جراحة القدم المسطحة المكتسبة لدى البالغين الحل الشامل لاستعادة القوس الطبيعي مع الأستاذ الدكتور محمد هطيف

الخلاصة الطبية
القدم المسطحة المكتسبة هي حالة شائعة تتسبب في انهيار قوس القدم. تتضمن جراحة إعادة البناء المتقدمة نقل وتر FDL وتعديل عظم الكعب لاستعادة القوس الطبيعي ووظيفة القدم وتخفيف الألم. يقدم الأستاذ الدكتور محمد هطيف هذه الجراحة الدقيقة في صنعاء.
مقدمة شاملة: المعاناة الصامتة مع انهيار قوس القدم
هل تشعر بألم مستمر ومزعج في قدمك أو كاحلك يزداد سوءاً مع نهاية اليوم؟ هل لاحظت أن قوس قدمك الذي كان طبيعياً في الماضي بدأ ينهار تدريجياً، مما يسبب لك صعوبة بالغة في المشي، أو الوقوف لفترات طويلة، أو حتى ارتداء أحذيتك المفضلة؟ إذا كانت إجابتك بنعم، فقد تكون تعاني من حالة طبية شائعة ومعقدة تُعرف طبياً بـ "القدم المسطحة المكتسبة لدى البالغين" (Adult Acquired Flatfoot Deformity - AAFD).
هذه الحالة، وإن كانت تبدأ بأعراض قد تبدو بسيطة، إلا أنها تتطور لتصبح إعاقة حركية حقيقية تؤثر على جودة الحياة بشكل جذري. ولكن، الخبر السار هو أن هناك حلولاً جراحية متقدمة ونهائية يمكنها استعادة شكل قدمك ووظيفتها الطبيعية، وتخفيف الألم بشكل دائم، وإعادتك إلى ممارسة حياتك الطبيعية بكل ثقة.
في هذا الدليل الطبي الشامل والموسع، سنأخذك في رحلة تفصيلية وعميقة لفهم كل ما يتعلق بالقدم المسطحة المكتسبة. سنغوص في التشريح الدقيق للقدم، والأسباب الخفية وراء هذه الحالة، وكيفية تطورها عبر مراحل مختلفة. سنركز بشكل مكثف وخاص على إحدى أكثر الطرق الجراحية دقة وفعالية عالمياً لإعادة بناء القدم المسطحة: جراحة نقل وتر العضلة القابضة الطويلة للأصابع (FDL) وتعديل (قص) عظم الكعب الإزاحي الإنسي (Medial Displacement Calcaneal Osteotomy - MDCO). هذه الجراحة المبتكرة والمعقدة مصممة خصيصاً للحفاظ على مرونة وحركة مفاصل القدم قدر الإمكان، مع استعادة القوس الطبيعي والاستقرار الوظيفي والميكانيكي للقدم الخلفية.

بصفتنا خبراء رواد في جراحة العظام والمفاصل، نفخر بتقديم هذا الدليل الطبي المرجعي، ونسلط الضوء على تقديم هذه التقنيات الجراحية المتقدمة تحت إشراف الأستاذ الدكتور محمد هطيف، أستاذ جراحة العظام والمفاصل بجامعة صنعاء، والرائد الأول في جراحة القدم والكاحل والجراحات الميكروسكوبية في صنعاء واليمن. إن خبرته الأكاديمية والعملية التي تمتد لأكثر من 20 عاماً، والتزامه الصارم بالأمانة الطبية واستخدام أحدث التقنيات (مثل مناظير المفاصل بتقنية 4K)، تضمن للمرضى الحصول على أدق التشخيصات وأفضل النتائج الجراحية الممكنة، مما يعيد لهم القدرة على المشي والحياة بدون ألم.

