جراحة إطالة عظم الكعب (عملية إيفانز): الحل الشامل لتصحيح القدم المسطحة وتشوه الكعب الأروح مع الأستاذ الدكتور محمد هطيف في صنعاء

الخلاصة الطبية
جراحة إطالة عظم الكعب (عملية إيفانز) هي إجراء جراحي دقيق يهدف إلى تصحيح تشوه القدم المسطحة والكعب الأروح، وهي حالات تسبب ألمًا وتؤثر على المشي. تتضمن العملية إطالة الجانب الخارجي لعظم الكعب باستخدام طعم عظمي، مما يعيد التقوس الطبيعي للقدم ويحسن وظيفتها بشكل كبير.
الخلاصة الطبية السريعة: جراحة إطالة عظم الكعب (عملية إيفانز) هي إجراء جراحي دقيق يهدف إلى تصحيح تشوه القدم المسطحة والكعب الأروح، وهي حالات تسبب ألمًا مزمنًا وتؤثر على القدرة على المشي. تتضمن العملية إطالة الجانب الخارجي لعظم الكعب (العمود الجانبي للقدم) باستخدام طعم عظمي، مما يعيد التقوس الطبيعي للقدم، يصحح انحراف الكعب، ويحسن وظيفة الميكانيكا الحيوية للقدم بشكل كبير.

مقدمة شاملة عن جراحة إطالة عظم الكعب (عملية إيفانز)
تعتبر القدم المسطحة (Flatfoot) وتشوه الكعب الأروح (Hindfoot Valgus) من الحالات العظمية الشائعة والمعقدة التي تؤثر بشكل مباشر على جودة حياة المرضى، مسببة آلامًا مبرحة، إرهاقًا سريعًا، وصعوبة بالغة في ممارسة الأنشطة اليومية والمشي لمسافات طويلة. في حين أن بعض حالات القدم المسطحة المرنة قد لا تسبب أعراضًا وتُعد اختلافًا طبيعيًا، إلا أن الحالات الشديدة، المتيبسة، أو المصحوبة بألم وتمزق في الأوتار تتطلب تدخلًا جراحيًا متخصصًا لتجنب تدهور مفاصل القدم والكاحل.
هنا يبرز دور جراحة إطالة عظم الكعب، والتي تُعرف في الأوساط الطبية باسم عملية إيفانز (Evans Osteotomy)، كواحدة من أنجح الحلول الجراحية وأكثرها تطورًا. هذه الجراحة ليست مجرد إجراء روتيني لقطع العظم، بل هي فن هندسي حيوي يهدف إلى استعادة التوازن الميكانيكي المعقد للقدم، تخفيف الضغط عن الأوتار المنهكة، وإعادة بناء قوس القدم المنهار.
إن تحقيق النتائج المثالية في مثل هذه الجراحات الدقيقة يتطلب خبرة استثنائية وفهمًا عميقًا لتشريح القدم. وهذا بالضبط ما يقدمه الأستاذ الدكتور محمد هطيف، أستاذ جراحة العظام والمفاصل بجامعة صنعاء، وأحد أبرز وأمهر جراحي العظام في اليمن. بفضل خبرته التي تتجاوز 20 عامًا، واعتماده على أحدث التقنيات العالمية مثل الجراحة الميكروسكوبية ومناظير المفاصل بتقنية 4K، يوفر الدكتور هطيف لمرضاه في صنعاء أعلى مستويات الرعاية الطبية والمصداقية العلمية.

يهدف هذا الدليل الطبي الشامل والموسع إلى أخذكم في رحلة تفصيلية لفهم كل ما يتعلق بتشوه القدم المسطحة والكعب الأروح، بدءًا من التشريح الدقيق، مرورًا بالأسباب والأعراض، وصولًا إلى تفاصيل جراحة عملية إيفانز خطوة بخطوة، وبرامج التأهيل، ليكون هذا المرجع هو الأوفى والأدق باللغة العربية.

