خلع مفصل الفخذ الجراحي: حل متقدم لعلاج انحشار الفخذ الحقي (FAI) في صنعاء مع الأستاذ الدكتور محمد هطيف

الخلاصة الطبية
خلع مفصل الفخذ الجراحي هو إجراء دقيق وفعال لعلاج انحشار الفخذ الحقي (FAI) ومشاكل الورك الأخرى، ويوفر رؤية شاملة للمفصل. يتضمن الإجراء إعادة تشكيل العظم وإصلاح الأنسجة التالفة. الأستاذ الدكتور محمد هطيف في صنعاء هو رائد في استخدام هذه التقنية لاستعادة وظيفة الورك وتخفيف الألم.
الخلاصة الطبية السريعة: خلع مفصل الفخذ الجراحي (Surgical Hip Dislocation) هو إجراء جراحي دقيق ومتقدم يُعد الخيار الذهبي لعلاج انحشار الفخذ الحقي (FAI) ومشاكل الورك الهيكلية المعقدة. يوفر هذا الإجراء للجراح رؤية شاملة بمقدار 360 درجة للمفصل دون الإضرار بالتروية الدموية. يتضمن الإجراء إعادة تشكيل العظم، وإصلاح الأنسجة التالفة، وخياطة الشفا الحقي. يُعد الأستاذ الدكتور محمد هطيف في صنعاء رائدًا في استخدام هذه التقنية المعقدة لاستعادة وظيفة الورك، منع خشونة المفاصل المبكرة، وتخفيف الألم بشكل جذري بفضل خبرته التي تتجاوز 20 عاماً واعتماده على أحدث التقنيات الجراحية.


مقدمة شاملة: فهم خلع مفصل الفخذ الجراحي وثورة علاج انحشار الفخذ الحقي (FAI)
مرحباً بكم في هذا الدليل الطبي الشامل والمرجعي. اليوم، نغوص في أعماق أحد أكثر الإجراءات الجراحية تعقيداً وفعالية في طب جراحة العظام الحديث: خلع مفصل الفخذ الجراحي (Surgical Hip Dislocation). هذا الإجراء ليس مجرد جراحة تقليدية؛ بل هو بمثابة "ماستر كلاس" في جراحة الورك المحافظة (Joint Preservation Surgery). تمنح هذه التقنية المتقدمة الجراح قدرة غير مسبوقة للوصول إلى المفصل، ورؤية مباشرة لكامل رأس الفخذ والتجويف الحقي، مما يسمح بمعالجة دقيقة وشاملة لمجموعة واسعة من الحالات المعقدة التي كانت تُعتبر في الماضي غير قابلة للعلاج إلا بتغيير المفصل بالكامل.

في مركزنا الطبي المتقدم في العاصمة صنعاء، وتحت الإشراف المباشر والخبير لـ الأستاذ الدكتور محمد هطيف (أستاذ جراحة العظام والمفاصل بجامعة صنعاء)، نعتبر هذا الإجراء طوق نجاة للعديد من المرضى (خاصة الشباب والرياضيين) الذين يعانون من آلام الورك المزمنة ومشكلات الحركة المحدودة. لا يتم اللجوء إلى خلع مفصل الفخذ الجراحي باستخفاف، بل هو تدخل استراتيجي ضروري في حالات محددة مثل انحشار الفخذ الحقي (FAI)، التمزقات العميقة في الشفا الحقي، إصابات الغضروف المفصلي الواسعة، وحالات معقدة أخرى مثل انزلاق المشاش الرأسي الفخذي الشديد (SCFE) ومرض بيرثيز (Perthes Disease).
التشريح الحيوي لمفصل الورك: لماذا يعتبر هذا الإجراء معجزة طبية؟
لفهم أهمية وعبقرية عملية خلع مفصل الفخذ الجراحي، يجب أولاً أن نفهم تشريح الورك. مفصل الورك هو مفصل كروي حقي (Ball-and-Socket Joint). "الكرة" هي رأس عظمة الفخذ، و"التجويف" هو الحُق (Acetabulum) الموجود في عظمة الحوض.