التشريح الدقيق للقدم: كيف يعمل القوس الطبيعي؟
لفهم كيف تنهار القدم، يجب علينا أولاً أن نفهم كيف تقف وتعمل بشكل طبيعي. القدم البشرية هي تحفة هندسية بيولوجية تتكون من 26 عظمة، و33 مفصلاً، وأكثر من 100 عضلة ووتر ورباط تعمل جميعها في تناغم مذهل لدعم وزن الجسم، وامتصاص الصدمات، وتوفير قوة الدفع اللازمة للمشي والجري.
دور وتر الظنبوب الخلفي (Posterior Tibial Tendon)
اللاعب الأساسي في الحفاظ على القوس الطولي الإنسي (القوس الداخلي للقدم) هو وتر الظنبوب الخلفي. تنشأ العضلة الخاصة بهذا الوتر في الجزء الخلفي من الساق (خلف عظمة الساق الكبرى - القصبة)، ويمتد الوتر نزولاً ليمر خلف الكعب الداخلي (الكعب الإنسي - Medial Malleolus)، ثم يتفرع لينغرس في عدة عظام في منتصف القدم، أهمها العظمة الزورقية (Navicular bone).
وظيفة هذا الوتر حيوية جداً؛ فهو يعمل كـ "الرافعة" الرئيسية التي ترفع قوس القدم أثناء المشي، ويقوم بحركة قلب القدم للداخل (Inversion) وثنيها للأسفل (Plantarflexion). بدون القوة الشدية لهذا الوتر، لا يمكن للقدم أن تحافظ على هيكلها المقوس أثناء تحمل الوزن.

الأربطة الداعمة: الرباط الزنبركي والرباط الدالي
الوتر لا يعمل وحده. هناك شبكة من الأربطة القوية التي تدعم القوس من الأسفل، أهمها الرباط الزنبركي (Spring Ligament) الذي يربط بين عظم العقب (الكعب) والعظمة الزورقية، ويعمل كأرجوحة تحمل رأس عظمة الكاحل (Talus). بالإضافة إلى ذلك، هناك الرباط الدالي (Deltoid Ligament) على الجانب الداخلي للكاحل والذي يوفر الاستقرار الجانبي. عندما يضعف وتر الظنبوب الخلفي، يقع عبء هائل على هذه الأربطة، مما يؤدي في النهاية إلى تمددها وتمزقها، وهو ما يسرع من عملية انهيار القوس.

ما هو ضعف وتر الظنبوب الخلفي (PTTD) والقدم المسطحة المكتسبة؟
القدم المسطحة المكتسبة لدى البالغين هي حالة تتطور بمرور الوقت، وتختلف تماماً عن القدم المسطحة الخلقية التي يولد بها الإنسان (والتي غالباً ما تكون غير مؤلمة ولا تتطلب تدخلاً جراحياً). السبب الأكثر شيوعًا وراء انهيار القوس في مرحلة البلوغ هو خلل أو ضعف أو تمزق في وتر الظنبوب الخلفي، وهو ما يُعرف طبياً بـ (Posterior Tibial Tendon Dysfunction - PTTD).
لماذا يضعف الوتر؟ (الآلية المرضية)
العملية التي تؤدي إلى ضعف الوتر هي عادة عملية تنكسية (Degenerative) وليست مجرد التهاب بسيط (Inflammatory). مع مرور الوقت والضغط المستمر، يتم استبدال ألياف الكولاجين الطبيعية والقوية في الوتر بنسيج ندبي غير منظم وتدهور مخاطي (Mucoid degeneration).
يحدث هذا التدهور غالباً في منطقة محددة من الوتر تقع خلف وتحت الكاحل الإنسي. هذه المنطقة تُعرف بـ "المنطقة قليلة التروية الدموية" (Watershed zone)، حيث يكون إمداد الدم فيها ضعيفاً نسبياً مقارنة بباقي أجزاء الوتر. هذا النقص في التروية يجعل الوتر أقل قدرة على إصلاح نفسه عند التعرض لتمزقات مجهرية متكررة ناتجة عن المشي والوقوف.

العظم الزورقي الإضافي (Accessory Navicular Ossicle)
في بعض الحالات (حوالي 10-14% من البشر)، يولد الشخص بوجود عظمة صغيرة إضافية ملتصقة بالعظمة الزورقية حيث ينغرس وتر الظنبوب الخلفي. وجود هذا العظم الإضافي يغير من زاوية شد الوتر ويقلل من كفاءته الميكانيكية، مما يؤدي إلى احتكاك مستمر وزيادة الضغط الميكانيكي على الوتر، ويسرع من تدهوره وتمزقه في سن مبكرة مقارنة بالأشخاص الذين لا يمتلكون هذه العظمة.