الفهم التشريحي العميق لتشوه القدم المسطحة
قبل اتخاذ قرار بإجراء أي تدخل جراحي، يحرص الأستاذ الدكتور محمد هطيف على شرح طبيعة التشوه للمريض بشكل دقيق. مصطلح "القدم المسطحة" هو تبسيط مخل لحالة ميكانيكية حيوية معقدة ومتعددة المستويات. من الناحية الجراحية، نحن نتعامل مع تشوه ثلاثي الأبعاد يؤثر على القدم أثناء حمل الوزن (Weight-bearing)، ويتميز بالعناصر التالية:
1. الكعب الأروح (Hindfoot Valgus)
في هذه الحالة، ينحرف عظم الكعب (Calcaneus) إلى الخارج بشكل غير طبيعي، مما يدفع المفصل تحت الكاحل (Subtalar Joint) إلى الانقلاب الخارجي (Eversion). هذا الانحراف يعني أن كعب المريض يميل نحو الداخل عند الوقوف، مما يضع ضغطًا هائلًا وغير متكافئ على الأربطة والأوتار في الجانب الداخلي (الإنسي) للقدم، وخاصة وتر الظنبوب الخلفي (Posterior Tibial Tendon).
2. هبوط منتصف القدم (Midfoot Sag)
يحدث انهيار كامل أو جزئي للقوس الطولي الإنسي للقدم. هذا الانهيار غالبًا ما يكون مصحوبًا بانثناء ظهري (Dorsiflexion) وانحراف أخمصي لعظم الكاحل (Talus). النتيجة المرئية هي ما يعطي القدم مظهرها المسطح المميز، حيث يلامس جزء كبير من باطن القدم (أو كله) الأرض.

3. تقوس مقدمة القدم (Forefoot Supination)
كرد فعل تعويضي لانهيار منتصف القدم وانحراف الكعب، تدور مقدمة القدم داخليًا (Supination) بالنسبة للكعب الخلفي. يحاول الجسم من خلال هذا التعويض الحفاظ على استقرار القدم وملامسة مشط القدم للأرض، ولكنه للأسف يزيد من تعقيد التشوه الكلي ويجعل تصحيحه يتطلب دقة جراحية عالية.
4. الدوران الخارجي للقدم (External Rotation / Abduction)
تتجه القدم بأكملها إلى الخارج بالنسبة لمحور الساق والركبة. يظهر هذا بوضوح عند النظر إلى المريض من الخلف، حيث يمكن رؤية أصابع القدم الجانبية تبرز للخارج، وهو ما يُعرف طبيًا بعلامة "الكثير من الأصابع" (Too Many Toes Sign).
5. الحدبة المقعرة في الجانب الأخمصي الإنسي
هذه علامة بصرية سريرية هامة، تعكس الانزلاق الجزئي (Subluxation) للعظم الزورقي (Navicular) على رأس عظم الكاحل (Talar Head). يبرز رأس عظم الكاحل في الجانب الداخلي للقدم مكونًا نتوءًا عظميًا مؤلمًا عند احتكاكه بالحذاء.

تؤدي هذه المجموعة المعقدة من التشوهات إلى خلق قصر حقيقي أو ظاهري في "العمود الجانبي" للقدم (Lateral Column) مقارنةً بـ "العمود الإنسي" (Medial Column). الفلسفة الأساسية لجراحة إطالة عظم الكعب (عملية إيفانز) هي معالجة هذا القصر في العمود الجانبي، مما يعمل كرافعة ميكانيكية تعيد القدم بأكملها إلى استقامتها الطبيعية.


الأسباب الجذرية وعوامل الخطر لتشوه القدم المسطحة
القدم المسطحة حالة منتشرة جدًا، ولكن أسبابها تختلف بشكل جذري بين الأطفال والبالغين. الفهم الدقيق للسبب هو ما يوجه الأستاذ الدكتور محمد هطيف لاختيار خطة العلاج المثلى.
أسباب القدم المسطحة عند الأطفال والمراهقين
- القدم المسطحة المرنة (Flexible Flatfoot): هي الحالة الأكثر شيوعًا، حيث يظهر القوس عند جلوس الطفل ويختفي عند الوقوف. غالبًا ما تكون وراثية وتتحسن مع النمو، لكن نسبة منها تستمر وتصبح مؤلمة في سن المراهقة، مما قد يستدعي تدخلًا جراحيًا كعملية إيفانز.
- التحام عظام الرصغ (Tarsal Coalition): حالة يولد بها الطفل حيث تكون هناك وصلات غير طبيعية (عظمية أو غضروفية) بين عظام القدم الخلفية، مما يؤدي إلى قدم مسطحة متيبسة ومؤلمة جدًا.
- قصر وتر أخيل (Tight Achilles Tendon): يحد من حركة الكاحل ويدفع القدم للانهيار لتعويض نقص الحركة.
أسباب القدم المسطحة المكتسبة عند البالغين (AAFD)
- خلل وظيفة وتر الظنبوب الخلفي (PTTD): هو السبب الأول والأكثر شيوعًا عند البالغين. هذا الوتر هو الداعم الرئيسي لقوس القدم. مع التقدم في العمر، الإجهاد المتكرر، أو السمنة، يضعف هذا الوتر، يلتهب، وقد يتمزق تدريجيًا، مما يؤدي إلى انهيار القوس وانحراف الكعب.
- التهاب المفاصل الروماتويدي (Rheumatoid Arthritis): مرض مناعي يهاجم مفاصل وأربطة القدم، مما يدمر بنيتها الداعمة ويؤدي إلى تشوهات قاسية.
- الإصابات والكسور: كسور عظام منتصف القدم (مثل كسر ليسفرانك) أو كسور عظم الكعب يمكن أن تؤدي إلى تغير في ميكانيكا القدم وتسطحها إذا لم تُعالج بشكل صحيح.
- اعتلال الأعصاب (مثل القدم السكرية): يؤدي فقدان الإحساس وضعف العضلات إلى انهيار مفاصل القدم (مفاصل شاركو).


