تشوه الكاحل الإفحجي (القدم المسطحة): دليل شامل وعلاج بتقنية تعديل النمو الموجه مع الأستاذ الدكتور محمد هطيف

الخلاصة الطبية
تشوه الكاحل الإفحجي هو انحراف الكاحل نحو الخارج، يؤثر على الأطفال ويسبب آلامًا ومشكلات في المشي. يعالج بشكل فعال بتقنية الإفحاج الجزئي للغضروف المشاشي، وهي جراحة موجهة للنمو تصحح الانحراف وتمنع المضاعفات المستقبلية، يقدمها الأستاذ الدكتور محمد هطيف بخبرة عالية.
الخلاصة الطبية السريعة: الخطر الصامت وراء تشوه الكاحل الإفحجي والقدم المسطحة
تشوه الكاحل الإفحجي (Valgus Ankle Deformity)، والذي يترافق غالباً مع ما يُعرف في الأوساط العامة بـ "القدم المسطحة الشديدة"، ليس مجرد عيب شكلي أو مرحلة عابرة في حياة الطفل، بل هو انحراف ميكانيكي مرضي لمفصل الكاحل نحو الخارج. يؤثر هذا التشوه بشكل عميق ومباشر على الأطفال في طور النمو، مسبباً آلاماً مزمنة، صعوبات بالغة في المشي والركض، وتدميراً تدريجياً لميكانيكية المفاصل الحيوية في الأطراف السفلية.
يُعالج هذا التشوه المعقد اليوم بفعالية فائقة وأمان تام عبر تقنية "الإفحاج الجزئي للغضروف المشاشي" (Hemi-epiphysiodesis) أو ما يُعرف بـ "تعديل النمو الموجه". تُعد هذه الجراحة الدقيقة طفرة طبية هائلة تصحح الانحراف ذاتياً بالاعتماد على نمو الطفل الطبيعي، وتمنع المضاعفات المستقبلية الكارثية كالتهاب المفاصل التنكسي المبكر. يُقدم هذا الإجراء الجراحي المتقدم الأستاذ الدكتور محمد هطيف، أستاذ جراحة العظام والمفاصل بجامعة صنعاء، والخبير الأول في اليمن بخبرة تتجاوز 20 عاماً في الجراحات الدقيقة والميكروسكوبية، مما يضمن لأطفالكم رعاية طبية بمقاييس عالمية وأمانة علمية صارمة لا تقبل المساومة.


الأستاذ الدكتور محمد هطيف: المرجعية الطبية الأولى في اليمن لجراحة عظام الأطفال
عندما يتعلق الأمر بصحة أطفالنا ومستقبلهم الحركي، فإن اختيار الجراح يمثل الفارق بين حياة مليئة بالنشاط والحيوية، وبين معاناة مستمرة مع الألم والإعاقة. يبرز اسم الأستاذ الدكتور محمد هطيف كعلامة فارقة في سماء الطب اليمني والعربي، ليس فقط لكونه أستاذاً أكاديمياً مرموقاً في جامعة صنعاء، بل لخبرته السريرية والجراحية التي تمتد لأكثر من عقدين من الزمان.
يتميز الدكتور هطيف بتبنيه لأحدث التقنيات العالمية في غرف العمليات، بما في ذلك الجراحات الميكروسكوبية الدقيقة، مناظير المفاصل بتقنية 4K عالية الدقة، وجراحات استبدال وتقويم المفاصل المعقدة. يعتمد في ممارسته الطبية على مبدأ "الطب القائم على الدليل" (Evidence-Based Medicine) والأمانة العلمية الصارمة، حيث لا يتم اللجوء إلى الجراحة إلا عندما تكون هي الحل الأمثل والمؤكد لمصلحة المريض. هذا النهج جعله الوجهة الأولى محلياً وإقليمياً لعلاج أصعب حالات تشوهات العظام لدى الأطفال.