الأسباب وعوامل الخطر: من هو المعرض للإصابة؟
على الرغم من أن أي شخص يمكن أن يصاب بالقدم المسطحة المكتسبة، إلا أن هناك عوامل خطر محددة تزيد من احتمالية الإصابة بشكل كبير:
- العمر والجنس: الحالة أكثر شيوعاً بكثير لدى النساء فوق سن الأربعين. التغيرات الهرمونية قد تلعب دوراً في إضعاف الأربطة والأوتار.
- السمنة وزيادة الوزن: الوزن الزائد يضع ضغطاً ميكانيكياً هائلاً ومستمراً على قوس القدم ووتر الظنبوب الخلفي، مما يسرع من انهيارهما.
- الأمراض الجهازية المزمنة: مرضى السكري وارتفاع ضغط الدم يعانون غالباً من ضعف في الدورة الدموية الطرفية، مما يؤثر على قدرة الوتر على التئام التمزقات المجهرية. الأمراض الروماتيزمية (مثل التهاب المفاصل الروماتويدي) تهاجم الأوتار والمفاصل مباشرة.
- الإصابات والصدمات: التواء الكاحل الشديد أو الكسور السابقة في القدم أو الكاحل يمكن أن تمزق الوتر أو الأربطة الداعمة فجأة.
- الاستخدام المفرط: الرياضيون الذين يمارسون رياضات تتطلب الجري لمسافات طويلة أو القفز المتكرر، أو الأشخاص الذين تتطلب وظائفهم الوقوف لساعات طويلة على أسطح صلبة.
- حقن الكورتيزون الموضعية: الحقن المتكرر للكورتيزون حول الوتر لعلاج الألم يمكن أن يؤدي إلى إضعاف أنسجة الوتر وزيادة خطر قطعه بالكامل.


مراحل تطور القدم المسطحة المكتسبة (تصنيف جونسون وستروم)
لفهم خطورة الحالة وتحديد العلاج المناسب، قام العلماء بتصنيف تطور القدم المسطحة المكتسبة (PTTD) إلى أربع مراحل رئيسية. تتطور الحالة من أعراض خفيفة إلى تشوه شديد ومقعد إذا لم يتم علاجها بشكل صحيح.
المرحلة الأولى: الالتهاب والألم المبكر
في هذه المرحلة المبكرة، يكون الوتر ملتهباً أو يعاني من تدهور طفيف، ولكن لم يفقد طوله أو قوته بشكل كامل.
* الأعراض: يشعر المريض بألم وتورم على طول مسار وتر الظنبوب الخلفي (خلف الكعب الداخلي). يزداد الألم مع النشاط ويقل مع الراحة.
* شكل القدم: لا يوجد انهيار مرئي لقوس القدم. القدم لا تزال تبدو طبيعية، ولا يزال المريض قادراً على الوقوف على أطراف أصابع قدمه الواحدة (Single leg heel raise)، وإن كان ذلك مصحوباً بألم.
المرحلة الثانية: التشوه المرن (Flexible Planovalgus)
هذه هي المرحلة الحاسمة والتي غالباً ما تتطلب التدخل الجراحي الذي سنفصله في هذا المقال. في هذه المرحلة، يكون الوتر قد استطال بشكل كبير أو تمزق جزئياً وفقد وظيفته تماماً.
* الأعراض: ألم شديد في الجزء الداخلي من القدم. مع تطور الحالة، يبدأ المريض بالشعور بألم في الجزء الخارجي من الكاحل بسبب اصطدام عظمة الكعب (Calcaneus) بعظمة الشظية (Fibula) نتيجة ميلان القدم للخارج.
* شكل القدم: يتطور تشوه القدم المسطحة المرن. هذا يعني أن القوس ينهار تماماً عند الوقوف وتحمل الوزن، ولكن يمكن للطبيب إعادة القدم إلى شكلها الطبيعي يدوياً أثناء الفحص.
* الفحص: لا يستطيع المريض الوقوف على أطراف أصابع القدم المصابة بمفردها. يظهر علامة "كثرة الأصابع" (Too many toes sign) عند النظر إلى القدم من الخلف.