يحيط بالتجويف حلقة غضروفية قوية تُسمى الشفا الحقي (Labrum)، وتعمل كختم يحافظ على السائل الزلالي داخل المفصل ويزيد من استقراره. التحدي الأكبر في جراحات الورك المفتوحة تاريخياً كان التروية الدموية. يتغذى رأس عظمة الفخذ بشكل أساسي عبر الشريان المنعطف الفخذي الأنسي (Medial Femoral Circumflex Artery). في الماضي، كان خلع المفصل يؤدي غالباً إلى تمزق هذه الأوعية الدموية الدقيقة، مما يسبب كارثة طبية تُعرف بـ "النخر اللاوعائي" (Avascular Necrosis - AVN)، حيث يموت رأس العظمة.

العبقرية في تقنية الخلع الجراحي الآمن:
التقنية التي ابتكرها البروفيسور السويسري رينولد غانز (Ganz Approach)، والتي يتقنها الأستاذ الدكتور محمد هطيف ببراعة، تعتمد على إجراء شق عظمي دقيق في المدور الكبير (Trochanteric Flip Osteotomy). هذا يسمح بخلع رأس الفخذ من التجويف مع الحفاظ التام على الأوعية الدموية المغذية. النتيجة؟ رؤية 360 درجة للمفصل بأمان تام.
ما هو انحشار الفخذ الحقي (FAI)؟ ولماذا يدمر المفصل؟
انحشار الفخذ الحقي (Femoroacetabular Impingement) هو حالة ميكانيكية يحدث فيها احتكاك غير طبيعي بين رأس عظمة الفخذ وتجويف الحوض أثناء الحركة. هذا الاحتكاك ليس مجرد مصدر للألم، بل هو "قنبلة موقوتة" تدمر الغضروف المفصلي وتمزق الشفا الحقي، مما يؤدي حتمياً إلى خشونة مبكرة في المفصل إذا تُرك دون علاج.

أنواع انحشار الفخذ الحقي:
- انحشار الكامة (Cam Impingement): يحدث عندما لا يكون رأس عظمة الفخذ كروياً بشكل مثالي. وجود نتوء عظمي إضافي على شكل "كامة" يؤدي إلى احتكاكه بحواف التجويف عند ثني الفخذ، مما يقشر الغضروف ويمزق الشفا.
- انحشار الكماشة (Pincer Impingement): يحدث عندما يمتد عظم التجويف الحقي بشكل مفرط ليغطي رأس الفخذ أكثر من اللازم، مما يسحق الشفا الحقي بين العظام مثل الكماشة أثناء الحركة.
- الانحشار المختلط (Mixed Impingement): وهو الأكثر شيوعاً، حيث يعاني المريض من كلا التشوهين (الكامة والكماشة) في نفس الوقت.

الأعراض الخفية والواضحة لمتلازمة FAI:
كثيراً ما يتم تشخيص مرضى FAI بشكل خاطئ على أنهم يعانون من شد عضلي في الفخذ أو التهاب في المسالك البولية. يقدم الأستاذ الدكتور محمد هطيف تقييماً دقيقاً للأعراض التي تشمل:
* ألم في منطقة الفخذ الأمامية (Groin Pain): يزداد مع الجلوس لفترات طويلة، قيادة السيارة، أو ربط الحذاء.
* ألم عميق يشبه حرف C: يضع المريض يده حول وركه في شكل حرف C لتحديد مكان الألم (C-Sign).
* طقطقة أو فرقعة: إحساس بتعلق المفصل أو طقطقة مسموعة ومؤلمة أثناء الحركة (بسبب تمزق الشفا).
* تصلب المفصل: صعوبة في أداء الحركات الرياضية، خاصة تلك التي تتطلب دوران الورك للداخل.