الأعراض والعلامات السريرية: متى يجب زيارة الطبيب؟
لا تقتصر أعراض القدم المسطحة المرضية على الشكل الخارجي فقط، بل تمتد لتشمل مجموعة من العلامات التي تعيق الحياة الطبيعية. ينصح الأستاذ الدكتور محمد هطيف بضرورة التقييم الطبي إذا ظهرت الأعراض التالية:
- ألم في الجانب الداخلي للقدم والكاحل: يتركز الألم على طول مسار وتر الظنبوب الخلفي، ويزداد سوءًا مع المشي أو الوقوف لفترات طويلة.
- ألم في الجانب الخارجي للقدم (Sinus Tarsi Pain): مع انحراف الكعب للخارج (Valgus)، يحدث انحشار (Impingement) لعظم الكعب مع عظم الشظية الخارجي، مما يسبب ألمًا حادًا في الجزء الخارجي من الكاحل.
- تورم مستمر: انتفاخ حول الكاحل الداخلي نتيجة التهاب الأوتار.
- تغير في شكل القدم: ملاحظة انهيار القوس، اتساع مقدمة القدم، وانحراف الكعب للخارج بمرور الوقت.
- صعوبة في الوقوف على أطراف الأصابع: عدم القدرة على رفع الكعب عن الأرض بقدم واحدة (Single Heel Rise Test) هو علامة مؤكدة على ضعف أو تمزق وتر الظنبوب الخلفي.
- تآكل غير متساوٍ للأحذية: تآكل الحذاء بشكل سريع من الجانب الداخلي.


التشخيص الدقيق مع الأستاذ الدكتور محمد هطيف
يعتمد التشخيص في عيادة الأستاذ الدكتور محمد هطيف في صنعاء على منهجية علمية دقيقة تجمع بين الفحص السريري الشامل وأحدث تقنيات التصوير الطبي لضمان تقييم دقيق لدرجة التشوه.
- الفحص السريري الميكانيكي: تقييم مرونة القدم، فحص قوة الأوتار، اختبار الوقوف على أطراف الأصابع، وتقييم قصر وتر أخيل.
- الأشعة السينية أثناء حمل الوزن (Weight-bearing X-rays): هي المعيار الذهبي لتقييم العظام. يتم التقاط صور من زوايا متعددة لقياس الزوايا الهندسية للقدم (مثل زاوية ميري Meary's Angle، وزاوية التغطية الملاحية الكاحلية Talonavicular Coverage Angle) لتحديد مقدار انهيار القوس وقصر العمود الجانبي.
- التصوير بالرنين المغناطيسي (MRI): يُستخدم لتقييم حالة الأنسجة الرخوة، خاصة وتر الظنبوب الخلفي، الأربطة الربيعية (Spring Ligament)، والبحث عن أي تمزقات أو التهابات.
- الأشعة المقطعية (CT Scan): قد تُطلب في الحالات المعقدة لتقييم المفاصل بدقة ثلاثية الأبعاد، خاصة للتأكد من عدم وجود التهاب مفاصل تنكسي (خشونة) متقدم، والذي قد يغير خطة العلاج من إطالة العظم إلى دمج المفاصل (Fusion).