المرحلة الثالثة: التشوه الثابت (Fixed Deformity)
إذا تركت المرحلة الثانية دون علاج، تتيبس المفاصل في وضعية التشوه.
* الأعراض: ألم شديد ومستمر، وغالباً ما ينتقل الألم بشكل رئيسي إلى الجزء الخارجي من الكاحل والقدم بسبب الاحتكاك العظمي الشديد وتآكل الغضاريف.
* شكل القدم: يصبح التشوه ثابتاً وتتصلب المفاصل. لا يمكن للطبيب إعادة القوس إلى وضعه الطبيعي حتى عند رفع القدم عن الأرض. يتطور التهاب مفاصل تنكسي (خشونة) في مفصل تحت الكاحل (Subtalar joint) والمفاصل المجاورة.
* العلاج: في هذه المرحلة، جراحات الحفاظ على المفاصل ونقل الأوتار (مثل التي نناقشها) لم تعد مجدية. يتطلب الأمر جراحات دمج المفاصل (Arthrodesis) لتصحيح التشوه وتخفيف الألم، مما يفقد القدم جزءاً من حركتها.
المرحلة الرابعة: تأثر مفصل الكاحل
في حالات نادرة ومتقدمة جداً، يحدث فشل ثانوي في الرباط الدالي (Deltoid Ligament) على الجانب الإنسي للقدم بسبب زيادة الضغط الميكانيكي الهائل من القوس المنهار. هذا يؤدي إلى ميلان مفصل الكاحل نفسه (Tibiotalar Tilt)، وتآكل غضروف الكاحل. علاج هذه المرحلة يتطلب دمجاً كاملاً لمفصل الكاحل ومفاصل القدم أو استبدال مفصل الكاحل.


الأعراض السريرية: كيف تعرف أنك مصاب؟
تتنوع الأعراض بناءً على مرحلة المرض، ولكن يجب الانتباه إلى العلامات التحذيرية التالية:
- الألم: يبدأ كألم حارق أو خفقان على طول الجزء الداخلي من الكاحل والقدم (مسار الوتر). مع تقدم الحالة، ينتقل الألم إلى الجزء الخارجي من الكاحل (ألم الاصطدام).
- التورم: انتفاخ وتورم ملحوظ حول الكعب الداخلي، خاصة بعد المشي أو الوقوف.
- تغير شكل القدم: ملاحظة انخفاض تدريجي في قوس القدم حتى يلامس الأرض تماماً.
- تغير في طريقة المشي (Gait): يصبح المشي غير متزن، ويميل المريض إلى المشي على الحافة الداخلية للقدم.
- صعوبة في التوازن: ضعف القدرة على الوقوف على قدم واحدة أو أداء حركات تتطلب توازناً دقيقاً.
- علامة "أصابع القدم الكثيرة" (Too Many Toes Sign): عندما ينظر الطبيب إلى قدمك من الخلف وأنت واقف، سيلاحظ ظهور عدد أكبر من أصابع القدم (من الخنصر إلى الداخل) على الجانب الخارجي للقدم المصابة مقارنة بالقدم السليمة، وذلك بسبب انحراف مقدمة القدم للخارج (Forefoot Abduction).

التشخيص الدقيق مع الأستاذ الدكتور محمد هطيف
التشخيص المبكر والدقيق هو مفتاح العلاج الناجح. تحت إشراف الأستاذ الدكتور محمد هطيف، يتم اتباع بروتوكول تشخيصي شامل يجمع بين الفحص السريري الدقيق وأحدث تقنيات التصوير الطبي.
1. الفحص السريري الشامل
يتمتع الأستاذ الدكتور محمد هطيف بخبرة واسعة تمكنه من تشخيص الحالة بدقة من خلال الفحص السريري. يتضمن الفحص:
* مراقبة طريقة المشي (Gait analysis).
* فحص القدم أثناء الوقوف والجلوس لتقييم مرونة التشوه.
* اختبار الوقوف على كعب واحد (Single-leg heel raise test): وهو الاختبار الذهبي. إذا لم يتمكن المريض من رفع كعبه عن الأرض والوقوف على أطراف أصابعه بقدم واحدة، فهذا يشير بقوة إلى تمزق أو ضعف شديد في وتر الظنبوب الخلفي.
* تقييم تقلص وتر أخيل (Achilles tendon tightness)، والذي يصاحب غالباً هذه الحالة.