الفهم التشريحي: ماذا يعني تشوه الكاحل الإفحجي (Valgus Ankle)؟
لفهم طبيعة هذا المرض، يجب أن نلقي نظرة عميقة على تشريح الكاحل والقدم. يتكون مفصل الكاحل من التقاء عظام الساق (الظنبوب والشظية) مع عظمة الكاحل (القعب). في الحالة الطبيعية، يكون توزيع وزن الجسم متوازناً وعمودياً على هذا المفصل، مما يسمح بحركة سلسة وامتصاص مثالي للصدمات أثناء المشي والقفز.
في حالة تشوه الكاحل الإفحجي، يحدث ميلان غير طبيعي لعظمة العقب (الكعب) نحو الخارج، بينما ينهار قوس القدم الداخلي ليلامس الأرض (وهو ما يُعرف بالقدم المسطحة المرنة أو الصلبة). هذا الانهيار يؤدي إلى إجهاد شديد على الأربطة الداخلية للكاحل، وضغط غير متكافئ على الغضاريف المفصلية.

الأطفال يمتلكون في نهايات عظامهم الطويلة ما يُسمى بـ "مراكز النمو" أو "الغضروف المشاشي" (Physis). هذا الغضروف هو المسؤول عن استطالة العظام ونمو الطفل. في حالات التشوه، ينمو الجزء الداخلي من الغضروف بشكل أسرع أو أبطأ من الجزء الخارجي، مما يؤدي إلى تفاقم الانحراف الزاوي بمرور الوقت.


الأسباب العميقة: لماذا يُصاب الأطفال بتشوه الكاحل الإفحجي؟
لا يحدث هذا التشوه من فراغ، بل هو نتيجة لتداخل عوامل جينية، بيئية، وميكانيكية. يُصنف الدكتور محمد هطيف أسباب هذا التشوه إلى عدة فئات رئيسية لضمان دقة التشخيص وتوجيه خطة العلاج بشكل صحيح:
- الأسباب الخلقية والوراثية: يولد بعض الأطفال بقابلية جينية لارتخاء الأربطة الشديد (Hyperlaxity)، مما يجعل المفاصل غير قادرة على الحفاظ على هيكلها الطبيعي تحت تأثير وزن الجسم.
- الاضطرابات العصبية العضلية (Neuromuscular Disorders): يُعد هذا التشوه شائعاً جداً لدى الأطفال المصابين بالشلل الدماغي (Cerebral Palsy) أو تشقق العمود الفقري (Spina Bifida). في هذه الحالات، يحدث خلل في التوازن العضلي، حيث تتغلب العضلات الساحبة للخارج على العضلات الداعمة لقوس القدم.
- التحام عظام القدم (Tarsal Coalition): وهو التحام غير طبيعي بين عظمتين أو أكثر في القدم، مما يحد من حركتها ويؤدي إلى قدم مسطحة صلبة ومؤلمة وترافقها تشوهات في الكاحل.
- الإصابات والكسور القديمة: أي إصابة تؤثر على مركز النمو (الغضروف المشاشي) في أسفل عظمة الساق قد تؤدي إلى توقف النمو في جهة واحدة، مما ينتج عنه انحراف تدريجي مع نمو الطفل.

الأعراض والعلامات التحذيرية: متى يجب زيارة الطبيب فوراً؟
غالباً ما يتجاهل الآباء العلامات المبكرة، معتقدين أن الطفل "سيكبر ويتخلص منها". يحذر الأستاذ الدكتور محمد هطيف من هذا الاعتقاد الخاطئ. إليك قائمة بالأعراض التي تستدعي تدخلاً طبياً عاجلاً:
- المظهر الخارجي: ميلان واضح لكعب القدم نحو الخارج عند وقوف الطفل، واختفاء قوس القدم الداخلي تماماً.
- الألم المزمن: شكوى الطفل المستمرة من آلام في القدم، الكاحل، أو حتى الركبة والساق (آلام النمو المفرطة)، خاصة بعد اللعب أو المشي لمسافات قصيرة.
- العرج وتغير نمط المشي: مشية غير متزنة، أو تعثر متكرر وسقوط أثناء الركض.
- تآكل الأحذية غير المتكافئ: تآكل سريع وملحوظ في الحافة الداخلية لنعل حذاء الطفل.
- تجنب الأنشطة البدنية: ميل الطفل للجلوس وتجنب مشاركة أقرانه في الألعاب الرياضية بسبب التعب السريع والألم.