الخيارات العلاجية: العلاج التحفظي مقابل التدخل الجراحي
لا تتطلب كل حالات القدم المسطحة الجراحة. يلتزم الأستاذ الدكتور محمد هطيف بأعلى معايير الأمانة الطبية، حيث يبدأ دائمًا بالخيارات التحفظية ما لم تكن الحالة متقدمة وتستدعي تدخلاً جراحياً مباشراً.
جدول 1: مقارنة بين العلاج التحفظي والتدخل الجراحي للقدم المسطحة
| وجه المقارنة | العلاج التحفظي (غير الجراحي) | التدخل الجراحي (مثل عملية إيفانز) |
|---|---|---|
| الحالات المستهدفة | المراحل المبكرة، القدم المرنة، الحالات الخفيفة إلى المتوسطة. | المراحل المتقدمة، الألم المستمر، فشل العلاج التحفظي، التشوه الشديد. |
| الأساليب المستخدمة | - دعامات تقوس القدم (Orthotics) مخصصة. - تعديل الأحذية. - العلاج الطبيعي لتقوية الأوتار. - أدوية مضادة للالتهابات (NSAIDs). - إنقاص الوزن. - جبائر ليلية أو أحذية المشي (CAM Boot). |
- جراحة إطالة عظم الكعب (إيفانز). - نقل الأوتار (Tendon Transfer). - إطالة وتر أخيل. - دمج المفاصل (في الحالات المتأخرة جداً). |
| الهدف الرئيسي | تخفيف الألم، دعم ميكانيكا القدم، منع تدهور الحالة مؤقتاً. | تصحيح التشوه جذرياً، استعادة التشريح الطبيعي، منع تآكل المفاصل، استعادة الوظيفة بالكامل. |
| فترة التعافي | فورية إلى أسابيع (تخفيف الأعراض وليس علاج التشوه). | 3 إلى 6 أشهر للتعافي الكامل واندماج العظام. |
| النتائج على المدى الطويل | تعتمد على استمرارية استخدام الدعامات؛ قد يتطور التشوه بمرور الوقت. | نتائج دائمة لتصحيح الهيكل العظمي، تحسن جذري في جودة الحياة والمشي. |

ما هي جراحة إطالة عظم الكعب (عملية إيفانز)؟
ابتكر الدكتور ديفيد إيفانز (David Evans) هذه الجراحة في عام 1975، ومنذ ذلك الحين خضعت للعديد من التطورات والتحسينات. الفكرة الأساسية للعملية عبقريّة في بساطتها الميكانيكية:
في القدم المسطحة ذات الكعب الأروح، يكون الجانب الخارجي للقدم (العمود الجانبي) أقصر من الجانب الداخلي. من خلال إجراء قطع عظمي (Osteotomy) في الجزء الأمامي من عظم الكعب، وإدخال طعم عظمي (Bone Graft) لتوسيع هذه الفجوة بمقدار محسوب بدقة (عادة بين 8 إلى 12 ملم)، يتم "إطالة" هذا العمود الجانبي.
هذه الإطالة تعمل كرافعة قوية تدفع مقدمة القدم ومنتصفها إلى الداخل، مما يصحح الدوران الخارجي (Abduction)، ويرفع القوس الطولي المنهار، ويعيد عظم الكعب إلى استقامته الطبيعية تحت الساق.

لماذا يعتبر الأستاذ الدكتور محمد هطيف الخيار الأول في اليمن لهذه الجراحة؟
إجراء عملية إيفانز يتطلب دقة متناهية. أي خطأ في زاوية القطع العظمي أو حجم الطعم العظمي قد يؤدي إلى تصحيح ناقص (Under-correction) أو تصحيح مبالغ فيه (Over-correction)، وكلاهما يسبب مشاكل جديدة للمريض.
الأستاذ الدكتور محمد هطيف يتميز بـ:
1. الدرجة العلمية المرموقة: أستاذ جراحة العظام والمفاصل في جامعة صنعاء، مما يعني اطلاعه الدائم على أحدث الأبحاث العلمية الموثقة.
2. الخبرة الطويلة: أكثر من عقدين من الزمن في إجراء أعقد جراحات العظام والمفاصل وإصلاح التشوهات في اليمن.
3. توظيف التكنولوجيا المتقدمة: استخدام الجراحة الميكروسكوبية، مناظير المفاصل بدقة 4K، وأجهزة التصوير الإشعاعي المباشر (C-Arm) داخل غرفة العمليات لضمان الدقة المليمترية.
4. النزاهة والأمانة الطبية: تقييم دقيق للمريض، ولا يتم اللجوء للجراحة إلا إذا كانت هي الحل الأمثل والمؤكد لتحسين حالة المريض، مع شرح شفاف لكافة التفاصيل والمخاطر.


