انحشار الفخذ الحقي بالمنظار فهم شامل وعلاج متقدم للحفاظ على مفصل الورك مع الأستاذ الدكتور محمد هطيف

الخلاصة الطبية
انحشار الفخذ الحقي (FAI) هو تضارب هيكلي بين عظم الفخذ والحق، يؤدي لألم مزمن وتلف في مفصل الورك. علاجه بالمنظار يستعيد ميكانيكا الورك الطبيعية ويحافظ على المفصل. الأستاذ الدكتور محمد هطيف يقدم أحدث التقنيات الجراحية في صنعاء لتخفيف الألم واستعادة الوظيفة بشكل فعال ودائم.
الخلاصة الطبية الشاملة: انحشار الفخذ الحقي (Femoroacetabular Impingement - FAI) ليس مجرد ألم عابر، بل هو تضارب هيكلي ميكانيكي معقد بين عظم الفخذ وتجويف الحُق، يؤدي بمرور الوقت إلى ألم مزمن، تقييد في الحركة، وتلف تدريجي في غضاريف مفصل الورك وتمزق في الشفا الحقي. يُعد العلاج الجراحي بالمنظار هو المعيار الذهبي الحديث لاستعادة ميكانيكا الورك الطبيعية ومنع الخشونة المبكرة. يقود الأستاذ الدكتور محمد هطيف، أستاذ جراحة العظام والمفاصل بجامعة صنعاء، ثورة طبية في اليمن من خلال تقديم أحدث تقنيات جراحة الورك بالمنظار (بتقنية 4K المتقدمة)، لضمان تخفيف الألم، استعادة الوظيفة الحركية بالكامل، والحفاظ على المفصل الأصلي للمريض بأعلى درجات الأمانة الطبية والاحترافية.


مقدمة شاملة: ما هو انحشار الفخذ الحقي (FAI)؟
أهلاً بكم في الدليل الطبي الأوسع والأكثر شمولاً في جراحة العظام الحديثة، حيث نسعى دائمًا للحفاظ على المفاصل البيولوجية واستعادة جودة الحياة القصوى للمرضى. اليوم، نغوص في أعماق حالة طبية شائعة ولكنها غالباً ما تُشخص بشكل خاطئ، وهي "انحشار الفخذ الحقي" (FAI). هذه الحالة تمثل صراعاً هيكلياً وعدم توافق ميكانيكي دقيق بين الجزء العلوي من عظم الفخذ (تحديداً منطقة التقاء الرأس والعنق) والحافة المحيطة بتجويف الورك في الحوض (الحُق).

عندما يتحرك مفصل الورك، خاصة في وضعيات الثني والدوران، يحدث احتكاك غير طبيعي بين هذه العظام. إذا تُركت هذه المشكلة الميكانيكية دون تدخل وعلاج دقيق، فإنها تؤدي حتمًا إلى سلسلة من المضاعفات المدمرة: بدءاً من التهاب الأنسجة المحيطة، مروراً بتمزقات الشفا الحقي (الرباط الحلقي الغضروفي الذي يثبت المفصل)، وتآكل الغضروف الزجاجي المبطن للمفصل، وصولاً إلى الخشونة المتقدمة (الفصال العظمي) التي قد تتطلب في النهاية جراحة استبدال مفصل كاملة.

التشريح الدقيق لمفصل الورك: كيف يعمل؟
لفهم الانحشار، يجب أولاً أن نفهم التصميم الهندسي الرباني لمفصل الورك. يُصنف مفصل الورك على أنه مفصل "كرة وتجويف" (Ball and Socket).
* الكرة: هي رأس عظمة الفخذ (Femoral Head).
* التجويف: هو الحُق (Acetabulum)، وهو جزء من عظم الحوض.

يُغلف كل من الكرة والتجويف بطبقة ناعمة جداً تُسمى الغضروف المفصلي، والتي تسمح للعظام بالانزلاق بسلاسة تامة. بالإضافة إلى ذلك، يُحاط التجويف بحلقة من غضروف ليفي قوي تُسمى الشفا الحقي (Labrum). يعمل الشفا كختم مطاطي (O-ring) يحافظ على السائل الزلالي داخل المفصل، ويزيد من استقراره. في حالة انحشار الفخذ الحقي، يكون هذا الشفا هو الضحية الأولى للاحتكاك العظمي.