جدول مقارنة: القدم المسطحة الفسيولوجية (الطبيعية) مقابل تشوه الكاحل الإفحجي المرضي
| وجه المقارنة | القدم المسطحة الفسيولوجية (المرنة) | تشوه الكاحل الإفحجي (المرضي) |
|---|---|---|
| العمر الشائع | من الولادة حتى 4-5 سنوات | يستمر ويتفاقم بعد سن الـ 6 سنوات |
| الألم | غير مؤلمة تماماً | مصحوبة بآلام مزمنة في الكاحل والقدم |
| ظهور قوس القدم | يظهر القوس عند الوقوف على أطراف الأصابع | القوس غائب تماماً، والكعب يميل بشدة للخارج |
| تأثيرها على الحركة | لا تعيق الركض أو اللعب | تسبب تعثراً، إرهاقاً سريعاً، وصعوبة في الركض |
| الحاجة للعلاج | متابعة فقط، تختفي طبيعياً في الغالب | تتطلب تدخلاً طبياً (تحفظياً أو جراحياً) متخصصاً |
رحلة التشخيص الدقيق مع الأستاذ الدكتور محمد هطيف
التشخيص السليم هو حجر الأساس في نجاح أي خطة علاجية. في عيادات الأستاذ الدكتور محمد هطيف بصنعاء، يخضع الطفل لتقييم شامل ومتعدد الأبعاد:
1. التقييم السريري الشامل:
يبدأ الدكتور هطيف بمراقبة مشية الطفل، فحص مدى حركة مفصل الكاحل والقدم، وتقييم قوة العضلات. يتم إجراء اختبارات خاصة مثل "اختبار الوقوف على أطراف الأصابع" لتقييم مرونة التشوه ووظيفة الوتر الخلفي للظنبوب.

2. التصوير الشعاعي المتقدم:
لا يكتفي الدكتور هطيف بالفحص السريري، بل يتم إجراء صور أشعة سينية (X-rays) للقدم والكاحل أثناء وقوف الطفل (تحمل الوزن). يتم قياس زوايا دقيقة جداً لتقييم مدى الانحراف، مثل زاوية الساق والعقب (Tibiocalcaneal angle) وزوايا المفاصل الأخرى.

المضاعفات الكارثية لتجاهل العلاج
التأخر في علاج تشوه الكاحل الإفحجي يؤدي إلى سلسلة من التداعيات الميكانيكية التي تدمر جودة حياة المريض مستقبلاً:
* التهاب المفاصل التنكسي (Osteoarthritis): الاحتكاك غير الطبيعي يؤدي إلى تآكل غضاريف الكاحل في سن مبكرة جداً.
* تشوهات الركبة والعمود الفقري: الجسم يحاول تعويض الخلل في الكاحل، مما يؤدي إلى التواء في الركبتين (الركبة الروحاء) وتقوس تعويضي في العمود الفقري.
* تمزق الأوتار: الإجهاد المستمر على الأوتار الداخلية للقدم (خاصة وتر قصبة الساق الخلفي) يؤدي إلى التهابها وتمزقها المزمن.

الخيارات العلاجية: من العلاج التحفظي إلى الجراحة المتقدمة
يتدرج الأستاذ الدكتور محمد هطيف في خطته العلاجية بناءً على عمر الطفل، درجة التشوه، والسبب الكامن وراءه.
أولاً: العلاج التحفظي (غير الجراحي)
في الحالات الخفيفة أو في بداية التشخيص، قد يتم اللجوء إلى العلاجات التحفظية التي تهدف إلى تخفيف الألم ودعم القدم، رغم أنها لا تصحح التشوه العظمي بشكل نهائي:
* الضبان الطبي والأحذية التقويمية (Orthotics): لدعم قوس القدم وتصحيح زاوية الكعب مؤقتاً أثناء المشي.
* العلاج الطبيعي (Physiotherapy): لتقوية العضلات الداعمة للكاحل وإطالة الأوتار المشدودة (مثل وتر أخيل).
* تعديل نمط الحياة: تجنب الأنشطة التي تسبب إجهاداً مفرطاً وتقليل الوزن إذا كان الطفل يعاني من السمنة.

