English
قسم طبي متخصص

جراحة العظام المتقدمة

جراحة العظام المتقدمة

560 مقال علمي
تحديث: إبريل 2026

المقالات في هذا القسم

صفحة 38 من 47

إعادة بناء أربطة مفصل الرسغ الزندي الكعبري: علاج عدم استقرار مفصل DRUJ مع الأستاذ الدكتور محمد هطيف

تعرف على علاج عدم استقرار مفصل الرسغ الزندي الكعبري (DRUJ) عبر إعادة بناء الأربطة داخل المفصل. الأستاذ الدكتور محمد هطيف خبير جراحة العظام …

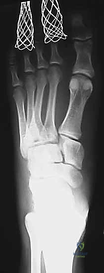
إصابة ليزفرانك: دليل شامل للتشخيص والعلاج الجراحي الدقيق في صنعاء مع الأستاذ الدكتور محمد هطيف

تعرف على إصابة ليزفرانك، أعراضها، تشخيصها، وخيارات العلاج الجراحي الدقيق في صنعاء. الأستاذ الدكتور محمد هطيف يقدم خبرته لضمان أفضل النتائج.

جراحة استبدال رأس الكعبرة المعيارية: حل مبتكر لإصابات الكوع المعقدة مع الأستاذ الدكتور محمد هطيف

تعرف على جراحة استبدال رأس الكعبرة المعيارية لعلاج كسور الكوع المعقدة. الأستاذ الدكتور محمد هطيف في صنعاء يقدم أحدث التقنيات لاستعادة وظيفة…

انحشار الفخذ الحقي بالمنظار فهم شامل وعلاج متقدم للحفاظ على مفصل الورك مع الأستاذ الدكتور محمد هطيف

اكتشف انحشار الفخذ الحقي (FAI) وعلاجه بالمنظار للحفاظ على مفصل الورك. تعرف على الأعراض والتشخيص والتقنيات الجراحية المتقدمة مع الأستاذ الدك…

الآفات العظمية الغضروفية في الركبة: دليل شامل لعلاج OCD والنخر اللاوعائي مع الأستاذ الدكتور محمد هطيف في صنعاء

اكتشف كل ما يخص الآفات العظمية الغضروفية في الركبة، التهاب العظم والغضروف السالخ (OCD)، والنخر اللاوعائي (AVN). دليل شامل للتشخيص والعلاج ا…

إعادة بناء الأطراف الاصطناعية الداخلية: أمل جديد لمرضى أورام العظام مع الأستاذ الدكتور محمد هطيف

تعرف على إعادة بناء الأطراف الاصطناعية الداخلية كحل مبتكر لإنقاذ الأطراف المصابة بالأورام. استعيد وظيفتك وكرامتك مع خبرة الأستاذ الدكتور مح…

خلع الكوع الكسري المعقد (الثالوث الرهيب): دليل شامل للعلاج والتعافي مع الأستاذ الدكتور محمد هطيف

تعرف على خلع الكوع الكسري المعقد (الثالوث الرهيب)، أسبابه، أعراضه، تشخيصه، وخيارات العلاج المتقدمة. خبرة الأستاذ الدكتور محمد هطيف في صنعاء…

جراحة إطالة عظم الكعب (عملية إيفانز): الحل الشامل لتصحيح القدم المسطحة وتشوه الكعب الأروح مع الأستاذ الدكتور محمد هطيف في صنعاء

تعرف على جراحة إطالة عظم الكعب (عملية إيفانز) لتصحيح القدم المسطحة والكعب الأروح. استعد وظيفة قدمك وتخلص من الألم مع الأستاذ الدكتور محمد ه…

كسور لقمة السلامية في الأصابع: دليل شامل للعلاج الجراحي الدقيق مع الأستاذ الدكتور محمد هطيف في صنعاء

اكتشف العلاج الجراحي المتقدم لكسور لقمة السلامية في الأصابع مع الأستاذ الدكتور محمد هطيف في صنعاء. استعد لوظيفة يدك بالكامل عبر تقنيات دقيق…