الأنواع الثلاثة لانحشار الفخذ الحقي
لا يحدث الانحشار بنمط واحد، بل ينقسم طبياً إلى ثلاثة أنواع رئيسية، وكل نوع يتطلب استراتيجية جراحية دقيقة يتعامل معها الأستاذ الدكتور محمد هطيف ببراعة فائقة:
1. انحشار الكامة (Cam Impingement)
يحدث هذا النوع عندما لا يكون رأس عظم الفخذ كروياً بشكل مثالي. بدلاً من ذلك، تتكون نتوءات عظمية إضافية عند منطقة التقاء رأس وعنق الفخذ. هذا الشكل غير الدائري يجعله يحتك بقوة بحافة التجويف (الحُق) أثناء الحركة، مما يؤدي إلى "كشط" وتمزيق الغضروف والشفا الحقي. هذا النوع شائع جداً بين الشباب والرياضيين الذكور.

2. انحشار الكماشة (Pincer Impingement)
في هذا النوع، تكون المشكلة في التجويف (الحُق) نفسه. يمتد العظم البارز من الحُق ليغطي مساحة أكبر من الطبيعي من رأس عظم الفخذ. نتيجة لذلك، يتم "قرص" الشفا الحقي بين حافة التجويف وعنق عظم الفخذ عند ثني الورك. يُعد هذا النوع أكثر شيوعاً بين النساء في منتصف العمر.

3. الانحشار المختلط (Mixed Impingement)
وهو النوع الأكثر شيوعاً على الإطلاق، حيث يعاني المريض من كلا التشوهين في وقت واحد (الكامة والكماشة). يتطلب هذا النوع مهارة جراحية استثنائية لإعادة نحت كل من عظم الفخذ والحوض في نفس العملية.

الأسباب وعوامل الخطر: لماذا يحدث الانحشار؟
قد يتساءل الكثيرون: لماذا أُصبت بهذا التشوه؟ الأسباب تتراوح بين عوامل وراثية وبيئية:
1. النمو العظمي غير الطبيعي في مرحلة الطفولة: تطور عظام الورك بشكل غير سليم خلال طفرات النمو.
2. الأنشطة الرياضية المكثفة: الرياضات التي تتطلب ثني الورك المتكرر والعميق (مثل كرة القدم، التايكوندو، ركوب الخيل، ورفع الأثقال) لا تسبب التشوه بحد ذاتها، ولكنها تجعل الأعراض تظهر بقوة وبشكل مبكر.
3. أمراض الورك السابقة: مثل انزلاق مشاشة رأس الفخذ (SCFE) أو مرض بيرثيس في مرحلة الطفولة.
4. الاستعداد الوراثي: تلعب الجينات دوراً في تحديد شكل العظام.

الأعراض السريرية: متى يجب أن تدق ناقوس الخطر؟
الكثير من المرضى يعانون لسنوات من تشخيصات خاطئة مثل "الشد العضلي" أو "التهاب الأوتار" أو حتى "آلام الظهر"، بينما المشكلة الحقيقية تكمن في مفصل الورك.

إليك أهم الأعراض التي تستوجب زيارة عيادة الأستاذ الدكتور محمد هطيف فوراً:
* ألم في منطقة الفخذ الأمامية (Groin Pain): وهو العرض الأكثر شيوعاً، يزداد مع الجلوس لفترات طويلة أو عند النهوض.
* علامة حرف C (C-Sign): يضع المريض يده على شكل حرف C حول وركه ليصف مكان الألم العميق.
* ألم عند الدوران: صعوبة وألم عند الالتفاف أو تغيير الاتجاه المفاجئ.
* طقطقة أو فرقعة: إحساس بصوت أو احتكاك داخل المفصل أثناء الحركة.
* تيبس المفصل: نقص ملحوظ في مدى الحركة، خاصة عند محاولة وضع ساق فوق الأخرى.
جدول (1): مقارنة بين الأعراض المبكرة والمتقدمة لانحشار الفخذ الحقي
| المرحلة | الأعراض المميزة | حالة الغضروف والشفا الحقي | التدخل المطلوب |
|---|---|---|---|
| المرحلة المبكرة | ألم متقطع بعد الرياضة، انزعاج عند الجلوس العميق | التهاب خفيف، الشفا الحقي سليم نسبياً | تعديل النشاط، علاج طبيعي، تقييم مبكر |
| المرحلة المتوسطة | ألم يومي، طقطقة مسموعة، صعوبة في ارتداء الحذاء | تمزق في الشفا الحقي، بداية تآكل غضروفي | تدخل جراحي بالمنظار (إصلاح ونحت) |
| المرحلة المتقدمة | ألم مستمر حتى أثناء الراحة، تيبس شديد، عرج | تآكل كامل للغضروف (خشونة متقدمة) | قد يتطلب استبدال مفصل الورك بالكامل |