جدول (1): مقارنة بين آلام انحشار الفخذ الحقي (FAI) وحالات الورك الأخرى
| وجه المقارنة | انحشار الفخذ الحقي (FAI) وتمزق الشفا | الشد العضلي في الفخذ (Groin Strain) | خشونة المفصل المتقدمة (Osteoarthritis) |
|---|---|---|---|
| الفئة العمرية الشائعة | الشباب والرياضيون (15 - 45 عاماً) | الرياضيون (جميع الأعمار) | كبار السن (فوق 50 عاماً عادة) |
| طبيعة الألم | ألم عميق، يزداد مع الجلوس العميق أو الدوران الداخلي للورك | ألم حاد ومفاجئ يظهر أثناء نشاط رياضي محدد | ألم مستمر، تيبس صباحي شديد، صعوبة في المشي لمسافات |
| موقع الألم | عميق في المفصل (علامة حرف C)، الفخذ الأمامي | سطحي، في العضلات الضامة للفخذ | يشمل المفصل بأكمله وقد يمتد للركبة |
| الاستجابة للراحة | يقل مع الراحة لكنه يعود فوراً مع حركات ثني الورك | يتحسن بشكل ملحوظ مع الراحة والثلج | مستمر، وقد يوقظ المريض من النوم |
رحلة التشخيص الدقيقة مع الأستاذ الدكتور محمد هطيف
التشخيص الدقيق هو نصف العلاج. في عيادة الأستاذ الدكتور محمد هطيف بصنعاء، لا نعتمد على التخمين. بفضل خبرته التي تتجاوز العقدين، يتبع الدكتور هطيف بروتوكولاً تشخيصياً صارماً:

- الفحص السريري الاستفزازي: إجراء اختبارات ميكانيكية مثل اختبار (FADIR) الذي يتضمن ثني الورك وتقريبه وتدويره للداخل لاستفزاز الألم وتأكيد الانحشار.
- الأشعة السينية الرقمية (X-Rays): أخذ زوايا محددة (مثل Dunn View و Cross-table lateral) لقياس زاوية ألفا (Alpha Angle) وتحديد حجم التشوه العظمي.
- الرنين المغناطيسي مع الصبغة (MRI Arthrogram): هو المعيار الذهبي لرؤية الأنسجة الرخوة. يتم حقن صبغة داخل المفصل لرؤية أدق تفاصيل تمزق الشفا الحقي وتآكل الغضروف.

- الأشعة المقطعية ثلاثية الأبعاد (3D CT Scan): في الحالات المعقدة، يتم بناء نموذج ثلاثي الأبعاد لورك المريض، مما يسمح للدكتور هطيف بالتخطيط الجراحي المسبق ومعرفة مقدار العظم الذي يجب إزالته بدقة المليمتر.

الخيارات العلاجية: متى نلجأ إلى خلع مفصل الفخذ الجراحي؟
الهدف الأسمى للأستاذ الدكتور محمد هطيف هو الحفاظ على المفصل الطبيعي للمريض لأطول فترة ممكنة، وتأخير أو منع الحاجة إلى جراحة استبدال مفصل الورك الصناعي.
العلاج التحفظي (غير الجراحي)
يبدأ العلاج دائماً بالخيارات الأقل توغلاً، وتشمل:
* تعديل النشاط وتجنب الحركات المحفزة للألم.
* العلاج الطبيعي المتخصص لتقوية عضلات الحوض والبطن.
* الحقن الموضعي (الكورتيزون أو البلازما PRP) لتقليل الالتهاب والألم.

ومع ذلك، إذا كان التشوه العظمي كبيراً والألم مستمراً، فإن العلاج التحفظي لن يحل المشكلة الميكانيكية الأساسية، وهنا يأتي دور الجراحة.
جدول (2): مقارنة بين الخيارات الجراحية لعلاج انحشار الفخذ الحقي
| الميزة / الإجراء | منظار الورك الجراحي (Hip Arthroscopy) | خلع مفصل الفخذ الجراحي (Surgical Dislocation) |
|---|---|---|
| الرؤية الجراحية | رؤية من خلال ثقوب صغيرة (محدودة بمرونة المنظار) | رؤية مباشرة وشاملة 360 درجة للمفصل بالكامل |
| حجم الشق الجراحي | صغير جداً (ثقوب صغيرة) | شق جراحي أطول على جانب الفخذ |
| الحالات المناسبة | انحشار خفيف إلى متوسط، تمزقات الشفا البسيطة | انحشار شديد، تشوهات معقدة، آفات خلفية يصعب الوصول لها بالمنظار، أمراض بيرثيز وانزلاق المشاش |
| الوصول إلى الجزء الخلفي للمفصل | صعب جداً ومحدود | ممتاز وسهل الوصول |
| فترة الإقامة في المستشفى | جراحة يوم واحد عادة | 2 إلى 4 أيام |
| القدرة على إعادة تشكيل العظم بدقة | جيدة في المناطق الأمامية | ممتازة في جميع مناطق رأس الفخذ والتجويف |

