediatric tibial fracture. J Pediatr Orthop 2004;24:601-609. [View Source / PubMed]
- 15. Slongo T. Complications and failures of the ESIN technique. Injury 2005;36:A78-A85. [View Source / PubMed]
You Might Also Like