التشخيص الدقيق: رحلة اكتشاف المشكلة
السر في نجاح العلاج يكمن في التشخيص الدقيق. في مركز الأستاذ الدكتور محمد هطيف، يتم اتباع بروتوكول عالمي للتشخيص يشمل:
- الفحص السريري الدقيق: إجراء اختبارات مخصصة مثل اختبار (FADIR) حيث يتم ثني الورك وتقريبه وتدويره للداخل لإعادة إحداث الألم، واختبار (FABER).
- الأشعة السينية (X-rays): لتقييم شكل العظام، قياس "زاوية ألفا" (Alpha Angle)، وتحديد وجود نتوءات الكامة أو الكماشة.
- الرنين المغناطيسي (MRI) أو أشعة الرنين بالصبغة (MRA): وهو الفحص الذهبي لرؤية الأنسجة الرخوة وتقييم تمزقات الشفا الحقي وتلف الغضروف بدقة متناهية.
- الأشعة المقطعية الثلاثية الأبعاد (3D CT Scan): للتخطيط الجراحي الدقيق قبل العملية.


لماذا الأستاذ الدكتور محمد هطيف هو الخيار الأول في اليمن؟
عندما يتعلق الأمر بمفصل معقد وحيوي مثل مفصل الورك، فإن اختيار الجراح هو القرار الأهم في حياتك. الأستاذ الدكتور محمد هطيف ليس مجرد طبيب عظام، بل هو مرجعية علمية وجراحية فذة في اليمن والمنطقة.
- المكانة الأكاديمية: أستاذ جراحة العظام والمفاصل بجامعة صنعاء، مما يعكس التزامه الدائم بالبحث العلمي وتطبيق "الطب القائم على الدليل" (Evidence-Based Medicine).
- خبرة تتجاوز العقدين: أكثر من 20 عاماً من الخبرة المتراكمة في أعقد جراحات العظام والمفاصل.
- رائد الجراحة بالمنظار: أدخل أحدث تقنيات مناظير المفاصل بتقنية العرض الفائق (4K) إلى اليمن، مما يتيح رؤية أدق التفاصيل المجهرية داخل المفصل دون الحاجة لشق جراحي كبير.
- الأمانة الطبية المطلقة: يُعرف الدكتور هطيف بصدقه التام مع المرضى؛ فهو لا يوصي بالجراحة إلا إذا كانت هي الحل الأمثل والوحيد، ويضع مصلحة المريض والحفاظ على مفصله الطبيعي فوق كل اعتبار.


الخيارات العلاجية: من التحفظي إلى الجراحي
أولاً: العلاج التحفظي (غير الجراحي)
يبدأ الدكتور هطيف دائماً بالخيارات الأقل توغلاً إذا كانت الحالة في بداياتها:
* تعديل نمط الحياة: تجنب الحركات التي تثير الألم (مثل القرفصاء العميقة).
* الأدوية: مضادات الالتهاب غير الستيرويدية لتقليل الألم والتورم.
* العلاج الطبيعي: تقوية عضلات الجذع والحوض لتحسين استقرار المفصل.
* الحقن الموضعي: حقن الكورتيزون أو البلازما (PRP) داخل المفصل لتخفيف الالتهاب وتوفير راحة مؤقتة، وتُستخدم أيضاً كأداة تشخيصية.

ثانياً: العلاج الجراحي (تنظير مفصل الورك - Hip Arthroscopy)
إذا لم ينجح العلاج التحفظي، أو إذا كانت التمزقات والتشوهات العظمية واضحة، يصبح التدخل الجراحي بالمنظار ضرورة حتمية لمنع تدمير المفصل. جراحة المنظار تعتبر من الجراحات الدقيقة جداً (Minimally Invasive) وتتطلب مهارة عالية جداً وتدريباً متخصصاً، وهو ما يتميز به الأستاذ الدكتور محمد هطيف.

جدول (2): مقارنة شاملة بين العلاج التحفظي والعلاج الجراحي بالمنظار
| وجه المقارنة | العلاج التحفظي (أدوية/علاج طبيعي) | الجراحة بالمنظار (مع د. محمد هطيف) |
|---|---|---|
| الهدف الأساسي | تخفيف الألم مؤقتاً وتقوية العضلات المحيطة | حل المشكلة الميكانيكية من جذورها وإصلاح التلف |
| تأثيره على العظام | لا يغير من شكل العظام المشوهة (الكامة/الكماشة) | ينحت العظام الزائدة ويعيد الشكل الكروي الطبيعي |
| تأثيره على الشفا الحقي | لا يعالج التمزق الغضروفي | يخيط ويصلح الشفا الممزق باستخدام خطاطيف دقيقة |
| الوقاية من الخشونة | ضعيفة (الاحتكاك مستمر) | ممتازة (يوقف الاحتكاك ويحمي المفصل لسنوات طويلة) |
| فترة التعافي | مستمرة وتتطلب جلسات طويلة | تأهيل تدريجي ومدروس يعيد المريض لحياته الطبيعية |
خطوات جراحة انحشار الفخذ الحقي بالمنظار (خطوة بخطوة)
الشفافية مع المريض هي أساس الثقة. إليك كيف يجري الأستاذ الدكتور محمد هطيف هذه الجراحة المعقدة بسلاسة وأمان:
الخطوة 1: التخدير والوضعية
تتم العملية تحت التخدير الكلي أو النصفي. يوضع المريض على طاولة شد مخصصة (Traction Table). يتم سحب الساق بلطف شديد لفتح مسافة صغيرة جداً (مليمترات) في مفصل الورك تسمح بإدخال المنظار دون إيذاء الغضاريف.