الخطوات التفصيلية لعملية خلع مفصل الفخذ الجراحي (Surgical Hip Dislocation)
هذه الجراحة هي تحفة فنية في مجال العظام، وتتطلب مهارة استثنائية. الأستاذ الدكتور محمد هطيف يُعد من القلائل في اليمن والمنطقة الذين يجرون هذه العملية بنسب نجاح تضاهي المراكز العالمية. إليكم كيف تتم العملية خطوة بخطوة:
1. التجهيز والتخدير:
تتم العملية تحت التخدير العام أو النصفي. يتم وضع المريض على جانبه السليم، وتثبيته بعناية فائقة لضمان استقرار الحوض أثناء الجراحة.

2. الشق الجراحي والوصول الآمن:
يقوم الدكتور هطيف بعمل شق على الجانب الخارجي للورك. بدلاً من قطع العضلات الحيوية، يتم استخدام تقنية فصل الأنسجة للوصول إلى المدور الكبير (الجزء البارز من عظمة الفخذ).

3. الشق العظمي للمدور الكبير (Trochanteric Flip Osteotomy):
هذه هي الخطوة السحرية في الجراحة. يتم قص شريحة رقيقة من عظم المدور الكبير مع إبقاء العضلات المتصلة به سليمة. يتم إزاحة هذه الشريحة العظمية للأمام، مما يكشف كبسولة المفصل بالكامل ويحمي الشرايين المغذية لرأس الفخذ (MFCA) التي تقع في الخلف.

4. فتح الكبسولة (Capsulotomy) والخلع الآمن:
يتم فتح كبسولة المفصل بشكل حرف Z للحفاظ على متانتها لإعادة الخياطة لاحقاً. بعد ذلك، يتم خلع رأس الفخذ من التجويف الحقي بلطف شديد وبطريقة فنية تمنع أي شد على الأوعية الدموية.

الآن، المفصل مخلوع بالكامل، والدكتور هطيف لديه رؤية مباشرة وكاملة بنسبة 100% لكل من رأس الفخذ والتجويف الحقي.

5. معالجة التشوهات (إعادة التشكيل العظمي - Osteochondroplasty):
هنا يبرز فن النحت الجراحي.
* في حالة انحشار الكامة (Cam): يستخدم الدكتور هطيف أدوات دقيقة لإزالة النتوء العظمي الزائد من رأس وعنق الفخذ، وإعادة الشكل الكروي المثالي له، مما يسمح بحركة سلسة دون احتكاك.

- في حالة انحشار الكماشة (Pincer): يتم تشذيب حافة التجويف الحقي الزائدة التي تسبب الاصطدام.

6. إصلاح الشفا الحقي (Labral Repair):
إذا كان الشفا الحقي ممزقاً (وهو أمر شائع جداً)، لا يتم استئصاله، بل يتم إعادة تثبيته وخياطته بعناية فائقة باستخدام خطاطيف جراحية صغيرة (Suture Anchors) تزرع في العظم. الحفاظ على الشفا ضروري جداً للحفاظ على صحة المفصل على المدى الطويل.

7. الرد والتثبيت (Reduction and Fixation):
بعد التأكد من إزالة جميع العوائق الميكانيكية وإصلاح الأنسجة، يتم إرجاع رأس الفخذ إلى مكانه الطبيعي (الرد). يتم اختبار مدى الحركة داخل غرفة العمليات للتأكد من عدم وجود أي احتكاك متبقي.

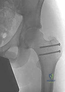
تُخاط الكبسولة بإحكام، ثم يُعاد عظم المدور الكبير إلى مكانه الأصلي ويُثبت باستخدام براغي طبية (Screws) مصنوعة من التيتانيوم لتأمين التئام العظم.