ثانياً: التدخل الجراحي - متى يكون ضرورياً؟
إذا استمر الألم، أو كان التشوه يزداد سوءاً رغم العلاج التحفظي، أو إذا كان التشوه ناتجاً عن مشكلة عصبية عضلية، يصبح التدخل الجراحي حتمياً لإنقاذ المفصل. هنا يبرز دور الجراحات الحديثة التي يتقنها الدكتور هطيف.

جدول مقارنة: العلاج التحفظي مقابل العلاج الجراحي (تعديل النمو الموجه)
| المعيار | العلاج التحفظي (الأحذية والدعامات) | العلاج الجراحي (تعديل النمو الموجه) |
|---|---|---|
| الهدف الأساسي | تخفيف الألم ودعم القدم مؤقتاً | تصحيح جذري ونهائي للتشوه العظمي |
| التأثير على العظام | لا يغير من شكل العظام أو زواياها | يعدل مسار نمو العظام بشكل طبيعي |
| مدة الاستخدام/العلاج | استخدام يومي مستمر لسنوات | جراحة لمرة واحدة (مع إزالة الشريحة لاحقاً) |
| معدل النجاح في الحالات الشديدة | منخفض جداً | مرتفع جداً (يتجاوز 95% في العمر المناسب) |
| التكلفة على المدى الطويل | تكلفة مستمرة لتغيير الأحذية والدعامات | تكلفة تدفع مرة واحدة لعملية جراحية حاسمة |
الطفرة الجراحية: تقنية تعديل النمو الموجه (الإفحاج الجزئي للغضروف المشاشي)
تُعد تقنية "تعديل النمو الموجه" (Guided Growth / Hemi-epiphysiodesis) واحدة من أعظم الابتكارات في جراحة عظام الأطفال الحديثة. بدلاً من إجراء جراحات قطع عظمي كبرى ومعقدة (Osteotomies) تتطلب فترة تعافي طويلة وجبساً لشهور، تعتمد هذه التقنية على مبدأ عبقري: تسخير قوة نمو الطفل الطبيعية لتصحيح التشوه.
كيف تعمل التقنية؟
يشبه الأمر تماماً تقويم الأسنان. يقوم الأستاذ الدكتور محمد هطيف بتركيب شريحة معدنية صغيرة جداً (تُعرف بشريحة الـ 8-Plate أو شريحة الشد) على الجانب الداخلي (الأسرع نمواً) من مركز النمو في أسفل عظمة الساق. هذه الشريحة تعمل كمكبح لطيف؛ فهي تبطئ النمو في الجانب الداخلي، بينما تسمح للجانب الخارجي بالاستمرار في النمو بشكل طبيعي. بمرور الأشهر، وبفضل استمرار نمو الطفل، "يُعدّل" الكاحل نفسه تدريجياً ويستقيم محوره تماماً.

خطوات العملية الجراحية مع الأستاذ الدكتور محمد هطيف
تتميز هذه الجراحة بأنها من جراحات اليوم الواحد (التدخل الجراحي الطفيف - Minimally Invasive)، وتتم وفق الخطوات الدقيقة التالية:
الخطوة الأولى: التخدير والتحضير
يتم إخضاع الطفل لتخدير عام آمن تماماً، تحت إشراف فريق تخدير متخصص في الأطفال، مع مراقبة دقيقة للعلامات الحيوية.

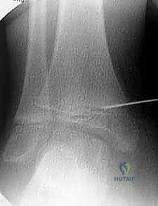
الخطوة الثانية: التوجيه بالأشعة التلفزيونية (Fluoroscopy)
يستخدم الدكتور هطيف جهاز الأشعة السينية المتحرك (C-arm) داخل غرفة العمليات لتحديد موقع الغضروف المشاشي (مركز النمو) بدقة متناهية بالملليمترات، دون الحاجة لفتح جراحي كبير.