2. التصوير الطبي المتقدم
لتأكيد التشخيص ووضع الخطة الجراحية الدقيقة، يتم استخدام التصوير الطبي:
* الأشعة السينية (X-rays) أثناء الوقوف: صور بالأشعة السينية للقدم والكاحل أثناء تحمل الوزن (الوقوف). يتم قياس زوايا محددة (مثل زاوية ميري Meary's angle، وزاوية التغطية الزورقية الكاحلية Talonavicular coverage angle) لتقييم درجة الانهيار العظمي بدقة هندسية.
* التصوير بالرنين المغناطيسي (MRI): هو الأداة الأدق لتقييم حالة الأنسجة الرخوة. يوضح الرنين المغناطيسي درجة تمزق وتر الظنبوب الخلفي، وحالة الأربطة الداعمة (الرباط الزنبركي والدالي)، ووجود أي التهابات أو ارتشاح في نخاع العظم.
* الموجات فوق الصوتية (Ultrasound): يمكن استخدامها كأداة سريعة في العيادة لتقييم حركة الوتر ووجود سوائل حوله.
* الأشعة المقطعية (CT Scan): تُطلب في الحالات المتقدمة (المرحلة الثالثة) لتقييم مدى تضرر المفاصل ووجود خشونة (التهاب مفصلي عظمي) قبل اتخاذ قرار بدمج المفاصل.


خيارات العلاج: التحفظي مقابل الجراحي
يعتمد العلاج على مرحلة المرض، وشدة الأعراض، وعمر المريض، ومستوى نشاطه. المبدأ الأساسي لدى الأستاذ الدكتور محمد هطيف هو البدء بالعلاجات التحفظية في المراحل المبكرة، واللجوء للجراحة عندما تفشل الحلول غير الجراحية أو عندما تكون الحالة في المرحلة الثانية (انهيار القوس المرن).
العلاج التحفظي (غير الجراحي)
غالباً ما يكون فعالاً في المرحلة الأولى وأوائل المرحلة الثانية، ويهدف إلى تخفيف الألم ومنع تطور التشوه:
* الراحة وتعديل النشاط: تجنب الأنشطة التي تزيد الألم مثل الجري والقفز.
* الأدوية: مضادات الالتهاب غير الستيرويدية (NSAIDs) لتخفيف الألم والتورم.
* التثبيت (Immobilization): استخدام حذاء المشي الطبي (CAM boot) أو جبيرة قصيرة لمدة 4-6 أسابيع لإراحة الوتر تماماً والسماح بتقليل الالتهاب.
* الدعامات والأجهزة التقويمية (Orthotics): استخدام ضبانات طبية مخصصة (Custom-molded orthotics) مصممة لدعم القوس الداخلي وتصحيح ميلان الكعب. في الحالات الأكثر تقدماً، قد يُستخدم مقوم الكاحل والقدم (AFO - Ankle-Foot Orthosis) لتوفير دعم أقوى.
* العلاج الطبيعي: تمارين محددة لتقوية العضلات المحيطة بالكاحل، وتمارين إطالة وتر أخيل (حيث أن وتر أخيل المشدود يزيد من الضغط على قوس القدم).

جدول مقارنة: العلاج التحفظي مقابل العلاج الجراحي
| وجه المقارنة | العلاج التحفظي (غير الجراحي) | العلاج الجراحي (نقل الوتر وتعديل العظم) |
|---|---|---|
| المرحلة المستهدفة | المرحلة الأولى، وبداية المرحلة الثانية، والمرضى غير اللائقين جراحياً. | المرحلة الثانية (التشوه المرن)، وفشل العلاج التحفظي. |
| الهدف الرئيسي | تخفيف الألم، إبطاء التدهور، توفير دعم خارجي. | استعادة القوس الطبيعي، إصلاح التشوه الميكانيكي، حل جذري للألم. |
| مدة العلاج/التعافي | مستمر (استخدام الدعامات مدى الحياة)، أسابيع من العلاج الطبيعي. | 3 إلى 6 أشهر للتعافي الكامل والعودة للأنشطة الطبيعية. |
| تصحيح التشوه | لا يصحح التشوه العظمي، بل يدعمه فقط من الخارج. | يصحح التشوه العظمي من الداخل ويعيد بناء الهيكل التشريحي. |
| الاعتماد على الأجهزة | يتطلب ارتداء دعامات أو أحذية طبية خاصة بشكل دائم. | بعد التعافي، يمكن للمريض ارتداء الأحذية العادية والمشي حافي القدمين. |
| النتائج طويلة المدى | قد تتدهور الحالة بمرور الوقت وتنتقل للمرحلة الثالثة. | نتائج ممتازة ومستدامة، تمنع تطور المرض وخشونة المفاصل. |