لماذا تختار الأستاذ الدكتور محمد هطيف في صنعاء؟ (المرجعية والموثوقية E-E-A-T)
قرار الخضوع لجراحة كبرى في الورك ليس قراراً سهلاً. اختيار الجراح هو العامل الأهم في نجاح العملية. الأستاذ الدكتور محمد هطيف يمثل قمة الهرم الطبي في هذا التخصص في اليمن لعدة أسباب جوهرية:

- الرتبة الأكاديمية والخبرة: بصفته أستاذ جراحة العظام والمفاصل بجامعة صنعاء، فهو يجمع بين أحدث المعارف الأكاديمية العالمية والخبرة العملية الميدانية التي تتجاوز 20 عاماً في أعقد جراحات العظام.
- التخصص الدقيق في الجراحات المحافظة: الدكتور هطيف رائد في جراحات "الحفاظ على المفصل" (Joint Preservation)، وهو نهج حديث يفضل إصلاح المفصل الطبيعي بدلاً من المسارعة في تغييره بمفصل صناعي، خاصة للشباب.
- الأمانة الطبية الصارمة: يُعرف الدكتور هطيف في الأوساط الطبية وبين مرضاه بالشفافية المطلقة. لا يتم التوصية بالجراحة إلا إذا كانت هي الخيار الأمثل والوحيد لحالة المريض، مع شرح مفصل للنتائج المتوقعة والمخاطر.
- استخدام التكنولوجيا المتقدمة: يعتمد في عملياته على الجراحة المجهرية (Microsurgery)، وتقنيات المنظار عالي الدقة (Arthroscopy 4K)، وأحدث تقنيات بناء المفاصل، مما يضمن دقة متناهية وأقل قدر من الأضرار الجانبية للأنسجة.

الدليل الشامل لإعادة التأهيل بعد الجراحة (Rehabilitation Guide)
النجاح الجراحي يمثل 50% من النتيجة، الـ 50% الأخرى تعتمد كلياً على التزام المريض ببرنامج العلاج الطبيعي وإعادة التأهيل. صمم الدكتور هطيف بروتوكولاً صارماً للتعافي:
المرحلة الأولى: الحماية والشفاء (الأسابيع 0 - 6)
- تحميل الوزن: يُمنع تحميل الوزن الكامل على الساق المريضة. يستخدم المريض العكازات مع تحميل وزن جزئي (حوالي 20% فقط) لحماية الشق العظمي وإصلاح الشفا.
- الحركة: تمارين سلبية ولطيفة لتحريك المفصل ومنع التيبس، مع تجنب الحركات العنيفة أو الدوران الداخلي النشط.
- الأدوية: مسكنات الألم ومضادات التخثر لمنع الجلطات.

المرحلة الثانية: استعادة القوة والمدى الحركي (الأسابيع 6 - 12)
- بعد التأكد من التئام العظم (المدور الكبير) عبر الأشعة السينية، يبدأ المريض في التخلي التدريجي عن العكازات.
- التركيز على تقوية عضلات الحوض، الألوية، والفخذين.
- التدريب على المشي الطبيعي واستعادة التوازن.

المرحلة الثالثة: العودة للنشاط الطبيعي والرياضة (الأشهر 3 - 6 وما بعدها)
- التدرج في الأنشطة الرياضية. يبدأ المريض بالسباحة وركوب الدراجة الثابتة.
- العودة للرياضات التنافسية (مثل كرة القدم أو الجري) تتطلب عادة من 6 إلى 9 أشهر، وتعتمد على اجتياز اختبارات قوة العضلات واستقرار المف
آلام الورك وتقييد حركته ليس قدراً محتوماً! التشخيص الدقيق والعلاج المتخصص يمكن أن يعيد لك كامل وظيفتك وحريتك في الحركة. لا تدع الألم يسيطر على حياتك.
للحصول على استشارة دقيقة وخطة علاجية مخصصة لحالتك، تواصل فوراً مع مركز الأستاذ الدكتور محمد هطيف:
الأستاذ الدكتور محمد هطيف - أفضل دكتور عظام في صنعاء، وخبير في جراحات استبدال مفصل الورك.. نلتزم بإعادتك لحياة خالية من الألم وورك قوي ووظيفي.
مواضيع أخرى قد تهمك