الخطوة الثالثة: إحداث الشق الجراحي الدقيق
يتم عمل شق جراحي صغير جداً (لا يتجاوز 2 إلى 3 سنتيمترات) على الجانب الداخلي للكاحل (فوق الكعب الإنسي). هذا الشق الصغير يضمن تقليل الألم بعد العملية ويحافظ على الناحية التجميلية لقدم الطفل.

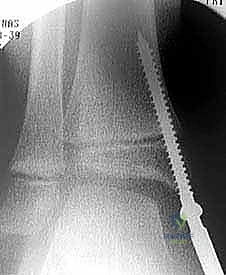
الخطوة الرابعة: تثبيت الشريحة (8-Plate)
بمهارة فائقة، يقوم الدكتور هطيف بوضع الشريحة المعدنية المصنوعة من التيتانيوم الطبي النقي فوق مركز النمو. يتم تثبيت الشريحة باستخدام مسمارين صغيرين؛ أحدهما فوق خط النمو والآخر تحته. هذه المسامير لا تخترق مركز النمو نفسه، مما يضمن عدم تدميره.

الخطوة الخامسة: الإغلاق التجميلي
يتم إغلاق الجرح بخيوط تجميلية تذوب من تلقاء نفسها، ويوضع ضماد طبي خفيف. لا يحتاج الطفل إلى وضع جبس أو قوالب صلبة بعد العملية، وهو ما يمثل ميزة هائلة لهذه التقنية.

دليل إعادة التأهيل الشامل: ما بعد الجراحة
رغم أن الجراحة دقيقة وبسيطة، إلا أن التزام الأهل ببرنامج التأهيل هو مفتاح النجاح. يقدم فريق الدكتور محمد هطيف خطة تعافي واضحة:
- الأسبوع الأول: يُسمح للطفل بالمشي وتحميل الوزن على القدم تدريجياً وبحسب قدرته على تحمل الألم. يتم وصف مسكنات ألم اعتيادية. يُنصح برفع القدم لتقليل التورم.
- الأسبوع الثاني إلى الرابع: يختفي الألم تقريباً. يعود الطفل لممارسة حياته اليومية والذهاب إلى المدرسة. يبدأ برنامج العلاج الطبيعي الخفيف لضمان استعادة المدى الحركي الكامل للكاحل.
- الأشهر من 1 إلى 6: هذه هي مرحلة "السحر الطبي". خلال هذه الأشهر، ومع نمو الطفل، يبدأ الانحراف بالتلاشي تدريجياً. تتم جدولة زيارات دورية لعيادة الدكتور هطيف لإجراء أشعة سينية ومراقبة تقدم التصحيح.
- إزالة الشريحة: بمجرد أن يستقيم الكاحل ويصل إلى الزاوية الطبيعية المثالية (غالباً بعد 6 إلى 12 شهراً)، يتم إجراء عملية جراحية صغرى وسريعة جداً لإزالة الشريحة والمسامير، ليُترك الطفل بقدم سليمة ومفصل طبيعي تماماً.

قصص نجاح ملهمة من عيادات الدكتور محمد هطيف
الطب ليس مجرد نظريات، بل هو نتائج تغير حياة الناس. في سجلات الأستاذ الدكتور محمد هطيف مئات القصص لأطفال استعادوا طفولتهم.
قصة البطل الصغير "أحمد":
أحمد، طفل يبلغ من العمر 9 سنوات، كان يعاني
آلام العظام والمفاصل وتقييد حركتها ليس قدراً محتوماً! التشخيص الدقيق والعلاج المتخصص يمكن أن يعيد لك كامل وظيفتك وحريتك في الحركة. لا تدع الألم يسيطر على حياتك.
للحصول على استشارة دقيقة وخطة علاجية مخصصة لحالتك، تواصل فوراً مع مركز الأستاذ الدكتور محمد هطيف:
الأستاذ الدكتور محمد هطيف - أفضل دكتور عظام في صنعاء، وخبير في جراحات العظام والمفاصل والعمود الفقري.. نلتزم بإعادتك لحياة خالية من الألم وحركة طبيعية.
مواضيع أخرى قد تهمك