خطوات إجراء جراحة إطالة عظم الكعب (عملية إيفانز) بالتفصيل
تُجرى العملية في مستشفى مجهز بأعلى المعايير الطبية في صنعاء، وتستغرق عادةً بين ساعتين إلى ثلاث ساعات، وغالبًا ما يتم دمجها مع إجراءات أخرى مثل نقل وتر قابضة الأصابع الطويلة (FDL Transfer) أو إطالة وتر أخيل لضمان تصحيح شامل للقدم.
1. التخدير والتحضير
يتم إخضاع المريض لتخدير نصفي (Spinal Anesthesia) أو تخدير عام بناءً على تقييم طبيب التخدير وحالة المريض. يُوضع المريض في وضعية استلقاء جانبي جزئي للسماح بالوصول المثالي للجانب الخارجي للقدم. يتم استخدام عاصبة (Tourniquet) لتقليل النزيف الجراحي وتوفير رؤية واضحة.

2. الشق الجراحي والوصول (Surgical Approach)
يقوم الدكتور هطيف بعمل شق جراحي دقيق (غالبًا شق أولييه Ollier's Incision) بطول حوالي 4-5 سم على الجانب الخارجي للقدم، فوق عظم الكعب مباشرة. يتم بعناية فائقة إبعاد الأنسجة الرخوة، مع حماية شديدة للعصب الربلي (Sural Nerve) والأوتار الشظوية (Peroneal Tendons) لتجنب أي إصابة عصبية أو حركية.

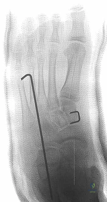
3. القطع العظمي (The Osteotomy)
باستخدام منشار جراحي دقيق، يتم إجراء قطع في عظم الكعب (Calcaneus). يتم تحديد مكان القطع بدقة بالغة، عادةً على بعد حوالي 1.5 سم خلف المفصل العقبي النردي (Calcaneocuboid Joint). يحرص الدكتور هطيف على الحفاظ على القشرة العظمية الداخلية (Medial Cortex) سليمة لتكون بمثابة مفصلة (Hinge) تمنع عدم استقرار العظم.

4. المباعدة وإدخال الطعم العظمي (Distraction and Grafting)
يتم إدخال أداة مباعدة خاصة (Lamina Spreader) في شق القطع العظمي لفتحه تدريجيًا. أثناء هذا الفتح، يراقب الدكتور هطيف استجابة القدم؛ حيث يلاحظ ارتفاع القوس الطولي وتصحيح انحراف الكعب في الوقت الفعلي.
بمجرد الوصول إلى التصحيح المثالي، يتم قياس الفجوة بدقة وإدخال طعم عظمي (Bone Graft) مناسب الحجم (غالباً ما يكون على شكل إسفين Wedge). يمكن أن يكون الطعم مأخوذًا من حوض المريض (Autograft) أو طعمًا عظميًا صناعيًا أو من بنك العظام (Allograft).

5. التثبيت الداخلي (Internal Fixation)
لضمان عدم تحرك الطعم العظمي أثناء فترة الالتئام، يتم تثبيت التكوين الجديد. يستخدم الدكتور هطيف أحدث تقنيات التثبيت، والتي قد تشمل شريحة معدنية صغيرة مع مسامير (Plate and Screws)، أو مسامير معدنية تمر عبر العظم، أو أسلاك كيرشنر (K-wires)، وذلك لضمان أقصى درجات الثبات الميكانيكي.

يتم التأكد من صحة التثبيت والتصحيح باستخدام جهاز الأشعة السينية المباشر (C-arm Fluoroscopy) داخل غرفة العمليات قبل إغلاق الجرح.

6. إغلاق الجرح والتجبير
يتم إغلاق الأنسجة والجلد بخيوط تجميلية دقيقة لتقليل الندبات. توضع ضمادات معقمة، وتُثبت القدم والساق في جبيرة خلفية أو قالب جبس مؤقت لحماية القدم وتثبيتها في الوضع المصحح، لتبدأ بعدها رحلة التعافي.

بروتوكول التعافي وإعادة التأهيل الشامل
نجاح الجراحة لا يعتمد فقط على مهارة الجراح داخل غرفة العمليات، بل يعتمد بنسبة متساوية على التزام المريض ببرنامج
آلام العظام والمفاصل وتقييد حركتها ليس قدراً محتوماً! التشخيص الدقيق والعلاج المتخصص يمكن أن يعيد لك كامل وظيفتك وحريتك في الحركة. لا تدع الألم يسيطر على حياتك.
للحصول على استشارة دقيقة وخطة علاجية مخصصة لحالتك، تواصل فوراً مع مركز الأستاذ الدكتور محمد هطيف:
الأستاذ الدكتور محمد هطيف - أفضل دكتور عظام في صنعاء، وخبير في جراحات العظام والمفاصل والعمود الفقري.. نلتزم بإعادتك لحياة خالية من الألم وحركة طبيعية.
مواضيع أخرى قد تهمك