التدخل الجراحي الشامل: إعادة بناء القدم المسطحة (المرحلة الثانية)
عندما يفشل العلاج التحفظي في تخفيف الألم، أو عندما يكون المريض في المرحلة الثانية (حيث انهار القوس ولكن المفاصل لا تزال مرنة)، يصبح التدخل الجراحي هو الحل الأمثل والوحيد لاستعادة وظيفة القدم ومنع تدمير المفاصل الذي يحدث في المرحلة الثالثة.
الجراحة القياسية الذهبية لعلاج هذه الحالة هي إجراء مركب يتكون من خطوتين رئيسيتين تعملان معاً: نقل وتر العضلة القابضة الطويلة للأصابع (FDL Tendon Transfer) و قص وتعديل عظم الكعب الإزاحي الإنسي (Medial Displacement Calcaneal Osteotomy - MDCO).
لماذا يتم الجمع بين الإجراءين؟ (الميكانيكا الحيوية)
نقل الوتر وحده غير كافٍ. إذا قمنا بنقل وتر جديد ليحل محل الوتر التالف دون إصلاح التشوه العظمي (ميلان الكعب للخارج)، فإن الوزن الميكانيكي الهائل للجسم سيؤدي إلى تمزق الوتر الجديد المنقول خلال فترة قصيرة.
لذلك، يقوم الأستاذ الدكتور محمد هطيف بإجراء "قص عظم الكعب" أولاً لتغيير محور تحمل الوزن في القدم. من خلال إزاحة عظم الكعب إلى الداخل (إنسياً)، يتم نقل قوة شد وتر أخيل لتساعد في رفع القوس بدلاً من تسطيحه. هذا الإجراء العظمي يحمي الوتر المنقول الجديد (FDL) ويمنحه البيئة الميكانيكية الصحيحة ليعمل بكفاءة مدى الحياة.


خطوات الجراحة بالتفصيل مع الأستاذ الدكتور محمد هطيف
تُجرى هذه العملية الدقيقة تحت التخدير النصفي أو العام، وتستغرق عادة من ساعتين إلى ثلاث ساعات. يتميز الأستاذ الدكتور محمد هطيف باستخدام تقنيات الجراحة الميكروسكوبية الدقيقة للحفاظ على الأنسجة والأعصاب، مما يقلل من الألم بعد العملية ويسرع من عملية الشفاء.
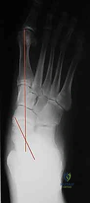
الخطوة الأولى: قص وتعديل عظم الكعب (MDCO)
هذه هي الخطوة التأسيسية لإصلاح الميكانيكا الحيوية للقدم.
1. الشق الجراحي: يتم عمل شق جراحي صغير (حوالي 3-5 سم) على الجانب الخارجي للكعب، مع الحرص الشديد على حماية العصب الربلي (Sural nerve).
2. قص العظم (Osteotomy): باستخدام منشار









آلام العظام والمفاصل وتقييد حركتها ليس قدراً محتوماً! التشخيص الدقيق والعلاج المتخصص يمكن أن يعيد لك كامل وظيفتك وحريتك في الحركة. لا تدع الألم يسيطر على حياتك.
للحصول على استشارة دقيقة وخطة علاجية مخصصة لحالتك، تواصل فوراً مع مركز الأستاذ الدكتور محمد هطيف:
الأستاذ الدكتور محمد هطيف - أفضل دكتور عظام في صنعاء، وخبير في جراحات العظام والمفاصل والعمود الفقري.. نلتزم بإعادتك لحياة خالية من الألم وحركة طبيعية.
مواضيع أخرى قد تهمك