الخطوة 2: إحداث الثقوب الجراحية (Portals)
بدلاً من الشق الجراحي الكبير الذي يقطع العضلات، يقوم الدكتور هطيف بعمل 2 إلى 3 ثقوب صغيرة جداً (بحجم ثقب المفتاح) حول الورك.

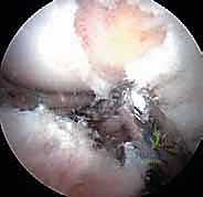
الخطوة 3: الاستكشاف بكاميرا 4K
يتم إدخال منظار مزود بكاميرا عالية الدقة (4K) وإضاءة قوية. تُعرض الصورة مكبرة على شاشة أمام الجراح، مما يسمح له برؤية أدق تفاصيل الغضروف والشفا الحقي بوضوح يفوق الرؤية بالعين المجردة.

الخطوة 4: معالجة الانحشار ونحت العظام (Osteochondroplasty)
باستخدام أدوات دقيقة وصغيرة جداً (مثل المبرد الآلي)، يقوم الدكتور هطيف بإزالة النتوءات العظمية الزائدة.
* إذا كان الانحشار من نوع "الكامة"، يتم نحت عنق عظم الفخذ ليعود لشكله الانسيابي.
* إذا كان من نوع "الكماشة"، يتم تشذيب حافة الحُق الزائدة.


الخطوة 5: إصلاح الشفا الحقي (Labral Repair)
إذا كان الشفا الحقي ممزقاً (وهو أمر شائع جداً)، لا يتم استئصاله، بل يحرص الدكتور هطيف على إصلاحه للحفاظ على وظيفة المفصل. يتم ذلك باستخدام "خطاطيف خياطة" (Suture Anchors) صغيرة جداً تُزرع في العظم وتُستخدم لربط وخياطة الشفا وإعادته لمكانه الطبيعي.

الخطوة 6: الإغلاق
بعد التأكد من حرية حركة المفصل وعدم وجود أي احتكاك، يتم إغلاق الثقوب بغرزة واحدة لكل ثقب.
دليل إعادة التأهيل الشامل: طريقك نحو التعافي الكامل
نجاح الجراحة يمثل 50% من العلاج، بينما الـ 50% الأخرى تعتمد كلياً على التزامك ببرنامج التأهيل الفيزيائي الذي يشرف عليه فريق الدكتور هطيف.
المرحلة الأولى (الأسابيع 1 - 2): الحماية القصوى
* استخدام العكازات لتقليل الوزن على المفصل المجرى له العملية.
* ارتداء دعامة الورك (إذا لزم الأمر) لتقييد الحركات العنيفة.
* تمارين خفيفة جداً لتحريك الدورة الدموية ومنع التجلطات.

المرحلة الثانية (الأسابيع 3 - 6): استعادة المدى الحركي
* التخلي التدريجي عن العكازات.
* بدء تمارين الدراجة الثابتة (بدون مقاومة).
* تمارين الإطالة اللطيفة لاستعادة مدى الحركة الكامل لمفصل الورك.

المرحلة الثالثة (الأسابيع 7 - 12): بناء القوة العضلية
* التركيز على تقوية عضلات الألوية (Glutes)، والعضلات الرباعية، وعضلات الجذع.
* المشي لفترات أطول دون ألم.
آلام الورك وتقييد حركته ليس قدراً محتوماً! التشخيص الدقيق والعلاج المتخصص يمكن أن يعيد لك كامل وظيفتك وحريتك في الحركة. لا تدع الألم يسيطر على حياتك.
للحصول على استشارة دقيقة وخطة علاجية مخصصة لحالتك، تواصل فوراً مع مركز الأستاذ الدكتور محمد هطيف:
الأستاذ الدكتور محمد هطيف - أفضل دكتور عظام في صنعاء، وخبير في جراحات استبدال مفصل الورك.. نلتزم بإعادتك لحياة خالية من الألم وورك قوي ووظيفي.
مواضيع أخرى قد تهمك